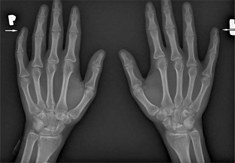
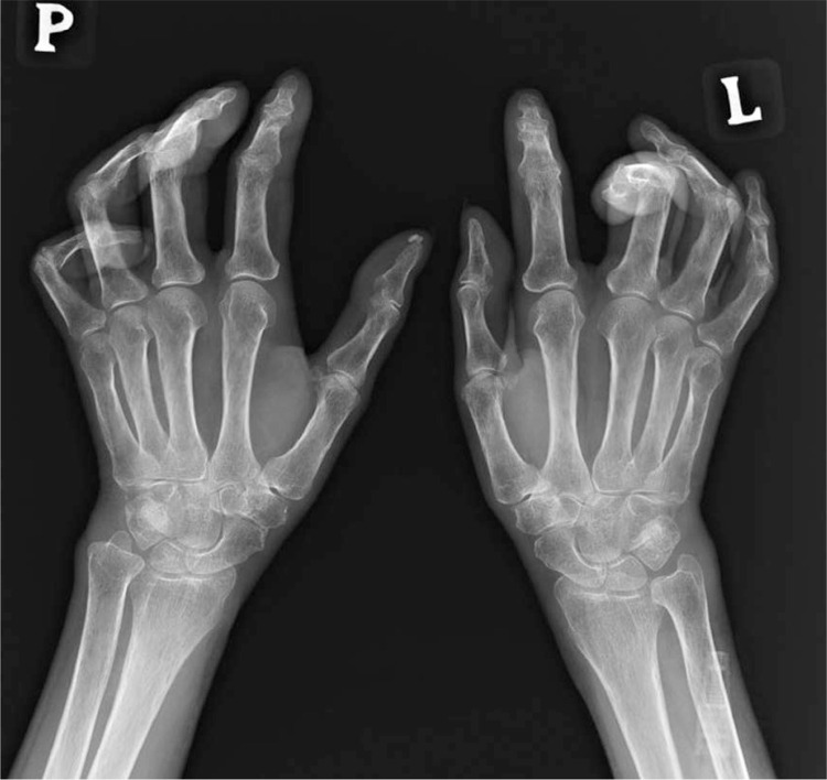
系统性硬化症的肌肉骨骼受累。

IF 1.7 Q3 RHEUMATOLOGY
Reumatologia Pub Date : 2024-01-01 Epub Date: 2024-08-18 DOI:10.5114/reum/190576
Ewa Wielosz, Marcin Grzegorz Hyła
{"title":"系统性硬化症的肌肉骨骼受累。","authors":"Ewa Wielosz, Marcin Grzegorz Hyła","doi":"10.5114/reum/190576","DOIUrl":null,"url":null,"abstract":"<p><p>Systemic sclerosis (SSc) is a multi-organ, systemic connective tissue disease, which affects the lungs, heart, gastrointestinal tract, kidneys, skin, and musculoskeletal system. Musculoskeletal involvement is observed in 40-90% of patients with SSc. During the disease, any structure of the musculoskeletal system, such as bones, joints, tendon sheaths, tendons, and muscles, may be affected. The most common symptoms include joint pain, arthritis, tendinitis leading to tendon rupture, acro-osteolysis, calcinosis, myalgia, and myositis. Osteo-articular complications and changes in the soft tissues of the hand lead to finger contracture, which causes deterioration of the patients' quality of life and disability. To sum up, a more detailed understanding of the aetiology leading to progressive changes in the musculoskeletal system may contribute to the introduction of new therapeutic options, and thus improve the quality of life and reduce disability in patients with SSc.</p>","PeriodicalId":21312,"journal":{"name":"Reumatologia","volume":"62 4","pages":"274-281"},"PeriodicalIF":1.7000,"publicationDate":"2024-01-01","publicationTypes":"Journal Article","fieldsOfStudy":null,"isOpenAccess":false,"openAccessPdf":"https://www.ncbi.nlm.nih.gov/pmc/articles/PMC11457317/pdf/","citationCount":"0","resultStr":"{\"title\":\"Musculoskeletal involvement in systemic sclerosis.\",\"authors\":\"Ewa Wielosz, Marcin Grzegorz Hyła\",\"doi\":\"10.5114/reum/190576\",\"DOIUrl\":null,\"url\":null,\"abstract\":\"<p><p>Systemic sclerosis (SSc) is a multi-organ, systemic connective tissue disease, which affects the lungs, heart, gastrointestinal tract, kidneys, skin, and musculoskeletal system. Musculoskeletal involvement is observed in 40-90% of patients with SSc. During the disease, any structure of the musculoskeletal system, such as bones, joints, tendon sheaths, tendons, and muscles, may be affected. The most common symptoms include joint pain, arthritis, tendinitis leading to tendon rupture, acro-osteolysis, calcinosis, myalgia, and myositis. Osteo-articular complications and changes in the soft tissues of the hand lead to finger contracture, which causes deterioration of the patients' quality of life and disability. To sum up, a more detailed understanding of the aetiology leading to progressive changes in the musculoskeletal system may contribute to the introduction of new therapeutic options, and thus improve the quality of life and reduce disability in patients with SSc.</p>\",\"PeriodicalId\":21312,\"journal\":{\"name\":\"Reumatologia\",\"volume\":\"62 4\",\"pages\":\"274-281\"},\"PeriodicalIF\":1.7000,\"publicationDate\":\"2024-01-01\",\"publicationTypes\":\"Journal Article\",\"fieldsOfStudy\":null,\"isOpenAccess\":false,\"openAccessPdf\":\"https://www.ncbi.nlm.nih.gov/pmc/articles/PMC11457317/pdf/\",\"citationCount\":\"0\",\"resultStr\":null,\"platform\":\"Semanticscholar\",\"paperid\":null,\"PeriodicalName\":\"Reumatologia\",\"FirstCategoryId\":\"1085\",\"ListUrlMain\":\"https://doi.org/10.5114/reum/190576\",\"RegionNum\":0,\"RegionCategory\":null,\"ArticlePicture\":[],\"TitleCN\":null,\"AbstractTextCN\":null,\"PMCID\":null,\"EPubDate\":\"2024/8/18 0:00:00\",\"PubModel\":\"Epub\",\"JCR\":\"Q3\",\"JCRName\":\"RHEUMATOLOGY\",\"Score\":null,\"Total\":0}","platform":"Semanticscholar","paperid":null,"PeriodicalName":"Reumatologia","FirstCategoryId":"1085","ListUrlMain":"https://doi.org/10.5114/reum/190576","RegionNum":0,"RegionCategory":null,"ArticlePicture":[],"TitleCN":null,"AbstractTextCN":null,"PMCID":null,"EPubDate":"2024/8/18 0:00:00","PubModel":"Epub","JCR":"Q3","JCRName":"RHEUMATOLOGY","Score":null,"Total":0}
引用次数: 0

