蝶窦的解剖变异会影响垂体手术中的蝶窦暴露和残留疾病吗?- 印度人群研究。

IF 1.1 Q3 OTORHINOLARYNGOLOGY
International Archives of Otorhinolaryngology Pub Date : 2024-10-25 eCollection Date: 2024-10-01 DOI:10.1055/s-0044-1788313
Aparna Gopalakrishnan, Sivaraman Ganesan, Andi Sadayandi Ramesh, Ananthakrishnan Ramesh, Lokesh Kumar Penubarathi, Kalaiarasi Raja, Jijitha Lakshmanan, Akshat Khushwaha, Koshika Kaushal, Arun Alexander
{"title":"蝶窦的解剖变异会影响垂体手术中的蝶窦暴露和残留疾病吗?- 印度人群研究。","authors":"Aparna Gopalakrishnan, Sivaraman Ganesan, Andi Sadayandi Ramesh, Ananthakrishnan Ramesh, Lokesh Kumar Penubarathi, Kalaiarasi Raja, Jijitha Lakshmanan, Akshat Khushwaha, Koshika Kaushal, Arun Alexander","doi":"10.1055/s-0044-1788313","DOIUrl":null,"url":null,"abstract":"<p><p><b>Introduction</b>  Endoscopic transsphenoidal surgery (ETS) is the standard practice in pituitary surgeries. The sellar exposure becomes the main factor which determines the residual disease in ETS. Not many studies can be found in the literature on the influence of anatomical variations of the sphenoid on intraoperative sella exposure. <b>Objective</b>  The aim of the current study is to ascertain whether sphenoid sinus variations play a role in sellar exposure and residual tumor volume. <b>Methods</b>  This is a prospective study conducted in a south Indian tertiary care center between June 2020 to June 2022, with 21 study participants who were scheduled to have ETS. The relation of preoperative computed tomography (CT) and magnetic resonance imaging (MRI) parameters with the intraoperative area of sellar exposure and residual tumor volume was evaluated. <b>Results</b>  Sphenoid sinus dimensions, like presellar width (mean = 1.89 ± 0.51 cm), maximum width (mean = 2.94 ± 1.09 cm), presellar depth (mean = 1.14 ± 0.55 cm), suprasellar depth (mean = 1.08 ± 0.24 cm), infrasellar depth (mean = 2.36 ± 0.92 cm), presellar height (mean = 2.22 ± 0.47 cm), or the 9 internal carotid artery (ICA)-related measures, did not have any correlation with the mean intraoperative area of sellar exposure (0.57 ± 0.28 cm <sup>2</sup> ). Also, the adequacy of sellar exposure did not relate to the residual tumor. Preoperative tumor volume was found to be higher (20.2 [55.3-13.2] cm <sup>3</sup> ) in patients with residual tumor compared with those with no residual tumor (5.9 [6.8-5.2] cm <sup>3</sup> ). Tumor extension had a significant association with the residual tumor volume. <b>Conclusion</b>  According to the present study, anatomical variations of the sphenoid sinus do not influence the adequacy of sellar exposure. Further studies need to be undertaken concerning residual tumor volume as well as preoperative tumor volume and extension.</p>","PeriodicalId":13731,"journal":{"name":"International Archives of Otorhinolaryngology","volume":"28 4","pages":"e643-e649"},"PeriodicalIF":1.1000,"publicationDate":"2024-10-25","publicationTypes":"Journal Article","fieldsOfStudy":null,"isOpenAccess":false,"openAccessPdf":"https://www.ncbi.nlm.nih.gov/pmc/articles/PMC11511458/pdf/","citationCount":"0","resultStr":"{\"title\":\"Do Anatomical Variations of Sphenoid Sinus Influence Sella Exposure and Residual Disease in Pituitary Surgery? - A Study in an Indian Population.\",\"authors\":\"Aparna Gopalakrishnan, Sivaraman Ganesan, Andi Sadayandi Ramesh, Ananthakrishnan Ramesh, Lokesh Kumar Penubarathi, Kalaiarasi Raja, Jijitha Lakshmanan, Akshat Khushwaha, Koshika Kaushal, Arun Alexander\",\"doi\":\"10.1055/s-0044-1788313\",\"DOIUrl\":null,\"url\":null,\"abstract\":\"<p><p><b>Introduction</b>  Endoscopic transsphenoidal surgery (ETS) is the standard practice in pituitary surgeries. The sellar exposure becomes the main factor which determines the residual disease in ETS. Not many studies can be found in the literature on the influence of anatomical variations of the sphenoid on intraoperative sella exposure. <b>Objective</b>  The aim of the current study is to ascertain whether sphenoid sinus variations play a role in sellar exposure and residual tumor volume. <b>Methods</b>  This is a prospective study conducted in a south Indian tertiary care center between June 2020 to June 2022, with 21 study participants who were scheduled to have ETS. The relation of preoperative computed tomography (CT) and magnetic resonance imaging (MRI) parameters with the intraoperative area of sellar exposure and residual tumor volume was evaluated. <b>Results</b>  Sphenoid sinus dimensions, like presellar width (mean = 1.89 ± 0.51 cm), maximum width (mean = 2.94 ± 1.09 cm), presellar depth (mean = 1.14 ± 0.55 cm), suprasellar depth (mean = 1.08 ± 0.24 cm), infrasellar depth (mean = 2.36 ± 0.92 cm), presellar height (mean = 2.22 ± 0.47 cm), or the 9 internal carotid artery (ICA)-related measures, did not have any correlation with the mean intraoperative area of sellar exposure (0.57 ± 0.28 cm <sup>2</sup> ). Also, the adequacy of sellar exposure did not relate to the residual tumor. Preoperative tumor volume was found to be higher (20.2 [55.3-13.2] cm <sup>3</sup> ) in patients with residual tumor compared with those with no residual tumor (5.9 [6.8-5.2] cm <sup>3</sup> ). Tumor extension had a significant association with the residual tumor volume. <b>Conclusion</b>  According to the present study, anatomical variations of the sphenoid sinus do not influence the adequacy of sellar exposure. Further studies need to be undertaken concerning residual tumor volume as well as preoperative tumor volume and extension.</p>\",\"PeriodicalId\":13731,\"journal\":{\"name\":\"International Archives of Otorhinolaryngology\",\"volume\":\"28 4\",\"pages\":\"e643-e649\"},\"PeriodicalIF\":1.1000,\"publicationDate\":\"2024-10-25\",\"publicationTypes\":\"Journal Article\",\"fieldsOfStudy\":null,\"isOpenAccess\":false,\"openAccessPdf\":\"https://www.ncbi.nlm.nih.gov/pmc/articles/PMC11511458/pdf/\",\"citationCount\":\"0\",\"resultStr\":null,\"platform\":\"Semanticscholar\",\"paperid\":null,\"PeriodicalName\":\"International Archives of Otorhinolaryngology\",\"FirstCategoryId\":\"1085\",\"ListUrlMain\":\"https://doi.org/10.1055/s-0044-1788313\",\"RegionNum\":0,\"RegionCategory\":null,\"ArticlePicture\":[],\"TitleCN\":null,\"AbstractTextCN\":null,\"PMCID\":null,\"EPubDate\":\"2024/10/1 0:00:00\",\"PubModel\":\"eCollection\",\"JCR\":\"Q3\",\"JCRName\":\"OTORHINOLARYNGOLOGY\",\"Score\":null,\"Total\":0}","platform":"Semanticscholar","paperid":null,"PeriodicalName":"International Archives of Otorhinolaryngology","FirstCategoryId":"1085","ListUrlMain":"https://doi.org/10.1055/s-0044-1788313","RegionNum":0,"RegionCategory":null,"ArticlePicture":[],"TitleCN":null,"AbstractTextCN":null,"PMCID":null,"EPubDate":"2024/10/1 0:00:00","PubModel":"eCollection","JCR":"Q3","JCRName":"OTORHINOLARYNGOLOGY","Score":null,"Total":0}
引用次数: 0

