评估不同年龄的蒙鸡骨髓间充质干细胞作为原始生殖细胞哺育层的潜力。

IF 1.1 4区 农林科学 Q3 ZOOLOGY
Veterinary Research Forum Pub Date : 2024-01-01 Epub Date: 2024-07-15 DOI:10.30466/vrf.2024.2016008.4070
Van Hanh Nguyen, Thi Huong-Giang Tran, Hong Thi Nguyen, Hiep Thi Nguyen, Nhung Thi Nguyen, Tien Phat Do
{"title":"评估不同年龄的蒙鸡骨髓间充质干细胞作为原始生殖细胞哺育层的潜力。","authors":"Van Hanh Nguyen, Thi Huong-Giang Tran, Hong Thi Nguyen, Hiep Thi Nguyen, Nhung Thi Nguyen, Tien Phat Do","doi":"10.30466/vrf.2024.2016008.4070","DOIUrl":null,"url":null,"abstract":"<p><p>Primordial germ cells (PGCs) have potential applications in genetic conservation, vaccination, tissue repair therapies, and genetic research. Chicken bone marrow-derived mesenchymal stem cells (cbMSCs) is a good candidate for co-culture with PGCs. However, there is no consensus on the optimal age of donors. In this study, we aimed to compare specific parameters of H'Mong cbMSCs obtained from day 14<sup>th</sup> and 19<sup>th</sup> embryos, and day 3<sup>rd</sup> newborns. Isolated cbMSCs showed characteristics of MSCs. Cells had fibroblast-like morphology, plastic-adherent, expressed specific markers of MSCs and multilineage differentiation potential. The growth rate of cells from day 19<sup>th</sup> embryos was higher than from other ages. Moreover, cells expressed markers of pluripotency such as <i>Nanog</i>, <i>PouV</i>, <i>Sox2</i>, <i>CVH</i>, <i>DAZL</i>, and <i>KIT</i>, known for their role in maintaining stem cell self-renewal and pluripotency. As feeder cells, cbMSCs from three different ages promoted proliferation of H'Mong PGCs during co-culture. These results suggested that cbMSCs from different ages can be used for co-culture H'Mong PGCs which were further used for genetic preservation of H'Mong chicken or gene editing research.</p>","PeriodicalId":23989,"journal":{"name":"Veterinary Research Forum","volume":"15 7","pages":"335-342"},"PeriodicalIF":1.1000,"publicationDate":"2024-01-01","publicationTypes":"Journal Article","fieldsOfStudy":null,"isOpenAccess":false,"openAccessPdf":"https://www.ncbi.nlm.nih.gov/pmc/articles/PMC11383199/pdf/","citationCount":"0","resultStr":"{\"title\":\"Evaluating potential of H'mong chicken bone marrow-derived mesenchymal stem cells at different ages for primordial germ cells' feeder layer.\",\"authors\":\"Van Hanh Nguyen, Thi Huong-Giang Tran, Hong Thi Nguyen, Hiep Thi Nguyen, Nhung Thi Nguyen, Tien Phat Do\",\"doi\":\"10.30466/vrf.2024.2016008.4070\",\"DOIUrl\":null,\"url\":null,\"abstract\":\"<p><p>Primordial germ cells (PGCs) have potential applications in genetic conservation, vaccination, tissue repair therapies, and genetic research. Chicken bone marrow-derived mesenchymal stem cells (cbMSCs) is a good candidate for co-culture with PGCs. However, there is no consensus on the optimal age of donors. In this study, we aimed to compare specific parameters of H'Mong cbMSCs obtained from day 14<sup>th</sup> and 19<sup>th</sup> embryos, and day 3<sup>rd</sup> newborns. Isolated cbMSCs showed characteristics of MSCs. Cells had fibroblast-like morphology, plastic-adherent, expressed specific markers of MSCs and multilineage differentiation potential. The growth rate of cells from day 19<sup>th</sup> embryos was higher than from other ages. Moreover, cells expressed markers of pluripotency such as <i>Nanog</i>, <i>PouV</i>, <i>Sox2</i>, <i>CVH</i>, <i>DAZL</i>, and <i>KIT</i>, known for their role in maintaining stem cell self-renewal and pluripotency. As feeder cells, cbMSCs from three different ages promoted proliferation of H'Mong PGCs during co-culture. These results suggested that cbMSCs from different ages can be used for co-culture H'Mong PGCs which were further used for genetic preservation of H'Mong chicken or gene editing research.</p>\",\"PeriodicalId\":23989,\"journal\":{\"name\":\"Veterinary Research Forum\",\"volume\":\"15 7\",\"pages\":\"335-342\"},\"PeriodicalIF\":1.1000,\"publicationDate\":\"2024-01-01\",\"publicationTypes\":\"Journal Article\",\"fieldsOfStudy\":null,\"isOpenAccess\":false,\"openAccessPdf\":\"https://www.ncbi.nlm.nih.gov/pmc/articles/PMC11383199/pdf/\",\"citationCount\":\"0\",\"resultStr\":null,\"platform\":\"Semanticscholar\",\"paperid\":null,\"PeriodicalName\":\"Veterinary Research Forum\",\"FirstCategoryId\":\"97\",\"ListUrlMain\":\"https://doi.org/10.30466/vrf.2024.2016008.4070\",\"RegionNum\":4,\"RegionCategory\":\"农林科学\",\"ArticlePicture\":[],\"TitleCN\":null,\"AbstractTextCN\":null,\"PMCID\":null,\"EPubDate\":\"2024/7/15 0:00:00\",\"PubModel\":\"Epub\",\"JCR\":\"Q3\",\"JCRName\":\"ZOOLOGY\",\"Score\":null,\"Total\":0}","platform":"Semanticscholar","paperid":null,"PeriodicalName":"Veterinary Research Forum","FirstCategoryId":"97","ListUrlMain":"https://doi.org/10.30466/vrf.2024.2016008.4070","RegionNum":4,"RegionCategory":"农林科学","ArticlePicture":[],"TitleCN":null,"AbstractTextCN":null,"PMCID":null,"EPubDate":"2024/7/15 0:00:00","PubModel":"Epub","JCR":"Q3","JCRName":"ZOOLOGY","Score":null,"Total":0}
引用次数: 0

