肺癌的诊断性和预测性免疫细胞化学。

IF 1.7 4区 医学 Q3 PATHOLOGY
Acta Cytologica Pub Date : 2025-01-01 Epub Date: 2024-09-19 DOI:10.1159/000541478
Deepali Jain, Shraddhanjali Satapathy, Lukas Bubendorf
{"title":"肺癌的诊断性和预测性免疫细胞化学。","authors":"Deepali Jain, Shraddhanjali Satapathy, Lukas Bubendorf","doi":"10.1159/000541478","DOIUrl":null,"url":null,"abstract":"<p><strong>Background: </strong>Immunocytochemistry (ICC) is suitable for use on a range of cytology preparations, such as cell blocks, air-dried slides, ethanol-fixed slides, direct smears, cytospins, and liquid-based cytology (LBC) samples. However, it must be standardized against the gold standard of formalin-fixed paraffin-embedded tissues with adequate number of positive and negative controls. The role of ICC in lung cancer is crucial, as most lung cancer specimens are cytology samples. Accurate diagnosis and testing of certain biomarkers rely heavily on both diagnostic and predictive ICC.</p><p><strong>Summary: </strong>Key ICC markers important in lung cancer include, but are not limited to, diagnostic ICCs such as TTF-1, p40, Napsin A, and p63, as well as predictive ICCs like ALK, ROS-1, PD-L1, and NTRK.</p><p><strong>Key messages: </strong>With proper validation, immunocytochemistry for lung cancer can be effectively performed on direct smears, cytospins, and other specimens, even when resources for preparing cell blocks are unavailable. This is particularly true for diagnostic antibodies, but it is important to exercise caution with predictive ICC. Nonetheless, a low threshold for molecular testing should be maintained. PD-L1 ICC can be challenging and should ideally be performed on formalin-fixed cell blocks or biopsies when available.</p><p><strong>Background: </strong>Immunocytochemistry (ICC) is suitable for use on a range of cytology preparations, such as cell blocks, air-dried slides, ethanol-fixed slides, direct smears, cytospins, and liquid-based cytology (LBC) samples. However, it must be standardized against the gold standard of formalin-fixed paraffin-embedded tissues with adequate number of positive and negative controls. The role of ICC in lung cancer is crucial, as most lung cancer specimens are cytology samples. Accurate diagnosis and testing of certain biomarkers rely heavily on both diagnostic and predictive ICC.</p><p><strong>Summary: </strong>Key ICC markers important in lung cancer include, but are not limited to, diagnostic ICCs such as TTF-1, p40, Napsin A, and p63, as well as predictive ICCs like ALK, ROS-1, PD-L1, and NTRK.</p><p><strong>Key messages: </strong>With proper validation, immunocytochemistry for lung cancer can be effectively performed on direct smears, cytospins, and other specimens, even when resources for preparing cell blocks are unavailable. This is particularly true for diagnostic antibodies, but it is important to exercise caution with predictive ICC. Nonetheless, a low threshold for molecular testing should be maintained. PD-L1 ICC can be challenging and should ideally be performed on formalin-fixed cell blocks or biopsies when available.</p>","PeriodicalId":6959,"journal":{"name":"Acta Cytologica","volume":" ","pages":"69-76"},"PeriodicalIF":1.7000,"publicationDate":"2025-01-01","publicationTypes":"Journal Article","fieldsOfStudy":null,"isOpenAccess":false,"openAccessPdf":"https://www.ncbi.nlm.nih.gov/pmc/articles/PMC11965865/pdf/","citationCount":"0","resultStr":"{\"title\":\"Diagnostic and Predictive Immunocytochemistry in Lung Cancer.