经导管封堵隐源性中风后伴有小相邻心房间隔缺损和双心房间隔缺损的大孔室。

IF 0.9
Journal of medical cases Pub Date : 2024-11-01 Epub Date: 2024-10-10 DOI:10.14740/jmc4296
Michaela Kyriakou, Christos Rotos, Thrasos Constantinides, Demetris Taliotis, Christos Eftychiou
{"title":"经导管封堵隐源性中风后伴有小相邻心房间隔缺损和双心房间隔缺损的大孔室。","authors":"Michaela Kyriakou, Christos Rotos, Thrasos Constantinides, Demetris Taliotis, Christos Eftychiou","doi":"10.14740/jmc4296","DOIUrl":null,"url":null,"abstract":"<p><p>The phenomenon of double interatrial septum (DIAS) represents a particularly rare subtype of atrial septal malformation, characterized by the presence of dual membranes separating the atria, resulting in a distinctive interatrial space. This unique anatomical structure has been linked to a paradoxical right-to-left shunt, potentially contributing to embolic ischemic strokes. Within this context, we report a rare case of a 34-year-old female who presented with a transient ischemic attack (TIA) and was diagnosed with patent foramen ovale (PFO) and a small adjacent atrial septal defect (ASD), along with the presence of a DIAS. The diagnosis was confirmed wit transoesophageal echocardiography and cardiac magnetic resonance imaging (MRI), and the condition was successfully treated with a transcatheter occluder device.</p>","PeriodicalId":101328,"journal":{"name":"Journal of medical cases","volume":"15 11","pages":"330-334"},"PeriodicalIF":0.9000,"publicationDate":"2024-11-01","publicationTypes":"Journal Article","fieldsOfStudy":null,"isOpenAccess":false,"openAccessPdf":"https://www.ncbi.nlm.nih.gov/pmc/articles/PMC11483143/pdf/","citationCount":"0","resultStr":"{\"title\":\"Transcatheter Closure of a Patent Foramen Ovale With a Small Adjacent Atrial Septal Defect and a Double Interatrial Septum Post Cryptogenic Stroke.\",\"authors\":\"Michaela Kyriakou, Christos Rotos, Thrasos Constantinides, Demetris Taliotis, Christos Eftychiou\",\"doi\":\"10.14740/jmc4296\",\"DOIUrl\":null,\"url\":null,\"abstract\":\"<p><p>The phenomenon of double interatrial septum (DIAS) represents a particularly rare subtype of atrial septal malformation, characterized by the presence of dual membranes separating the atria, resulting in a distinctive interatrial space. This unique anatomical structure has been linked to a paradoxical right-to-left shunt, potentially contributing to embolic ischemic strokes. Within this context, we report a rare case of a 34-year-old female who presented with a transient ischemic attack (TIA) and was diagnosed with patent foramen ovale (PFO) and a small adjacent atrial septal defect (ASD), along with the presence of a DIAS. The diagnosis was confirmed wit transoesophageal echocardiography and cardiac magnetic resonance imaging (MRI), and the condition was successfully treated with a transcatheter occluder device.</p>\",\"PeriodicalId\":101328,\"journal\":{\"name\":\"Journal of medical cases\",\"volume\":\"15 11\",\"pages\":\"330-334\"},\"PeriodicalIF\":0.9000,\"publicationDate\":\"2024-11-01\",\"publicationTypes\":\"Journal Article\",\"fieldsOfStudy\":null,\"isOpenAccess\":false,\"openAccessPdf\":\"https://www.ncbi.nlm.nih.gov/pmc/articles/PMC11483143/pdf/\",\"citationCount\":\"0\",\"resultStr\":null,\"platform\":\"Semanticscholar\",\"paperid\":null,\"PeriodicalName\":\"Journal of medical cases\",\"FirstCategoryId\":\"1085\",\"ListUrlMain\":\"https://doi.org/10.14740/jmc4296\",\"RegionNum\":0,\"RegionCategory\":null,\"ArticlePicture\":[],\"TitleCN\":null,\"AbstractTextCN\":null,\"PMCID\":null,\"EPubDate\":\"2024/10/10 0:00:00\",\"PubModel\":\"Epub\",\"JCR\":\"\",\"JCRName\":\"\",\"Score\":null,\"Total\":0}","platform":"Semanticscholar","paperid":null,"PeriodicalName":"Journal of medical cases","FirstCategoryId":"1085","ListUrlMain":"https://doi.org/10.14740/jmc4296","RegionNum":0,"RegionCategory":null,"ArticlePicture":[],"TitleCN":null,"AbstractTextCN":null,"PMCID":null,"EPubDate":"2024/10/10 0:00:00","PubModel":"Epub","JCR":"","JCRName":"","Score":null,"Total":0}
引用次数: 0

