腹腔静脉雷诺肉瘤的起源:性激素排泄途径的作用。

IF 2.2 Q3 ONCOLOGY
World Journal of Oncology Pub Date : 2024-10-01 Epub Date: 2024-07-18 DOI:10.14740/wjon1884
Usman Tarique, David P Cyr, Carlo Morosi, Brendan C Dickson, Giorgio Greco, Carol J Swallow, Dario Callegaro, Rebecca A Gladdy, Korosh Khalili
{"title":"腹腔静脉雷诺肉瘤的起源:性激素排泄途径的作用。","authors":"Usman Tarique, David P Cyr, Carlo Morosi, Brendan C Dickson, Giorgio Greco, Carol J Swallow, Dario Callegaro, Rebecca A Gladdy, Korosh Khalili","doi":"10.14740/wjon1884","DOIUrl":null,"url":null,"abstract":"<p><strong>Background: </strong>We hypothesized that abdominal venous leiomyosarcoma (AV-LMS) disproportionately originates in veins of the sex-hormone drainage pathway (SHDP). Our purpose was to classify the anatomical origin of AV-LMS in a large cohort using imaging and explore prognostic implications.</p><p><strong>Methods: </strong>A retrospective review of imaging of all patients presenting with abdominal non-uterine LMS at a single tertiary oncology center was performed. Inclusion criteria were a biopsy-proven LMS of non-uterine abdominal/pelvic origin with pretreatment enhanced computed tomography (CT)/magnetic resonance imaging (MRI). Patients with uterine LMS or prior radiation were excluded. LMS site of origin was assigned by one expert radiologist and indeterminate sites were reviewed with a second external expert radiologist. Locations of inferior vena cava (IVC) tumors were subclassified based on a modification of prior literature. SHDP was defined as originating from ovarian/testicular vein, distal left renal vein, adrenal vein or mid-IVC (IIA).</p><p><strong>Results: </strong>One hundred fifty-five (155) patients were included (92/152 (61%) female) with distant metastases found at presentation in 23/155 (14.8%). Most common organs of origins were veins (84/152, 55.3%), gastrointestinal (24, 15.8%), genital (11, 7.2%) and paratesticular/spermatic cord (11, 7.2%). For venous LMS, the adrenal (both sexes), mid-IVC (IVC IIA, females) and ovarian veins had the highest relative predilection for abdominal non-uterine LMS. Eighty-four (84/152, 55.3%) of tumors were SHDP. On multivariable analysis, both size and SHDP were significant predictors of distant metastases at presentation (P = 0.01), while sex, age, organ system/site and grade were not.</p><p><strong>Conclusions: </strong>For both sexes, tumors arising from SHDP constitute the majority of AV-LMS and may impart a significantly lower risk of metastatic disease at presentation. Among veins, the adrenal veins had the highest predilection for LMS.</p>","PeriodicalId":46797,"journal":{"name":"World Journal of Oncology","volume":"15 5","pages":"758-768"},"PeriodicalIF":2.2000,"publicationDate":"2024-10-01","publicationTypes":"Journal Article","fieldsOfStudy":null,"isOpenAccess":false,"openAccessPdf":"https://www.ncbi.nlm.nih.gov/pmc/articles/PMC11424114/pdf/","citationCount":"0","resultStr":"{\"title\":\"On the Origin of Abdominal Venous Leiomyosarcomas: The Role of the Sex-Hormone Drainage Pathways.\",\"authors\":\"Usman Tarique, David P Cyr, Carlo Morosi, Brendan C Dickson, Giorgio Greco, Carol J Swallow, Dario Callegaro, Rebecca A Gladdy, Korosh Khalili\",\"doi\":\"10.14740/wjon1884\",\"DOIUrl\":null,\"url\":null,\"abstract\":\"<p><strong>Background: </strong>We hypothesized that abdominal venous leiomyosarcoma (AV-LMS) disproportionately originates in veins of the sex-hormone drainage pathway (SHDP). Our purpose was to classify the anatomical origin of AV-LMS in a large cohort using imaging and explore prognostic implications.</p><p><strong>Methods: </strong>A retrospective review of imaging of all patients presenting with abdominal non-uterine LMS at a single tertiary oncology center was performed. Inclusion criteria were a biopsy-proven LMS of non-uterine abdominal/pelvic origin with pretreatment enhanced computed tomography (CT)/magnetic resonance imaging (MRI). Patients with uterine LMS or prior radiation were excluded. LMS site of origin was assigned by one expert radiologist and indeterminate sites were reviewed with a second external expert radiologist. Locations of inferior vena cava (IVC) tumors were subclassified based on a modification of prior literature. SHDP was defined as originating from ovarian/testicular vein, distal left renal vein, adrenal vein or mid-IVC (IIA).</p><p><strong>Results: </strong>One hundred fifty-five (155) patients were included (92/152 (61%) female) with distant metastases found at presentation in 23/155 (14.8%). Most common organs of origins were veins (84/152, 55.3%), gastrointestinal (24, 15.8%), genital (11, 7.2%) and paratesticular/spermatic cord (11, 7.2%). For venous LMS, the adrenal (both sexes), mid-IVC (IVC IIA, females) and ovarian veins had the highest relative predilection for abdominal non-uterine LMS. Eighty-four (84/152, 55.3%) of tumors were SHDP. On multivariable analysis, both size and SHDP were significant predictors of distant metastases at presentation (P = 0.01), while sex, age, organ system/site and grade were not.</p><p><strong>Conclusions: </strong>For both sexes, tumors arising from SHDP constitute the majority of AV-LMS and may impart a significantly lower risk of metastatic disease at presentation. Among veins, the adrenal veins had the highest predilection for LMS.</p>\",\"PeriodicalId\":46797,\"journal\":{\"name\":\"World Journal of Oncology\",\"volume\":\"15 5\",\"pages\":\"758-768\"},\"PeriodicalIF\":2.2000,\"publicationDate\":\"2024-10-01\",\"publicationTypes\":\"Journal Article\",\"fieldsOfStudy\":null,\"isOpenAccess\":false,\"openAccessPdf\":\"https://www.ncbi.nlm.nih.gov/pmc/articles/PMC11424114/pdf/\",\"citationCount\":\"0\",\"resultStr\":null,\"platform\":\"Semanticscholar\",\"paperid\":null,\"PeriodicalName\":\"World Journal of Oncology\",\"FirstCategoryId\":\"1085\",\"ListUrlMain\":\"https://doi.org/10.14740/wjon1884\",\"RegionNum\":0,\"RegionCategory\":null,\"ArticlePicture\":[],\"TitleCN\":null,\"AbstractTextCN\":null,\"PMCID\":null,\"EPubDate\":\"2024/7/18 0:00:00\",\"PubModel\":\"Epub\",\"JCR\":\"Q3\",\"JCRName\":\"ONCOLOGY\",\"Score\":null,\"Total\":0}","platform":"Semanticscholar","paperid":null,"PeriodicalName":"World Journal of Oncology","FirstCategoryId":"1085","ListUrlMain":"https://doi.org/10.14740/wjon1884","RegionNum":0,"RegionCategory":null,"ArticlePicture":[],"TitleCN":null,"AbstractTextCN":null,"PMCID":null,"EPubDate":"2024/7/18 0:00:00","PubModel":"Epub","JCR":"Q3","JCRName":"ONCOLOGY","Score":null,"Total":0}
引用次数: 0