\",\"authors\":\"Deepali Jain, Shraddhanjali Satapathy, Lukas Bubendorf\",\"doi\":\"10.1159/000541478\",\"DOIUrl\":null,\"url\":null,\"abstract\":\"<p><strong>Background: </strong>Immunocytochemistry (ICC) is suitable for use on a range of cytology preparations, such as cell blocks, air-dried slides, ethanol-fixed slides, direct smears, cytospins, and liquid-based cytology (LBC) samples. However, it must be standardized against the gold standard of formalin-fixed paraffin-embedded tissues with adequate number of positive and negative controls. The role of ICC in lung cancer is crucial, as most lung cancer specimens are cytology samples. Accurate diagnosis and testing of certain biomarkers rely heavily on both diagnostic and predictive ICC.</p><p><strong>Summary: </strong>Key ICC markers important in lung cancer include, but are not limited to, diagnostic ICCs such as TTF-1, p40, Napsin A, and p63, as well as predictive ICCs like ALK, ROS-1, PD-L1, and NTRK.</p><p><strong>Key messages: </strong>With proper validation, immunocytochemistry for lung cancer can be effectively performed on direct smears, cytospins, and other specimens, even when resources for preparing cell blocks are unavailable. This is particularly true for diagnostic antibodies, but it is important to exercise caution with predictive ICC. Nonetheless, a low threshold for molecular testing should be maintained. PD-L1 ICC can be challenging and should ideally be performed on formalin-fixed cell blocks or biopsies when available.</p><p><strong>Background: </strong>Immunocytochemistry (ICC) is suitable for use on a range of cytology preparations, such as cell blocks, air-dried slides, ethanol-fixed slides, direct smears, cytospins, and liquid-based cytology (LBC) samples. However, it must be standardized against the gold standard of formalin-fixed paraffin-embedded tissues with adequate number of positive and negative controls. The role of ICC in lung cancer is crucial, as most lung cancer specimens are cytology samples. Accurate diagnosis and testing of certain biomarkers rely heavily on both diagnostic and predictive ICC.</p><p><strong>Summary: </strong>Key ICC markers important in lung cancer include, but are not limited to, diagnostic ICCs such as TTF-1, p40, Napsin A, and p63, as well as predictive ICCs like ALK, ROS-1, PD-L1, and NTRK.</p><p><strong>Key messages: </strong>With proper validation, immunocytochemistry for lung cancer can be effectively performed on direct smears, cytospins, and other specimens, even when resources for preparing cell blocks are unavailable. This is particularly true for diagnostic antibodies, but it is important to exercise caution with predictive ICC. Nonetheless, a low threshold for molecular testing should be maintained. PD-L1 ICC can be challenging and should ideally be performed on formalin-fixed cell blocks or biopsies when available.</p>\",\"PeriodicalId\":6959,\"journal\":{\"name\":\"Acta Cytologica\",\"volume\":\" \",\"pages\":\"69-76\"},\"PeriodicalIF\":1.7000,\"publicationDate\":\"2025-01-01\",\"publicationTypes\":\"Journal Article\",\"fieldsOfStudy\":null,\"isOpenAccess\":false,\"openAccessPdf\":\"https://www.ncbi.nlm.nih.gov/pmc/articles/PMC11965865/pdf/\",\"citationCount\":\"0\",\"resultStr\":null,\"platform\":\"Semanticscholar\",\"paperid\":null,\"PeriodicalName\":\"Acta Cytologica\",\"FirstCategoryId\":\"3\",\"ListUrlMain\":\"https://doi.org/10.1159/000541478\",\"RegionNum\":4,\"RegionCategory\":\"医学\",\"ArticlePicture\":[],\"TitleCN\":null,\"AbstractTextCN\":null,\"PMCID\":null,\"EPubDate\":\"2024/9/19 0:00:00\",\"PubModel\":\"Epub\",\"JCR\":\"Q3\",\"JCRName\":\"PATHOLOGY\",\"Score\":null,\"Total\":0}","platform":"Semanticscholar","paperid":null,"PeriodicalName":"Acta Cytologica","FirstCategoryId":"3","ListUrlMain":"https://doi.org/10.1159/000541478","RegionNum":4,"RegionCategory":"医学","ArticlePicture":[],"TitleCN":null,"AbstractTextCN":null,"PMCID":null,"EPubDate":"2024/9/19 0:00:00","PubModel":"Epub","JCR":"Q3","JCRName":"PATHOLOGY","Score":null,"Total":0}
引用次数: 0

