印度泰米尔纳德邦考弗里三角洲地区的罗威纳犬感染 Trypanosoma evansi:病例报告。

IF 0.9 4区 医学 Q4 PARASITOLOGY
Velusamy Rangasamy, Latchumikanthan Annamalai, Vijayasarathi Matheri Kanniappan, Saravanan Mani, Babu Prasath Natarajan, Prabu Ponnachipudur Chinnaswamy, Alagesan Alagarsamy
{"title":"印度泰米尔纳德邦考弗里三角洲地区的罗威纳犬感染 Trypanosoma evansi:病例报告。","authors":"Velusamy Rangasamy, Latchumikanthan Annamalai, Vijayasarathi Matheri Kanniappan, Saravanan Mani, Babu Prasath Natarajan, Prabu Ponnachipudur Chinnaswamy, Alagesan Alagarsamy","doi":"10.18502/ijpa.v19i3.16398","DOIUrl":null,"url":null,"abstract":"<p><p>Trypanosomes are the extraerythrocytic haemoflagellate protozoan parasites of domestic and wild animals including dogs. A male Rottweiler dog was presented with the history of anorexia, cloudy eyes and vomiting for a week. The dog was examined both physically and clinically. Blood was collected and subjected to haematological and biochemical analysis. Echocardiography of the thoracic cavity and ultrasonography of the abdominal cavity were performed. Molecular confirmation of parasite was carried out by PCR and DNA was sequenced to identify strain variations. Upon clinical examination, the dog revealed emaciation with high fever, unilateral corneal opacity, anemia, enlarged lymph nodes and distended abdomen. Echocardiography of the thoracic cavity showed ventricular hypertrophy and cardiomyopathy. Ultrasonography of the abdominal cavity showed splenomegaly and renomegaly. Haematological findings revealed decreased haemoglobin and erythrocyte count and biochemical findings revealed increased BUN and creatinine, hypoglycemia and hypoalbuminemia. Wet film and blood smear examination revealed actively motile trypanosomes and massive infection of trypanosomes, respectively. Molecular confirmation of species was carried out by amplification of 227 bp partial VSG gene of <i>Trypanososma evansi</i>, subsequently sequenced and phylogenitically analysed. The infected dog was treated intramuscularly with diminazene aceturate @ 3.5 mg/kg b.wt along with the supportive therapy. The study described the occurrence and diagnosis of trypanosomosis in dog. Early diagnosis and timely treatment is the most reliable way to safeguard the companion animals. It is the first report on trypanosomosis in dog from Cauvery delta region of Tamil Nadu, India.</p>","PeriodicalId":14669,"journal":{"name":"Iranian Journal of Parasitology","volume":"19 3","pages":"370-375"},"PeriodicalIF":0.9000,"publicationDate":"2024-07-01","publicationTypes":"Journal Article","fieldsOfStudy":null,"isOpenAccess":false,"openAccessPdf":"https://www.ncbi.nlm.nih.gov/pmc/articles/PMC11417975/pdf/","citationCount":"0","resultStr":"{\"title\":\"Occurrence of <i>Trypanosoma evansi</i> Infection in Rottweiler Dog from Cauvery Delta Region of Tamil Nadu, India: A Case Report.\",\"authors\":\"Velusamy Rangasamy, Latchumikanthan Annamalai, Vijayasarathi Matheri Kanniappan, Saravanan Mani, Babu Prasath Natarajan, Prabu Ponnachipudur Chinnaswamy, Alagesan Alagarsamy\",\"doi\":\"10.18502/ijpa.v19i3.16398\",\"DOIUrl\":null,\"url\":null,\"abstract\":\"<p><p>Trypanosomes are the extraerythrocytic haemoflagellate protozoan parasites of domestic and wild animals including dogs. A male Rottweiler dog was presented with the history of anorexia, cloudy eyes and vomiting for a week. The dog was examined both physically and clinically. Blood was collected and subjected to haematological and biochemical analysis. Echocardiography of the thoracic cavity and ultrasonography of the abdominal cavity were performed. Molecular confirmation of parasite was carried out by PCR and DNA was sequenced to identify strain variations. Upon clinical examination, the dog revealed emaciation with high fever, unilateral corneal opacity, anemia, enlarged lymph nodes and distended abdomen. Echocardiography of the thoracic cavity showed ventricular hypertrophy and cardiomyopathy. Ultrasonography of the abdominal cavity showed splenomegaly and renomegaly. Haematological findings revealed decreased haemoglobin and erythrocyte count and biochemical findings revealed increased BUN and creatinine, hypoglycemia and hypoalbuminemia. Wet film and blood smear examination revealed actively motile trypanosomes and massive infection of trypanosomes, respectively. Molecular confirmation of species was carried out by amplification of 227 bp partial VSG gene of <i>Trypanososma evansi</i>, subsequently sequenced and phylogenitically analysed. The infected dog was treated intramuscularly with diminazene aceturate @ 3.5 mg/kg b.wt along with the supportive therapy. The study described the occurrence and diagnosis of trypanosomosis in dog. Early diagnosis and timely treatment is the most reliable way to safeguard the companion animals. It is the first report on trypanosomosis in dog from Cauvery delta region of Tamil Nadu, India.</p>\",\"PeriodicalId\":14669,\"journal\":{\"name\":\"Iranian Journal of Parasitology\",\"volume\":\"19 3\",\"pages\":\"370-375\"},\"PeriodicalIF\":0.9000,\"publicationDate\":\"2024-07-01\",\"publicationTypes\":\"Journal Article\",\"fieldsOfStudy\":null,\"isOpenAccess\":false,\"openAccessPdf\":\"https://www.ncbi.nlm.nih.gov/pmc/articles/PMC11417975/pdf/\",\"citationCount\":\"0\",\"resultStr\":null,\"platform\":\"Semanticscholar\",\"paperid\":null,\"PeriodicalName\":\"Iranian Journal of Parasitology\",\"FirstCategoryId\":\"3\",\"ListUrlMain\":\"https://doi.org/10.18502/ijpa.v19i3.16398\",\"RegionNum\":4,\"RegionCategory\":\"医学\",\"ArticlePicture\":[],\"TitleCN\":null,\"AbstractTextCN\":null,\"PMCID\":null,\"EPubDate\":\"\",\"PubModel\":\"\",\"JCR\":\"Q4\",\"JCRName\":\"PARASITOLOGY\",\"Score\":null,\"Total\":0}","platform":"Semanticscholar","paperid":null,"PeriodicalName":"Iranian Journal of Parasitology","FirstCategoryId":"3","ListUrlMain":"https://doi.org/10.18502/ijpa.v19i3.16398","RegionNum":4,"RegionCategory":"医学","ArticlePicture":[],"TitleCN":null,"AbstractTextCN":null,"PMCID":null,"EPubDate":"","PubModel":"","JCR":"Q4","JCRName":"PARASITOLOGY","Score":null,"Total":0}
引用次数: 0

