肾小管囊肿性肾细胞癌的多模态成像发现:病例报告。

IF 1.3 Q3 RADIOLOGY, NUCLEAR MEDICINE & MEDICAL IMAGING
Journal of Clinical Imaging Science Pub Date : 2024-09-30 eCollection Date: 2024-01-01 DOI:10.25259/JCIS_93_2024
Song Chen, Jiaqi Zhao, Jun Xin, Xiaohuan Yang
{"title":"肾小管囊肿性肾细胞癌的多模态成像发现:病例报告。","authors":"Song Chen, Jiaqi Zhao, Jun Xin, Xiaohuan Yang","doi":"10.25259/JCIS_93_2024","DOIUrl":null,"url":null,"abstract":"<p><p>We present a case involving a 71-year-old male with tubulocystic renal cell carcinoma (TRCC), which is a rare entity of renal neoplasm. The patient was admitted for a cystic nodule on the middle pole of the right kidney by urological ultrasound during physical examination. The nodule presented with hyperechoic on conventional ultrasonic and the enhancing intensity of thicken cystic wall at the peak phase in contrast-enhanced ultrasound was similar to that of the renal parenchyma. Findings from computed tomography <i>angiography</i> exhibited heterogeneously contrast enhancing tumor, and magnetic resonance imaging demonstrated hypointense on T1-weighted images (WI) and hyperintense on T2WI. Histologically, the spongy surface was composed of the typical tubular and multiloculated cystic components lined by a single layer of epithelial cells. The final pathological diagnosis was TRCC. The uneventful laparoscopic right radical nephrectomy was conducted. The patient was followed up for 12 months after discharge and no signs of local or distant metastasis were found. In conclusion, TRCC should be accurately diagnosed on the basis of comprehensive radiological and histological findings to ensure a timely surgery and better prognosis.</p>","PeriodicalId":15512,"journal":{"name":"Journal of Clinical Imaging Science","volume":"14 ","pages":"37"},"PeriodicalIF":1.3000,"publicationDate":"2024-09-30","publicationTypes":"Journal Article","fieldsOfStudy":null,"isOpenAccess":false,"openAccessPdf":"https://www.ncbi.nlm.nih.gov/pmc/articles/PMC11450494/pdf/","citationCount":"0","resultStr":"{\"title\":\"Multimodal imaging findings of tubulocystic renal cell carcinoma: A case report.\",\"authors\":\"Song Chen, Jiaqi Zhao, Jun Xin, Xiaohuan Yang\",\"doi\":\"10.25259/JCIS_93_2024\",\"DOIUrl\":null,\"url\":null,\"abstract\":\"<p><p>We present a case involving a 71-year-old male with tubulocystic renal cell carcinoma (TRCC), which is a rare entity of renal neoplasm. The patient was admitted for a cystic nodule on the middle pole of the right kidney by urological ultrasound during physical examination. The nodule presented with hyperechoic on conventional ultrasonic and the enhancing intensity of thicken cystic wall at the peak phase in contrast-enhanced ultrasound was similar to that of the renal parenchyma. Findings from computed tomography <i>angiography</i> exhibited heterogeneously contrast enhancing tumor, and magnetic resonance imaging demonstrated hypointense on T1-weighted images (WI) and hyperintense on T2WI. Histologically, the spongy surface was composed of the typical tubular and multiloculated cystic components lined by a single layer of epithelial cells. The final pathological diagnosis was TRCC. The uneventful laparoscopic right radical nephrectomy was conducted. The patient was followed up for 12 months after discharge and no signs of local or distant metastasis were found. In conclusion, TRCC should be accurately diagnosed on the basis of comprehensive radiological and histological findings to ensure a timely surgery and better prognosis.</p>\",\"PeriodicalId\":15512,\"journal\":{\"name\":\"Journal of Clinical Imaging Science\",\"volume\":\"14 \",\"pages\":\"37\"},\"PeriodicalIF\":1.3000,\"publicationDate\":\"2024-09-30\",\"publicationTypes\":\"Journal Article\",\"fieldsOfStudy\":null,\"isOpenAccess\":false,\"openAccessPdf\":\"https://www.ncbi.nlm.nih.gov/pmc/articles/PMC11450494/pdf/\",\"citationCount\":\"0\",\"resultStr\":null,\"platform\":\"Semanticscholar\",\"paperid\":null,\"PeriodicalName\":\"Journal of Clinical Imaging Science\",\"FirstCategoryId\":\"1085\",\"ListUrlMain\":\"https://doi.org/10.25259/JCIS_93_2024\",\"RegionNum\":0,\"RegionCategory\":null,\"ArticlePicture\":[],\"TitleCN\":null,\"AbstractTextCN\":null,\"PMCID\":null,\"EPubDate\":\"2024/1/1 0:00:00\",\"PubModel\":\"eCollection\",\"JCR\":\"Q3\",\"JCRName\":\"RADIOLOGY, NUCLEAR MEDICINE & MEDICAL IMAGING\",\"Score\":null,\"Total\":0}","platform":"Semanticscholar","paperid":null,"PeriodicalName":"Journal of Clinical Imaging Science","FirstCategoryId":"1085","ListUrlMain":"https://doi.org/10.25259/JCIS_93_2024","RegionNum":0,"RegionCategory":null,"ArticlePicture":[],"TitleCN":null,"AbstractTextCN":null,"PMCID":null,"EPubDate":"2024/1/1 0:00:00","PubModel":"eCollection","JCR":"Q3","JCRName":"RADIOLOGY, NUCLEAR MEDICINE & MEDICAL IMAGING","Score":null,"Total":0}
引用次数: 0

