透视引导下的空肠尖锐异物取出术:手术的另一种方法。

IF 0.5 Q4 GASTROENTEROLOGY & HEPATOLOGY
Case Reports in Gastrointestinal Medicine Pub Date : 2024-09-16 eCollection Date: 2024-01-01 DOI:10.1155/2024/5117360
Abdulrahman Qatomah, Simon McQueen, Wafa Qatomah, Aishah Qatomah, Ali Bessissow
{"title":"透视引导下的空肠尖锐异物取出术:手术的另一种方法。","authors":"Abdulrahman Qatomah, Simon McQueen, Wafa Qatomah, Aishah Qatomah, Ali Bessissow","doi":"10.1155/2024/5117360","DOIUrl":null,"url":null,"abstract":"<p><strong>Introduction: </strong>Foreign body (FB) ingestion represents a frequently encountered scenario in clinical practice. Most ingested FBs typically pass spontaneously, requiring no intervention. Endoscopic removal stands out as the least invasive method, with only a minimal 1% needing surgical intervention. <i>Case Presentation</i>. We present a case of a 30-year-old male who ingested multiple FBs located in the stomach and small bowel. While successful removal of the stomach FB was achieved through endoscopy, the second FB in the small bowel proved challenging due to perforation concerns and limited expertise. Given a history of prior surgical intervention resulting in a large incisional hernia, surgical removal was discouraged. Consequently, a collaborative decision involving surgeon and interventional radiologist (IR) led to the adoption of a fluoroscopic-guided removal approach facilitated by IR techniques.</p><p><strong>Conclusion: </strong>This case highlights the potential for a less invasive alternative in situations where both endoscopic and surgical interventions are deemed not feasible.</p>","PeriodicalId":45645,"journal":{"name":"Case Reports in Gastrointestinal Medicine","volume":"2024 ","pages":"5117360"},"PeriodicalIF":0.5000,"publicationDate":"2024-09-16","publicationTypes":"Journal Article","fieldsOfStudy":null,"isOpenAccess":false,"openAccessPdf":"https://www.ncbi.nlm.nih.gov/pmc/articles/PMC11419835/pdf/","citationCount":"0","resultStr":"{\"title\":\"Fluoroscopic-Guided Removal of Jejunal Sharp Foreign Body: An Alternative Approach to Surgery.\",\"authors\":\"Abdulrahman Qatomah, Simon McQueen, Wafa Qatomah, Aishah Qatomah, Ali Bessissow\",\"doi\":\"10.1155/2024/5117360\",\"DOIUrl\":null,\"url\":null,\"abstract\":\"<p><strong>Introduction: </strong>Foreign body (FB) ingestion represents a frequently encountered scenario in clinical practice. Most ingested FBs typically pass spontaneously, requiring no intervention. Endoscopic removal stands out as the least invasive method, with only a minimal 1% needing surgical intervention. <i>Case Presentation</i>. We present a case of a 30-year-old male who ingested multiple FBs located in the stomach and small bowel. While successful removal of the stomach FB was achieved through endoscopy, the second FB in the small bowel proved challenging due to perforation concerns and limited expertise. Given a history of prior surgical intervention resulting in a large incisional hernia, surgical removal was discouraged. Consequently, a collaborative decision involving surgeon and interventional radiologist (IR) led to the adoption of a fluoroscopic-guided removal approach facilitated by IR techniques.</p><p><strong>Conclusion: </strong>This case highlights the potential for a less invasive alternative in situations where both endoscopic and surgical interventions are deemed not feasible.</p>\",\"PeriodicalId\":45645,\"journal\":{\"name\":\"Case Reports in Gastrointestinal Medicine\",\"volume\":\"2024 \",\"pages\":\"5117360\"},\"PeriodicalIF\":0.5000,\"publicationDate\":\"2024-09-16\",\"publicationTypes\":\"Journal Article\",\"fieldsOfStudy\":null,\"isOpenAccess\":false,\"openAccessPdf\":\"https://www.ncbi.nlm.nih.gov/pmc/articles/PMC11419835/pdf/\",\"citationCount\":\"0\",\"resultStr\":null,\"platform\":\"Semanticscholar\",\"paperid\":null,\"PeriodicalName\":\"Case Reports in Gastrointestinal Medicine\",\"FirstCategoryId\":\"1085\",\"ListUrlMain\":\"https://doi.org/10.1155/2024/5117360\",\"RegionNum\":0,\"RegionCategory\":null,\"ArticlePicture\":[],\"TitleCN\":null,\"AbstractTextCN\":null,\"PMCID\":null,\"EPubDate\":\"2024/1/1 0:00:00\",\"PubModel\":\"eCollection\",\"JCR\":\"Q4\",\"JCRName\":\"GASTROENTEROLOGY & HEPATOLOGY\",\"Score\":null,\"Total\":0}","platform":"Semanticscholar","paperid":null,"PeriodicalName":"Case Reports in Gastrointestinal Medicine","FirstCategoryId":"1085","ListUrlMain":"https://doi.org/10.1155/2024/5117360","RegionNum":0,"RegionCategory":null,"ArticlePicture":[],"TitleCN":null,"AbstractTextCN":null,"PMCID":null,"EPubDate":"2024/1/1 0:00:00","PubModel":"eCollection","JCR":"Q4","JCRName":"GASTROENTEROLOGY & HEPATOLOGY","Score":null,"Total":0}
引用次数: 0

