计算机断层扫描对癌症患者的额外益处:肌肉疏松症和恶病质对化疗期间生活质量的影响。

Q3 Medicine
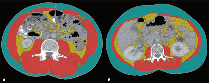
Radiologia Brasileira Pub Date : 2024-08-02 eCollection Date: 2024-01-01 DOI:10.1590/0100-3984.2024.0012
Galtieri Otávio Cunha de Medeiros, Ilanna Marques Gomes da Rocha, Aline Marcadenti, Ricardo Andrade Bezerra, Erica Roberta Barbalho, Carlos Alves de Sousa Júnior, Ana Paula Trussardi Fayh
{"title":"计算机断层扫描对癌症患者的额外益处:肌肉疏松症和恶病质对化疗期间生活质量的影响。","authors":"Galtieri Otávio Cunha de Medeiros, Ilanna Marques Gomes da Rocha, Aline Marcadenti, Ricardo Andrade Bezerra, Erica Roberta Barbalho, Carlos Alves de Sousa Júnior, Ana Paula Trussardi Fayh","doi":"10.1590/0100-3984.2024.0012","DOIUrl":null,"url":null,"abstract":"<p><strong>Objective: </strong>This study evaluates the effects of sarcopenia and cachexia on the quality of life (QoL) of patients with gastrointestinal cancer during their initial cycle of chemotherapy, emphasizing the significance of computed tomography (CT) in assessing muscle mass.</p><p><strong>Materials and methods: </strong>In this prospective study, we evaluated 60 adult patients with gastrointestinal cancer who started chemotherapy between January and December of 2017. Sarcopenia was diagnosed on the basis of CT findings, and QoL was assessed with the European Organization for Research and Treatment of Cancer Quality of Life Questionnaire Core 30.</p><p><strong>Results: </strong>The mean age was 60.9 years, and 33 (55.0%) of the patients were men. Of the 60 patients, 33 (55.0%) had cachexia and 14 (23.3%) had sarcopenia. Chemotherapy significantly reduced QoL, particularly in the physical, role functioning, and social domains, with no differences between the cachexia and sarcopenia groups.</p><p><strong>Conclusion: </strong>Among patients with gastrointestinal cancer submitted to chemotherapy, the chemotherapy-induced decline in QoL does not seem to differ significantly between those with cachexia or sarcopenia, as classified by CT-measured muscle mass, and those without. However, CT-based muscle mass evaluation remains crucial for guiding customized intervention strategies. Integrating this evaluation in radiological reports can provide valuable insights for planning specific care, thus improving patient QoL during treatment.</p>","PeriodicalId":20842,"journal":{"name":"Radiologia Brasileira","volume":"57 ","pages":"e20240012"},"PeriodicalIF":0.0000,"publicationDate":"2024-08-02","publicationTypes":"Journal Article","fieldsOfStudy":null,"isOpenAccess":false,"openAccessPdf":"https://www.ncbi.nlm.nih.gov/pmc/articles/PMC11392432/pdf/","citationCount":"0","resultStr":"{\"title\":\"The additional benefit of computed tomography in cancer patients: impacts of sarcopenia and cachexia on quality of life during chemotherapy.\",\"authors\":\"Galtieri Otávio Cunha de Medeiros, Ilanna Marques Gomes da Rocha, Aline Marcadenti, Ricardo Andrade Bezerra, Erica Roberta Barbalho, Carlos Alves de Sousa Júnior, Ana Paula Trussardi Fayh\",\"doi\":\"10.1590/0100-3984.2024.0012\",\"DOIUrl\":null,\"url\":null,\"abstract\":\"<p><strong>Objective: </strong>This study evaluates the effects of sarcopenia and cachexia on the quality of life (QoL) of patients with gastrointestinal cancer during their initial cycle of chemotherapy, emphasizing the significance of computed tomography (CT) in assessing muscle mass.</p><p><strong>Materials and methods: </strong>In this prospective study, we evaluated 60 adult patients with gastrointestinal cancer who started chemotherapy between January and December of 2017. Sarcopenia was diagnosed on the basis of CT findings, and QoL was assessed with the European Organization for Research and Treatment of Cancer Quality of Life Questionnaire Core 30.</p><p><strong>Results: </strong>The mean age was 60.9 years, and 33 (55.0%) of the patients were men. Of the 60 patients, 33 (55.0%) had cachexia and 14 (23.3%) had sarcopenia. Chemotherapy significantly reduced QoL, particularly in the physical, role functioning, and social domains, with no differences between the cachexia and sarcopenia groups.</p><p><strong>Conclusion: </strong>Among patients with gastrointestinal cancer submitted to chemotherapy, the chemotherapy-induced decline in QoL does not seem to differ significantly between those with cachexia or sarcopenia, as classified by CT-measured muscle mass, and those without. However, CT-based muscle mass evaluation remains crucial for guiding customized intervention strategies. Integrating this evaluation in radiological reports can provide valuable insights for planning specific care, thus improving patient QoL during treatment.</p>\",\"PeriodicalId\":20842,\"journal\":{\"name\":\"Radiologia Brasileira\",\"volume\":\"57 \",\"pages\":\"e20240012\"},\"PeriodicalIF\":0.0000,\"publicationDate\":\"2024-08-02\",\"publicationTypes\":\"Journal Article\",\"fieldsOfStudy\":null,\"isOpenAccess\":false,\"openAccessPdf\":\"https://www.ncbi.nlm.nih.gov/pmc/articles/PMC11392432/pdf/\",\"citationCount\":\"0\",\"resultStr\":null,\"platform\":\"Semanticscholar\",\"paperid\":null,\"PeriodicalName\":\"Radiologia Brasileira\",\"FirstCategoryId\":\"1085\",\"ListUrlMain\":\"https://doi.org/10.1590/0100-3984.2024.0012\",\"RegionNum\":0,\"RegionCategory\":null,\"ArticlePicture\":[],\"TitleCN\":null,\"AbstractTextCN\":null,\"PMCID\":null,\"EPubDate\":\"2024/1/1 0:00:00\",\"PubModel\":\"eCollection\",\"JCR\":\"Q3\",\"JCRName\":\"Medicine\",\"Score\":null,\"Total\":0}","platform":"Semanticscholar","paperid":null,"PeriodicalName":"Radiologia Brasileira","FirstCategoryId":"1085","ListUrlMain":"https://doi.org/10.1590/0100-3984.2024.0012","RegionNum":0,"RegionCategory":null,"ArticlePicture":[],"TitleCN":null,"AbstractTextCN":null,"PMCID":null,"EPubDate":"2024/1/1 0:00:00","PubModel":"eCollection","JCR":"Q3","JCRName":"Medicine","Score":null,"Total":0}
引用次数: 0

