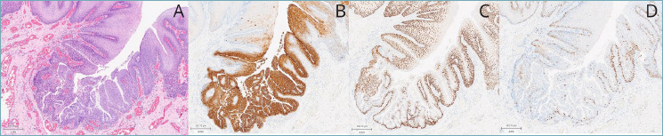
一名患有线性皮脂腺痣综合征的患者口腔乳头状腺瘤伴有 kras 突变。

IF 2.9 Q1 PATHOLOGY
PATHOLOGICA Pub Date : 2024-08-01 DOI:10.32074/1591-951X-992
Giulia Querzoli, Giovanni Badiali, Francesco Vitali, Achille Tarsitano, Dario De Biase, Liliana Gabrielli, Maria Pia Foschini
{"title":"一名患有线性皮脂腺痣综合征的患者口腔乳头状腺瘤伴有 kras 突变。","authors":"Giulia Querzoli, Giovanni Badiali, Francesco Vitali, Achille Tarsitano, Dario De Biase, Liliana Gabrielli, Maria Pia Foschini","doi":"10.32074/1591-951X-992","DOIUrl":null,"url":null,"abstract":"<p><p>Linear nevus sebaceous syndrome (LNSS) is a rare neurocutaneous syndrome part of the epidermal nevus syndromes group, characterized by the presence of sebaceous nevi and other extracutaneous lesions genetically related to <i>RAS</i> family gene mutations. Sialadenoma papilliferum (SP) is a rare benign intraoral neoplasm which is usually BRAF or HRAS mutated. We report a case of a young female girl diagnosed with a LNSS who developed a SP which had a KRAS mutation. This is the first case of SP with a KRAS mutation in the context of a LNSS.</p>","PeriodicalId":45893,"journal":{"name":"PATHOLOGICA","volume":"116 4","pages":"254-257"},"PeriodicalIF":2.9000,"publicationDate":"2024-08-01","publicationTypes":"Journal Article","fieldsOfStudy":null,"isOpenAccess":false,"openAccessPdf":"https://www.ncbi.nlm.nih.gov/pmc/articles/PMC11460151/pdf/","citationCount":"0","resultStr":"{\"title\":\"Oral sialadenoma papilliferum with kras mutation in a patient with linear nevus sebaceous syndrome.\",\"authors\":\"Giulia Querzoli, Giovanni Badiali, Francesco Vitali, Achille Tarsitano, Dario De Biase, Liliana Gabrielli, Maria Pia Foschini\",\"doi\":\"10.32074/1591-951X-992\",\"DOIUrl\":null,\"url\":null,\"abstract\":\"<p><p>Linear nevus sebaceous syndrome (LNSS) is a rare neurocutaneous syndrome part of the epidermal nevus syndromes group, characterized by the presence of sebaceous nevi and other extracutaneous lesions genetically related to <i>RAS</i> family gene mutations. Sialadenoma papilliferum (SP) is a rare benign intraoral neoplasm which is usually BRAF or HRAS mutated. We report a case of a young female girl diagnosed with a LNSS who developed a SP which had a KRAS mutation. This is the first case of SP with a KRAS mutation in the context of a LNSS.</p>\",\"PeriodicalId\":45893,\"journal\":{\"name\":\"PATHOLOGICA\",\"volume\":\"116 4\",\"pages\":\"254-257\"},\"PeriodicalIF\":2.9000,\"publicationDate\":\"2024-08-01\",\"publicationTypes\":\"Journal Article\",\"fieldsOfStudy\":null,\"isOpenAccess\":false,\"openAccessPdf\":\"https://www.ncbi.nlm.nih.gov/pmc/articles/PMC11460151/pdf/\",\"citationCount\":\"0\",\"resultStr\":null,\"platform\":\"Semanticscholar\",\"paperid\":null,\"PeriodicalName\":\"PATHOLOGICA\",\"FirstCategoryId\":\"1085\",\"ListUrlMain\":\"https://doi.org/10.32074/1591-951X-992\",\"RegionNum\":0,\"RegionCategory\":null,\"ArticlePicture\":[],\"TitleCN\":null,\"AbstractTextCN\":null,\"PMCID\":null,\"EPubDate\":\"\",\"PubModel\":\"\",\"JCR\":\"Q1\",\"JCRName\":\"PATHOLOGY\",\"Score\":null,\"Total\":0}","platform":"Semanticscholar","paperid":null,"PeriodicalName":"PATHOLOGICA","FirstCategoryId":"1085","ListUrlMain":"https://doi.org/10.32074/1591-951X-992","RegionNum":0,"RegionCategory":null,"ArticlePicture":[],"TitleCN":null,"AbstractTextCN":null,"PMCID":null,"EPubDate":"","PubModel":"","JCR":"Q1","JCRName":"PATHOLOGY","Score":null,"Total":0}
引用次数: 0

摘要

线性皮脂腺痣综合征(LNSS)是一种罕见的神经皮肤综合征,属于表皮痣综合征,其特征是出现皮脂腺痣和其他皮肤外病变,遗传上与 RAS 家族基因突变有关。乳头状唾液腺瘤(SP)是一种罕见的口腔内良性肿瘤,通常伴有BRAF或HRAS基因突变。我们报告了一例被诊断为LNSS的年轻女性患者,她患上了KRAS突变的SP。这是首例在LNSS背景下出现KRAS突变的SP病例。
本文章由计算机程序翻译,如有差异,请以英文原文为准。

Oral sialadenoma papilliferum with kras mutation in a patient with linear nevus sebaceous syndrome.

Oral sialadenoma papilliferum with kras mutation in a patient with linear nevus sebaceous syndrome.

Oral sialadenoma papilliferum with kras mutation in a patient with linear nevus sebaceous syndrome.

Oral sialadenoma papilliferum with kras mutation in a patient with linear nevus sebaceous syndrome.

Linear nevus sebaceous syndrome (LNSS) is a rare neurocutaneous syndrome part of the epidermal nevus syndromes group, characterized by the presence of sebaceous nevi and other extracutaneous lesions genetically related to RAS family gene mutations. Sialadenoma papilliferum (SP) is a rare benign intraoral neoplasm which is usually BRAF or HRAS mutated. We report a case of a young female girl diagnosed with a LNSS who developed a SP which had a KRAS mutation. This is the first case of SP with a KRAS mutation in the context of a LNSS.

求助全文
通过发布文献求助,成功后即可免费获取论文全文。 去求助
来源期刊
PATHOLOGICA
PATHOLOGICA PATHOLOGY-
CiteScore
5.90
自引率
5.70%
发文量
108
×
引用
GB/T 7714-2015
复制
MLA
复制
APA
复制
导出至
BibTeX EndNote RefMan NoteFirst NoteExpress
×
提示
您的信息不完整,为了账户安全,请先补充。
现在去补充
×
提示
您因"违规操作"
具体请查看互助需知
我知道了
×
提示
确定
请完成安全验证×
copy
已复制链接
快去分享给好友吧!
我知道了
右上角分享
点击右上角分享
0
联系我们:info@booksci.cn Book学术提供免费学术资源搜索服务,方便国内外学者检索中英文文献。致力于提供最便捷和优质的服务体验。 Copyright © 2023 布克学术 All rights reserved.
京ICP备2023020795号-1
ghs 京公网安备 11010802042870号
Book学术文献互助
Book学术文献互助群
群 号:604180095
Book学术官方微信