摘要

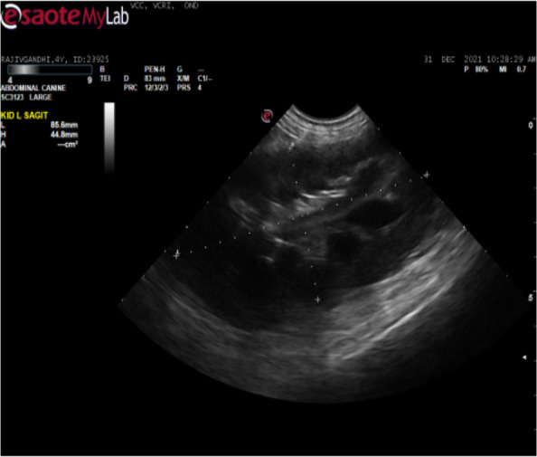
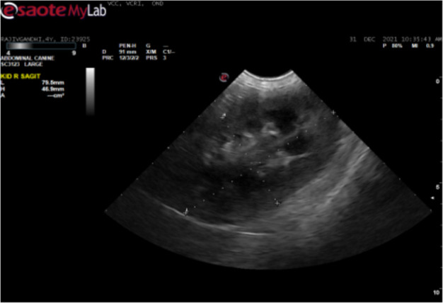
锥虫是红细胞外的血鞭毛原虫,寄生于包括狗在内的家养和野生动物体内。一只雄性罗威纳犬因厌食、眼睛浑浊和呕吐一周而就诊。对该犬进行了身体和临床检查。采集了血液并进行了血液学和生化分析。进行了胸腔超声心动图和腹腔超声波检查。通过 PCR 对寄生虫进行了分子确认,并对 DNA 进行了测序,以确定菌株变异。经临床检查,该犬消瘦,伴有高烧、单侧角膜混浊、贫血、淋巴结肿大和腹部膨胀。胸腔超声心动图显示心室肥大和心肌病。腹腔超声波检查显示脾脏肿大和肾脏肿大。血液学检查结果显示血红蛋白和红细胞计数下降,生化检查结果显示尿素氮和肌酐升高、低血糖和低白蛋白血症。湿片和血涂片检查分别显示锥虫运动活跃和锥虫大量感染。通过扩增 evansi 锥虫的 227 bp 部分 VSG 基因进行了分子鉴定,随后进行了测序和系统发育分析。感染犬在接受支持疗法的同时,肌肉注射醋酸地米那嗪(3.5 毫克/千克体重)。该研究描述了犬锥虫病的发生和诊断。早期诊断和及时治疗是保护伴侣动物的最可靠方法。这是印度泰米尔纳德邦考弗里三角洲地区首次报告犬锥虫病。
本文章由计算机程序翻译,如有差异,请以英文原文为准。

