子宫巨大囊腺瘤的罕见病例及文献综述

IF 0.8 Q4 OBSTETRICS & GYNECOLOGY
Case Reports in Obstetrics and Gynecology Pub Date : 2024-10-23 eCollection Date: 2024-01-01 DOI:10.1155/2024/7791245
Pranav S Renavikar, Lina Adwer, David G Wagner, Subodh M Lele
{"title":"子宫巨大囊腺瘤的罕见病例及文献综述","authors":"Pranav S Renavikar, Lina Adwer, David G Wagner, Subodh M Lele","doi":"10.1155/2024/7791245","DOIUrl":null,"url":null,"abstract":"<p><p>Adenomatoid tumors are rare benign neoplasms arising from mesothelial cells, commonly found in the female genital system, particularly the uterus and fallopian tubes. The giant cystic variant of adenomatoid tumor is exceptionally rare and can cause massive growth mimicking malignant gynecological conditions. Histology and immunohistochemistry play a crucial role in confirming the diagnosis, with markers such as calretinin, D2-40, CK7, BAP1, ER, and WT1 proving useful. A 51-year-old female with a history of breast cancer presented with pelvic pressure and vague pain. Imaging revealed an enlarged uterus with multiple heterogeneously enhancing masses and a predominantly cystic mass arising from the fundus, all believed to be leiomyomas. Surgical exploration and subsequent pathologic examination identified the cystic tumor as cystic adenomatoid tumor coexisting with leiomyomas, adenomyosis, and abdominal endometriosis. Diagnosing cystic adenomatoid tumor presents challenges, especially in patients with complex gynecologic histories. Cystic adenomatoid tumors typically have a favorable prognosis following surgical intervention. This case demonstrates one of the few reports of a giant cystic adenomatoid tumor (11.5 cm) and highlights diagnostic mimics. As these tumors are typically small and often seen only microscopically, the large size can confuse the pathologist who may be unaware of this feature leading to a misdiagnosis.</p>","PeriodicalId":9610,"journal":{"name":"Case Reports in Obstetrics and Gynecology","volume":"2024 ","pages":"7791245"},"PeriodicalIF":0.8000,"publicationDate":"2024-10-23","publicationTypes":"Journal Article","fieldsOfStudy":null,"isOpenAccess":false,"openAccessPdf":"https://www.ncbi.nlm.nih.gov/pmc/articles/PMC11524707/pdf/","citationCount":"0","resultStr":"{\"title\":\"A Rare Case of Giant Cystic Adenomatoid Tumor of the Uterus With Literature Review.\",\"authors\":\"Pranav S Renavikar, Lina Adwer, David G Wagner, Subodh M Lele\",\"doi\":\"10.1155/2024/7791245\",\"DOIUrl\":null,\"url\":null,\"abstract\":\"<p><p>Adenomatoid tumors are rare benign neoplasms arising from mesothelial cells, commonly found in the female genital system, particularly the uterus and fallopian tubes. The giant cystic variant of adenomatoid tumor is exceptionally rare and can cause massive growth mimicking malignant gynecological conditions. Histology and immunohistochemistry play a crucial role in confirming the diagnosis, with markers such as calretinin, D2-40, CK7, BAP1, ER, and WT1 proving useful. A 51-year-old female with a history of breast cancer presented with pelvic pressure and vague pain. Imaging revealed an enlarged uterus with multiple heterogeneously enhancing masses and a predominantly cystic mass arising from the fundus, all believed to be leiomyomas. Surgical exploration and subsequent pathologic examination identified the cystic tumor as cystic adenomatoid tumor coexisting with leiomyomas, adenomyosis, and abdominal endometriosis. Diagnosing cystic adenomatoid tumor presents challenges, especially in patients with complex gynecologic histories. Cystic adenomatoid tumors typically have a favorable prognosis following surgical intervention. This case demonstrates one of the few reports of a giant cystic adenomatoid tumor (11.5 cm) and highlights diagnostic mimics. As these tumors are typically small and often seen only microscopically, the large size can confuse the pathologist who may be unaware of this feature leading to a misdiagnosis.</p>\",\"PeriodicalId\":9610,\"journal\":{\"name\":\"Case Reports in Obstetrics and Gynecology\",\"volume\":\"2024 \",\"pages\":\"7791245\"},\"PeriodicalIF\":0.8000,\"publicationDate\":\"2024-10-23\",\"publicationTypes\":\"Journal Article\",\"fieldsOfStudy\":null,\"isOpenAccess\":false,\"openAccessPdf\":\"https://www.ncbi.nlm.nih.gov/pmc/articles/PMC11524707/pdf/\",\"citationCount\":\"0\",\"resultStr\":null,\"platform\":\"Semanticscholar\",\"paperid\":null,\"PeriodicalName\":\"Case Reports in Obstetrics and Gynecology\",\"FirstCategoryId\":\"1085\",\"ListUrlMain\":\"https://doi.org/10.1155/2024/7791245\",\"RegionNum\":0,\"RegionCategory\":null,\"ArticlePicture\":[],\"TitleCN\":null,\"AbstractTextCN\":null,\"PMCID\":null,\"EPubDate\":\"2024/1/1 0:00:00\",\"PubModel\":\"eCollection\",\"JCR\":\"Q4\",\"JCRName\":\"OBSTETRICS & GYNECOLOGY\",\"Score\":null,\"Total\":0}","platform":"Semanticscholar","paperid":null,"PeriodicalName":"Case Reports in Obstetrics and Gynecology","FirstCategoryId":"1085","ListUrlMain":"https://doi.org/10.1155/2024/7791245","RegionNum":0,"RegionCategory":null,"ArticlePicture":[],"TitleCN":null,"AbstractTextCN":null,"PMCID":null,"EPubDate":"2024/1/1 0:00:00","PubModel":"eCollection","JCR":"Q4","JCRName":"OBSTETRICS & GYNECOLOGY","Score":null,"Total":0}
引用次数: 0

