复杂的主动脉弓旁吻合口假动脉瘤的混合治疗。

Q3 Medicine
AORTA Pub Date : 2024-02-01 Epub Date: 2024-10-04 DOI:10.1055/s-0044-1791241
Arno von Ristow, Valdo Carreira, Erverton Gregório, Ricardo Coelho, Alberto Vescovi, Cleverson Zukowsky, Pedro Sartori
{"title":"复杂的主动脉弓旁吻合口假动脉瘤的混合治疗。","authors":"Arno von Ristow, Valdo Carreira, Erverton Gregório, Ricardo Coelho, Alberto Vescovi, Cleverson Zukowsky, Pedro Sartori","doi":"10.1055/s-0044-1791241","DOIUrl":null,"url":null,"abstract":"<p><p>The development of pseudoaneurysms increases with time since the original operation, with incidence 0.2 to 25%. The axillofemoral bypass is employed to treat selective aortoiliac obstructions. Rarely, it is used in reverse form and always for treatment of occlusive arterial disease. We report a para-anastomotic aortic arch pseudoaneurysm and add to the literature a successful hybrid treatment, with bilateral femoroaxillary bypasses, thromboexclusion of all supra-aortic trunks, and aortic arch covering with an endograft.</p>","PeriodicalId":52392,"journal":{"name":"AORTA","volume":" ","pages":"20-22"},"PeriodicalIF":0.0000,"publicationDate":"2024-02-01","publicationTypes":"Journal Article","fieldsOfStudy":null,"isOpenAccess":false,"openAccessPdf":"https://www.ncbi.nlm.nih.gov/pmc/articles/PMC11606662/pdf/","citationCount":"0","resultStr":"{\"title\":\"Hybrid Treatment of Complex Para-anastomotic Aortic Arch Pseudoaneurysm.\",\"authors\":\"Arno von Ristow, Valdo Carreira, Erverton Gregório, Ricardo Coelho, Alberto Vescovi, Cleverson Zukowsky, Pedro Sartori\",\"doi\":\"10.1055/s-0044-1791241\",\"DOIUrl\":null,\"url\":null,\"abstract\":\"<p><p>The development of pseudoaneurysms increases with time since the original operation, with incidence 0.2 to 25%. The axillofemoral bypass is employed to treat selective aortoiliac obstructions. Rarely, it is used in reverse form and always for treatment of occlusive arterial disease. We report a para-anastomotic aortic arch pseudoaneurysm and add to the literature a successful hybrid treatment, with bilateral femoroaxillary bypasses, thromboexclusion of all supra-aortic trunks, and aortic arch covering with an endograft.</p>\",\"PeriodicalId\":52392,\"journal\":{\"name\":\"AORTA\",\"volume\":\" \",\"pages\":\"20-22\"},\"PeriodicalIF\":0.0000,\"publicationDate\":\"2024-02-01\",\"publicationTypes\":\"Journal Article\",\"fieldsOfStudy\":null,\"isOpenAccess\":false,\"openAccessPdf\":\"https://www.ncbi.nlm.nih.gov/pmc/articles/PMC11606662/pdf/\",\"citationCount\":\"0\",\"resultStr\":null,\"platform\":\"Semanticscholar\",\"paperid\":null,\"PeriodicalName\":\"AORTA\",\"FirstCategoryId\":\"1085\",\"ListUrlMain\":\"https://doi.org/10.1055/s-0044-1791241\",\"RegionNum\":0,\"RegionCategory\":null,\"ArticlePicture\":[],\"TitleCN\":null,\"AbstractTextCN\":null,\"PMCID\":null,\"EPubDate\":\"2024/10/4 0:00:00\",\"PubModel\":\"Epub\",\"JCR\":\"Q3\",\"JCRName\":\"Medicine\",\"Score\":null,\"Total\":0}","platform":"Semanticscholar","paperid":null,"PeriodicalName":"AORTA","FirstCategoryId":"1085","ListUrlMain":"https://doi.org/10.1055/s-0044-1791241","RegionNum":0,"RegionCategory":null,"ArticlePicture":[],"TitleCN":null,"AbstractTextCN":null,"PMCID":null,"EPubDate":"2024/10/4 0:00:00","PubModel":"Epub","JCR":"Q3","JCRName":"Medicine","Score":null,"Total":0}
引用次数: 0

摘要

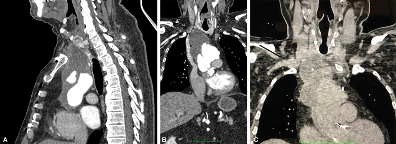
假性动脉瘤的发生会随着原始手术后时间的推移而增加,发生率为 0.2% 至 25%。腋股旁路用于治疗选择性主动脉髂阻塞。腋股动脉旁路术很少反向使用,而且总是用于治疗闭塞性动脉疾病。我们报告了一例吻合口旁主动脉弓假性动脉瘤,并在文献中补充了一种成功的混合治疗方法,即双侧股腋旁路术、所有主动脉上干血栓排除术和主动脉弓内膜覆盖术。
本文章由计算机程序翻译,如有差异,请以英文原文为准。

Hybrid Treatment of Complex Para-anastomotic Aortic Arch Pseudoaneurysm.

Hybrid Treatment of Complex Para-anastomotic Aortic Arch Pseudoaneurysm.

Hybrid Treatment of Complex Para-anastomotic Aortic Arch Pseudoaneurysm.

Hybrid Treatment of Complex Para-anastomotic Aortic Arch Pseudoaneurysm.

The development of pseudoaneurysms increases with time since the original operation, with incidence 0.2 to 25%. The axillofemoral bypass is employed to treat selective aortoiliac obstructions. Rarely, it is used in reverse form and always for treatment of occlusive arterial disease. We report a para-anastomotic aortic arch pseudoaneurysm and add to the literature a successful hybrid treatment, with bilateral femoroaxillary bypasses, thromboexclusion of all supra-aortic trunks, and aortic arch covering with an endograft.

求助全文
通过发布文献求助,成功后即可免费获取论文全文。 去求助
来源期刊
AORTA
AORTA Medicine-Surgery
CiteScore
1.00
自引率
0.00%
发文量
119
×
引用
GB/T 7714-2015
复制
MLA
复制
APA
复制
导出至
BibTeX EndNote RefMan NoteFirst NoteExpress
×
提示
您的信息不完整,为了账户安全,请先补充。
现在去补充
×
提示
您因"违规操作"
具体请查看互助需知
我知道了
×
提示
确定
请完成安全验证×
copy
已复制链接
快去分享给好友吧!
我知道了
右上角分享
点击右上角分享
0
联系我们:info@booksci.cn Book学术提供免费学术资源搜索服务,方便国内外学者检索中英文文献。致力于提供最便捷和优质的服务体验。 Copyright © 2023 布克学术 All rights reserved.
京ICP备2023020795号-1
ghs 京公网安备 11010802042870号
Book学术文献互助
Book学术文献互助群
群 号:604180095
Book学术官方微信