单侧肺动脉缺失患者胸腔镜下肺叶切除术治疗肺癌:病例报告与叙事回顾。

IF 1.3
Jiangshan Ai, Lianzheng Zhao, Huijiang Gao
{"title":"单侧肺动脉缺失患者胸腔镜下肺叶切除术治疗肺癌:病例报告与叙事回顾。","authors":"Jiangshan Ai, Lianzheng Zhao, Huijiang Gao","doi":"10.5761/atcs.cr.24-00115","DOIUrl":null,"url":null,"abstract":"<p><p>Unilateral absence of a pulmonary artery (UAPA) is an uncommon congenital anomaly. Among the rarer conditions, UAPA with lung cancer has been previously reported in 13 cases; however, there remains controversy regarding the surgical approach and precautions. Herein, we present a case study of a 56-year-old female patient who was incidentally diagnosed with a nodule in the right lower lobe of the lung during a routine physical examination and subsequently found to have an absent right pulmonary artery upon preoperative evaluation. A wedge resection of the right lower lobe was performed as treatment. Postoperative pathology confirmed invasive adenocarcinoma (pT1N0M0). We provide a narrative review of existing literature on these patients and discuss optimal surgical management strategies.</p>","PeriodicalId":93877,"journal":{"name":"Annals of thoracic and cardiovascular surgery : official journal of the Association of Thoracic and Cardiovascular Surgeons of Asia","volume":"30 1","pages":""},"PeriodicalIF":1.3000,"publicationDate":"2024-01-01","publicationTypes":"Journal Article","fieldsOfStudy":null,"isOpenAccess":false,"openAccessPdf":"https://www.ncbi.nlm.nih.gov/pmc/articles/PMC11491509/pdf/","citationCount":"0","resultStr":"{\"title\":\"Thoracoscopic Sublobectomy for Lung Cancer in a Patient with Unilateral Absence of Pulmonary Artery: Case Report and Narrative Review.\",\"authors\":\"Jiangshan Ai, Lianzheng Zhao, Huijiang Gao\",\"doi\":\"10.5761/atcs.cr.24-00115\",\"DOIUrl\":null,\"url\":null,\"abstract\":\"<p><p>Unilateral absence of a pulmonary artery (UAPA) is an uncommon congenital anomaly. Among the rarer conditions, UAPA with lung cancer has been previously reported in 13 cases; however, there remains controversy regarding the surgical approach and precautions. Herein, we present a case study of a 56-year-old female patient who was incidentally diagnosed with a nodule in the right lower lobe of the lung during a routine physical examination and subsequently found to have an absent right pulmonary artery upon preoperative evaluation. A wedge resection of the right lower lobe was performed as treatment. Postoperative pathology confirmed invasive adenocarcinoma (pT1N0M0). We provide a narrative review of existing literature on these patients and discuss optimal surgical management strategies.</p>\",\"PeriodicalId\":93877,\"journal\":{\"name\":\"Annals of thoracic and cardiovascular surgery : official journal of the Association of Thoracic and Cardiovascular Surgeons of Asia\",\"volume\":\"30 1\",\"pages\":\"\"},\"PeriodicalIF\":1.3000,\"publicationDate\":\"2024-01-01\",\"publicationTypes\":\"Journal Article\",\"fieldsOfStudy\":null,\"isOpenAccess\":false,\"openAccessPdf\":\"https://www.ncbi.nlm.nih.gov/pmc/articles/PMC11491509/pdf/\",\"citationCount\":\"0\",\"resultStr\":null,\"platform\":\"Semanticscholar\",\"paperid\":null,\"PeriodicalName\":\"Annals of thoracic and cardiovascular surgery : official journal of the Association of Thoracic and Cardiovascular Surgeons of Asia\",\"FirstCategoryId\":\"1085\",\"ListUrlMain\":\"https://doi.org/10.5761/atcs.cr.24-00115\",\"RegionNum\":0,\"RegionCategory\":null,\"ArticlePicture\":[],\"TitleCN\":null,\"AbstractTextCN\":null,\"PMCID\":null,\"EPubDate\":\"\",\"PubModel\":\"\",\"JCR\":\"\",\"JCRName\":\"\",\"Score\":null,\"Total\":0}","platform":"Semanticscholar","paperid":null,"PeriodicalName":"Annals of thoracic and cardiovascular surgery : official journal of the Association of Thoracic and Cardiovascular Surgeons of Asia","FirstCategoryId":"1085","ListUrlMain":"https://doi.org/10.5761/atcs.cr.24-00115","RegionNum":0,"RegionCategory":null,"ArticlePicture":[],"TitleCN":null,"AbstractTextCN":null,"PMCID":null,"EPubDate":"","PubModel":"","JCR":"","JCRName":"","Score":null,"Total":0}
引用次数: 0

