用醋酸环丙孕酮治疗两名变性女性需要手术的巨大颅内脑膜瘤。

JCEM case reports Pub Date : 2024-10-16 eCollection Date: 2024-10-01 DOI:10.1210/jcemcr/luae173
Matthew I Balcerek, Rachel Hovelroud, Matthew Ruhl, Brendan J Nolan
{"title":"用醋酸环丙孕酮治疗两名变性女性需要手术的巨大颅内脑膜瘤。","authors":"Matthew I Balcerek, Rachel Hovelroud, Matthew Ruhl, Brendan J Nolan","doi":"10.1210/jcemcr/luae173","DOIUrl":null,"url":null,"abstract":"<p><p>Progestin-associated meningioma is a rare complication of cyproterone acetate (CPA), an anti-androgen commonly prescribed in feminizing hormone therapy regimens for transgender and gender-diverse individuals. A dose-response association has been observed, particularly with longer-term exposure to doses ≥ 50 mg daily; however, the dose below which CPA use is safe remains unclear. We herein report the cases of 2 transgender women using CPA who developed meningioma. Novel aspects of our cases include: (i) the presence of symptomatic giant meningiomas (> 5 cm), including multiple meningiomas in one patient, requiring urgent surgical intervention; (ii) meningioma development with both high-dose, long duration and low-dose, shorter duration CPA; and (iii) the presence of a <i>PIK3CA</i> missense variant in one patient, which may play a role in the pathogenesis of progestin-associated meningioma. Our cases highlight the real-world risk of this likely underreported adverse effect and underscore the importance of clinician vigilance for neurological sequelae. We suggest using the lowest dose of CPA that maintains adequate androgen suppression, with consideration of alternative anti-androgens where appropriate.</p>","PeriodicalId":73540,"journal":{"name":"JCEM case reports","volume":"2 10","pages":"luae173"},"PeriodicalIF":0.0000,"publicationDate":"2024-10-16","publicationTypes":"Journal Article","fieldsOfStudy":null,"isOpenAccess":false,"openAccessPdf":"https://www.ncbi.nlm.nih.gov/pmc/articles/PMC11482003/pdf/","citationCount":"0","resultStr":"{\"title\":\"Giant Intracranial Meningiomas Requiring Surgery in 2 Transgender Women Treated With Cyproterone Acetate.\",\"authors\":\"Matthew I Balcerek, Rachel Hovelroud, Matthew Ruhl, Brendan J Nolan\",\"doi\":\"10.1210/jcemcr/luae173\",\"DOIUrl\":null,\"url\":null,\"abstract\":\"<p><p>Progestin-associated meningioma is a rare complication of cyproterone acetate (CPA), an anti-androgen commonly prescribed in feminizing hormone therapy regimens for transgender and gender-diverse individuals. A dose-response association has been observed, particularly with longer-term exposure to doses ≥ 50 mg daily; however, the dose below which CPA use is safe remains unclear. We herein report the cases of 2 transgender women using CPA who developed meningioma. Novel aspects of our cases include: (i) the presence of symptomatic giant meningiomas (> 5 cm), including multiple meningiomas in one patient, requiring urgent surgical intervention; (ii) meningioma development with both high-dose, long duration and low-dose, shorter duration CPA; and (iii) the presence of a <i>PIK3CA</i> missense variant in one patient, which may play a role in the pathogenesis of progestin-associated meningioma. Our cases highlight the real-world risk of this likely underreported adverse effect and underscore the importance of clinician vigilance for neurological sequelae. We suggest using the lowest dose of CPA that maintains adequate androgen suppression, with consideration of alternative anti-androgens where appropriate.</p>\",\"PeriodicalId\":73540,\"journal\":{\"name\":\"JCEM case reports\",\"volume\":\"2 10\",\"pages\":\"luae173\"},\"PeriodicalIF\":0.0000,\"publicationDate\":\"2024-10-16\",\"publicationTypes\":\"Journal Article\",\"fieldsOfStudy\":null,\"isOpenAccess\":false,\"openAccessPdf\":\"https://www.ncbi.nlm.nih.gov/pmc/articles/PMC11482003/pdf/\",\"citationCount\":\"0\",\"resultStr\":null,\"platform\":\"Semanticscholar\",\"paperid\":null,\"PeriodicalName\":\"JCEM case reports\",\"FirstCategoryId\":\"1085\",\"ListUrlMain\":\"https://doi.org/10.1210/jcemcr/luae173\",\"RegionNum\":0,\"RegionCategory\":null,\"ArticlePicture\":[],\"TitleCN\":null,\"AbstractTextCN\":null,\"PMCID\":null,\"EPubDate\":\"2024/10/1 0:00:00\",\"PubModel\":\"eCollection\",\"JCR\":\"\",\"JCRName\":\"\",\"Score\":null,\"Total\":0}","platform":"Semanticscholar","paperid":null,"PeriodicalName":"JCEM case reports","FirstCategoryId":"1085","ListUrlMain":"https://doi.org/10.1210/jcemcr/luae173","RegionNum":0,"RegionCategory":null,"ArticlePicture":[],"TitleCN":null,"AbstractTextCN":null,"PMCID":null,"EPubDate":"2024/10/1 0:00:00","PubModel":"eCollection","JCR":"","JCRName":"","Score":null,"Total":0}
引用次数: 0

