起源于卵巢肿的甲状腺癌的甲状腺功能亢进症。

IF 0.7 Q4 ENDOCRINOLOGY & METABOLISM
Juliana Bezerra Mesquita, Rosa Paula M Biscolla
{"title":"起源于卵巢肿的甲状腺癌的甲状腺功能亢进症。","authors":"Juliana Bezerra Mesquita, Rosa Paula M Biscolla","doi":"10.1530/EDM-24-0082","DOIUrl":null,"url":null,"abstract":"<p><strong>Summary: </strong>Thyroid carcinoma originating in Struma Ovarii (SO) is a rare thyroid ectopic cancer that accounts for 0.01% of all ovarian malignancies and is associated with hyperthyroidism in less than 15% of cases. In a 44-year-old patient with pelvic pain, the CT scan revealed a solid-cystic formation in the ovarium. A left oophorectomy was performed and showed a borderline serous tumor and papillary thyroid carcinoma ('thyroid carcinoma originating in Struma Ovarii') measuring 10 cm. Thyroid function was assessed, and hyperthyroidism was diagnosed. Surgical complementation and a pelvic re-approach were performed. The histological findings showed a papillary thyroid carcinoma in the uterine serosa and the right adnexa. Thyroid function was re-evaluated, and despite normal thyroid function, the TRAb test remained positive. The patient underwent total thyroidectomy and radioiodine therapy (RIT), after which the TRAb test became negative. During 3 years of follow-up, no evidence of tumor was observed. In our case of thyroid carcinoma originating in SO, hyperthyroidism was treated with ovarian surgery, total thyroidectomy, and RIT. It is worth noting that thyroid function was normalized after ovarian surgery, but the TRAb test only became negative after total thyroidectomy. We hope to draw attention to the importance of evaluating thyroid function in patients with SO and treating high-risk SO patients with RIT after total thyroidectomy to achieve disease remission.</p><p><strong>Learning points: </strong>Struma ovarii can cause hyperthyroidism. Thyroid carcinoma can originate in Struma Ovarii. Differentiated thyroid carcinoma and hyperthyroidism originating in Struma Ovarii are rare conditions.</p>","PeriodicalId":37467,"journal":{"name":"Endocrinology, Diabetes and Metabolism Case Reports","volume":"2024 4","pages":""},"PeriodicalIF":0.7000,"publicationDate":"2024-10-03","publicationTypes":"Journal Article","fieldsOfStudy":null,"isOpenAccess":false,"openAccessPdf":"https://www.ncbi.nlm.nih.gov/pmc/articles/PMC11466267/pdf/","citationCount":"0","resultStr":"{\"title\":\"Hyperthyroidism in thyroid carcinoma originating in struma ovarii.\",\"authors\":\"Juliana Bezerra Mesquita, Rosa Paula M Biscolla\",\"doi\":\"10.1530/EDM-24-0082\",\"DOIUrl\":null,\"url\":null,\"abstract\":\"<p><strong>Summary: </strong>Thyroid carcinoma originating in Struma Ovarii (SO) is a rare thyroid ectopic cancer that accounts for 0.01% of all ovarian malignancies and is associated with hyperthyroidism in less than 15% of cases. In a 44-year-old patient with pelvic pain, the CT scan revealed a solid-cystic formation in the ovarium. A left oophorectomy was performed and showed a borderline serous tumor and papillary thyroid carcinoma ('thyroid carcinoma originating in Struma Ovarii') measuring 10 cm. Thyroid function was assessed, and hyperthyroidism was diagnosed. Surgical complementation and a pelvic re-approach were performed. The histological findings showed a papillary thyroid carcinoma in the uterine serosa and the right adnexa. Thyroid function was re-evaluated, and despite normal thyroid function, the TRAb test remained positive. The patient underwent total thyroidectomy and radioiodine therapy (RIT), after which the TRAb test became negative. During 3 years of follow-up, no evidence of tumor was observed. In our case of thyroid carcinoma originating in SO, hyperthyroidism was treated with ovarian surgery, total thyroidectomy, and RIT. It is worth noting that thyroid function was normalized after ovarian surgery, but the TRAb test only became negative after total thyroidectomy. We hope to draw attention to the importance of evaluating thyroid function in patients with SO and treating high-risk SO patients with RIT after total thyroidectomy to achieve disease remission.</p><p><strong>Learning points: </strong>Struma ovarii can cause hyperthyroidism. Thyroid carcinoma can originate in Struma Ovarii. Differentiated thyroid carcinoma and hyperthyroidism originating in Struma Ovarii are rare conditions.</p>\",\"PeriodicalId\":37467,\"journal\":{\"name\":\"Endocrinology, Diabetes and Metabolism Case Reports\",\"volume\":\"2024 4\",\"pages\":\"\"},\"PeriodicalIF\":0.7000,\"publicationDate\":\"2024-10-03\",\"publicationTypes\":\"Journal Article\",\"fieldsOfStudy\":null,\"isOpenAccess\":false,\"openAccessPdf\":\"https://www.ncbi.nlm.nih.gov/pmc/articles/PMC11466267/pdf/\",\"citationCount\":\"0\",\"resultStr\":null,\"platform\":\"Semanticscholar\",\"paperid\":null,\"PeriodicalName\":\"Endocrinology, Diabetes and Metabolism Case Reports\",\"FirstCategoryId\":\"1085\",\"ListUrlMain\":\"https://doi.org/10.1530/EDM-24-0082\",\"RegionNum\":0,\"RegionCategory\":null,\"ArticlePicture\":[],\"TitleCN\":null,\"AbstractTextCN\":null,\"PMCID\":null,\"EPubDate\":\"2024/10/1 0:00:00\",\"PubModel\":\"Print\",\"JCR\":\"Q4\",\"JCRName\":\"ENDOCRINOLOGY & METABOLISM\",\"Score\":null,\"Total\":0}","platform":"Semanticscholar","paperid":null,"PeriodicalName":"Endocrinology, Diabetes and Metabolism Case Reports","FirstCategoryId":"1085","ListUrlMain":"https://doi.org/10.1530/EDM-24-0082","RegionNum":0,"RegionCategory":null,"ArticlePicture":[],"TitleCN":null,"AbstractTextCN":null,"PMCID":null,"EPubDate":"2024/10/1 0:00:00","PubModel":"Print","JCR":"Q4","JCRName":"ENDOCRINOLOGY & METABOLISM","Score":null,"Total":0}
引用次数: 0