摘要

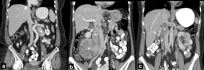
背景:我们推测腹腔静脉良性肉瘤(AV-LMS)不成比例地起源于性激素排泄途径(SHDP)的静脉。我们的目的是利用影像学方法对大样本人群中的AV-LMS解剖起源进行分类,并探讨其对预后的影响:方法:我们在一家三级肿瘤中心对所有腹腔非子宫LMS患者的影像学资料进行了回顾性审查。纳入标准为经活检证实的腹部/盆腔非子宫型LMS,并在治疗前进行增强计算机断层扫描(CT)/磁共振成像(MRI)。患有子宫LMS或曾接受过放射治疗的患者除外。LMS的起源部位由一名放射科专家指定,无法确定的部位则由另一名外部放射科专家进行复查。下腔静脉(IVC)肿瘤的位置根据先前文献的修改进行了细分。SHDP被定义为起源于卵巢/睾丸静脉、左肾远端静脉、肾上腺静脉或下腔静脉中段(IIA):结果:共纳入 155 例患者(92/152,61% 为女性),其中 23/155 例患者(14.8%)在就诊时发现有远处转移。最常见的起源器官为静脉(84/152,55.3%)、胃肠道(24,15.8%)、生殖器(11,7.2%)和睾丸旁/精索(11,7.2%)。就静脉型 LMS 而言,肾上腺静脉(男女均可)、IVC 中段(IVC IIA,女性)和卵巢静脉对腹部非子宫型 LMS 的相对偏好度最高。84例(84/152,55.3%)肿瘤为SHDP。在多变量分析中,肿瘤大小和SHDP都是发病时远处转移的重要预测因素(P = 0.01),而性别、年龄、器官系统/部位和分级则不是:结论:对于男性和女性而言,来自SHDP的肿瘤占动静脉乳头状瘤的绝大多数,在发病时发生转移性疾病的风险明显较低。在静脉中,肾上腺静脉对LMS的偏好度最高。
本文章由计算机程序翻译,如有差异,请以英文原文为准。

On the Origin of Abdominal Venous Leiomyosarcomas: The Role of the Sex-Hormone Drainage Pathways.

