结膜腺鳞癌的晚期转移

IF 1.5 Q3 OPHTHALMOLOGY
Journal of Ophthalmic & Vision Research Pub Date : 2024-09-16 eCollection Date: 2024-07-01 DOI:10.18502/jovr.v19i3.10084
Hassan Lami, Sarrvesa Hari Vijay Singh, Svetlana Cherepanoff, J Males
{"title":"结膜腺鳞癌的晚期转移","authors":"Hassan Lami, Sarrvesa Hari Vijay Singh, Svetlana Cherepanoff, J Males","doi":"10.18502/jovr.v19i3.10084","DOIUrl":null,"url":null,"abstract":"<p><strong>Purpose: </strong>To present a rare case of metastatic conjunctival adenosquamous carcinoma (ASC) in the context of limited literature on the prognosis of ASC and suggested follow-up and surveillance.</p><p><strong>Case report: </strong>We report a case of conjunctival ASC that metastasized to cervical lymph nodes five years after histological confirmation of complete local excision.</p><p><strong>Conclusion: </strong>Long-term clinical follow-up and surveillance imaging are warranted to allow early detection of disease recurrence and/or metastasis.</p>","PeriodicalId":16586,"journal":{"name":"Journal of Ophthalmic & Vision Research","volume":"19 3","pages":"381-385"},"PeriodicalIF":1.5000,"publicationDate":"2024-09-16","publicationTypes":"Journal Article","fieldsOfStudy":null,"isOpenAccess":false,"openAccessPdf":"https://www.ncbi.nlm.nih.gov/pmc/articles/PMC11443998/pdf/","citationCount":"0","resultStr":"{\"title\":\"Late Metastasis in Conjunctival Adenosquamous Carcinoma.\",\"authors\":\"Hassan Lami, Sarrvesa Hari Vijay Singh, Svetlana Cherepanoff, J Males\",\"doi\":\"10.18502/jovr.v19i3.10084\",\"DOIUrl\":null,\"url\":null,\"abstract\":\"<p><strong>Purpose: </strong>To present a rare case of metastatic conjunctival adenosquamous carcinoma (ASC) in the context of limited literature on the prognosis of ASC and suggested follow-up and surveillance.</p><p><strong>Case report: </strong>We report a case of conjunctival ASC that metastasized to cervical lymph nodes five years after histological confirmation of complete local excision.</p><p><strong>Conclusion: </strong>Long-term clinical follow-up and surveillance imaging are warranted to allow early detection of disease recurrence and/or metastasis.</p>\",\"PeriodicalId\":16586,\"journal\":{\"name\":\"Journal of Ophthalmic & Vision Research\",\"volume\":\"19 3\",\"pages\":\"381-385\"},\"PeriodicalIF\":1.5000,\"publicationDate\":\"2024-09-16\",\"publicationTypes\":\"Journal Article\",\"fieldsOfStudy\":null,\"isOpenAccess\":false,\"openAccessPdf\":\"https://www.ncbi.nlm.nih.gov/pmc/articles/PMC11443998/pdf/\",\"citationCount\":\"0\",\"resultStr\":null,\"platform\":\"Semanticscholar\",\"paperid\":null,\"PeriodicalName\":\"Journal of Ophthalmic & Vision Research\",\"FirstCategoryId\":\"1085\",\"ListUrlMain\":\"https://doi.org/10.18502/jovr.v19i3.10084\",\"RegionNum\":0,\"RegionCategory\":null,\"ArticlePicture\":[],\"TitleCN\":null,\"AbstractTextCN\":null,\"PMCID\":null,\"EPubDate\":\"2024/7/1 0:00:00\",\"PubModel\":\"eCollection\",\"JCR\":\"Q3\",\"JCRName\":\"OPHTHALMOLOGY\",\"Score\":null,\"Total\":0}","platform":"Semanticscholar","paperid":null,"PeriodicalName":"Journal of Ophthalmic & Vision Research","FirstCategoryId":"1085","ListUrlMain":"https://doi.org/10.18502/jovr.v19i3.10084","RegionNum":0,"RegionCategory":null,"ArticlePicture":[],"TitleCN":null,"AbstractTextCN":null,"PMCID":null,"EPubDate":"2024/7/1 0:00:00","PubModel":"eCollection","JCR":"Q3","JCRName":"OPHTHALMOLOGY","Score":null,"Total":0}
引用次数: 0

摘要

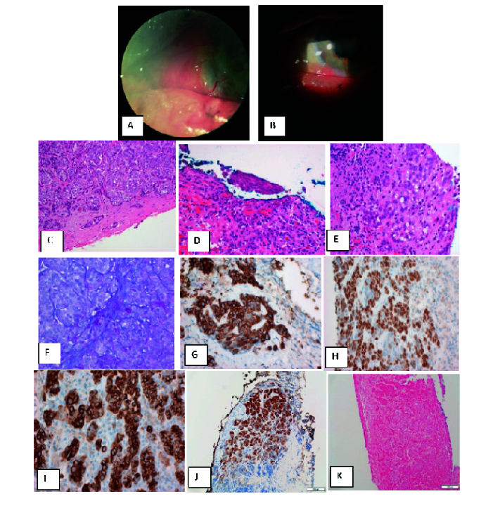
目的:介绍一例罕见的结膜腺鳞癌(ASC)转移病例,并结合有限的文献资料介绍ASC的预后以及建议的随访和监测:病例报告:我们报告了一例结膜腺鳞癌病例,该病例在组织学证实完全局部切除五年后转移至颈淋巴结:结论:有必要进行长期临床随访和影像学监测,以便及早发现疾病复发和/或转移。
本文章由计算机程序翻译,如有差异,请以英文原文为准。

Late Metastasis in Conjunctival Adenosquamous Carcinoma.

Late Metastasis in Conjunctival Adenosquamous Carcinoma.

Purpose: To present a rare case of metastatic conjunctival adenosquamous carcinoma (ASC) in the context of limited literature on the prognosis of ASC and suggested follow-up and surveillance.

Case report: We report a case of conjunctival ASC that metastasized to cervical lymph nodes five years after histological confirmation of complete local excision.

Conclusion: Long-term clinical follow-up and surveillance imaging are warranted to allow early detection of disease recurrence and/or metastasis.

求助全文
通过发布文献求助,成功后即可免费获取论文全文。 去求助
来源期刊
CiteScore
3.60
自引率
0.00%
发文量
63
审稿时长
30 weeks
×
引用
GB/T 7714-2015
复制
MLA
复制
APA
复制
导出至
BibTeX EndNote RefMan NoteFirst NoteExpress
×
提示
您的信息不完整,为了账户安全,请先补充。
现在去补充
×
提示
您因"违规操作"
具体请查看互助需知
我知道了
×
提示
确定
请完成安全验证×
copy
已复制链接
快去分享给好友吧!
我知道了
右上角分享
点击右上角分享
0
联系我们:info@booksci.cn Book学术提供免费学术资源搜索服务,方便国内外学者检索中英文文献。致力于提供最便捷和优质的服务体验。 Copyright © 2023 布克学术 All rights reserved.
京ICP备2023020795号-1
ghs 京公网安备 11010802042870号
Book学术文献互助
Book学术文献互助群
群 号:604180095
Book学术官方微信