摘要

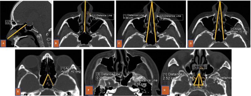
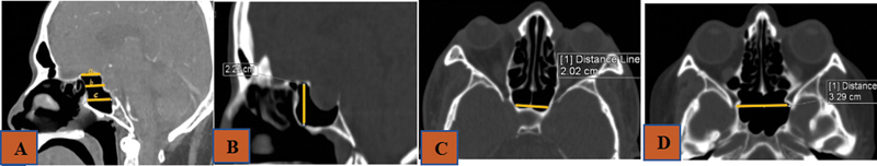
引言 内窥镜经蝶手术(ETS)是垂体手术的标准做法。在 ETS 中,蝶鞍暴露是决定残留疾病的主要因素。关于蝶鞍解剖变异对术中蝶鞍暴露影响的研究文献并不多。目的 本研究旨在确定蝶窦变异是否对蝶窦暴露和残余肿瘤体积有影响。方法 这是一项前瞻性研究,于 2020 年 6 月至 2022 年 6 月期间在印度南部的一家三级医疗中心进行,共有 21 名计划接受 ETS 的研究参与者。评估术前计算机断层扫描(CT)和磁共振成像(MRI)参数与术中蝶窦暴露面积和残余肿瘤体积的关系。结果 蝶窦尺寸,如蝶窦前宽(平均 = 1.89 ± 0.51 厘米)、最大宽度(平均 = 2.94 ± 1.09 厘米)、蝶窦前深(平均 = 1.14 ± 0.55 厘米)、蝶窦上深(平均 = 1.08 ± 0.24 cm)、髌下深度(平均 = 2.36 ± 0.92 cm)、髌前高度(平均 = 2.22 ± 0.47 cm)或 9 个颈内动脉(ICA)相关测量值与术中平均蝶鞍暴露面积(0.57 ± 0.28 cm 2)没有任何相关性。此外,蝶鞍暴露是否充分与残余肿瘤也没有关系。与无残留肿瘤的患者(5.9 [6.8-5.2] cm 3)相比,有残留肿瘤的患者术前肿瘤体积更高(20.2 [55.3-13.2] cm 3)。肿瘤的扩展与残留肿瘤体积有显著关系。结论 根据本研究,蝶窦的解剖变异不会影响蝶窦暴露的充分性。关于残余肿瘤体积以及术前肿瘤体积和扩展情况,还需要进一步研究。
本文章由计算机程序翻译,如有差异,请以英文原文为准。

