使用并行移植物技术对并隔动脉瘤进行紧急血管内治疗。

IF 1 Q4 PERIPHERAL VASCULAR DISEASE
Jornal Vascular Brasileiro Pub Date : 2024-10-04 eCollection Date: 2024-01-01 DOI:10.1590/1677-5449.202000282
Fábio Augusto Cypreste Oliveira, Bruno Campos Coelho, Marina Balestra, Juliana Caetano Barreto Cypreste Oliveira, Maria Cunha Ribeiro Amorelli, Davi Douglas Heckmann, Carlos Eduardo de Sousa Amorelli, Fábio Lemos Campedelli
{"title":"使用并行移植物技术对并隔动脉瘤进行紧急血管内治疗。","authors":"Fábio Augusto Cypreste Oliveira, Bruno Campos Coelho, Marina Balestra, Juliana Caetano Barreto Cypreste Oliveira, Maria Cunha Ribeiro Amorelli, Davi Douglas Heckmann, Carlos Eduardo de Sousa Amorelli, Fábio Lemos Campedelli","doi":"10.1590/1677-5449.202000282","DOIUrl":null,"url":null,"abstract":"<p><p>Abdominal aortic aneurysms can constitute a therapeutic challenge in several anatomical scenarios, making endovascular treatment more complex. A juxtarenal abdominal aortic aneurysm (JR-AAA) is defined by the absence of a proximal landing zone in the infrarenal segment and, therefore, techniques must be used to obtain an adequate neck for fixing the endoprostheses without provoking occlusion of renal arteries and visceral branches. The parallel grafts technique, physician-modified stent-graft, industry customized endoprostheses, and off-the-shelf branched endoprosthesis are techniques used in abdominal aneurysms with inadequate proximal neck, but each technique has its indications, limitations, and risks. In this therapeutic challenge, we present a case of urgent endovascular treatment of a JR-AAA using a parallel grafts technique, with good medium-term results, and discuss the therapeutic options.</p>","PeriodicalId":14814,"journal":{"name":"Jornal Vascular Brasileiro","volume":"23 ","pages":"e20200028"},"PeriodicalIF":1.0000,"publicationDate":"2024-10-04","publicationTypes":"Journal Article","fieldsOfStudy":null,"isOpenAccess":false,"openAccessPdf":"https://www.ncbi.nlm.nih.gov/pmc/articles/PMC11486468/pdf/","citationCount":"0","resultStr":"{\"title\":\"Urgent endovascular treatment of juxtarenal aneurysm using a parallel grafts technique.\",\"authors\":\"Fábio Augusto Cypreste Oliveira, Bruno Campos Coelho, Marina Balestra, Juliana Caetano Barreto Cypreste Oliveira, Maria Cunha Ribeiro Amorelli, Davi Douglas Heckmann, Carlos Eduardo de Sousa Amorelli, Fábio Lemos Campedelli\",\"doi\":\"10.1590/1677-5449.202000282\",\"DOIUrl\":null,\"url\":null,\"abstract\":\"<p><p>Abdominal aortic aneurysms can constitute a therapeutic challenge in several anatomical scenarios, making endovascular treatment more complex. A juxtarenal abdominal aortic aneurysm (JR-AAA) is defined by the absence of a proximal landing zone in the infrarenal segment and, therefore, techniques must be used to obtain an adequate neck for fixing the endoprostheses without provoking occlusion of renal arteries and visceral branches. The parallel grafts technique, physician-modified stent-graft, industry customized endoprostheses, and off-the-shelf branched endoprosthesis are techniques used in abdominal aneurysms with inadequate proximal neck, but each technique has its indications, limitations, and risks. In this therapeutic challenge, we present a case of urgent endovascular treatment of a JR-AAA using a parallel grafts technique, with good medium-term results, and discuss the therapeutic options.</p>\",\"PeriodicalId\":14814,\"journal\":{\"name\":\"Jornal Vascular Brasileiro\",\"volume\":\"23 \",\"pages\":\"e20200028\"},\"PeriodicalIF\":1.0000,\"publicationDate\":\"2024-10-04\",\"publicationTypes\":\"Journal Article\",\"fieldsOfStudy\":null,\"isOpenAccess\":false,\"openAccessPdf\":\"https://www.ncbi.nlm.nih.gov/pmc/articles/PMC11486468/pdf/\",\"citationCount\":\"0\",\"resultStr\":null,\"platform\":\"Semanticscholar\",\"paperid\":null,\"PeriodicalName\":\"Jornal Vascular Brasileiro\",\"FirstCategoryId\":\"1085\",\"ListUrlMain\":\"https://doi.org/10.1590/1677-5449.202000282\",\"RegionNum\":0,\"RegionCategory\":null,\"ArticlePicture\":[],\"TitleCN\":null,\"AbstractTextCN\":null,\"PMCID\":null,\"EPubDate\":\"2024/1/1 0:00:00\",\"PubModel\":\"eCollection\",\"JCR\":\"Q4\",\"JCRName\":\"PERIPHERAL VASCULAR DISEASE\",\"Score\":null,\"Total\":0}","platform":"Semanticscholar","paperid":null,"PeriodicalName":"Jornal Vascular Brasileiro","FirstCategoryId":"1085","ListUrlMain":"https://doi.org/10.1590/1677-5449.202000282","RegionNum":0,"RegionCategory":null,"ArticlePicture":[],"TitleCN":null,"AbstractTextCN":null,"PMCID":null,"EPubDate":"2024/1/1 0:00:00","PubModel":"eCollection","JCR":"Q4","JCRName":"PERIPHERAL VASCULAR DISEASE","Score":null,"Total":0}
引用次数: 0

