星光灿烂的夜晚:阿根廷近距离霰弹枪爆炸导致严重肝损伤的病例报告。

IF 0.2
Journal of Trauma and Injury Pub Date : 2024-12-01 Epub Date: 2024-10-21 DOI:10.20408/jti.2024.0036
Rodrigo Antonio Gasque, José Gabriel Cervantes, Magalí Chahdi Beltrame, Marcelo Enrique Lenz-Virreira, Emilio Gastón Quiñonez
{"title":"星光灿烂的夜晚:阿根廷近距离霰弹枪爆炸导致严重肝损伤的病例报告。","authors":"Rodrigo Antonio Gasque, José Gabriel Cervantes, Magalí Chahdi Beltrame, Marcelo Enrique Lenz-Virreira, Emilio Gastón Quiñonez","doi":"10.20408/jti.2024.0036","DOIUrl":null,"url":null,"abstract":"<p><p>This report presents the case of a 20-year-old man who sustained a severe liver injury from a close-range shotgun blast. A prompt medical intervention, including damage control exploratory laparotomy and surgical debridement, was undertaken due to the extent of liver damage. Despite challenges such as a nondirected biliary fistula and extensive liver parenchymal injury, comprehensive surgical management led to successful treatment. Postoperative complications, including biloma and fungal infection, were managed appropriately, highlighting the importance of vigilant follow-up care. The case underscores the complexity of managing severe liver trauma and emphasizes the evolving role of trauma damage control strategies and minimally invasive procedures in achieving favorable outcomes.</p>","PeriodicalId":52698,"journal":{"name":"Journal of Trauma and Injury","volume":" ","pages":"286-290"},"PeriodicalIF":0.2000,"publicationDate":"2024-12-01","publicationTypes":"Journal Article","fieldsOfStudy":null,"isOpenAccess":false,"openAccessPdf":"https://www.ncbi.nlm.nih.gov/pmc/articles/PMC11703694/pdf/","citationCount":"0","resultStr":"{\"title\":\"A starry night: a case report of severe liver injury due to a close-range shotgun blast in Argentina.\",\"authors\":\"Rodrigo Antonio Gasque, José Gabriel Cervantes, Magalí Chahdi Beltrame, Marcelo Enrique Lenz-Virreira, Emilio Gastón Quiñonez\",\"doi\":\"10.20408/jti.2024.0036\",\"DOIUrl\":null,\"url\":null,\"abstract\":\"<p><p>This report presents the case of a 20-year-old man who sustained a severe liver injury from a close-range shotgun blast. A prompt medical intervention, including damage control exploratory laparotomy and surgical debridement, was undertaken due to the extent of liver damage. Despite challenges such as a nondirected biliary fistula and extensive liver parenchymal injury, comprehensive surgical management led to successful treatment. Postoperative complications, including biloma and fungal infection, were managed appropriately, highlighting the importance of vigilant follow-up care. The case underscores the complexity of managing severe liver trauma and emphasizes the evolving role of trauma damage control strategies and minimally invasive procedures in achieving favorable outcomes.</p>\",\"PeriodicalId\":52698,\"journal\":{\"name\":\"Journal of Trauma and Injury\",\"volume\":\" \",\"pages\":\"286-290\"},\"PeriodicalIF\":0.2000,\"publicationDate\":\"2024-12-01\",\"publicationTypes\":\"Journal Article\",\"fieldsOfStudy\":null,\"isOpenAccess\":false,\"openAccessPdf\":\"https://www.ncbi.nlm.nih.gov/pmc/articles/PMC11703694/pdf/\",\"citationCount\":\"0\",\"resultStr\":null,\"platform\":\"Semanticscholar\",\"paperid\":null,\"PeriodicalName\":\"Journal of Trauma and Injury\",\"FirstCategoryId\":\"1085\",\"ListUrlMain\":\"https://doi.org/10.20408/jti.2024.0036\",\"RegionNum\":0,\"RegionCategory\":null,\"ArticlePicture\":[],\"TitleCN\":null,\"AbstractTextCN\":null,\"PMCID\":null,\"EPubDate\":\"2024/10/21 0:00:00\",\"PubModel\":\"Epub\",\"JCR\":\"\",\"JCRName\":\"\",\"Score\":null,\"Total\":0}","platform":"Semanticscholar","paperid":null,"PeriodicalName":"Journal of Trauma and Injury","FirstCategoryId":"1085","ListUrlMain":"https://doi.org/10.20408/jti.2024.0036","RegionNum":0,"RegionCategory":null,"ArticlePicture":[],"TitleCN":null,"AbstractTextCN":null,"PMCID":null,"EPubDate":"2024/10/21 0:00:00","PubModel":"Epub","JCR":"","JCRName":"","Score":null,"Total":0}
引用次数: 0

摘要

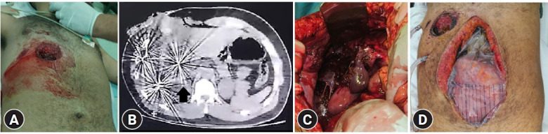
本报告介绍了一名 20 岁男子因近距离霰弹枪爆炸导致严重肝损伤的病例。由于肝损伤程度严重,医生迅速采取了医疗干预措施,包括损伤控制探查性开腹手术和外科清创术。尽管出现了非定向胆道瘘和广泛的肝实质损伤等难题,但全面的手术管理使治疗取得了成功。术后并发症,包括胆汁瘤和真菌感染,都得到了妥善处理,突出了警惕性随访护理的重要性。该病例凸显了处理严重肝创伤的复杂性,并强调了创伤损伤控制策略和微创手术在取得良好疗效方面不断发展的作用。
本文章由计算机程序翻译,如有差异,请以英文原文为准。

A starry night: a case report of severe liver injury due to a close-range shotgun blast in Argentina.

A starry night: a case report of severe liver injury due to a close-range shotgun blast in Argentina.

A starry night: a case report of severe liver injury due to a close-range shotgun blast in Argentina.

A starry night: a case report of severe liver injury due to a close-range shotgun blast in Argentina.

This report presents the case of a 20-year-old man who sustained a severe liver injury from a close-range shotgun blast. A prompt medical intervention, including damage control exploratory laparotomy and surgical debridement, was undertaken due to the extent of liver damage. Despite challenges such as a nondirected biliary fistula and extensive liver parenchymal injury, comprehensive surgical management led to successful treatment. Postoperative complications, including biloma and fungal infection, were managed appropriately, highlighting the importance of vigilant follow-up care. The case underscores the complexity of managing severe liver trauma and emphasizes the evolving role of trauma damage control strategies and minimally invasive procedures in achieving favorable outcomes.

求助全文
通过发布文献求助,成功后即可免费获取论文全文。 去求助
来源期刊
自引率
0.00%
发文量
58
审稿时长
11 weeks
×
引用
GB/T 7714-2015
复制
MLA
复制
APA
复制
导出至
BibTeX EndNote RefMan NoteFirst NoteExpress
×
提示
您的信息不完整,为了账户安全,请先补充。
现在去补充
×
提示
您因"违规操作"
具体请查看互助需知
我知道了
×
提示
确定
请完成安全验证×
copy
已复制链接
快去分享给好友吧!
我知道了
右上角分享
点击右上角分享
0
联系我们:info@booksci.cn Book学术提供免费学术资源搜索服务,方便国内外学者检索中英文文献。致力于提供最便捷和优质的服务体验。 Copyright © 2023 布克学术 All rights reserved.
京ICP备2023020795号-1
ghs 京公网安备 11010802042870号
Book学术文献互助
Book学术文献互助群
群 号:604180095
Book学术官方微信