摘要

研究目的本研究评估了胃肠道癌症患者在初始化疗周期中肌肉疏松症和恶病质对生活质量(QoL)的影响,强调了计算机断层扫描(CT)在评估肌肉质量方面的重要性:在这项前瞻性研究中,我们评估了在2017年1月至12月期间开始化疗的60名成年胃肠癌患者。根据CT结果诊断为肌肉疏松症,并使用欧洲癌症研究和治疗组织生活质量问卷Core 30对患者的生活质量进行评估:平均年龄为60.9岁,33名(55.0%)患者为男性。在 60 名患者中,33 人(55.0%)患有恶病质,14 人(23.3%)患有肌肉疏松症。化疗明显降低了患者的生活质量,尤其是在身体、角色功能和社交方面,而恶病质组和肌肉疏松组之间没有差异:结论:在接受化疗的消化道癌症患者中,根据 CT 测量的肌肉质量分类,有恶病质或肌肉疏松症的患者与无恶病质或肌肉疏松症的患者在化疗引起的生活质量下降方面似乎没有明显差异。然而,基于 CT 的肌肉质量评估对于指导定制干预策略仍然至关重要。将这一评估纳入放射学报告可为规划具体护理提供有价值的见解,从而改善患者在治疗期间的生活质量。
本文章由计算机程序翻译,如有差异,请以英文原文为准。

The additional benefit of computed tomography in cancer patients: impacts of sarcopenia and cachexia on quality of life during chemotherapy.

The additional benefit of computed tomography in cancer patients: impacts of sarcopenia and cachexia on quality of life during chemotherapy.

The additional benefit of computed tomography in cancer patients: impacts of sarcopenia and cachexia on quality of life during chemotherapy.

The additional benefit of computed tomography in cancer patients: impacts of sarcopenia and cachexia on quality of life during chemotherapy.

Objective: This study evaluates the effects of sarcopenia and cachexia on the quality of life (QoL) of patients with gastrointestinal cancer during their initial cycle of chemotherapy, emphasizing the significance of computed tomography (CT) in assessing muscle mass.

Materials and methods: In this prospective study, we evaluated 60 adult patients with gastrointestinal cancer who started chemotherapy between January and December of 2017. Sarcopenia was diagnosed on the basis of CT findings, and QoL was assessed with the European Organization for Research and Treatment of Cancer Quality of Life Questionnaire Core 30.

Results: The mean age was 60.9 years, and 33 (55.0%) of the patients were men. Of the 60 patients, 33 (55.0%) had cachexia and 14 (23.3%) had sarcopenia. Chemotherapy significantly reduced QoL, particularly in the physical, role functioning, and social domains, with no differences between the cachexia and sarcopenia groups.

Conclusion: Among patients with gastrointestinal cancer submitted to chemotherapy, the chemotherapy-induced decline in QoL does not seem to differ significantly between those with cachexia or sarcopenia, as classified by CT-measured muscle mass, and those without. However, CT-based muscle mass evaluation remains crucial for guiding customized intervention strategies. Integrating this evaluation in radiological reports can provide valuable insights for planning specific care, thus improving patient QoL during treatment.

求助全文
通过发布文献求助,成功后即可免费获取论文全文。 去求助
来源期刊
Radiologia Brasileira
Radiologia Brasileira Medicine-Radiology, Nuclear Medicine and Imaging
CiteScore
2.60
自引率
0.00%
发文量
75
审稿时长
28 weeks
×
引用
GB/T 7714-2015
复制
MLA
复制
APA
复制
导出至
BibTeX EndNote RefMan NoteFirst NoteExpress
×
提示
您的信息不完整,为了账户安全,请先补充。
现在去补充
×
提示
您因"违规操作"
具体请查看互助需知
我知道了
×
提示
确定
请完成安全验证×
copy
已复制链接
快去分享给好友吧!
我知道了
右上角分享
点击右上角分享
0
联系我们:info@booksci.cn Book学术提供免费学术资源搜索服务,方便国内外学者检索中英文文献。致力于提供最便捷和优质的服务体验。 Copyright © 2023 布克学术 All rights reserved.
京ICP备2023020795号-1
ghs 京公网安备 11010802042870号
Book学术文献互助
Book学术文献互助群
群 号:604180095
Book学术官方微信