摘要

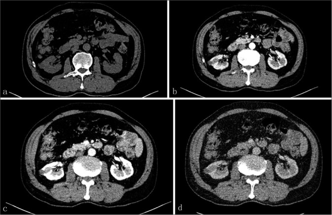
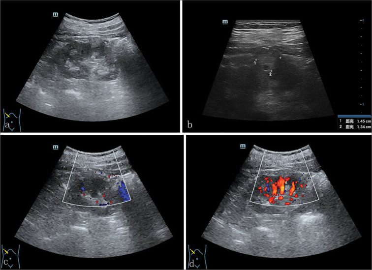
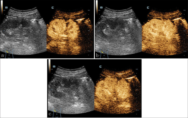
我们报告了一例 71 岁男性肾小管囊性细胞癌(TRCC)患者的病例,这是一种罕见的肾肿瘤。患者因体检时发现右肾中极有一个囊性结节,经泌尿科超声检查后入院。该结节在常规超声检查中呈高回声,在对比增强超声检查中,增厚的囊壁在峰值相的增强强度与肾实质相似。计算机断层扫描血管造影显示肿瘤呈异质性对比增强,磁共振成像显示 T1 加权成像(WI)呈低密度,T2WI 呈高密度。组织学上,海绵表面由典型的管状和多房囊性成分组成,内衬单层上皮细胞。最终病理诊断为 TRCC。患者顺利地接受了腹腔镜右肾根治术。患者出院后随访 12 个月,未发现局部或远处转移迹象。总之,TRCC 应根据放射学和组织学的综合结果进行准确诊断,以确保及时手术和更好的预后。
本文章由计算机程序翻译,如有差异,请以英文原文为准。

Multimodal imaging findings of tubulocystic renal cell carcinoma: A case report.

Multimodal imaging findings of tubulocystic renal cell carcinoma: A case report.

Multimodal imaging findings of tubulocystic renal cell carcinoma: A case report.

Multimodal imaging findings of tubulocystic renal cell carcinoma: A case report.

We present a case involving a 71-year-old male with tubulocystic renal cell carcinoma (TRCC), which is a rare entity of renal neoplasm. The patient was admitted for a cystic nodule on the middle pole of the right kidney by urological ultrasound during physical examination. The nodule presented with hyperechoic on conventional ultrasonic and the enhancing intensity of thicken cystic wall at the peak phase in contrast-enhanced ultrasound was similar to that of the renal parenchyma. Findings from computed tomography angiography exhibited heterogeneously contrast enhancing tumor, and magnetic resonance imaging demonstrated hypointense on T1-weighted images (WI) and hyperintense on T2WI. Histologically, the spongy surface was composed of the typical tubular and multiloculated cystic components lined by a single layer of epithelial cells. The final pathological diagnosis was TRCC. The uneventful laparoscopic right radical nephrectomy was conducted. The patient was followed up for 12 months after discharge and no signs of local or distant metastasis were found. In conclusion, TRCC should be accurately diagnosed on the basis of comprehensive radiological and histological findings to ensure a timely surgery and better prognosis.

求助全文
通过发布文献求助,成功后即可免费获取论文全文。 去求助
来源期刊
Journal of Clinical Imaging Science
Journal of Clinical Imaging Science RADIOLOGY, NUCLEAR MEDICINE & MEDICAL IMAGING-
CiteScore
2.00
自引率
0.00%
发文量
65
期刊介绍: The Journal of Clinical Imaging Science (JCIS) is an open access peer-reviewed journal committed to publishing high-quality articles in the field of Imaging Science. The journal aims to present Imaging Science and relevant clinical information in an understandable and useful format. The journal is owned and published by the Scientific Scholar. Audience Our audience includes Radiologists, Researchers, Clinicians, medical professionals and students. Review process JCIS has a highly rigorous peer-review process that makes sure that manuscripts are scientifically accurate, relevant, novel and important. Authors disclose all conflicts, affiliations and financial associations such that the published content is not biased.
×
引用
GB/T 7714-2015
复制
MLA
复制
APA
复制
导出至
BibTeX EndNote RefMan NoteFirst NoteExpress
×
提示
您的信息不完整,为了账户安全,请先补充。
现在去补充
×
提示
您因"违规操作"
具体请查看互助需知
我知道了
×
提示
确定
请完成安全验证×
copy
已复制链接
快去分享给好友吧!
我知道了
右上角分享
点击右上角分享
0
联系我们:info@booksci.cn Book学术提供免费学术资源搜索服务,方便国内外学者检索中英文文献。致力于提供最便捷和优质的服务体验。 Copyright © 2023 布克学术 All rights reserved.
京ICP备2023020795号-1
ghs 京公网安备 11010802042870号
Book学术文献互助
Book学术文献互助群
群 号:604180095
Book学术官方微信