玻璃体内注射更昔洛韦后出现亚急性中毒性色素性视网膜病变。

Korean journal of ophthalmology : KJO Pub Date : 2024-12-01 Epub Date: 2024-10-22 DOI:10.3341/kjo.2024.0072
Dohyeon An, Young-Hoon Park, Bo-Een Hwang
{"title":"玻璃体内注射更昔洛韦后出现亚急性中毒性色素性视网膜病变。","authors":"Dohyeon An, Young-Hoon Park, Bo-Een Hwang","doi":"10.3341/kjo.2024.0072","DOIUrl":null,"url":null,"abstract":"","PeriodicalId":101356,"journal":{"name":"Korean journal of ophthalmology : KJO","volume":" ","pages":"513-515"},"PeriodicalIF":0.0000,"publicationDate":"2024-12-01","publicationTypes":"Journal Article","fieldsOfStudy":null,"isOpenAccess":false,"openAccessPdf":"https://www.ncbi.nlm.nih.gov/pmc/articles/PMC11647094/pdf/","citationCount":"0","resultStr":"{\"title\":\"Subacute Toxic Pigmentary Retinopathy after Intravitreal Ganciclovir Injection: A Case Report.\",\"authors\":\"Dohyeon An, Young-Hoon Park, Bo-Een Hwang\",\"doi\":\"10.3341/kjo.2024.0072\",\"DOIUrl\":null,\"url\":null,\"abstract\":\"\",\"PeriodicalId\":101356,\"journal\":{\"name\":\"Korean journal of ophthalmology : KJO\",\"volume\":\" \",\"pages\":\"513-515\"},\"PeriodicalIF\":0.0000,\"publicationDate\":\"2024-12-01\",\"publicationTypes\":\"Journal Article\",\"fieldsOfStudy\":null,\"isOpenAccess\":false,\"openAccessPdf\":\"https://www.ncbi.nlm.nih.gov/pmc/articles/PMC11647094/pdf/\",\"citationCount\":\"0\",\"resultStr\":null,\"platform\":\"Semanticscholar\",\"paperid\":null,\"PeriodicalName\":\"Korean journal of ophthalmology : KJO\",\"FirstCategoryId\":\"1085\",\"ListUrlMain\":\"https://doi.org/10.3341/kjo.2024.0072\",\"RegionNum\":0,\"RegionCategory\":null,\"ArticlePicture\":[],\"TitleCN\":null,\"AbstractTextCN\":null,\"PMCID\":null,\"EPubDate\":\"2024/10/22 0:00:00\",\"PubModel\":\"Epub\",\"JCR\":\"\",\"JCRName\":\"\",\"Score\":null,\"Total\":0}","platform":"Semanticscholar","paperid":null,"PeriodicalName":"Korean journal of ophthalmology : KJO","FirstCategoryId":"1085","ListUrlMain":"https://doi.org/10.3341/kjo.2024.0072","RegionNum":0,"RegionCategory":null,"ArticlePicture":[],"TitleCN":null,"AbstractTextCN":null,"PMCID":null,"EPubDate":"2024/10/22 0:00:00","PubModel":"Epub","JCR":"","JCRName":"","Score":null,"Total":0}
引用次数: 0

摘要

本文章由计算机程序翻译,如有差异,请以英文原文为准。

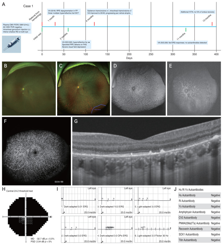
Subacute Toxic Pigmentary Retinopathy after Intravitreal Ganciclovir Injection: A Case Report.

Subacute Toxic Pigmentary Retinopathy after Intravitreal Ganciclovir Injection: A Case Report.
求助全文
通过发布文献求助,成功后即可免费获取论文全文。 去求助
来源期刊
自引率
0.00%
发文量
0
×
引用
GB/T 7714-2015
复制
MLA
复制
APA
复制
导出至
BibTeX EndNote RefMan NoteFirst NoteExpress
×
提示
您的信息不完整,为了账户安全,请先补充。
现在去补充
×
提示
您因"违规操作"
具体请查看互助需知
我知道了
×
提示
确定
请完成安全验证×
copy
已复制链接
快去分享给好友吧!
我知道了
右上角分享
点击右上角分享
0
联系我们:info@booksci.cn Book学术提供免费学术资源搜索服务,方便国内外学者检索中英文文献。致力于提供最便捷和优质的服务体验。 Copyright © 2023 布克学术 All rights reserved.
京ICP备2023020795号-1
ghs 京公网安备 11010802042870号
Book学术文献互助
Book学术文献互助群
群 号:604180095
Book学术官方微信