摘要

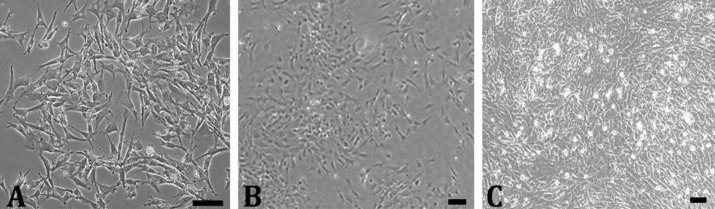
原始生殖细胞(PGCs)在基因保护、疫苗接种、组织修复疗法和基因研究方面具有潜在的应用价值。鸡骨髓间充质干细胞(cbMSCs)是与 PGCs 共同培养的良好候选者。然而,对于供体的最佳年龄还没有达成共识。在这项研究中,我们旨在比较从第14天、第19天胚胎和第3天新生儿中获得的H'Mong cbMSCs的特定参数。分离的 cbMSCs 显示出间叶干细胞的特征。细胞具有成纤维细胞样形态、可塑性粘附、表达间充质干细胞的特异性标记和多线分化潜能。第 19 天胚胎细胞的生长率高于其他年龄段的细胞。此外,细胞还表达了多能性标记,如Nanog、PouV、Sox2、CVH、DAZL和KIT,它们在维持干细胞自我更新和多能性方面的作用众所周知。作为馈源细胞,三种不同年龄的cbMSCs在共培养过程中促进了H'Mong PGCs的增殖。这些结果表明,不同年龄的cbMSCs可用于H'Mong PGCs的共培养,并进一步用于H'Mong鸡的基因保存或基因编辑研究。
本文章由计算机程序翻译,如有差异,请以英文原文为准。

Evaluating potential of H'mong chicken bone marrow-derived mesenchymal stem cells at different ages for primordial germ cells' feeder layer.

Evaluating potential of H'mong chicken bone marrow-derived mesenchymal stem cells at different ages for primordial germ cells' feeder layer.

Evaluating potential of H'mong chicken bone marrow-derived mesenchymal stem cells at different ages for primordial germ cells' feeder layer.

Evaluating potential of H'mong chicken bone marrow-derived mesenchymal stem cells at different ages for primordial germ cells' feeder layer.

Primordial germ cells (PGCs) have potential applications in genetic conservation, vaccination, tissue repair therapies, and genetic research. Chicken bone marrow-derived mesenchymal stem cells (cbMSCs) is a good candidate for co-culture with PGCs. However, there is no consensus on the optimal age of donors. In this study, we aimed to compare specific parameters of H'Mong cbMSCs obtained from day 14th and 19th embryos, and day 3rd newborns. Isolated cbMSCs showed characteristics of MSCs. Cells had fibroblast-like morphology, plastic-adherent, expressed specific markers of MSCs and multilineage differentiation potential. The growth rate of cells from day 19th embryos was higher than from other ages. Moreover, cells expressed markers of pluripotency such as Nanog, PouV, Sox2, CVH, DAZL, and KIT, known for their role in maintaining stem cell self-renewal and pluripotency. As feeder cells, cbMSCs from three different ages promoted proliferation of H'Mong PGCs during co-culture. These results suggested that cbMSCs from different ages can be used for co-culture H'Mong PGCs which were further used for genetic preservation of H'Mong chicken or gene editing research.

求助全文
通过发布文献求助,成功后即可免费获取论文全文。 去求助
来源期刊
Veterinary Research Forum
Veterinary Research Forum Veterinary-General Veterinary
CiteScore
1.50
自引率
0.00%
发文量
0
审稿时长
8 weeks
期刊介绍: Veterinary Research Forum (VRF) is a quarterly international journal committed to publish worldwide contributions on all aspects of veterinary science and medicine, including anatomy and histology, physiology and pharmacology, anatomic and clinical pathology, parasitology, microbiology, immunology and epidemiology, food hygiene, poultry science, fish and aquaculture, anesthesia and surgery, large and small animal internal medicine, large and small animal reproduction, biotechnology and diagnostic imaging of domestic, companion and farm animals.
×
引用
GB/T 7714-2015
复制
MLA
复制
APA
复制
导出至
BibTeX EndNote RefMan NoteFirst NoteExpress
×
提示
您的信息不完整,为了账户安全,请先补充。
现在去补充
×
提示
您因"违规操作"
具体请查看互助需知
我知道了
×
提示
确定
请完成安全验证×
copy
已复制链接
快去分享给好友吧!
我知道了
右上角分享
点击右上角分享
0
联系我们:info@booksci.cn Book学术提供免费学术资源搜索服务,方便国内外学者检索中英文文献。致力于提供最便捷和优质的服务体验。 Copyright © 2023 布克学术 All rights reserved.
京ICP备2023020795号-1
ghs 京公网安备 11010802042870号
Book学术文献互助
Book学术文献互助群
群 号:604180095
Book学术官方微信