回顾 2 月 6 日土尔其地震后与地震相关的骨盆损伤的治疗方案和效果。

IF 1
Özhan Pazarcı, Mehmet Ali Talmaç, Bedirhan Sarı, Sami Sökücü
{"title":"回顾 2 月 6 日土尔其地震后与地震相关的骨盆损伤的治疗方案和效果。","authors":"Özhan Pazarcı, Mehmet Ali Talmaç, Bedirhan Sarı, Sami Sökücü","doi":"10.5152/j.aott.2024.23205","DOIUrl":null,"url":null,"abstract":"<p><p>The aim of this study was to review the characteristics and classifications of pelvic injuries due to earthquake trauma, to determine the treatment options and outcomes, and to present the experiences of our single trauma center. Sixty patients (23 male, 37 female) who underwent surgical treatment for pelvic ring injuries after the earthquake were analyzed in this study. Demographic data, such as age and gender, operations, and fracture details were recorded. Laboratory results and the amount of blood used were included in the analysis. Fractures were classified according to the Young-Burgess classification. Surgical treatment methods, side of injury, accompanying injuries, and treatment results were analyzed using SPSS software. Left-sided trauma was the most common mechanism of injury, with 36 patients (60%) sustaining left-sided pelvic fractures. Pelvic ring fractures were detected in 78.3% of patients, and combined acetabulum and pelvic ring fractures were identified in 21.7% of patients. Thoracic trauma and extra-pelvic fractures were seen in 12 (20%) and 18 (30%) patients, respectively. Twenty percent of patients underwent emergency abdominal surgery prior to pelvic surgery. Complications were observed in 7 patients (11.6%) in the early period. The average amount of blood used for patients was 2.91 U (min: 0, max: 13 U, SD: 2.66). This study has shown us that lateral compression injuries are more common, and that low hemoglobin levels, high inflammation parameters, previous abdominal surgery, accompanying fractures, and lung injury are the main characteristics of patients with earthquake-related pelvic injuries. It also demonstrates that for the optimal use of materials and implants, experience in different techniques is required, and shows the significant need for blood transfusions in the treatment of these injuries. Level IV, Therapeutic study.</p>","PeriodicalId":93854,"journal":{"name":"Acta orthopaedica et traumatologica turcica","volume":"58 4","pages":"229-234"},"PeriodicalIF":1.0000,"publicationDate":"2024-09-04","publicationTypes":"Journal Article","fieldsOfStudy":null,"isOpenAccess":false,"openAccessPdf":"https://www.ncbi.nlm.nih.gov/pmc/articles/PMC11448765/pdf/","citationCount":"0","resultStr":"{\"title\":\"Review of the treatment options and results of earthquake-related pelvic injuries after the Türkiye earthquake on 6th February.\",\"authors\":\"Özhan Pazarcı, Mehmet Ali Talmaç, Bedirhan Sarı, Sami Sökücü\",\"doi\":\"10.5152/j.aott.2024.23205\",\"DOIUrl\":null,\"url\":null,\"abstract\":\"<p><p>The aim of this study was to review the characteristics and classifications of pelvic injuries due to earthquake trauma, to determine the treatment options and outcomes, and to present the experiences of our single trauma center. Sixty patients (23 male, 37 female) who underwent surgical treatment for pelvic ring injuries after the earthquake were analyzed in this study. Demographic data, such as age and gender, operations, and fracture details were recorded. Laboratory results and the amount of blood used were included in the analysis. Fractures were classified according to the Young-Burgess classification. Surgical treatment methods, side of injury, accompanying injuries, and treatment results were analyzed using SPSS software. Left-sided trauma was the most common mechanism of injury, with 36 patients (60%) sustaining left-sided pelvic fractures. Pelvic ring fractures were detected in 78.3% of patients, and combined acetabulum and pelvic ring fractures were identified in 21.7% of patients. Thoracic trauma and extra-pelvic fractures were seen in 12 (20%) and 18 (30%) patients, respectively. Twenty percent of patients underwent emergency abdominal surgery prior to pelvic surgery. Complications were observed in 7 patients (11.6%) in the early period. The average amount of blood used for patients was 2.91 U (min: 0, max: 13 U, SD: 2.66). This study has shown us that lateral compression injuries are more common, and that low hemoglobin levels, high inflammation parameters, previous abdominal surgery, accompanying fractures, and lung injury are the main characteristics of patients with earthquake-related pelvic injuries. It also demonstrates that for the optimal use of materials and implants, experience in different techniques is required, and shows the significant need for blood transfusions in the treatment of these injuries. Level IV, Therapeutic study.</p>\",\"PeriodicalId\":93854,\"journal\":{\"name\":\"Acta orthopaedica et traumatologica turcica\",\"volume\":\"58 4\",\"pages\":\"229-234\"},\"PeriodicalIF\":1.0000,\"publicationDate\":\"2024-09-04\",\"publicationTypes\":\"Journal Article\",\"fieldsOfStudy\":null,\"isOpenAccess\":false,\"openAccessPdf\":\"https://www.ncbi.nlm.nih.gov/pmc/articles/PMC11448765/pdf/\",\"citationCount\":\"0\",\"resultStr\":null,\"platform\":\"Semanticscholar\",\"paperid\":null,\"PeriodicalName\":\"Acta orthopaedica et traumatologica turcica\",\"FirstCategoryId\":\"1085\",\"ListUrlMain\":\"https://doi.org/10.5152/j.aott.2024.23205\",\"RegionNum\":0,\"RegionCategory\":null,\"ArticlePicture\":[],\"TitleCN\":null,\"AbstractTextCN\":null,\"PMCID\":null,\"EPubDate\":\"\",\"PubModel\":\"\",\"JCR\":\"\",\"JCRName\":\"\",\"Score\":null,\"Total\":0}","platform":"Semanticscholar","paperid":null,"PeriodicalName":"Acta orthopaedica et traumatologica turcica","FirstCategoryId":"1085","ListUrlMain":"https://doi.org/10.5152/j.aott.2024.23205","RegionNum":0,"RegionCategory":null,"ArticlePicture":[],"TitleCN":null,"AbstractTextCN":null,"PMCID":null,"EPubDate":"","PubModel":"","JCR":"","JCRName":"","Score":null,"Total":0}
引用次数: 0