摘要

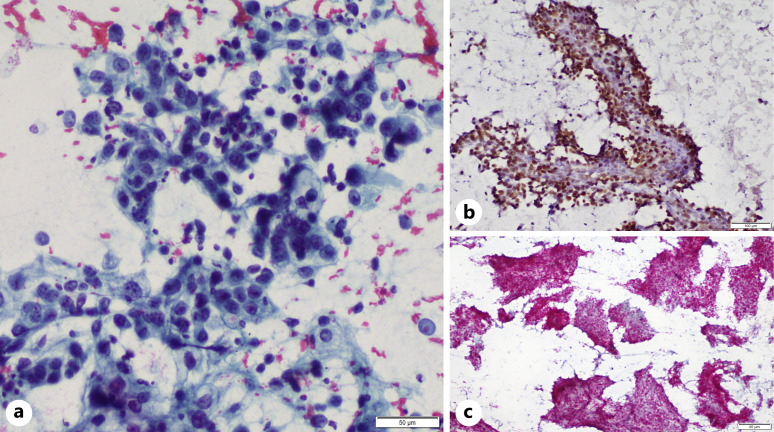
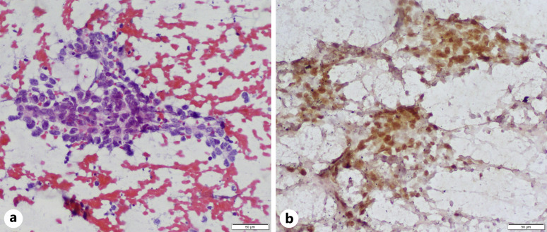
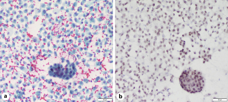
背景 免疫细胞化学(ICC)适用于各种细胞学制剂,如细胞块、风干切片、乙醇固定切片、直接涂片、细胞凋亡片和液基细胞学(LBC)样本。不过,它必须以福尔马林固定石蜡包埋组织为黄金标准,并有足够数量的阳性和阴性对照。ICC 在肺癌中的作用至关重要,因为大多数肺癌标本都是细胞学样本。某些生物标记物的准确诊断和检测在很大程度上依赖于诊断性和预测性 ICC。摘要 对肺癌有重要意义的关键 ICC 标志物包括但不限于 TTF-1、p40、Napsin A 和 p63 等诊断性 ICC,以及 ALK、ROS-1、PD-L1 和 NTRK 等预测性 ICC。重要信息 经过适当验证后,即使没有制备细胞块的资源,也能在直接涂片、细胞凋亡片和其他标本上有效地进行肺癌免疫细胞化学检测。这对诊断性抗体尤其适用,但对预测性免疫细胞化学必须谨慎。尽管如此,分子检测仍应保持较低的门槛。PD-L1 ICC 具有挑战性,如果有条件,最好在福尔马林固定细胞块或活检组织上进行。
本文章由计算机程序翻译,如有差异,请以英文原文为准。

Diagnostic and Predictive Immunocytochemistry in Lung Cancer.

Diagnostic and Predictive Immunocytochemistry in Lung Cancer.

Diagnostic and Predictive Immunocytochemistry in Lung Cancer.

Diagnostic and Predictive Immunocytochemistry in Lung Cancer.

Background: Immunocytochemistry (ICC) is suitable for use on a range of cytology preparations, such as cell blocks, air-dried slides, ethanol-fixed slides, direct smears, cytospins, and liquid-based cytology (LBC) samples. However, it must be standardized against the gold standard of formalin-fixed paraffin-embedded tissues with adequate number of positive and negative controls. The role of ICC in lung cancer is crucial, as most lung cancer specimens are cytology samples. Accurate diagnosis and testing of certain biomarkers rely heavily on both diagnostic and predictive ICC.

