下肢急性发作性肌肉疼痛:我们需要注意什么?一例孤立的股直肌断裂。

IF 1.8 Q3 MEDICINE, RESEARCH & EXPERIMENTAL
Simona Portaro, Calogero Felice, Giulia Leonardi, Demetrio Milardi, Daniele Bruschetta, Danilo Leonetti, Eliseo Scarcella, Adriana Tisano, Angelo Alito
{"title":"下肢急性发作性肌肉疼痛:我们需要注意什么?一例孤立的股直肌断裂。","authors":"Simona Portaro, Calogero Felice, Giulia Leonardi, Demetrio Milardi, Daniele Bruschetta, Danilo Leonetti, Eliseo Scarcella, Adriana Tisano, Angelo Alito","doi":"10.4081/ejtm.2024.12846","DOIUrl":null,"url":null,"abstract":"<p><p>Acute muscle pain is muscle soreness that occurs during or within 24 hours of strenuous activity. Possible causes of acute muscle pain include localized muscle trauma, muscle tear, contusion with acute hemorrhage, or acute compartment syndrome. Isolated ruptures of the rectus femoris muscle are rare clinical conditions that result from excessive muscle strain following an abrupt contraction, incorrect movement, or sudden snap that exceeds the physiological limit of strain that the muscle can withstand. To date, there are few published reports evaluating the results of non-invasive treatment of such injuries. Herein, we report an unusual case of isolated distal rectus femoris tear in a 46-year-old female patient with no risk factors, who initially presented with extensor muscle weakness and pain and was treated conservatively with functional rest, physiotherapy, and cryotherapy.</p>","PeriodicalId":46459,"journal":{"name":"European Journal of Translational Myology","volume":" ","pages":""},"PeriodicalIF":1.8000,"publicationDate":"2024-10-18","publicationTypes":"Journal Article","fieldsOfStudy":null,"isOpenAccess":false,"openAccessPdf":"https://www.ncbi.nlm.nih.gov/pmc/articles/PMC11726173/pdf/","citationCount":"0","resultStr":"{\"title\":\"Lower limb acute onset muscle pain: what do we have to look for? A case of isolated rupture of the rectus femoris.\",\"authors\":\"Simona Portaro, Calogero Felice, Giulia Leonardi, Demetrio Milardi, Daniele Bruschetta, Danilo Leonetti, Eliseo Scarcella, Adriana Tisano, Angelo Alito\",\"doi\":\"10.4081/ejtm.2024.12846\",\"DOIUrl\":null,\"url\":null,\"abstract\":\"<p><p>Acute muscle pain is muscle soreness that occurs during or within 24 hours of strenuous activity. Possible causes of acute muscle pain include localized muscle trauma, muscle tear, contusion with acute hemorrhage, or acute compartment syndrome. Isolated ruptures of the rectus femoris muscle are rare clinical conditions that result from excessive muscle strain following an abrupt contraction, incorrect movement, or sudden snap that exceeds the physiological limit of strain that the muscle can withstand. To date, there are few published reports evaluating the results of non-invasive treatment of such injuries. Herein, we report an unusual case of isolated distal rectus femoris tear in a 46-year-old female patient with no risk factors, who initially presented with extensor muscle weakness and pain and was treated conservatively with functional rest, physiotherapy, and cryotherapy.</p>\",\"PeriodicalId\":46459,\"journal\":{\"name\":\"European Journal of Translational Myology\",\"volume\":\" \",\"pages\":\"\"},\"PeriodicalIF\":1.8000,\"publicationDate\":\"2024-10-18\",\"publicationTypes\":\"Journal Article\",\"fieldsOfStudy\":null,\"isOpenAccess\":false,\"openAccessPdf\":\"https://www.ncbi.nlm.nih.gov/pmc/articles/PMC11726173/pdf/\",\"citationCount\":\"0\",\"resultStr\":null,\"platform\":\"Semanticscholar\",\"paperid\":null,\"PeriodicalName\":\"European Journal of Translational Myology\",\"FirstCategoryId\":\"1085\",\"ListUrlMain\":\"https://doi.org/10.4081/ejtm.2024.12846\",\"RegionNum\":0,\"RegionCategory\":null,\"ArticlePicture\":[],\"TitleCN\":null,\"AbstractTextCN\":null,\"PMCID\":null,\"EPubDate\":\"\",\"PubModel\":\"\",\"JCR\":\"Q3\",\"JCRName\":\"MEDICINE, RESEARCH & EXPERIMENTAL\",\"Score\":null,\"Total\":0}","platform":"Semanticscholar","paperid":null,"PeriodicalName":"European Journal of Translational Myology","FirstCategoryId":"1085","ListUrlMain":"https://doi.org/10.4081/ejtm.2024.12846","RegionNum":0,"RegionCategory":null,"ArticlePicture":[],"TitleCN":null,"AbstractTextCN":null,"PMCID":null,"EPubDate":"","PubModel":"","JCR":"Q3","JCRName":"MEDICINE, RESEARCH & EXPERIMENTAL","Score":null,"Total":0}
引用次数: 0

