一名 26 岁女性的巨大胆总管囊肿:病例报告。

Glory Adebajo, Aduragbemi Adebunmi, Adebayo Olugbami, Oluwasegun Ijarotimi, Adeniyi Aderibigbe, Titilayo Ojumu, Adewale Adisa
{"title":"一名 26 岁女性的巨大胆总管囊肿:病例报告。","authors":"Glory Adebajo, Aduragbemi Adebunmi, Adebayo Olugbami, Oluwasegun Ijarotimi, Adeniyi Aderibigbe, Titilayo Ojumu, Adewale Adisa","doi":"10.4103/jwas.jwas_163_23","DOIUrl":null,"url":null,"abstract":"<p><p>We present the case of a 26-year old woman who developed obstructive jaundice and massive abdominal swelling. Investigations revealed a huge choledochal cyst with obstructive pattern of hyperbilirubinaemia. She had exploratory laparotomy, drainage and excision of the choledochal cyst and Roux-en-Y hepaticojejunostomy. She has been followed up for 6 months in good clinical condition.</p>","PeriodicalId":73993,"journal":{"name":"Journal of the West African College of Surgeons","volume":"14 4","pages":"432-434"},"PeriodicalIF":0.0000,"publicationDate":"2024-10-01","publicationTypes":"Journal Article","fieldsOfStudy":null,"isOpenAccess":false,"openAccessPdf":"https://www.ncbi.nlm.nih.gov/pmc/articles/PMC11412598/pdf/","citationCount":"0","resultStr":"{\"title\":\"Huge Choledochal Cyst in a 26-Year-Old Female: A Case Report.\",\"authors\":\"Glory Adebajo, Aduragbemi Adebunmi, Adebayo Olugbami, Oluwasegun Ijarotimi, Adeniyi Aderibigbe, Titilayo Ojumu, Adewale Adisa\",\"doi\":\"10.4103/jwas.jwas_163_23\",\"DOIUrl\":null,\"url\":null,\"abstract\":\"<p><p>We present the case of a 26-year old woman who developed obstructive jaundice and massive abdominal swelling. Investigations revealed a huge choledochal cyst with obstructive pattern of hyperbilirubinaemia. She had exploratory laparotomy, drainage and excision of the choledochal cyst and Roux-en-Y hepaticojejunostomy. She has been followed up for 6 months in good clinical condition.</p>\",\"PeriodicalId\":73993,\"journal\":{\"name\":\"Journal of the West African College of Surgeons\",\"volume\":\"14 4\",\"pages\":\"432-434\"},\"PeriodicalIF\":0.0000,\"publicationDate\":\"2024-10-01\",\"publicationTypes\":\"Journal Article\",\"fieldsOfStudy\":null,\"isOpenAccess\":false,\"openAccessPdf\":\"https://www.ncbi.nlm.nih.gov/pmc/articles/PMC11412598/pdf/\",\"citationCount\":\"0\",\"resultStr\":null,\"platform\":\"Semanticscholar\",\"paperid\":null,\"PeriodicalName\":\"Journal of the West African College of Surgeons\",\"FirstCategoryId\":\"1085\",\"ListUrlMain\":\"https://doi.org/10.4103/jwas.jwas_163_23\",\"RegionNum\":0,\"RegionCategory\":null,\"ArticlePicture\":[],\"TitleCN\":null,\"AbstractTextCN\":null,\"PMCID\":null,\"EPubDate\":\"2024/7/18 0:00:00\",\"PubModel\":\"Epub\",\"JCR\":\"\",\"JCRName\":\"\",\"Score\":null,\"Total\":0}","platform":"Semanticscholar","paperid":null,"PeriodicalName":"Journal of the West African College of Surgeons","FirstCategoryId":"1085","ListUrlMain":"https://doi.org/10.4103/jwas.jwas_163_23","RegionNum":0,"RegionCategory":null,"ArticlePicture":[],"TitleCN":null,"AbstractTextCN":null,"PMCID":null,"EPubDate":"2024/7/18 0:00:00","PubModel":"Epub","JCR":"","JCRName":"","Score":null,"Total":0}
引用次数: 0

摘要

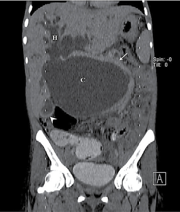
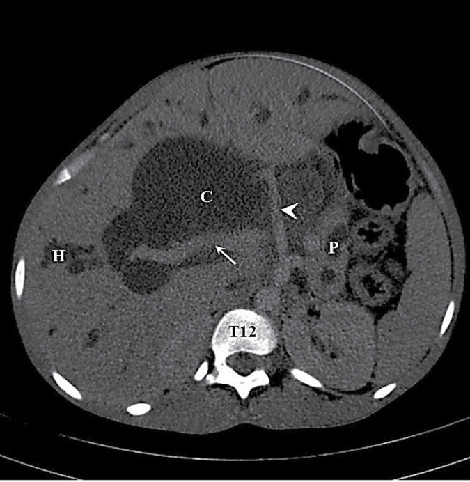
我们为您介绍一例 26 岁女性的病例,她出现了阻塞性黄疸和腹部肿胀。检查发现她患有巨大胆总管囊肿,并伴有梗阻性高胆红素血症。她接受了剖腹探查手术,引流并切除了胆总管囊肿,同时进行了 Roux-en-Y 肝空肠吻合术。随访 6 个月后,她的临床状况良好。
本文章由计算机程序翻译,如有差异,请以英文原文为准。

Huge Choledochal Cyst in a 26-Year-Old Female: A Case Report.

Huge Choledochal Cyst in a 26-Year-Old Female: A Case Report.

Huge Choledochal Cyst in a 26-Year-Old Female: A Case Report.

Huge Choledochal Cyst in a 26-Year-Old Female: A Case Report.

We present the case of a 26-year old woman who developed obstructive jaundice and massive abdominal swelling. Investigations revealed a huge choledochal cyst with obstructive pattern of hyperbilirubinaemia. She had exploratory laparotomy, drainage and excision of the choledochal cyst and Roux-en-Y hepaticojejunostomy. She has been followed up for 6 months in good clinical condition.

求助全文
通过发布文献求助,成功后即可免费获取论文全文。 去求助
来源期刊
自引率
0.00%
发文量
0
×
引用
GB/T 7714-2015
复制
MLA
复制
APA
复制
导出至
BibTeX EndNote RefMan NoteFirst NoteExpress
×
提示
您的信息不完整,为了账户安全,请先补充。
现在去补充
×
提示
您因"违规操作"
具体请查看互助需知
我知道了
×
提示
确定
请完成安全验证×
copy
已复制链接
快去分享给好友吧!
我知道了
右上角分享
点击右上角分享
0
联系我们:info@booksci.cn Book学术提供免费学术资源搜索服务,方便国内外学者检索中英文文献。致力于提供最便捷和优质的服务体验。 Copyright © 2023 布克学术 All rights reserved.
京ICP备2023020795号-1
ghs 京公网安备 11010802042870号
Book学术文献互助
Book学术文献互助群
群 号:604180095
Book学术官方微信