经眶内镜方法取出额叶异物:病例报告。

IF 0.2
Journal of Trauma and Injury Pub Date : 2024-12-01 Epub Date: 2024-09-25 DOI:10.20408/jti.2024.0002
Charles Gervais, Conrad Pelletier, Mathieu Laroche, Pascal Lavergne
{"title":"经眶内镜方法取出额叶异物:病例报告。","authors":"Charles Gervais, Conrad Pelletier, Mathieu Laroche, Pascal Lavergne","doi":"10.20408/jti.2024.0002","DOIUrl":null,"url":null,"abstract":"<p><p>Low-velocity orbital penetrating injuries may result in an intracranial retained foreign body that requires surgical removal. We describe the endoscopic transorbital removal of a retained umbrella tip in the frontal lobe, which was secondary to trauma to the orbital roof. This technique facilitated the complete removal of the foreign body without causing additional damage to the surrounding tissue. The patient had a successful postoperative recovery. We also discuss the utility of the transorbital neuroendoscopic procedure in managing these traumatic injuries.</p>","PeriodicalId":52698,"journal":{"name":"Journal of Trauma and Injury","volume":" ","pages":"281-285"},"PeriodicalIF":0.2000,"publicationDate":"2024-12-01","publicationTypes":"Journal Article","fieldsOfStudy":null,"isOpenAccess":false,"openAccessPdf":"https://www.ncbi.nlm.nih.gov/pmc/articles/PMC11703692/pdf/","citationCount":"0","resultStr":"{\"title\":\"Endoscopic transorbital approach for the removal of a frontal lobe foreign body: a case report.\",\"authors\":\"Charles Gervais, Conrad Pelletier, Mathieu Laroche, Pascal Lavergne\",\"doi\":\"10.20408/jti.2024.0002\",\"DOIUrl\":null,\"url\":null,\"abstract\":\"<p><p>Low-velocity orbital penetrating injuries may result in an intracranial retained foreign body that requires surgical removal. We describe the endoscopic transorbital removal of a retained umbrella tip in the frontal lobe, which was secondary to trauma to the orbital roof. This technique facilitated the complete removal of the foreign body without causing additional damage to the surrounding tissue. The patient had a successful postoperative recovery. We also discuss the utility of the transorbital neuroendoscopic procedure in managing these traumatic injuries.</p>\",\"PeriodicalId\":52698,\"journal\":{\"name\":\"Journal of Trauma and Injury\",\"volume\":\" \",\"pages\":\"281-285\"},\"PeriodicalIF\":0.2000,\"publicationDate\":\"2024-12-01\",\"publicationTypes\":\"Journal Article\",\"fieldsOfStudy\":null,\"isOpenAccess\":false,\"openAccessPdf\":\"https://www.ncbi.nlm.nih.gov/pmc/articles/PMC11703692/pdf/\",\"citationCount\":\"0\",\"resultStr\":null,\"platform\":\"Semanticscholar\",\"paperid\":null,\"PeriodicalName\":\"Journal of Trauma and Injury\",\"FirstCategoryId\":\"1085\",\"ListUrlMain\":\"https://doi.org/10.20408/jti.2024.0002\",\"RegionNum\":0,\"RegionCategory\":null,\"ArticlePicture\":[],\"TitleCN\":null,\"AbstractTextCN\":null,\"PMCID\":null,\"EPubDate\":\"2024/9/25 0:00:00\",\"PubModel\":\"Epub\",\"JCR\":\"\",\"JCRName\":\"\",\"Score\":null,\"Total\":0}","platform":"Semanticscholar","paperid":null,"PeriodicalName":"Journal of Trauma and Injury","FirstCategoryId":"1085","ListUrlMain":"https://doi.org/10.20408/jti.2024.0002","RegionNum":0,"RegionCategory":null,"ArticlePicture":[],"TitleCN":null,"AbstractTextCN":null,"PMCID":null,"EPubDate":"2024/9/25 0:00:00","PubModel":"Epub","JCR":"","JCRName":"","Score":null,"Total":0}
引用次数: 0

摘要

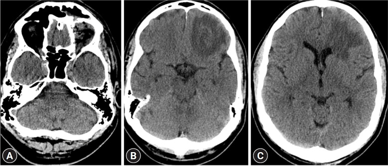
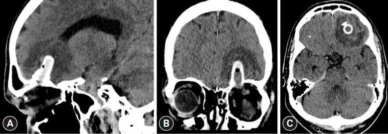
低速眼眶穿透伤可能导致颅内异物滞留,需要手术取出。我们描述了经眶内镜取出额叶内滞留的伞尖的手术,该异物继发于眶顶创伤。这项技术有助于彻底清除异物,而不会对周围组织造成额外损伤。患者术后恢复顺利。我们还讨论了经眶神经内窥镜手术在处理此类外伤时的实用性。
本文章由计算机程序翻译,如有差异,请以英文原文为准。

Endoscopic transorbital approach for the removal of a frontal lobe foreign body: a case report.

Endoscopic transorbital approach for the removal of a frontal lobe foreign body: a case report.

Endoscopic transorbital approach for the removal of a frontal lobe foreign body: a case report.

Endoscopic transorbital approach for the removal of a frontal lobe foreign body: a case report.

Low-velocity orbital penetrating injuries may result in an intracranial retained foreign body that requires surgical removal. We describe the endoscopic transorbital removal of a retained umbrella tip in the frontal lobe, which was secondary to trauma to the orbital roof. This technique facilitated the complete removal of the foreign body without causing additional damage to the surrounding tissue. The patient had a successful postoperative recovery. We also discuss the utility of the transorbital neuroendoscopic procedure in managing these traumatic injuries.

求助全文
通过发布文献求助,成功后即可免费获取论文全文。 去求助
来源期刊
自引率
0.00%
发文量
58
审稿时长
11 weeks
×
引用
GB/T 7714-2015
复制
MLA
复制
APA
复制
导出至
BibTeX EndNote RefMan NoteFirst NoteExpress
×
提示
您的信息不完整,为了账户安全,请先补充。
现在去补充
×
提示
您因"违规操作"
具体请查看互助需知
我知道了
×
提示
确定
请完成安全验证×
copy
已复制链接
快去分享给好友吧!
我知道了
右上角分享
点击右上角分享
0
联系我们:info@booksci.cn Book学术提供免费学术资源搜索服务,方便国内外学者检索中英文文献。致力于提供最便捷和优质的服务体验。 Copyright © 2023 布克学术 All rights reserved.
京ICP备2023020795号-1
ghs 京公网安备 11010802042870号
Book学术文献互助
Book学术文献互助群
群 号:604180095
Book学术官方微信