摘要

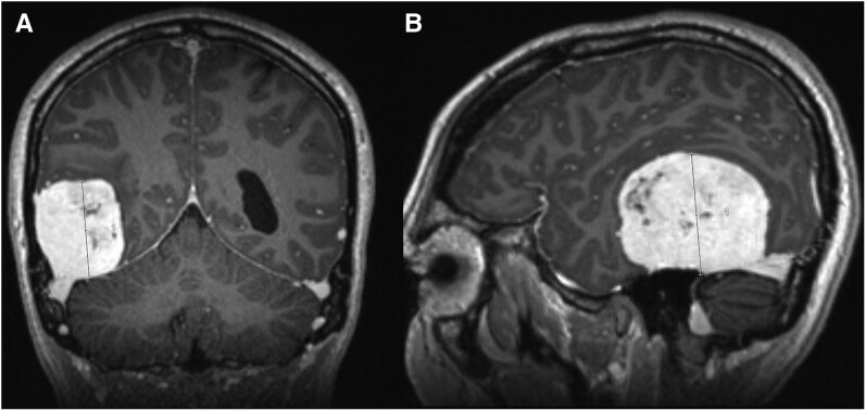
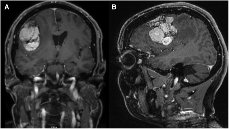
孕激素相关脑膜瘤是醋酸环丙孕酮(CPA)的一种罕见并发症,醋酸环丙孕酮是一种抗雄激素,通常用于变性人和性别多样化者的女性化激素治疗方案。据观察,这种疾病与剂量反应有关,尤其是长期暴露于每天≥50 毫克的剂量时;然而,低于多少剂量使用 CPA 才是安全的,目前仍不清楚。我们在此报告了两名使用 CPA 的变性女性患脑膜瘤的病例。这些病例的新颖之处包括(i) 一名患者出现无症状的巨大脑膜瘤(> 5 厘米),包括需要紧急手术干预的多发性脑膜瘤;(ii) 使用高剂量、长疗程和低剂量、短疗程 CPA 均出现脑膜瘤;(iii) 一名患者出现 PIK3CA 错义变异,这可能在孕激素相关脑膜瘤的发病机制中发挥作用。我们的病例凸显了这种可能未得到充分报道的不良反应在现实世界中的风险,并强调了临床医生警惕神经系统后遗症的重要性。我们建议使用能维持充分雄激素抑制的最低剂量 CPA,并酌情考虑使用其他抗雄激素。
本文章由计算机程序翻译,如有差异,请以英文原文为准。

Giant Intracranial Meningiomas Requiring Surgery in 2 Transgender Women Treated With Cyproterone Acetate.

Giant Intracranial Meningiomas Requiring Surgery in 2 Transgender Women Treated With Cyproterone Acetate.

Giant Intracranial Meningiomas Requiring Surgery in 2 Transgender Women Treated With Cyproterone Acetate.

Progestin-associated meningioma is a rare complication of cyproterone acetate (CPA), an anti-androgen commonly prescribed in feminizing hormone therapy regimens for transgender and gender-diverse individuals. A dose-response association has been observed, particularly with longer-term exposure to doses ≥ 50 mg daily; however, the dose below which CPA use is safe remains unclear. We herein report the cases of 2 transgender women using CPA who developed meningioma. Novel aspects of our cases include: (i) the presence of symptomatic giant meningiomas (> 5 cm), including multiple meningiomas in one patient, requiring urgent surgical intervention; (ii) meningioma development with both high-dose, long duration and low-dose, shorter duration CPA; and (iii) the presence of a PIK3CA missense variant in one patient, which may play a role in the pathogenesis of progestin-associated meningioma. Our cases highlight the real-world risk of this likely underreported adverse effect and underscore the importance of clinician vigilance for neurological sequelae. We suggest using the lowest dose of CPA that maintains adequate androgen suppression, with consideration of alternative anti-androgens where appropriate.

求助全文
通过发布文献求助,成功后即可免费获取论文全文。 去求助
来源期刊
自引率
0.00%
发文量
0
×
引用
GB/T 7714-2015
复制
MLA
复制
APA
复制
导出至
BibTeX EndNote RefMan NoteFirst NoteExpress
×
提示
您的信息不完整,为了账户安全,请先补充。
现在去补充
×
提示
您因"违规操作"
具体请查看互助需知
我知道了
×
提示
确定
请完成安全验证×
copy
已复制链接
快去分享给好友吧!
我知道了
右上角分享
点击右上角分享
0
联系我们:info@booksci.cn Book学术提供免费学术资源搜索服务,方便国内外学者检索中英文文献。致力于提供最便捷和优质的服务体验。 Copyright © 2023 布克学术 All rights reserved.
京ICP备2023020795号-1
ghs 京公网安备 11010802042870号
Book学术文献互助
Book学术文献互助群
群 号:604180095
Book学术官方微信