摘要

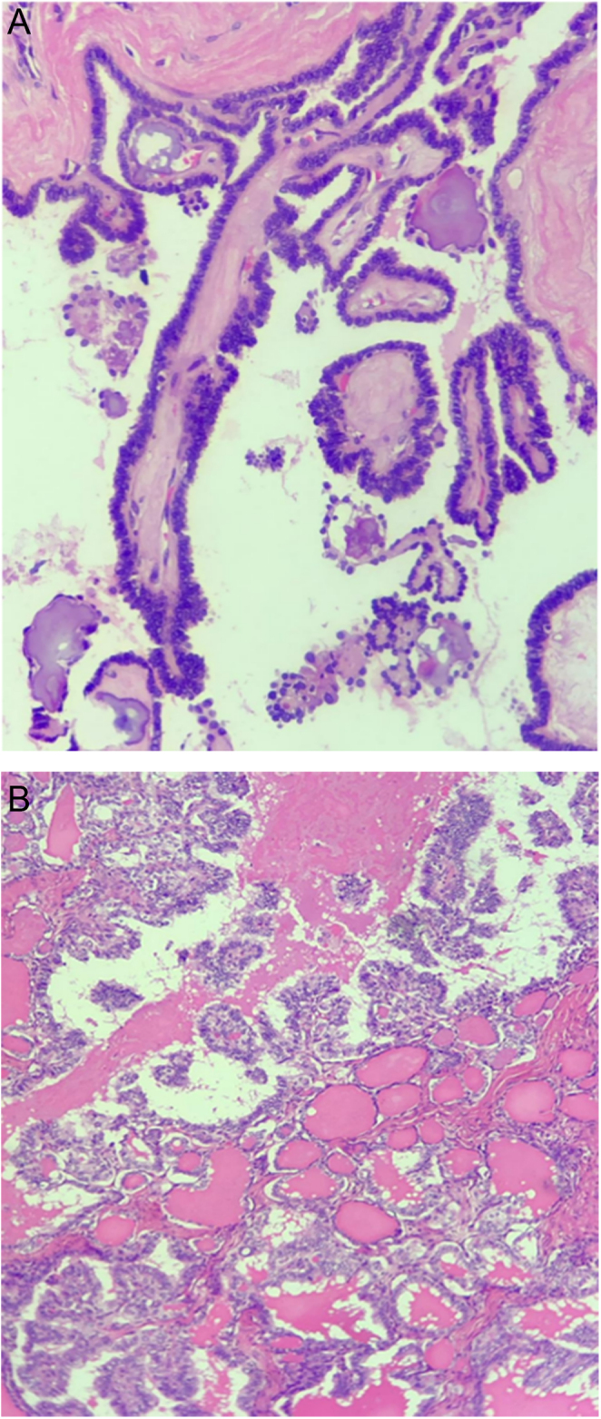
摘要:起源于卵巢瘤(SO)的甲状腺癌是一种罕见的甲状腺异位癌,占所有卵巢恶性肿瘤的0.01%,与甲状腺功能亢进相关的病例不到15%。一名 44 岁的患者因盆腔疼痛而接受 CT 扫描,发现卵巢内有实性囊肿形成。患者接受了左侧卵巢切除术,术中发现了一个10厘米长的边界浆液性肿瘤和甲状腺乳头状癌("起源于卵巢瘤的甲状腺癌")。对甲状腺功能进行了评估,确诊为甲状腺功能亢进。手术进行了补充,并再次进入盆腔。组织学检查结果显示,子宫浆膜和右侧附件中存在甲状腺乳头状癌。重新评估了甲状腺功能,尽管甲状腺功能正常,但TRAb检测仍呈阳性。患者接受了甲状腺全切除术和放射性碘治疗(RIT),之后TRAb检测结果变为阴性。在3年的随访中,没有发现肿瘤的迹象。在我们的这例源于 SO 的甲状腺癌病例中,甲状腺功能亢进症患者接受了卵巢手术、甲状腺全切除术和 RIT 治疗。值得注意的是,卵巢手术后甲状腺功能恢复正常,但TRAb检测在全甲状腺切除术后才转为阴性。我们希望提请大家注意评估SO患者甲状腺功能的重要性,并在甲状腺全切除术后对高危SO患者进行RIT治疗,以达到疾病缓解的目的:卵巢瘤可导致甲状腺功能亢进。学习要点:卵圆膜可导致甲状腺功能亢进。源于卵圆滑膜的分化型甲状腺癌和甲状腺功能亢进症是罕见病症。
本文章由计算机程序翻译,如有差异,请以英文原文为准。

