颌面部 CBCT 偶然诊断出原发性非霍奇金淋巴瘤:病例报告。

IF 1.3 4区 医学 Q4 RADIOLOGY, NUCLEAR MEDICINE & MEDICAL IMAGING
Journal of the Belgian Society of Radiology Pub Date : 2024-09-05 eCollection Date: 2024-01-01 DOI:10.5334/jbsr.3682
Pierre-Louis Polard, Adrian Tempescul, Karen Vallaeys
{"title":"颌面部 CBCT 偶然诊断出原发性非霍奇金淋巴瘤:病例报告。","authors":"Pierre-Louis Polard, Adrian Tempescul, Karen Vallaeys","doi":"10.5334/jbsr.3682","DOIUrl":null,"url":null,"abstract":"<p><p>A 47-year-old male with an unremarkable medical history was referred for atypical endodontic pain and treatment of his left upper molars. Clinical and radiographic examinations revealed an extensive, undefined osteolytic area around these teeth. A subsequent bone biopsy diagnosed diffuse large B-cell lymphoma, a high-grade non-Hodgkin's lymphoma. The hematology team prescribed six cycles of chemotherapy, supplemented by two cycles of methotrexate. Practitioners should be alerted by atypical tooth pain to consider 3D imaging to exclude malignant pathology as early as possible. <i>Teaching point:</i> An atypical tooth pain should alert the practitioner and guide them towards 3D imaging to eliminate diagnostic of malignant pathology as early as possible.</p>","PeriodicalId":55987,"journal":{"name":"Journal of the Belgian Society of Radiology","volume":"108 1","pages":"77"},"PeriodicalIF":1.3000,"publicationDate":"2024-09-05","publicationTypes":"Journal Article","fieldsOfStudy":null,"isOpenAccess":false,"openAccessPdf":"https://www.ncbi.nlm.nih.gov/pmc/articles/PMC11378706/pdf/","citationCount":"0","resultStr":"{\"title\":\"When Maxillofacial CBCT Permits Fortuitously to Diagnose Primary Non-Hodgkin's Lymphoma: A Case Report.\",\"authors\":\"Pierre-Louis Polard, Adrian Tempescul, Karen Vallaeys\",\"doi\":\"10.5334/jbsr.3682\",\"DOIUrl\":null,\"url\":null,\"abstract\":\"<p><p>A 47-year-old male with an unremarkable medical history was referred for atypical endodontic pain and treatment of his left upper molars. Clinical and radiographic examinations revealed an extensive, undefined osteolytic area around these teeth. A subsequent bone biopsy diagnosed diffuse large B-cell lymphoma, a high-grade non-Hodgkin's lymphoma. The hematology team prescribed six cycles of chemotherapy, supplemented by two cycles of methotrexate. Practitioners should be alerted by atypical tooth pain to consider 3D imaging to exclude malignant pathology as early as possible. <i>Teaching point:</i> An atypical tooth pain should alert the practitioner and guide them towards 3D imaging to eliminate diagnostic of malignant pathology as early as possible.</p>\",\"PeriodicalId\":55987,\"journal\":{\"name\":\"Journal of the Belgian Society of Radiology\",\"volume\":\"108 1\",\"pages\":\"77\"},\"PeriodicalIF\":1.3000,\"publicationDate\":\"2024-09-05\",\"publicationTypes\":\"Journal Article\",\"fieldsOfStudy\":null,\"isOpenAccess\":false,\"openAccessPdf\":\"https://www.ncbi.nlm.nih.gov/pmc/articles/PMC11378706/pdf/\",\"citationCount\":\"0\",\"resultStr\":null,\"platform\":\"Semanticscholar\",\"paperid\":null,\"PeriodicalName\":\"Journal of the Belgian Society of Radiology\",\"FirstCategoryId\":\"3\",\"ListUrlMain\":\"https://doi.org/10.5334/jbsr.3682\",\"RegionNum\":4,\"RegionCategory\":\"医学\",\"ArticlePicture\":[],\"TitleCN\":null,\"AbstractTextCN\":null,\"PMCID\":null,\"EPubDate\":\"2024/1/1 0:00:00\",\"PubModel\":\"eCollection\",\"JCR\":\"Q4\",\"JCRName\":\"RADIOLOGY, NUCLEAR MEDICINE & MEDICAL IMAGING\",\"Score\":null,\"Total\":0}","platform":"Semanticscholar","paperid":null,"PeriodicalName":"Journal of the Belgian Society of Radiology","FirstCategoryId":"3","ListUrlMain":"https://doi.org/10.5334/jbsr.3682","RegionNum":4,"RegionCategory":"医学","ArticlePicture":[],"TitleCN":null,"AbstractTextCN":null,"PMCID":null,"EPubDate":"2024/1/1 0:00:00","PubModel":"eCollection","JCR":"Q4","JCRName":"RADIOLOGY, NUCLEAR MEDICINE & MEDICAL IMAGING","Score":null,"Total":0}
引用次数: 0