Summary: Key ICC markers important in lung cancer include, but are not limited to, diagnostic ICCs such as TTF-1, p40, Napsin A, and p63, as well as predictive ICCs like ALK, ROS-1, PD-L1, and NTRK.

Key messages: With proper validation, immunocytochemistry for lung cancer can be effectively performed on direct smears, cytospins, and other specimens, even when resources for preparing cell blocks are unavailable. This is particularly true for diagnostic antibodies, but it is important to exercise caution with predictive ICC. Nonetheless, a low threshold for molecular testing should be maintained. PD-L1 ICC can be challenging and should ideally be performed on formalin-fixed cell blocks or biopsies when available.

Background: Immunocytochemistry (ICC) is suitable for use on a range of cytology preparations, such as cell blocks, air-dried slides, ethanol-fixed slides, direct smears, cytospins, and liquid-based cytology (LBC) samples. However, it must be standardized against the gold standard of formalin-fixed paraffin-embedded tissues with adequate number of positive and negative controls. The role of ICC in lung cancer is crucial, as most lung cancer specimens are cytology samples. Accurate diagnosis and testing of certain biomarkers rely heavily on both diagnostic and predictive ICC.

Summary: Key ICC markers important in lung cancer include, but are not limited to, diagnostic ICCs such as TTF-1, p40, Napsin A, and p63, as well as predictive ICCs like ALK, ROS-1, PD-L1, and NTRK.

Key messages: With proper validation, immunocytochemistry for lung cancer can be effectively performed on direct smears, cytospins, and other specimens, even when resources for preparing cell blocks are unavailable. This is particularly true for diagnostic antibodies, but it is important to exercise caution with predictive ICC. Nonetheless, a low threshold for molecular testing should be maintained. PD-L1 ICC can be challenging and should ideally be performed on formalin-fixed cell blocks or biopsies when available.

求助全文
通过发布文献求助,成功后即可免费获取论文全文。 去求助
来源期刊
Acta Cytologica
Acta Cytologica 生物-病理学
CiteScore
3.70
自引率
11.10%
发文量
46
审稿时长
4-8 weeks
期刊介绍: With articles offering an excellent balance between clinical cytology and cytopathology, ''Acta Cytologica'' fosters the understanding of the pathogenetic mechanisms behind cytomorphology and thus facilitates the translation of frontline research into clinical practice. As the official journal of the International Academy of Cytology and affiliated to over 50 national cytology societies around the world, ''Acta Cytologica'' evaluates new and existing diagnostic applications of scientific advances as well as their clinical correlations. Original papers, review articles, meta-analyses, novel insights from clinical practice, and letters to the editor cover topics from diagnostic cytopathology, gynecologic and non-gynecologic cytopathology to fine needle aspiration, molecular techniques and their diagnostic applications. As the perfect reference for practical use, ''Acta Cytologica'' addresses a multidisciplinary audience practicing clinical cytopathology, cell biology, oncology, interventional radiology, otorhinolaryngology, gastroenterology, urology, pulmonology and preventive medicine.
×
引用
GB/T 7714-2015
复制
MLA
复制
APA
复制
导出至
BibTeX EndNote RefMan NoteFirst NoteExpress
×
提示
您的信息不完整,为了账户安全,请先补充。
现在去补充
×
提示
您因"违规操作"
具体请查看互助需知
我知道了
×
提示
确定
请完成安全验证×
copy
已复制链接
快去分享给好友吧!
我知道了
右上角分享
点击右上角分享
0
联系我们:info@booksci.cn Book学术提供免费学术资源搜索服务,方便国内外学者检索中英文文献。致力于提供最便捷和优质的服务体验。 Copyright © 2023 布克学术 All rights reserved.
京ICP备2023020795号-1
ghs 京公网安备 11010802042870号
Book学术文献互助
Book学术文献互助群
群 号:604180095
Book学术官方微信