Hyperthyroidism in thyroid carcinoma originating in struma ovarii.

Hyperthyroidism in thyroid carcinoma originating in struma ovarii.

Hyperthyroidism in thyroid carcinoma originating in struma ovarii.

Summary: Thyroid carcinoma originating in Struma Ovarii (SO) is a rare thyroid ectopic cancer that accounts for 0.01% of all ovarian malignancies and is associated with hyperthyroidism in less than 15% of cases. In a 44-year-old patient with pelvic pain, the CT scan revealed a solid-cystic formation in the ovarium. A left oophorectomy was performed and showed a borderline serous tumor and papillary thyroid carcinoma ('thyroid carcinoma originating in Struma Ovarii') measuring 10 cm. Thyroid function was assessed, and hyperthyroidism was diagnosed. Surgical complementation and a pelvic re-approach were performed. The histological findings showed a papillary thyroid carcinoma in the uterine serosa and the right adnexa. Thyroid function was re-evaluated, and despite normal thyroid function, the TRAb test remained positive. The patient underwent total thyroidectomy and radioiodine therapy (RIT), after which the TRAb test became negative. During 3 years of follow-up, no evidence of tumor was observed. In our case of thyroid carcinoma originating in SO, hyperthyroidism was treated with ovarian surgery, total thyroidectomy, and RIT. It is worth noting that thyroid function was normalized after ovarian surgery, but the TRAb test only became negative after total thyroidectomy. We hope to draw attention to the importance of evaluating thyroid function in patients with SO and treating high-risk SO patients with RIT after total thyroidectomy to achieve disease remission.

Learning points: Struma ovarii can cause hyperthyroidism. Thyroid carcinoma can originate in Struma Ovarii. Differentiated thyroid carcinoma and hyperthyroidism originating in Struma Ovarii are rare conditions.

求助全文
通过发布文献求助,成功后即可免费获取论文全文。 去求助
来源期刊
CiteScore
1.50
自引率
0.00%
发文量
142
审稿时长
9 weeks
期刊介绍: Endocrinology, Diabetes & Metabolism Case Reports publishes case reports on common and rare conditions in all areas of clinical endocrinology, diabetes and metabolism. Articles should include clear learning points which readers can use to inform medical education or clinical practice. The types of cases of interest to Endocrinology, Diabetes & Metabolism Case Reports include: -Insight into disease pathogenesis or mechanism of therapy - Novel diagnostic procedure - Novel treatment - Unique/unexpected symptoms or presentations of a disease - New disease or syndrome: presentations/diagnosis/management - Unusual effects of medical treatment - Error in diagnosis/pitfalls and caveats
×
引用
GB/T 7714-2015
复制
MLA
复制
APA
复制
导出至
BibTeX EndNote RefMan NoteFirst NoteExpress
×
提示
您的信息不完整,为了账户安全,请先补充。
现在去补充
×
提示
您因"违规操作"
具体请查看互助需知
我知道了
×
提示
确定
请完成安全验证×
copy
已复制链接
快去分享给好友吧!
我知道了
右上角分享
点击右上角分享
0
联系我们:info@booksci.cn Book学术提供免费学术资源搜索服务,方便国内外学者检索中英文文献。致力于提供最便捷和优质的服务体验。 Copyright © 2023 布克学术 All rights reserved.
京ICP备2023020795号-1
ghs 京公网安备 11010802042870号
Book学术文献互助
Book学术文献互助群
群 号:604180095
Book学术官方微信