摘要

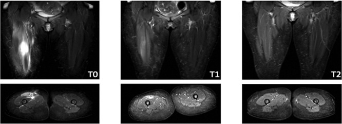
急性肌肉疼痛是指在剧烈运动期间或 24 小时内出现的肌肉酸痛。急性肌肉疼痛的可能原因包括局部肌肉创伤、肌肉撕裂、急性出血挫伤或急性隔室综合征。股直肌孤立性断裂是一种罕见的临床病症,是由于肌肉突然收缩、不正确的运动或突然扣动后过度拉伸,超过了肌肉所能承受的生理极限。迄今为止,很少有公开报道对此类损伤的非侵入性治疗效果进行评估。在此,我们报告了一例不寻常的孤立性股直肌远端撕裂病例,患者是一名 46 岁的女性,无任何危险因素,最初表现为伸肌无力和疼痛,接受了功能性休息、理疗和冷冻疗法等保守治疗。
本文章由计算机程序翻译,如有差异,请以英文原文为准。

Lower limb acute onset muscle pain: what do we have to look for? A case of isolated rupture of the rectus femoris.

Lower limb acute onset muscle pain: what do we have to look for? A case of isolated rupture of the rectus femoris.

Acute muscle pain is muscle soreness that occurs during or within 24 hours of strenuous activity. Possible causes of acute muscle pain include localized muscle trauma, muscle tear, contusion with acute hemorrhage, or acute compartment syndrome. Isolated ruptures of the rectus femoris muscle are rare clinical conditions that result from excessive muscle strain following an abrupt contraction, incorrect movement, or sudden snap that exceeds the physiological limit of strain that the muscle can withstand. To date, there are few published reports evaluating the results of non-invasive treatment of such injuries. Herein, we report an unusual case of isolated distal rectus femoris tear in a 46-year-old female patient with no risk factors, who initially presented with extensor muscle weakness and pain and was treated conservatively with functional rest, physiotherapy, and cryotherapy.

求助全文
通过发布文献求助,成功后即可免费获取论文全文。 去求助
来源期刊
European Journal of Translational Myology
European Journal of Translational Myology MEDICINE, RESEARCH & EXPERIMENTAL-
CiteScore
3.30
自引率
27.30%
发文量
74
审稿时长
10 weeks
×
引用
GB/T 7714-2015
复制
MLA
复制
APA
复制
导出至
BibTeX EndNote RefMan NoteFirst NoteExpress
×
提示
您的信息不完整,为了账户安全,请先补充。
现在去补充
×
提示
您因"违规操作"
具体请查看互助需知
我知道了
×
提示
确定
请完成安全验证×
copy
已复制链接
快去分享给好友吧!
我知道了
右上角分享
点击右上角分享
0
联系我们:info@booksci.cn Book学术提供免费学术资源搜索服务,方便国内外学者检索中英文文献。致力于提供最便捷和优质的服务体验。 Copyright © 2023 布克学术 All rights reserved.
京ICP备2023020795号-1
ghs 京公网安备 11010802042870号
Book学术文献互助
Book学术文献互助群
群 号:604180095
Book学术官方微信