摘要

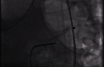
导言:异物(FB)摄入是临床实践中经常遇到的情况。大多数误食的异物通常会自行排出,无需干预。内窥镜取出异物是创伤最小的方法,只有极少的 1%需要手术干预。病例介绍。我们介绍了一例 30 岁男性的病例,他摄入了位于胃部和小肠的多个 FB。虽然通过内窥镜成功切除了胃中的 FB,但由于穿孔问题和专业知识有限,切除小肠中的第二个 FB 证明具有挑战性。考虑到患者之前曾因手术治疗导致大切口疝,医生不建议进行手术切除。因此,在外科医生和介入放射科医生(IR)的共同决定下,在 IR 技术的帮助下采用了透视引导下的切除方法:本病例凸显了在内窥镜和外科手术均不可行的情况下,采用创伤较小的替代方法的可能性。
本文章由计算机程序翻译,如有差异,请以英文原文为准。

Fluoroscopic-Guided Removal of Jejunal Sharp Foreign Body: An Alternative Approach to Surgery.

Fluoroscopic-Guided Removal of Jejunal Sharp Foreign Body: An Alternative Approach to Surgery.

Fluoroscopic-Guided Removal of Jejunal Sharp Foreign Body: An Alternative Approach to Surgery.

Fluoroscopic-Guided Removal of Jejunal Sharp Foreign Body: An Alternative Approach to Surgery.

Introduction: Foreign body (FB) ingestion represents a frequently encountered scenario in clinical practice. Most ingested FBs typically pass spontaneously, requiring no intervention. Endoscopic removal stands out as the least invasive method, with only a minimal 1% needing surgical intervention. Case Presentation. We present a case of a 30-year-old male who ingested multiple FBs located in the stomach and small bowel. While successful removal of the stomach FB was achieved through endoscopy, the second FB in the small bowel proved challenging due to perforation concerns and limited expertise. Given a history of prior surgical intervention resulting in a large incisional hernia, surgical removal was discouraged. Consequently, a collaborative decision involving surgeon and interventional radiologist (IR) led to the adoption of a fluoroscopic-guided removal approach facilitated by IR techniques.

Conclusion: This case highlights the potential for a less invasive alternative in situations where both endoscopic and surgical interventions are deemed not feasible.

求助全文
通过发布文献求助,成功后即可免费获取论文全文。 去求助
来源期刊
Case Reports in Gastrointestinal Medicine
Case Reports in Gastrointestinal Medicine GASTROENTEROLOGY & HEPATOLOGY-
自引率
0.00%
发文量
33
审稿时长
14 weeks
×
引用
GB/T 7714-2015
复制
MLA
复制
APA
复制
导出至
BibTeX EndNote RefMan NoteFirst NoteExpress
×
提示
您的信息不完整,为了账户安全,请先补充。
现在去补充
×
提示
您因"违规操作"
具体请查看互助需知
我知道了
×
提示
确定
请完成安全验证×
copy
已复制链接
快去分享给好友吧!
我知道了
右上角分享
点击右上角分享
0
联系我们:info@booksci.cn Book学术提供免费学术资源搜索服务,方便国内外学者检索中英文文献。致力于提供最便捷和优质的服务体验。 Copyright © 2023 布克学术 All rights reserved.
京ICP备2023020795号-1
ghs 京公网安备 11010802042870号
Book学术文献互助
Book学术文献互助群
群 号:604180095
Book学术官方微信