摘要

系统性硬化症(SSc)是一种多器官、全身性结缔组织疾病,会影响肺、心脏、胃肠道、肾脏、皮肤和肌肉骨骼系统。40%-90%的 SSc 患者会出现肌肉骨骼受累。患病期间,骨骼、关节、腱鞘、肌腱和肌肉等肌肉骨骼系统的任何结构都可能受到影响。最常见的症状包括关节疼痛、关节炎、导致肌腱断裂的肌腱炎、关节骨溶解、钙化、肌痛和肌炎。骨关节并发症和手部软组织的变化会导致手指挛缩,从而导致患者生活质量下降和残疾。总之,更详细地了解导致肌肉骨骼系统渐进性变化的病因,可能有助于引入新的治疗方案,从而改善 SSc 患者的生活质量并减少残疾。
本文章由计算机程序翻译,如有差异,请以英文原文为准。

Musculoskeletal involvement in systemic sclerosis.

Musculoskeletal involvement in systemic sclerosis.

Musculoskeletal involvement in systemic sclerosis.

Musculoskeletal involvement in systemic sclerosis.

Systemic sclerosis (SSc) is a multi-organ, systemic connective tissue disease, which affects the lungs, heart, gastrointestinal tract, kidneys, skin, and musculoskeletal system. Musculoskeletal involvement is observed in 40-90% of patients with SSc. During the disease, any structure of the musculoskeletal system, such as bones, joints, tendon sheaths, tendons, and muscles, may be affected. The most common symptoms include joint pain, arthritis, tendinitis leading to tendon rupture, acro-osteolysis, calcinosis, myalgia, and myositis. Osteo-articular complications and changes in the soft tissues of the hand lead to finger contracture, which causes deterioration of the patients' quality of life and disability. To sum up, a more detailed understanding of the aetiology leading to progressive changes in the musculoskeletal system may contribute to the introduction of new therapeutic options, and thus improve the quality of life and reduce disability in patients with SSc.

求助全文
通过发布文献求助,成功后即可免费获取论文全文。 去求助
来源期刊
Reumatologia
Reumatologia Medicine-Rheumatology
CiteScore
2.70
自引率
0.00%
发文量
44
审稿时长
10 weeks
×
引用
GB/T 7714-2015
复制
MLA
复制
APA
复制
导出至
BibTeX EndNote RefMan NoteFirst NoteExpress
×
提示
您的信息不完整,为了账户安全,请先补充。
现在去补充
×
提示
您因"违规操作"
具体请查看互助需知
我知道了
×
提示
确定
请完成安全验证×
copy
已复制链接
快去分享给好友吧!
我知道了
右上角分享
点击右上角分享
0
联系我们:info@booksci.cn Book学术提供免费学术资源搜索服务,方便国内外学者检索中英文文献。致力于提供最便捷和优质的服务体验。 Copyright © 2023 布克学术 All rights reserved.
京ICP备2023020795号-1
ghs 京公网安备 11010802042870号
Book学术文献互助
Book学术文献互助群
群 号:604180095
Book学术官方微信