上颌骨鳞状牙本质瘤中出现的鳞状细胞癌:病例报告和文献综述。

IF 4.1 Q2 PATHOLOGY
Fawaz Alotaibi, Yousef Alshamrani, Harish Tummala, Abdulrahman Hesham, Leticia Ferreira Cabido, Mehrnaz Tahmasbi, John M Wright
{"title":"上颌骨鳞状牙本质瘤中出现的鳞状细胞癌:病例报告和文献综述。","authors":"Fawaz Alotaibi, Yousef Alshamrani, Harish Tummala, Abdulrahman Hesham, Leticia Ferreira Cabido, Mehrnaz Tahmasbi, John M Wright","doi":"10.1007/s12105-024-01692-9","DOIUrl":null,"url":null,"abstract":"<p><p>Squamous odontogenic tumor (SOT) is an exceedingly rare, benign epithelial odontogenic tumor showing squamous differentiation. It is composed of variably sized and shaped islands of cytologically bland, mature squamous epithelium within a fibrous stroma. In this report, we present a rare transformation of a squamous odontogenic tumor (SOT) of the maxilla into a well-differentiated squamous cell carcinoma (SCC) with involvement of the pterygoid plates. To the best of our knowledge, only two cases of malignant transformation of SOT has been reported in the literature. Herein, we seek to report this extremely rare occurrence to raise awareness of oral and maxillofacial surgeons and pathologists of this unusual, but serious event and perform a literature review of squamous odontogenic tumors.</p>","PeriodicalId":47972,"journal":{"name":"Head & Neck Pathology","volume":"18 1","pages":"113"},"PeriodicalIF":4.1000,"publicationDate":"2024-10-24","publicationTypes":"Journal Article","fieldsOfStudy":null,"isOpenAccess":false,"openAccessPdf":"https://www.ncbi.nlm.nih.gov/pmc/articles/PMC11502723/pdf/","citationCount":"0","resultStr":"{\"title\":\"Squamous Cell Carcinoma Arising in a Squamous Odontogenic Tumor of the Maxilla: Case Report and Review of the Literature.\",\"authors\":\"Fawaz Alotaibi, Yousef Alshamrani, Harish Tummala, Abdulrahman Hesham, Leticia Ferreira Cabido, Mehrnaz Tahmasbi, John M Wright\",\"doi\":\"10.1007/s12105-024-01692-9\",\"DOIUrl\":null,\"url\":null,\"abstract\":\"<p><p>Squamous odontogenic tumor (SOT) is an exceedingly rare, benign epithelial odontogenic tumor showing squamous differentiation. It is composed of variably sized and shaped islands of cytologically bland, mature squamous epithelium within a fibrous stroma. In this report, we present a rare transformation of a squamous odontogenic tumor (SOT) of the maxilla into a well-differentiated squamous cell carcinoma (SCC) with involvement of the pterygoid plates. To the best of our knowledge, only two cases of malignant transformation of SOT has been reported in the literature. Herein, we seek to report this extremely rare occurrence to raise awareness of oral and maxillofacial surgeons and pathologists of this unusual, but serious event and perform a literature review of squamous odontogenic tumors.</p>\",\"PeriodicalId\":47972,\"journal\":{\"name\":\"Head & Neck Pathology\",\"volume\":\"18 1\",\"pages\":\"113\"},\"PeriodicalIF\":4.1000,\"publicationDate\":\"2024-10-24\",\"publicationTypes\":\"Journal Article\",\"fieldsOfStudy\":null,\"isOpenAccess\":false,\"openAccessPdf\":\"https://www.ncbi.nlm.nih.gov/pmc/articles/PMC11502723/pdf/\",\"citationCount\":\"0\",\"resultStr\":null,\"platform\":\"Semanticscholar\",\"paperid\":null,\"PeriodicalName\":\"Head & Neck Pathology\",\"FirstCategoryId\":\"1085\",\"ListUrlMain\":\"https://doi.org/10.1007/s12105-024-01692-9\",\"RegionNum\":0,\"RegionCategory\":null,\"ArticlePicture\":[],\"TitleCN\":null,\"AbstractTextCN\":null,\"PMCID\":null,\"EPubDate\":\"\",\"PubModel\":\"\",\"JCR\":\"Q2\",\"JCRName\":\"PATHOLOGY\",\"Score\":null,\"Total\":0}","platform":"Semanticscholar","paperid":null,"PeriodicalName":"Head & Neck Pathology","FirstCategoryId":"1085","ListUrlMain":"https://doi.org/10.1007/s12105-024-01692-9","RegionNum":0,"RegionCategory":null,"ArticlePicture":[],"TitleCN":null,"AbstractTextCN":null,"PMCID":null,"EPubDate":"","PubModel":"","JCR":"Q2","JCRName":"PATHOLOGY","Score":null,"Total":0}
引用次数: 0

