一只成年猫的戴克-大卫杜夫-马森样综合征。

IF 0.7 Q3 VETERINARY SCIENCES
Journal of Feline Medicine and Surgery Open Reports Pub Date : 2024-09-10 eCollection Date: 2024-07-01 DOI:10.1177/20551169241273691
Andrea Thon, Elisa Gamperl-Mikula, Florian Willmitzer, Michael Leschnik, Kristina Anna Lederer
{"title":"一只成年猫的戴克-大卫杜夫-马森样综合征。","authors":"Andrea Thon, Elisa Gamperl-Mikula, Florian Willmitzer, Michael Leschnik, Kristina Anna Lederer","doi":"10.1177/20551169241273691","DOIUrl":null,"url":null,"abstract":"<p><strong>Case summary: </strong>A 4-year-old cat was presented with acute onset of lateralised neurological central nervous system (CNS) signs and seizures. Haematological and serum biochemical parameters were within normal limits. Imaging diagnostics revealed severe CT and MRI abnormalities of the right brain, similar to Dyke-Davidoff-Masson syndrome (DDMS) in human medicine. This syndrome includes cerebral hemiatrophy with compensatory calvarial hyperostosis and ventriculomegaly. Such changes have previously been reported only once in a single feline case of approximately the same age. In humans, DDMS is described as an embryonic and perinatal developmental disturbance or an acquired injury in early childhood.</p><p><strong>Relevance and novel information: </strong>This case report shows that without further imaging diagnostics, congenital disorders can be overlooked in some rare cases of adult cats with later onset of their first clinical signs.</p>","PeriodicalId":36588,"journal":{"name":"Journal of Feline Medicine and Surgery Open Reports","volume":"10 2","pages":"20551169241273691"},"PeriodicalIF":0.7000,"publicationDate":"2024-09-10","publicationTypes":"Journal Article","fieldsOfStudy":null,"isOpenAccess":false,"openAccessPdf":"https://www.ncbi.nlm.nih.gov/pmc/articles/PMC11393802/pdf/","citationCount":"0","resultStr":"{\"title\":\"Dyke-Davidoff-Masson-like syndrome in an adult cat.\",\"authors\":\"Andrea Thon, Elisa Gamperl-Mikula, Florian Willmitzer, Michael Leschnik, Kristina Anna Lederer\",\"doi\":\"10.1177/20551169241273691\",\"DOIUrl\":null,\"url\":null,\"abstract\":\"<p><strong>Case summary: </strong>A 4-year-old cat was presented with acute onset of lateralised neurological central nervous system (CNS) signs and seizures. Haematological and serum biochemical parameters were within normal limits. Imaging diagnostics revealed severe CT and MRI abnormalities of the right brain, similar to Dyke-Davidoff-Masson syndrome (DDMS) in human medicine. This syndrome includes cerebral hemiatrophy with compensatory calvarial hyperostosis and ventriculomegaly. Such changes have previously been reported only once in a single feline case of approximately the same age. In humans, DDMS is described as an embryonic and perinatal developmental disturbance or an acquired injury in early childhood.</p><p><strong>Relevance and novel information: </strong>This case report shows that without further imaging diagnostics, congenital disorders can be overlooked in some rare cases of adult cats with later onset of their first clinical signs.</p>\",\"PeriodicalId\":36588,\"journal\":{\"name\":\"Journal of Feline Medicine and Surgery Open Reports\",\"volume\":\"10 2\",\"pages\":\"20551169241273691\"},\"PeriodicalIF\":0.7000,\"publicationDate\":\"2024-09-10\",\"publicationTypes\":\"Journal Article\",\"fieldsOfStudy\":null,\"isOpenAccess\":false,\"openAccessPdf\":\"https://www.ncbi.nlm.nih.gov/pmc/articles/PMC11393802/pdf/\",\"citationCount\":\"0\",\"resultStr\":null,\"platform\":\"Semanticscholar\",\"paperid\":null,\"PeriodicalName\":\"Journal of Feline Medicine and Surgery Open Reports\",\"FirstCategoryId\":\"1085\",\"ListUrlMain\":\"https://doi.org/10.1177/20551169241273691\",\"RegionNum\":0,\"RegionCategory\":null,\"ArticlePicture\":[],\"TitleCN\":null,\"AbstractTextCN\":null,\"PMCID\":null,\"EPubDate\":\"2024/7/1 0:00:00\",\"PubModel\":\"eCollection\",\"JCR\":\"Q3\",\"JCRName\":\"VETERINARY SCIENCES\",\"Score\":null,\"Total\":0}","platform":"Semanticscholar","paperid":null,"PeriodicalName":"Journal of Feline Medicine and Surgery Open Reports","FirstCategoryId":"1085","ListUrlMain":"https://doi.org/10.1177/20551169241273691","RegionNum":0,"RegionCategory":null,"ArticlePicture":[],"TitleCN":null,"AbstractTextCN":null,"PMCID":null,"EPubDate":"2024/7/1 0:00:00","PubModel":"eCollection","JCR":"Q3","JCRName":"VETERINARY SCIENCES","Score":null,"Total":0}
引用次数: 0