摘要

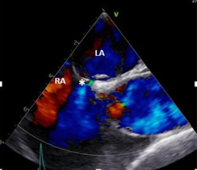
双房间隔(DIAS)现象是一种特别罕见的房间隔畸形亚型,其特点是存在双膜将心房分隔开来,形成一个独特的心房间隙。这种独特的解剖结构与矛盾性右向左分流有关,可能导致栓塞性缺血性脑卒中。在此背景下,我们报告了一例罕见病例,患者是一名 34 岁女性,突发短暂性脑缺血发作(TIA),被诊断为卵圆孔未闭(PFO)和邻近的一个小的房间隔缺损(ASD),并伴有 DIAS。经食道超声心动图和心脏磁共振成像(MRI)证实了这一诊断,并使用经导管封堵器成功治疗了该病。
本文章由计算机程序翻译,如有差异,请以英文原文为准。

Transcatheter Closure of a Patent Foramen Ovale With a Small Adjacent Atrial Septal Defect and a Double Interatrial Septum Post Cryptogenic Stroke.

Transcatheter Closure of a Patent Foramen Ovale With a Small Adjacent Atrial Septal Defect and a Double Interatrial Septum Post Cryptogenic Stroke.

Transcatheter Closure of a Patent Foramen Ovale With a Small Adjacent Atrial Septal Defect and a Double Interatrial Septum Post Cryptogenic Stroke.

Transcatheter Closure of a Patent Foramen Ovale With a Small Adjacent Atrial Septal Defect and a Double Interatrial Septum Post Cryptogenic Stroke.

The phenomenon of double interatrial septum (DIAS) represents a particularly rare subtype of atrial septal malformation, characterized by the presence of dual membranes separating the atria, resulting in a distinctive interatrial space. This unique anatomical structure has been linked to a paradoxical right-to-left shunt, potentially contributing to embolic ischemic strokes. Within this context, we report a rare case of a 34-year-old female who presented with a transient ischemic attack (TIA) and was diagnosed with patent foramen ovale (PFO) and a small adjacent atrial septal defect (ASD), along with the presence of a DIAS. The diagnosis was confirmed wit transoesophageal echocardiography and cardiac magnetic resonance imaging (MRI), and the condition was successfully treated with a transcatheter occluder device.

求助全文
通过发布文献求助,成功后即可免费获取论文全文。 去求助
来源期刊
CiteScore
1.10
自引率
0.00%
发文量
0
×
引用
GB/T 7714-2015
复制
MLA
复制
APA
复制
导出至
BibTeX EndNote RefMan NoteFirst NoteExpress
×
提示
您的信息不完整,为了账户安全,请先补充。
现在去补充
×
提示
您因"违规操作"
具体请查看互助需知
我知道了
×
提示
确定
请完成安全验证×
copy
已复制链接
快去分享给好友吧!
我知道了
右上角分享
点击右上角分享
0
联系我们:info@booksci.cn Book学术提供免费学术资源搜索服务,方便国内外学者检索中英文文献。致力于提供最便捷和优质的服务体验。 Copyright © 2023 布克学术 All rights reserved.
京ICP备2023020795号-1
ghs 京公网安备 11010802042870号
Book学术文献互助
Book学术文献互助群
群 号:604180095
Book学术官方微信