摘要

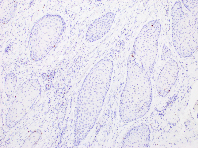
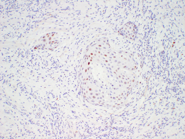
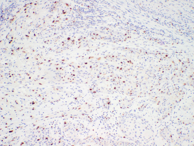
鳞状牙本质瘤(SOT)是一种极为罕见的良性上皮性牙本质肿瘤,呈鳞状分化。它是由纤维基质中大小不一、形状各异的细胞学平滑的成熟鳞状上皮细胞岛组成。在本报告中,我们介绍了一例罕见的上颌骨鳞状牙本质瘤(SOT)转变为分化良好的鳞状细胞癌(SCC)并累及翼管板的病例。据我们所知,文献中仅报道过两例SOT恶性转化的病例。在此,我们试图报告这一极为罕见的病例,以提高口腔颌面外科医生和病理学家对这一不寻常但严重的病例的认识,并对鳞状牙源性肿瘤进行文献综述。
本文章由计算机程序翻译,如有差异,请以英文原文为准。

Squamous Cell Carcinoma Arising in a Squamous Odontogenic Tumor of the Maxilla: Case Report and Review of the Literature.

Squamous Cell Carcinoma Arising in a Squamous Odontogenic Tumor of the Maxilla: Case Report and Review of the Literature.

Squamous Cell Carcinoma Arising in a Squamous Odontogenic Tumor of the Maxilla: Case Report and Review of the Literature.

Squamous Cell Carcinoma Arising in a Squamous Odontogenic Tumor of the Maxilla: Case Report and Review of the Literature.

Squamous odontogenic tumor (SOT) is an exceedingly rare, benign epithelial odontogenic tumor showing squamous differentiation. It is composed of variably sized and shaped islands of cytologically bland, mature squamous epithelium within a fibrous stroma. In this report, we present a rare transformation of a squamous odontogenic tumor (SOT) of the maxilla into a well-differentiated squamous cell carcinoma (SCC) with involvement of the pterygoid plates. To the best of our knowledge, only two cases of malignant transformation of SOT has been reported in the literature. Herein, we seek to report this extremely rare occurrence to raise awareness of oral and maxillofacial surgeons and pathologists of this unusual, but serious event and perform a literature review of squamous odontogenic tumors.

求助全文
通过发布文献求助,成功后即可免费获取论文全文。 去求助
来源期刊
CiteScore
5.70
自引率
9.50%
发文量
99
期刊介绍: Head & Neck Pathology presents scholarly papers, reviews and symposia that cover the spectrum of human surgical pathology within the anatomic zones of the oral cavity, sinonasal tract, larynx, hypopharynx, salivary gland, ear and temporal bone, and neck. The journal publishes rapid developments in new diagnostic criteria, intraoperative consultation, immunohistochemical studies, molecular techniques, genetic analyses, diagnostic aids, experimental pathology, cytology, radiographic imaging, and application of uniform terminology to allow practitioners to continue to maintain and expand their knowledge in the subspecialty of head and neck pathology. Coverage of practical application to daily clinical practice is supported with proceedings and symposia from international societies and academies devoted to this field. Single-blind peer review The journal follows a single-blind review procedure, where the reviewers are aware of the names and affiliations of the authors, but the reviewer reports provided to authors are anonymous. Single-blind peer review is the traditional model of peer review that many reviewers are comfortable with, and it facilitates a dispassionate critique of a manuscript.
×
引用
GB/T 7714-2015
复制
MLA
复制
APA
复制
导出至
BibTeX EndNote RefMan NoteFirst NoteExpress
×
提示
您的信息不完整,为了账户安全,请先补充。
现在去补充
×
提示
您因"违规操作"
具体请查看互助需知
我知道了
×
提示
确定
请完成安全验证×
copy
已复制链接
快去分享给好友吧!
我知道了
右上角分享
点击右上角分享
0
联系我们:info@booksci.cn Book学术提供免费学术资源搜索服务,方便国内外学者检索中英文文献。致力于提供最便捷和优质的服务体验。 Copyright © 2023 布克学术 All rights reserved.
京ICP备2023020795号-1
ghs 京公网安备 11010802042870号
Book学术文献互助
Book学术文献互助群
群 号:604180095
Book学术官方微信