摘要

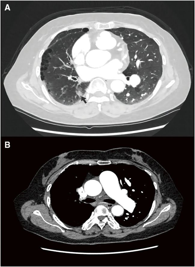
单侧肺动脉缺失(UAPA)是一种不常见的先天性畸形。在较罕见的情况中,UAPA 合并肺癌的病例此前已有 13 例报道;然而,关于手术方法和注意事项仍存在争议。在此,我们介绍了一例 56 岁女性患者的病例研究,她在一次常规体检中偶然被诊断为右肺下叶结节,随后在术前评估中发现右肺动脉缺失。患者接受了右肺下叶楔形切除术。术后病理证实为浸润性腺癌(pT1N0M0)。我们对有关这些患者的现有文献进行了叙述性回顾,并讨论了最佳手术治疗策略。
本文章由计算机程序翻译,如有差异,请以英文原文为准。

Thoracoscopic Sublobectomy for Lung Cancer in a Patient with Unilateral Absence of Pulmonary Artery: Case Report and Narrative Review.

Thoracoscopic Sublobectomy for Lung Cancer in a Patient with Unilateral Absence of Pulmonary Artery: Case Report and Narrative Review.

Thoracoscopic Sublobectomy for Lung Cancer in a Patient with Unilateral Absence of Pulmonary Artery: Case Report and Narrative Review.

Thoracoscopic Sublobectomy for Lung Cancer in a Patient with Unilateral Absence of Pulmonary Artery: Case Report and Narrative Review.

Unilateral absence of a pulmonary artery (UAPA) is an uncommon congenital anomaly. Among the rarer conditions, UAPA with lung cancer has been previously reported in 13 cases; however, there remains controversy regarding the surgical approach and precautions. Herein, we present a case study of a 56-year-old female patient who was incidentally diagnosed with a nodule in the right lower lobe of the lung during a routine physical examination and subsequently found to have an absent right pulmonary artery upon preoperative evaluation. A wedge resection of the right lower lobe was performed as treatment. Postoperative pathology confirmed invasive adenocarcinoma (pT1N0M0). We provide a narrative review of existing literature on these patients and discuss optimal surgical management strategies.

求助全文
通过发布文献求助,成功后即可免费获取论文全文。 去求助
来源期刊
自引率
0.00%
发文量
0
×
引用
GB/T 7714-2015
复制
MLA
复制
APA
复制
导出至
BibTeX EndNote RefMan NoteFirst NoteExpress
×
提示
您的信息不完整,为了账户安全,请先补充。
现在去补充
×
提示
您因"违规操作"
具体请查看互助需知
我知道了
×
提示
确定
请完成安全验证×
copy
已复制链接
快去分享给好友吧!
我知道了
右上角分享
点击右上角分享
0
联系我们:info@booksci.cn Book学术提供免费学术资源搜索服务,方便国内外学者检索中英文文献。致力于提供最便捷和优质的服务体验。 Copyright © 2023 布克学术 All rights reserved.
京ICP备2023020795号-1
ghs 京公网安备 11010802042870号
Book学术文献互助
Book学术文献互助群
群 号:604180095
Book学术官方微信