Occurrence of <i>Trypanosoma evansi</i> Infection in Rottweiler Dog from Cauvery Delta Region of Tamil Nadu, India: A Case Report.

Occurrence of <i>Trypanosoma evansi</i> Infection in Rottweiler Dog from Cauvery Delta Region of Tamil Nadu, India: A Case Report.

Occurrence of <i>Trypanosoma evansi</i> Infection in Rottweiler Dog from Cauvery Delta Region of Tamil Nadu, India: A Case Report.

Occurrence of Trypanosoma evansi Infection in Rottweiler Dog from Cauvery Delta Region of Tamil Nadu, India: A Case Report.

Trypanosomes are the extraerythrocytic haemoflagellate protozoan parasites of domestic and wild animals including dogs. A male Rottweiler dog was presented with the history of anorexia, cloudy eyes and vomiting for a week. The dog was examined both physically and clinically. Blood was collected and subjected to haematological and biochemical analysis. Echocardiography of the thoracic cavity and ultrasonography of the abdominal cavity were performed. Molecular confirmation of parasite was carried out by PCR and DNA was sequenced to identify strain variations. Upon clinical examination, the dog revealed emaciation with high fever, unilateral corneal opacity, anemia, enlarged lymph nodes and distended abdomen. Echocardiography of the thoracic cavity showed ventricular hypertrophy and cardiomyopathy. Ultrasonography of the abdominal cavity showed splenomegaly and renomegaly. Haematological findings revealed decreased haemoglobin and erythrocyte count and biochemical findings revealed increased BUN and creatinine, hypoglycemia and hypoalbuminemia. Wet film and blood smear examination revealed actively motile trypanosomes and massive infection of trypanosomes, respectively. Molecular confirmation of species was carried out by amplification of 227 bp partial VSG gene of Trypanososma evansi, subsequently sequenced and phylogenitically analysed. The infected dog was treated intramuscularly with diminazene aceturate @ 3.5 mg/kg b.wt along with the supportive therapy. The study described the occurrence and diagnosis of trypanosomosis in dog. Early diagnosis and timely treatment is the most reliable way to safeguard the companion animals. It is the first report on trypanosomosis in dog from Cauvery delta region of Tamil Nadu, India.

求助全文
通过发布文献求助,成功后即可免费获取论文全文。 去求助
来源期刊
CiteScore
1.80
自引率
0.00%
发文量
55
审稿时长
6-12 weeks
期刊介绍: Iranian Journal of Parasitology (IJP) is the official publication of Iranian Society of Parasitology (ISP) launched in 2006. The society was inaugurated in 1994 and pursues the improvement of the knowledge on the parasites and parasitic diseases, exchange of scientific knowledge with foreign societies, publicity activities, and consultation on the parasitic diseases, and intimate relationship among society members. The main aims of the Journal are: contribution to the field of Parasitology, including all aspects of parasites and parasitic diseases (medical and veterinary) and related fields such as Entomology which may be submitted by scientists from Iran and all over the world.
×
引用
GB/T 7714-2015
复制
MLA
复制
APA
复制
导出至
BibTeX EndNote RefMan NoteFirst NoteExpress
×
提示
您的信息不完整,为了账户安全,请先补充。
现在去补充
×
提示
您因"违规操作"
具体请查看互助需知
我知道了
×
提示
确定
请完成安全验证×
copy
已复制链接
快去分享给好友吧!
我知道了
右上角分享
点击右上角分享
0
联系我们:info@booksci.cn Book学术提供免费学术资源搜索服务,方便国内外学者检索中英文文献。致力于提供最便捷和优质的服务体验。 Copyright © 2023 布克学术 All rights reserved.
京ICP备2023020795号-1
ghs 京公网安备 11010802042870号
Book学术文献互助
Book学术文献互助群
群 号:604180095
Book学术官方微信