马匹可能因共用骑马设备而感染嗜皮肤菌病。

Brazilian journal of veterinary medicine Pub Date : 2024-09-06 eCollection Date: 2024-01-01 DOI:10.29374/2527-2179.bjvm002124
Alfredo García Sánchez, Sofia Gabriela Zurita, Maria Gil Molino, Francisco Eugenio Martin Cano, Carmen Barraso Gil, Javier Hermoso de Mendoza Salcedo
{"title":"马匹可能因共用骑马设备而感染嗜皮肤菌病。","authors":"Alfredo García Sánchez, Sofia Gabriela Zurita, Maria Gil Molino, Francisco Eugenio Martin Cano, Carmen Barraso Gil, Javier Hermoso de Mendoza Salcedo","doi":"10.29374/2527-2179.bjvm002124","DOIUrl":null,"url":null,"abstract":"<p><p>The aim of this study is to describe an outbreak of dermatophilosis at an equestrian center in Castilla la Mancha (central Spain), which affected 16.6% (5/30) of the animals. Research was carried out to establish the mode of transmission and spread to other horses in the herd. Clinical features, diagnostic methods and treatment are also described.</p>","PeriodicalId":72458,"journal":{"name":"Brazilian journal of veterinary medicine","volume":"46 ","pages":"e002124"},"PeriodicalIF":0.0000,"publicationDate":"2024-09-06","publicationTypes":"Journal Article","fieldsOfStudy":null,"isOpenAccess":false,"openAccessPdf":"https://www.ncbi.nlm.nih.gov/pmc/articles/PMC11407417/pdf/","citationCount":"0","resultStr":"{\"title\":\"Outbreak of dermatophilosis in horses possibly transmitted by sharing riding equipment.\",\"authors\":\"Alfredo García Sánchez, Sofia Gabriela Zurita, Maria Gil Molino, Francisco Eugenio Martin Cano, Carmen Barraso Gil, Javier Hermoso de Mendoza Salcedo\",\"doi\":\"10.29374/2527-2179.bjvm002124\",\"DOIUrl\":null,\"url\":null,\"abstract\":\"<p><p>The aim of this study is to describe an outbreak of dermatophilosis at an equestrian center in Castilla la Mancha (central Spain), which affected 16.6% (5/30) of the animals. Research was carried out to establish the mode of transmission and spread to other horses in the herd. Clinical features, diagnostic methods and treatment are also described.</p>\",\"PeriodicalId\":72458,\"journal\":{\"name\":\"Brazilian journal of veterinary medicine\",\"volume\":\"46 \",\"pages\":\"e002124\"},\"PeriodicalIF\":0.0000,\"publicationDate\":\"2024-09-06\",\"publicationTypes\":\"Journal Article\",\"fieldsOfStudy\":null,\"isOpenAccess\":false,\"openAccessPdf\":\"https://www.ncbi.nlm.nih.gov/pmc/articles/PMC11407417/pdf/\",\"citationCount\":\"0\",\"resultStr\":null,\"platform\":\"Semanticscholar\",\"paperid\":null,\"PeriodicalName\":\"Brazilian journal of veterinary medicine\",\"FirstCategoryId\":\"1085\",\"ListUrlMain\":\"https://doi.org/10.29374/2527-2179.bjvm002124\",\"RegionNum\":0,\"RegionCategory\":null,\"ArticlePicture\":[],\"TitleCN\":null,\"AbstractTextCN\":null,\"PMCID\":null,\"EPubDate\":\"2024/1/1 0:00:00\",\"PubModel\":\"eCollection\",\"JCR\":\"\",\"JCRName\":\"\",\"Score\":null,\"Total\":0}","platform":"Semanticscholar","paperid":null,"PeriodicalName":"Brazilian journal of veterinary medicine","FirstCategoryId":"1085","ListUrlMain":"https://doi.org/10.29374/2527-2179.bjvm002124","RegionNum":0,"RegionCategory":null,"ArticlePicture":[],"TitleCN":null,"AbstractTextCN":null,"PMCID":null,"EPubDate":"2024/1/1 0:00:00","PubModel":"eCollection","JCR":"","JCRName":"","Score":null,"Total":0}
引用次数: 0

摘要

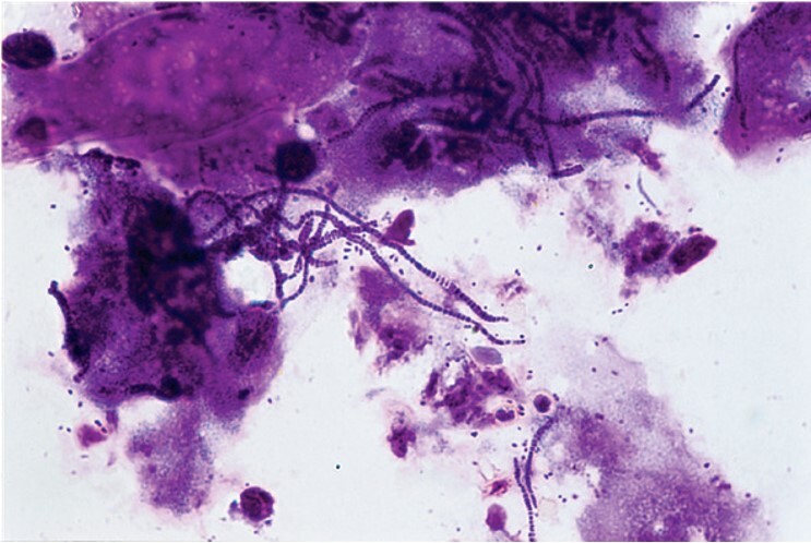
本研究旨在描述卡斯蒂利亚-拉曼恰(西班牙中部)一家马术中心爆发的嗜皮病疫情,16.6%的马匹(5/30)感染了该疫情。研究的目的是确定传播方式以及向马群中其他马匹传播的途径。此外还介绍了临床特征、诊断方法和治疗方法。
本文章由计算机程序翻译,如有差异,请以英文原文为准。

Outbreak of dermatophilosis in horses possibly transmitted by sharing riding equipment.

Outbreak of dermatophilosis in horses possibly transmitted by sharing riding equipment.

Outbreak of dermatophilosis in horses possibly transmitted by sharing riding equipment.

Outbreak of dermatophilosis in horses possibly transmitted by sharing riding equipment.

The aim of this study is to describe an outbreak of dermatophilosis at an equestrian center in Castilla la Mancha (central Spain), which affected 16.6% (5/30) of the animals. Research was carried out to establish the mode of transmission and spread to other horses in the herd. Clinical features, diagnostic methods and treatment are also described.

求助全文
通过发布文献求助,成功后即可免费获取论文全文。 去求助
来源期刊
自引率
0.00%
发文量
0
×
引用
GB/T 7714-2015
复制
MLA
复制
APA
复制
导出至
BibTeX EndNote RefMan NoteFirst NoteExpress
×
提示
您的信息不完整,为了账户安全,请先补充。
现在去补充
×
提示
您因"违规操作"
具体请查看互助需知
我知道了
×
提示
确定
请完成安全验证×
copy
已复制链接
快去分享给好友吧!
我知道了
右上角分享
点击右上角分享
0
联系我们:info@booksci.cn Book学术提供免费学术资源搜索服务,方便国内外学者检索中英文文献。致力于提供最便捷和优质的服务体验。 Copyright © 2023 布克学术 All rights reserved.
京ICP备2023020795号-1
ghs 京公网安备 11010802042870号
Book学术文献互助
Book学术文献互助群
群 号:604180095
Book学术官方微信