On the Origin of Abdominal Venous Leiomyosarcomas: The Role of the Sex-Hormone Drainage Pathways.

On the Origin of Abdominal Venous Leiomyosarcomas: The Role of the Sex-Hormone Drainage Pathways.

On the Origin of Abdominal Venous Leiomyosarcomas: The Role of the Sex-Hormone Drainage Pathways.

Background: We hypothesized that abdominal venous leiomyosarcoma (AV-LMS) disproportionately originates in veins of the sex-hormone drainage pathway (SHDP). Our purpose was to classify the anatomical origin of AV-LMS in a large cohort using imaging and explore prognostic implications.

Methods: A retrospective review of imaging of all patients presenting with abdominal non-uterine LMS at a single tertiary oncology center was performed. Inclusion criteria were a biopsy-proven LMS of non-uterine abdominal/pelvic origin with pretreatment enhanced computed tomography (CT)/magnetic resonance imaging (MRI). Patients with uterine LMS or prior radiation were excluded. LMS site of origin was assigned by one expert radiologist and indeterminate sites were reviewed with a second external expert radiologist. Locations of inferior vena cava (IVC) tumors were subclassified based on a modification of prior literature. SHDP was defined as originating from ovarian/testicular vein, distal left renal vein, adrenal vein or mid-IVC (IIA).

Results: One hundred fifty-five (155) patients were included (92/152 (61%) female) with distant metastases found at presentation in 23/155 (14.8%). Most common organs of origins were veins (84/152, 55.3%), gastrointestinal (24, 15.8%), genital (11, 7.2%) and paratesticular/spermatic cord (11, 7.2%). For venous LMS, the adrenal (both sexes), mid-IVC (IVC IIA, females) and ovarian veins had the highest relative predilection for abdominal non-uterine LMS. Eighty-four (84/152, 55.3%) of tumors were SHDP. On multivariable analysis, both size and SHDP were significant predictors of distant metastases at presentation (P = 0.01), while sex, age, organ system/site and grade were not.

Conclusions: For both sexes, tumors arising from SHDP constitute the majority of AV-LMS and may impart a significantly lower risk of metastatic disease at presentation. Among veins, the adrenal veins had the highest predilection for LMS.

求助全文
通过发布文献求助,成功后即可免费获取论文全文。 去求助
来源期刊
CiteScore
6.10
自引率
15.40%
发文量
37
期刊介绍: World Journal of Oncology, bimonthly, publishes original contributions describing basic research and clinical investigation of cancer, on the cellular, molecular, prevention, diagnosis, therapy and prognosis aspects. The submissions can be basic research or clinical investigation oriented. This journal welcomes those submissions focused on the clinical trials of new treatment modalities for cancer, and those submissions focused on molecular or cellular research of the oncology pathogenesis. Case reports submitted for consideration of publication should explore either a novel genomic event/description or a new safety signal from an oncolytic agent. The areas of interested manuscripts are these disciplines: tumor immunology and immunotherapy; cancer molecular pharmacology and chemotherapy; drug sensitivity and resistance; cancer epidemiology; clinical trials; cancer pathology; radiobiology and radiation oncology; solid tumor oncology; hematological malignancies; surgical oncology; pediatric oncology; molecular oncology and cancer genes; gene therapy; cancer endocrinology; cancer metastasis; prevention and diagnosis of cancer; other cancer related subjects. The types of manuscripts accepted are original article, review, editorial, short communication, case report, letter to the editor, book review.
×
引用
GB/T 7714-2015
复制
MLA
复制
APA
复制
导出至
BibTeX EndNote RefMan NoteFirst NoteExpress
×
提示
您的信息不完整,为了账户安全,请先补充。
现在去补充
×
提示
您因"违规操作"
具体请查看互助需知
我知道了
×
提示
确定
请完成安全验证×
copy
已复制链接
快去分享给好友吧!
我知道了
右上角分享
点击右上角分享
0
联系我们:info@booksci.cn Book学术提供免费学术资源搜索服务,方便国内外学者检索中英文文献。致力于提供最便捷和优质的服务体验。 Copyright © 2023 布克学术 All rights reserved.
京ICP备2023020795号-1
ghs 京公网安备 11010802042870号
Book学术文献互助
Book学术文献互助群
群 号:604180095
Book学术官方微信