摘要

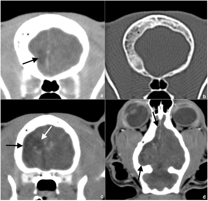
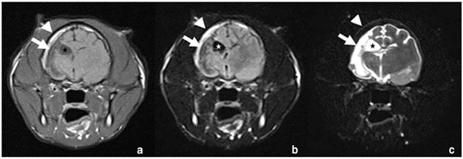
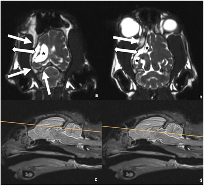
病例摘要:一只 4 岁大的猫咪因急性发作侧向神经性中枢神经系统(CNS)症状和癫痫发作而就诊。血液和血清生化指标均在正常范围内。影像诊断显示右脑 CT 和 MRI 严重异常,类似于人类医学中的戴克-达维多夫-马森综合征(DDMS)。该综合征包括脑半球萎缩、代偿性颅骨骨质增生和脑室肥大。这种变化以前仅在一例年龄相仿的猫科动物身上出现过一次。在人类,DDMS 被描述为胚胎和围产期发育障碍或幼年期获得性损伤:本病例报告表明,在一些罕见的成年猫病例中,如果没有进一步的影像学诊断,先天性疾病可能会被忽视,而这些病例的首次临床症状出现得较晚。
本文章由计算机程序翻译,如有差异,请以英文原文为准。

Dyke-Davidoff-Masson-like syndrome in an adult cat.

Dyke-Davidoff-Masson-like syndrome in an adult cat.

Dyke-Davidoff-Masson-like syndrome in an adult cat.

Dyke-Davidoff-Masson-like syndrome in an adult cat.

Case summary: A 4-year-old cat was presented with acute onset of lateralised neurological central nervous system (CNS) signs and seizures. Haematological and serum biochemical parameters were within normal limits. Imaging diagnostics revealed severe CT and MRI abnormalities of the right brain, similar to Dyke-Davidoff-Masson syndrome (DDMS) in human medicine. This syndrome includes cerebral hemiatrophy with compensatory calvarial hyperostosis and ventriculomegaly. Such changes have previously been reported only once in a single feline case of approximately the same age. In humans, DDMS is described as an embryonic and perinatal developmental disturbance or an acquired injury in early childhood.

Relevance and novel information: This case report shows that without further imaging diagnostics, congenital disorders can be overlooked in some rare cases of adult cats with later onset of their first clinical signs.

求助全文
通过发布文献求助,成功后即可免费获取论文全文。 去求助
来源期刊
CiteScore
1.30
自引率
14.30%
发文量
57
审稿时长
15 weeks
×
引用
GB/T 7714-2015
复制
MLA
复制
APA
复制
导出至
BibTeX EndNote RefMan NoteFirst NoteExpress
×
提示
您的信息不完整,为了账户安全,请先补充。
现在去补充
×
提示
您因"违规操作"
具体请查看互助需知
我知道了
×
提示
确定
请完成安全验证×
copy
已复制链接
快去分享给好友吧!
我知道了
右上角分享
点击右上角分享
0
联系我们:info@booksci.cn Book学术提供免费学术资源搜索服务,方便国内外学者检索中英文文献。致力于提供最便捷和优质的服务体验。 Copyright © 2023 布克学术 All rights reserved.
京ICP备2023020795号-1
ghs 京公网安备 11010802042870号
Book学术文献互助
Book学术文献互助群
群 号:604180095
Book学术官方微信