非接触性前十字韧带断裂导致的急性双侧后半月板根撕裂。

IF 0.6 Q4 ORTHOPEDICS
Case Reports in Orthopedics Pub Date : 2024-09-12 eCollection Date: 2024-01-01 DOI:10.1155/2024/2021725
Adam V Daniel, Shayne R Kelly, Patrick A Smith
{"title":"非接触性前十字韧带断裂导致的急性双侧后半月板根撕裂。","authors":"Adam V Daniel, Shayne R Kelly, Patrick A Smith","doi":"10.1155/2024/2021725","DOIUrl":null,"url":null,"abstract":"<p><p>Combined medial and lateral posterior meniscal root tears in the setting of an acute anterior cruciate ligament (ACL) rupture are extremely rare. The following case report demonstrates a high school football player who sustained a noncontact knee injury while performing a spin move at practice. The patient is a 17-year-old high school football defensive end who was presented to the clinic 1 week following the injury complaining of persistent knee pain with associated swelling, limited range of motion (ROM), and complaint of instability. During physical examination, the patient was found to have anterior cruciate laxity. Magnetic resonance imaging (MRI) demonstrated a complete midsubstance tear of the ACL and increased signal within the posterior horn of the medial meniscus with no obvious signs of pathology localized to the lateral meniscus. ACL reconstruction (ACLR) was performed and intraoperatively, both medial and lateral root tears were found. A standard bone patellar-tendon bone (BTB) autograft ACLR was performed with combined medial and lateral root repair utilizing a transtibial pull-out method for both. The clinical importance is root tears with associated ACL tears can be hard to diagnose on preoperative MRI, especially laterally, so careful assessment of both meniscal roots at the time of arthroscopy is critical. Furthermore, careful creation of the needed root repair tunnels for transtibial repair is critical to avoid coalescence with the ACL tibial tunnel.</p>","PeriodicalId":30287,"journal":{"name":"Case Reports in Orthopedics","volume":"2024 ","pages":"2021725"},"PeriodicalIF":0.6000,"publicationDate":"2024-09-12","publicationTypes":"Journal Article","fieldsOfStudy":null,"isOpenAccess":false,"openAccessPdf":"https://www.ncbi.nlm.nih.gov/pmc/articles/PMC11412753/pdf/","citationCount":"0","resultStr":"{\"title\":\"Acute Bilateral Posterior Meniscal Root Tears in the Setting of a Noncontact Anterior Cruciate Ligament Rupture.\",\"authors\":\"Adam V Daniel, Shayne R Kelly, Patrick A Smith\",\"doi\":\"10.1155/2024/2021725\",\"DOIUrl\":null,\"url\":null,\"abstract\":\"<p><p>Combined medial and lateral posterior meniscal root tears in the setting of an acute anterior cruciate ligament (ACL) rupture are extremely rare. The following case report demonstrates a high school football player who sustained a noncontact knee injury while performing a spin move at practice. The patient is a 17-year-old high school football defensive end who was presented to the clinic 1 week following the injury complaining of persistent knee pain with associated swelling, limited range of motion (ROM), and complaint of instability. During physical examination, the patient was found to have anterior cruciate laxity. Magnetic resonance imaging (MRI) demonstrated a complete midsubstance tear of the ACL and increased signal within the posterior horn of the medial meniscus with no obvious signs of pathology localized to the lateral meniscus. ACL reconstruction (ACLR) was performed and intraoperatively, both medial and lateral root tears were found. A standard bone patellar-tendon bone (BTB) autograft ACLR was performed with combined medial and lateral root repair utilizing a transtibial pull-out method for both. The clinical importance is root tears with associated ACL tears can be hard to diagnose on preoperative MRI, especially laterally, so careful assessment of both meniscal roots at the time of arthroscopy is critical. Furthermore, careful creation of the needed root repair tunnels for transtibial repair is critical to avoid coalescence with the ACL tibial tunnel.</p>\",\"PeriodicalId\":30287,\"journal\":{\"name\":\"Case Reports in Orthopedics\",\"volume\":\"2024 \",\"pages\":\"2021725\"},\"PeriodicalIF\":0.6000,\"publicationDate\":\"2024-09-12\",\"publicationTypes\":\"Journal Article\",\"fieldsOfStudy\":null,\"isOpenAccess\":false,\"openAccessPdf\":\"https://www.ncbi.nlm.nih.gov/pmc/articles/PMC11412753/pdf/\",\"citationCount\":\"0\",\"resultStr\":null,\"platform\":\"Semanticscholar\",\"paperid\":null,\"PeriodicalName\":\"Case Reports in Orthopedics\",\"FirstCategoryId\":\"1085\",\"ListUrlMain\":\"https://doi.org/10.1155/2024/2021725\",\"RegionNum\":0,\"RegionCategory\":null,\"ArticlePicture\":[],\"TitleCN\":null,\"AbstractTextCN\":null,\"PMCID\":null,\"EPubDate\":\"2024/1/1 0:00:00\",\"PubModel\":\"eCollection\",\"JCR\":\"Q4\",\"JCRName\":\"ORTHOPEDICS\",\"Score\":null,\"Total\":0}","platform":"Semanticscholar","paperid":null,"PeriodicalName":"Case Reports in Orthopedics","FirstCategoryId":"1085","ListUrlMain":"https://doi.org/10.1155/2024/2021725","RegionNum":0,"RegionCategory":null,"ArticlePicture":[],"TitleCN":null,"AbstractTextCN":null,"PMCID":null,"EPubDate":"2024/1/1 0:00:00","PubModel":"eCollection","JCR":"Q4","JCRName":"ORTHOPEDICS","Score":null,"Total":0}
引用次数: 0