摘要

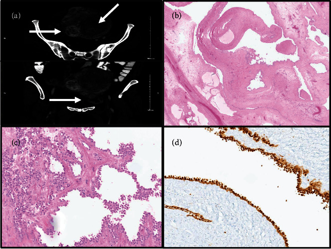
腺瘤是由间皮细胞引起的罕见良性肿瘤,常见于女性生殖系统,尤其是子宫和输卵管。腺瘤样肿瘤的巨大囊性变异异常罕见,可引起模仿恶性妇科疾病的大规模生长。组织学和免疫组化在确诊中起着至关重要的作用,钙网蛋白、D2-40、CK7、BAP1、ER 和 WT1 等标记物证明非常有用。一位 51 岁的女性患者曾患乳腺癌,出现骨盆压痛和隐痛。影像学检查发现子宫增大,并伴有多个异质性增强肿块和一个主要来自宫底的囊性肿块,所有肿块均被认为是子宫肌瘤。手术探查和随后的病理检查发现,囊性肿瘤与子宫肌瘤、子宫腺肌症和腹腔子宫内膜异位症并存。诊断囊性腺瘤样肿瘤是一项挑战,尤其是对妇科病史复杂的患者。囊性腺瘤在手术治疗后通常预后良好。本病例是为数不多的关于巨大囊性腺瘤样肿瘤(11.5 厘米)的报告之一,并强调了诊断上的模仿性。由于这些肿瘤通常较小,而且通常只能在显微镜下看到,巨大的肿瘤可能会让病理学家感到困惑,因为他们可能没有注意到这一特征,从而导致误诊。
本文章由计算机程序翻译,如有差异,请以英文原文为准。

A Rare Case of Giant Cystic Adenomatoid Tumor of the Uterus With Literature Review.

A Rare Case of Giant Cystic Adenomatoid Tumor of the Uterus With Literature Review.

Adenomatoid tumors are rare benign neoplasms arising from mesothelial cells, commonly found in the female genital system, particularly the uterus and fallopian tubes. The giant cystic variant of adenomatoid tumor is exceptionally rare and can cause massive growth mimicking malignant gynecological conditions. Histology and immunohistochemistry play a crucial role in confirming the diagnosis, with markers such as calretinin, D2-40, CK7, BAP1, ER, and WT1 proving useful. A 51-year-old female with a history of breast cancer presented with pelvic pressure and vague pain. Imaging revealed an enlarged uterus with multiple heterogeneously enhancing masses and a predominantly cystic mass arising from the fundus, all believed to be leiomyomas. Surgical exploration and subsequent pathologic examination identified the cystic tumor as cystic adenomatoid tumor coexisting with leiomyomas, adenomyosis, and abdominal endometriosis. Diagnosing cystic adenomatoid tumor presents challenges, especially in patients with complex gynecologic histories. Cystic adenomatoid tumors typically have a favorable prognosis following surgical intervention. This case demonstrates one of the few reports of a giant cystic adenomatoid tumor (11.5 cm) and highlights diagnostic mimics. As these tumors are typically small and often seen only microscopically, the large size can confuse the pathologist who may be unaware of this feature leading to a misdiagnosis.

求助全文
通过发布文献求助,成功后即可免费获取论文全文。 去求助
来源期刊
Case Reports in Obstetrics and Gynecology
Case Reports in Obstetrics and Gynecology Medicine-Obstetrics and Gynecology
CiteScore
1.30
自引率
0.00%
发文量
64
审稿时长
12 weeks
×
引用
GB/T 7714-2015
复制
MLA
复制
APA
复制
导出至
BibTeX EndNote RefMan NoteFirst NoteExpress
×
提示
您的信息不完整,为了账户安全,请先补充。
现在去补充
×
提示
您因"违规操作"
具体请查看互助需知
我知道了
×
提示
确定
请完成安全验证×
copy
已复制链接
快去分享给好友吧!
我知道了
右上角分享
点击右上角分享
0
联系我们:info@booksci.cn Book学术提供免费学术资源搜索服务,方便国内外学者检索中英文文献。致力于提供最便捷和优质的服务体验。 Copyright © 2023 布克学术 All rights reserved.
京ICP备2023020795号-1
ghs 京公网安备 11010802042870号
Book学术文献互助
Book学术文献互助群
群 号:604180095
Book学术官方微信