摘要

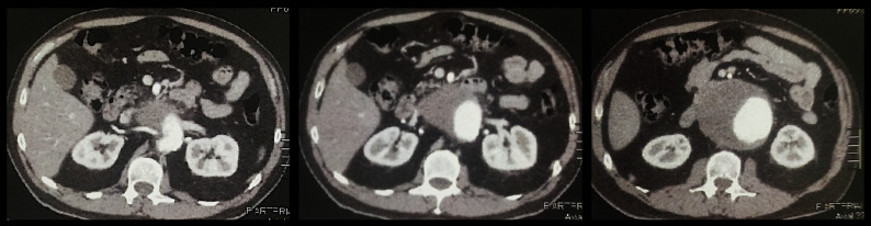
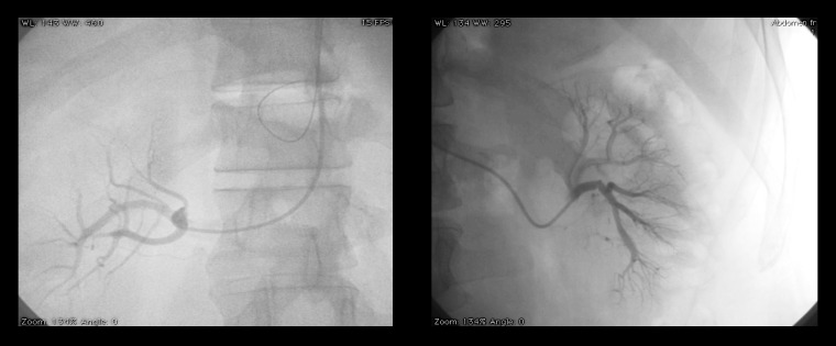
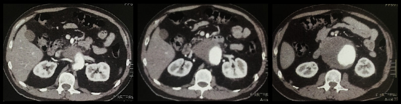
腹主动脉瘤在多种解剖情况下都会对治疗构成挑战,从而使血管内治疗变得更加复杂。肾下段腹主动脉瘤(JR-AAA)的定义是没有近端着床区,因此必须使用各种技术来获得足够的颈部以固定内支架,同时不引起肾动脉和内脏分支的闭塞。平行移植物技术、医生改良支架移植物、工业定制的内膜假体和现成的分支内膜假体是用于近端颈部不足的腹部动脉瘤的技术,但每种技术都有其适应症、局限性和风险。在这一治疗难题中,我们介绍了一例使用平行移植物技术对 JR-AAA 进行紧急血管内治疗的病例,取得了良好的中期效果,并讨论了治疗方案。
本文章由计算机程序翻译,如有差异,请以英文原文为准。

Urgent endovascular treatment of juxtarenal aneurysm using a parallel grafts technique.

Urgent endovascular treatment of juxtarenal aneurysm using a parallel grafts technique.

Urgent endovascular treatment of juxtarenal aneurysm using a parallel grafts technique.

Urgent endovascular treatment of juxtarenal aneurysm using a parallel grafts technique.

Abdominal aortic aneurysms can constitute a therapeutic challenge in several anatomical scenarios, making endovascular treatment more complex. A juxtarenal abdominal aortic aneurysm (JR-AAA) is defined by the absence of a proximal landing zone in the infrarenal segment and, therefore, techniques must be used to obtain an adequate neck for fixing the endoprostheses without provoking occlusion of renal arteries and visceral branches. The parallel grafts technique, physician-modified stent-graft, industry customized endoprostheses, and off-the-shelf branched endoprosthesis are techniques used in abdominal aneurysms with inadequate proximal neck, but each technique has its indications, limitations, and risks. In this therapeutic challenge, we present a case of urgent endovascular treatment of a JR-AAA using a parallel grafts technique, with good medium-term results, and discuss the therapeutic options.

求助全文
通过发布文献求助,成功后即可免费获取论文全文。 去求助
来源期刊
Jornal Vascular Brasileiro
Jornal Vascular Brasileiro Medicine-Cardiology and Cardiovascular Medicine
CiteScore
1.20
自引率
0.00%
发文量
57
审稿时长
20 weeks
期刊介绍: The Jornal Vascular Brasileiro is editated and published quaterly to select and disseminate high-quality scientific contents concerning original research, novel surgical and diagnostic techniques, and clinical observations in the field of vascular surgery, angiology, and endovascular surgery. Its abbreviated title is J. Vasc. Bras., which should be used in bibliographies, footnotes and bibliographical references and strips.
×
引用
GB/T 7714-2015
复制
MLA
复制
APA
复制
导出至
BibTeX EndNote RefMan NoteFirst NoteExpress
×
提示
您的信息不完整,为了账户安全,请先补充。
现在去补充
×
提示
您因"违规操作"
具体请查看互助需知
我知道了
×
提示
确定
请完成安全验证×
copy
已复制链接
快去分享给好友吧!
我知道了
右上角分享
点击右上角分享
0
联系我们:info@booksci.cn Book学术提供免费学术资源搜索服务,方便国内外学者检索中英文文献。致力于提供最便捷和优质的服务体验。 Copyright © 2023 布克学术 All rights reserved.
京ICP备2023020795号-1
ghs 京公网安备 11010802042870号
Book学术文献互助
Book学术文献互助群
群 号:604180095
Book学术官方微信