摘要

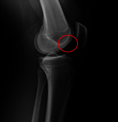
在急性前十字韧带(ACL)断裂的情况下,合并内侧和外侧后半月板根撕裂的情况极为罕见。以下病例报告显示,一名高中橄榄球运动员在训练中做旋转动作时膝盖非接触性受伤。患者是一名 17 岁的高中橄榄球防守后卫,受伤一周后到诊所就诊,主诉膝关节持续疼痛,伴有肿胀,活动范围(ROM)受限,并主诉膝关节不稳定。体格检查时发现患者膝关节前十字韧带松弛。磁共振成像(MRI)显示前交叉韧带中段完全撕裂,内侧半月板后角信号增强,外侧半月板局部无明显病变迹象。患者接受了前交叉韧带重建术(ACLR),术中发现内侧和外侧根部均有撕裂。手术采用标准的髌腱骨(BTB)自体移植前交叉韧带重建术,利用经胫骨牵引法对内侧和外侧根部进行联合修复。其临床意义在于,半月板根部撕裂伴有前交叉韧带撕裂很难在术前核磁共振成像中诊断出来,尤其是在侧方,因此在关节镜检查时仔细评估两个半月板根部至关重要。此外,为避免与前交叉韧带胫骨隧道合并,仔细创建经胫骨修复所需的半月板根修复隧道至关重要。
本文章由计算机程序翻译,如有差异,请以英文原文为准。

Acute Bilateral Posterior Meniscal Root Tears in the Setting of a Noncontact Anterior Cruciate Ligament Rupture.

Acute Bilateral Posterior Meniscal Root Tears in the Setting of a Noncontact Anterior Cruciate Ligament Rupture.

Acute Bilateral Posterior Meniscal Root Tears in the Setting of a Noncontact Anterior Cruciate Ligament Rupture.

Acute Bilateral Posterior Meniscal Root Tears in the Setting of a Noncontact Anterior Cruciate Ligament Rupture.

Combined medial and lateral posterior meniscal root tears in the setting of an acute anterior cruciate ligament (ACL) rupture are extremely rare. The following case report demonstrates a high school football player who sustained a noncontact knee injury while performing a spin move at practice. The patient is a 17-year-old high school football defensive end who was presented to the clinic 1 week following the injury complaining of persistent knee pain with associated swelling, limited range of motion (ROM), and complaint of instability. During physical examination, the patient was found to have anterior cruciate laxity. Magnetic resonance imaging (MRI) demonstrated a complete midsubstance tear of the ACL and increased signal within the posterior horn of the medial meniscus with no obvious signs of pathology localized to the lateral meniscus. ACL reconstruction (ACLR) was performed and intraoperatively, both medial and lateral root tears were found. A standard bone patellar-tendon bone (BTB) autograft ACLR was performed with combined medial and lateral root repair utilizing a transtibial pull-out method for both. The clinical importance is root tears with associated ACL tears can be hard to diagnose on preoperative MRI, especially laterally, so careful assessment of both meniscal roots at the time of arthroscopy is critical. Furthermore, careful creation of the needed root repair tunnels for transtibial repair is critical to avoid coalescence with the ACL tibial tunnel.

求助全文
通过发布文献求助,成功后即可免费获取论文全文。 去求助
来源期刊
自引率
0.00%
发文量
55
审稿时长
14 weeks
×
引用
GB/T 7714-2015
复制
MLA
复制
APA
复制
导出至
BibTeX EndNote RefMan NoteFirst NoteExpress
×
提示
您的信息不完整,为了账户安全,请先补充。
现在去补充
×
提示
您因"违规操作"
具体请查看互助需知
我知道了
×
提示
确定
请完成安全验证×
copy
已复制链接
快去分享给好友吧!
我知道了
右上角分享
点击右上角分享
0
联系我们:info@booksci.cn Book学术提供免费学术资源搜索服务,方便国内外学者检索中英文文献。致力于提供最便捷和优质的服务体验。 Copyright © 2023 布克学术 All rights reserved.
京ICP备2023020795号-1
ghs 京公网安备 11010802042870号
Book学术文献互助
Book学术文献互助群
群 号:604180095
Book学术官方微信