摘要

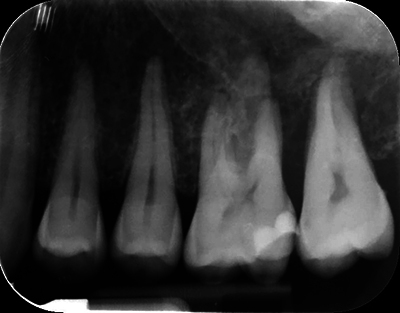
一名 47 岁的男性病史并无异常,因左上磨牙的非典型牙髓疼痛和治疗而转诊。临床和影像学检查发现,这些牙齿周围有一个广泛的、未定义的溶骨区。随后的骨活检诊断为弥漫大 B 细胞淋巴瘤,这是一种高级别非霍奇金淋巴瘤。血液科团队开出了六个周期的化疗处方,并辅以两个周期的甲氨蝶呤。医生应警惕非典型牙痛,考虑进行三维成像检查,以尽早排除恶性病变。教学要点:非典型牙痛应引起医生的警觉,并引导他们进行三维成像检查,以尽早排除恶性病变的诊断。
本文章由计算机程序翻译,如有差异,请以英文原文为准。

When Maxillofacial CBCT Permits Fortuitously to Diagnose Primary Non-Hodgkin's Lymphoma: A Case Report.

When Maxillofacial CBCT Permits Fortuitously to Diagnose Primary Non-Hodgkin's Lymphoma: A Case Report.

When Maxillofacial CBCT Permits Fortuitously to Diagnose Primary Non-Hodgkin's Lymphoma: A Case Report.

When Maxillofacial CBCT Permits Fortuitously to Diagnose Primary Non-Hodgkin's Lymphoma: A Case Report.

A 47-year-old male with an unremarkable medical history was referred for atypical endodontic pain and treatment of his left upper molars. Clinical and radiographic examinations revealed an extensive, undefined osteolytic area around these teeth. A subsequent bone biopsy diagnosed diffuse large B-cell lymphoma, a high-grade non-Hodgkin's lymphoma. The hematology team prescribed six cycles of chemotherapy, supplemented by two cycles of methotrexate. Practitioners should be alerted by atypical tooth pain to consider 3D imaging to exclude malignant pathology as early as possible. Teaching point: An atypical tooth pain should alert the practitioner and guide them towards 3D imaging to eliminate diagnostic of malignant pathology as early as possible.

求助全文
通过发布文献求助,成功后即可免费获取论文全文。 去求助
来源期刊
Journal of the Belgian Society of Radiology
Journal of the Belgian Society of Radiology Medicine-Radiology, Nuclear Medicine and Imaging
CiteScore
0.70
自引率
5.00%
发文量
96
期刊介绍: The purpose of the Journal of the Belgian Society of Radiology is the publication of articles dealing with diagnostic and interventional radiology, related imaging techniques, allied sciences, and continuing education.
×
引用
GB/T 7714-2015
复制
MLA
复制
APA
复制
导出至
BibTeX EndNote RefMan NoteFirst NoteExpress
×
提示
您的信息不完整,为了账户安全,请先补充。
现在去补充
×
提示
您因"违规操作"
具体请查看互助需知
我知道了
×
提示
确定
请完成安全验证×
copy
已复制链接
快去分享给好友吧!
我知道了
右上角分享
点击右上角分享
0
联系我们:info@booksci.cn Book学术提供免费学术资源搜索服务,方便国内外学者检索中英文文献。致力于提供最便捷和优质的服务体验。 Copyright © 2023 布克学术 All rights reserved.
京ICP备2023020795号-1
ghs 京公网安备 11010802042870号
Book学术文献互助
Book学术文献互助群
群 号:604180095
Book学术官方微信