摘要

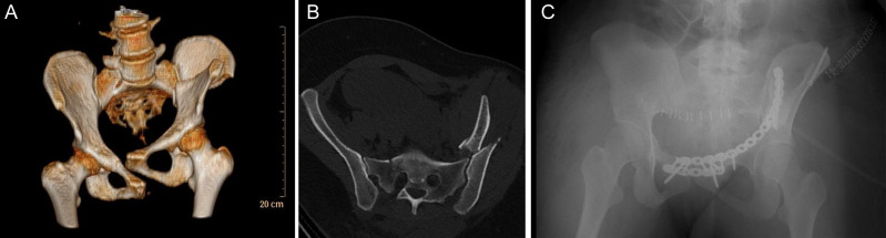
本研究旨在回顾地震创伤导致的骨盆损伤的特征和分类,确定治疗方案和结果,并介绍我们这个创伤中心的经验。本研究分析了地震后因骨盆环损伤接受手术治疗的 60 名患者(23 名男性,37 名女性)。研究记录了年龄、性别、手术和骨折细节等人口统计学数据。化验结果和用血量也包括在分析中。骨折根据 Young-Burgess 分类法进行分类。使用 SPSS 软件分析了手术治疗方法、受伤侧、伴伤和治疗结果。左侧创伤是最常见的损伤机制,36 名患者(60%)发生了左侧骨盆骨折。78.3%的患者发现骨盆环骨折,21.7%的患者发现髋臼和骨盆环合并骨折。分别有 12 例(20%)和 18 例(30%)患者出现胸部创伤和骨盆外骨折。20%的患者在骨盆手术前接受了紧急腹部手术。早期有 7 名患者(11.6%)出现并发症。患者的平均用血量为 2.91 U(最少:0,最多:13 U,平均值:2.66)。这项研究向我们表明,侧压伤更为常见,低血红蛋白水平、高炎症指标、既往腹部手术、伴有骨折和肺损伤是地震相关骨盆损伤患者的主要特征。该研究还表明,要优化材料和植入物的使用,需要不同技术的经验,并表明在治疗这些损伤时非常需要输血。四级,治疗研究。
本文章由计算机程序翻译,如有差异,请以英文原文为准。

Review of the treatment options and results of earthquake-related pelvic injuries after the Türkiye earthquake on 6th February.

Review of the treatment options and results of earthquake-related pelvic injuries after the Türkiye earthquake on 6th February.

Review of the treatment options and results of earthquake-related pelvic injuries after the Türkiye earthquake on 6th February.

Review of the treatment options and results of earthquake-related pelvic injuries after the Türkiye earthquake on 6th February.

The aim of this study was to review the characteristics and classifications of pelvic injuries due to earthquake trauma, to determine the treatment options and outcomes, and to present the experiences of our single trauma center. Sixty patients (23 male, 37 female) who underwent surgical treatment for pelvic ring injuries after the earthquake were analyzed in this study. Demographic data, such as age and gender, operations, and fracture details were recorded. Laboratory results and the amount of blood used were included in the analysis. Fractures were classified according to the Young-Burgess classification. Surgical treatment methods, side of injury, accompanying injuries, and treatment results were analyzed using SPSS software. Left-sided trauma was the most common mechanism of injury, with 36 patients (60%) sustaining left-sided pelvic fractures. Pelvic ring fractures were detected in 78.3% of patients, and combined acetabulum and pelvic ring fractures were identified in 21.7% of patients. Thoracic trauma and extra-pelvic fractures were seen in 12 (20%) and 18 (30%) patients, respectively. Twenty percent of patients underwent emergency abdominal surgery prior to pelvic surgery. Complications were observed in 7 patients (11.6%) in the early period. The average amount of blood used for patients was 2.91 U (min: 0, max: 13 U, SD: 2.66). This study has shown us that lateral compression injuries are more common, and that low hemoglobin levels, high inflammation parameters, previous abdominal surgery, accompanying fractures, and lung injury are the main characteristics of patients with earthquake-related pelvic injuries. It also demonstrates that for the optimal use of materials and implants, experience in different techniques is required, and shows the significant need for blood transfusions in the treatment of these injuries. Level IV, Therapeutic study.

求助全文
通过发布文献求助,成功后即可免费获取论文全文。 去求助
来源期刊
自引率
0.00%
发文量
0
×
引用
GB/T 7714-2015
复制
MLA
复制
APA
复制
导出至
BibTeX EndNote RefMan NoteFirst NoteExpress
×
提示
您的信息不完整,为了账户安全,请先补充。
现在去补充
×
提示
您因"违规操作"
具体请查看互助需知
我知道了
×
提示
确定
请完成安全验证×
copy
已复制链接
快去分享给好友吧!
我知道了
右上角分享
点击右上角分享
0
联系我们:info@booksci.cn Book学术提供免费学术资源搜索服务,方便国内外学者检索中英文文献。致力于提供最便捷和优质的服务体验。 Copyright © 2023 布克学术 All rights reserved.
京ICP备2023020795号-1
ghs 京公网安备 11010802042870号
Book学术文献互助
Book学术文献互助群
群 号:604180095
Book学术官方微信