Do Anatomical Variations of Sphenoid Sinus Influence Sella Exposure and Residual Disease in Pituitary Surgery? - A Study in an Indian Population.

Do Anatomical Variations of Sphenoid Sinus Influence Sella Exposure and Residual Disease in Pituitary Surgery? - A Study in an Indian Population.

Do Anatomical Variations of Sphenoid Sinus Influence Sella Exposure and Residual Disease in Pituitary Surgery? - A Study in an Indian Population.

Do Anatomical Variations of Sphenoid Sinus Influence Sella Exposure and Residual Disease in Pituitary Surgery? - A Study in an Indian Population.

Introduction  Endoscopic transsphenoidal surgery (ETS) is the standard practice in pituitary surgeries. The sellar exposure becomes the main factor which determines the residual disease in ETS. Not many studies can be found in the literature on the influence of anatomical variations of the sphenoid on intraoperative sella exposure. Objective  The aim of the current study is to ascertain whether sphenoid sinus variations play a role in sellar exposure and residual tumor volume. Methods  This is a prospective study conducted in a south Indian tertiary care center between June 2020 to June 2022, with 21 study participants who were scheduled to have ETS. The relation of preoperative computed tomography (CT) and magnetic resonance imaging (MRI) parameters with the intraoperative area of sellar exposure and residual tumor volume was evaluated. Results  Sphenoid sinus dimensions, like presellar width (mean = 1.89 ± 0.51 cm), maximum width (mean = 2.94 ± 1.09 cm), presellar depth (mean = 1.14 ± 0.55 cm), suprasellar depth (mean = 1.08 ± 0.24 cm), infrasellar depth (mean = 2.36 ± 0.92 cm), presellar height (mean = 2.22 ± 0.47 cm), or the 9 internal carotid artery (ICA)-related measures, did not have any correlation with the mean intraoperative area of sellar exposure (0.57 ± 0.28 cm 2 ). Also, the adequacy of sellar exposure did not relate to the residual tumor. Preoperative tumor volume was found to be higher (20.2 [55.3-13.2] cm 3 ) in patients with residual tumor compared with those with no residual tumor (5.9 [6.8-5.2] cm 3 ). Tumor extension had a significant association with the residual tumor volume. Conclusion  According to the present study, anatomical variations of the sphenoid sinus do not influence the adequacy of sellar exposure. Further studies need to be undertaken concerning residual tumor volume as well as preoperative tumor volume and extension.

求助全文
通过发布文献求助,成功后即可免费获取论文全文。 去求助
来源期刊
CiteScore
2.80
自引率
0.00%
发文量
84
审稿时长
12 weeks
×
引用
GB/T 7714-2015
复制
MLA
复制
APA
复制
导出至
BibTeX EndNote RefMan NoteFirst NoteExpress
×
提示
您的信息不完整,为了账户安全,请先补充。
现在去补充
×
提示
您因"违规操作"
具体请查看互助需知
我知道了
×
提示
确定
请完成安全验证×
copy
已复制链接
快去分享给好友吧!
我知道了
右上角分享
点击右上角分享
0
联系我们:info@booksci.cn Book学术提供免费学术资源搜索服务,方便国内外学者检索中英文文献。致力于提供最便捷和优质的服务体验。 Copyright © 2023 布克学术 All rights reserved.
京ICP备2023020795号-1
ghs 京公网安备 11010802042870号
Book学术文献互助
Book学术文献互助群
群 号:604180095
Book学术官方微信