胎儿生长受限对产前二维超声和胎儿肾上腺多普勒研究的影响。

IF 2.2 Q1 OBSTETRICS & GYNECOLOGY
Journal of Pregnancy Pub Date : 2024-08-29 eCollection Date: 2024-01-01 DOI:10.1155/2024/9968509
Suphawan Pattamathamakul, Chatuporn Duangkum, Sukanya Chaiyarach, Kiattisak Kongwattanakul, Piyamas Saksiriwuttho, Ratana Komwilaisak, Sathida Chantanavilai, Manasicha Pongsamakthai, Prapassara Sirikarn
{"title":"胎儿生长受限对产前二维超声和胎儿肾上腺多普勒研究的影响。","authors":"Suphawan Pattamathamakul, Chatuporn Duangkum, Sukanya Chaiyarach, Kiattisak Kongwattanakul, Piyamas Saksiriwuttho, Ratana Komwilaisak, Sathida Chantanavilai, Manasicha Pongsamakthai, Prapassara Sirikarn","doi":"10.1155/2024/9968509","DOIUrl":null,"url":null,"abstract":"<p><p><b>Background:</b> Uteroplacental insufficiency in fetuses with growth restriction (FGR) leads to chronic hypoxia and stress, predominantly affecting the adrenal glands. However, the mechanisms of impact remain unclear. <b>Objectives:</b> This study is aimed at comparing the Doppler indices of the adrenal artery and the adrenal gland sizes between FGR and those with normal growth. <b>Materials and Methods:</b> A multicenter, cross-sectional study was conducted from February to December 2023. We compared 34 FGR to 34 with normal growth in terms of inferior adrenal artery (IAA) Doppler indices and adrenal gland volumes. <b>Results:</b> The IAA peak systolic velocity (PSV) in the FGR group was 14.9 ± 2.9 cm/s compared to 13.5 ± 2.0 cm/s in the normal group, with a mean difference of 1.4 cm/s (95% confidence interval [CI]: 0.27-2.65; <i>p</i> value = 0.017). There were no significant differences between groups in terms of IAA pulsatility index (PI), resistance index (RI), or systolic/diastolic (S/D), with <i>p</i> values of 0.438, 0.441, and 0.658, respectively. The volumes of the corrected whole adrenal gland and the corrected neocortex were significantly larger in the FGR group, with <i>p</i> values of 0.031 and 0.020, respectively. <b>Conclusion:</b> Both increased IAA PSV and enlarged volumes of the corrected whole adrenal gland and neocortex were found in fetuses with FGR, suggesting significant adrenal gland adaptation in response to chronic intrauterine stress.</p>","PeriodicalId":47062,"journal":{"name":"Journal of Pregnancy","volume":"2024 ","pages":"9968509"},"PeriodicalIF":2.2000,"publicationDate":"2024-08-29","publicationTypes":"Journal Article","fieldsOfStudy":null,"isOpenAccess":false,"openAccessPdf":"https://www.ncbi.nlm.nih.gov/pmc/articles/PMC11377111/pdf/","citationCount":"0","resultStr":"{\"title\":\"The Impact of Fetal Growth Restriction on Prenatal 2D Ultrasound and Doppler Study of the Fetal Adrenal Gland.\",\"authors\":\"Suphawan Pattamathamakul, Chatuporn Duangkum, Sukanya Chaiyarach, Kiattisak Kongwattanakul, Piyamas Saksiriwuttho, Ratana Komwilaisak, Sathida Chantanavilai, Manasicha Pongsamakthai, Prapassara Sirikarn\",\"doi\":\"10.1155/2024/9968509\",\"DOIUrl\":null,\"url\":null,\"abstract\":\"<p><p><b>Background:</b> Uteroplacental insufficiency in fetuses with growth restriction (FGR) leads to chronic hypoxia and stress, predominantly affecting the adrenal glands. However, the mechanisms of impact remain unclear. <b>Objectives:</b> This study is aimed at comparing the Doppler indices of the adrenal artery and the adrenal gland sizes between FGR and those with normal growth. <b>Materials and Methods:</b> A multicenter, cross-sectional study was conducted from February to December 2023. We compared 34 FGR to 34 with normal growth in terms of inferior adrenal artery (IAA) Doppler indices and adrenal gland volumes. <b>Results:</b> The IAA peak systolic velocity (PSV) in the FGR group was 14.9 ± 2.9 cm/s compared to 13.5 ± 2.0 cm/s in the normal group, with a mean difference of 1.4 cm/s (95% confidence interval [CI]: 0.27-2.65; <i>p</i> value = 0.017). There were no significant differences between groups in terms of IAA pulsatility index (PI), resistance index (RI), or systolic/diastolic (S/D), with <i>p</i> values of 0.438, 0.441, and 0.658, respectively. The volumes of the corrected whole adrenal gland and the corrected neocortex were significantly larger in the FGR group, with <i>p</i> values of 0.031 and 0.020, respectively. <b>Conclusion:</b> Both increased IAA PSV and enlarged volumes of the corrected whole adrenal gland and neocortex were found in fetuses with FGR, suggesting significant adrenal gland adaptation in response to chronic intrauterine stress.</p>\",\"PeriodicalId\":47062,\"journal\":{\"name\":\"Journal of Pregnancy\",\"volume\":\"2024 \",\"pages\":\"9968509\"},\"PeriodicalIF\":2.2000,\"publicationDate\":\"2024-08-29\",\"publicationTypes\":\"Journal Article\",\"fieldsOfStudy\":null,\"isOpenAccess\":false,\"openAccessPdf\":\"https://www.ncbi.nlm.nih.gov/pmc/articles/PMC11377111/pdf/\",\"citationCount\":\"0\",\"resultStr\":null,\"platform\":\"Semanticscholar\",\"paperid\":null,\"PeriodicalName\":\"Journal of Pregnancy\",\"FirstCategoryId\":\"1085\",\"ListUrlMain\":\"https://doi.org/10.1155/2024/9968509\",\"RegionNum\":0,\"RegionCategory\":null,\"ArticlePicture\":[],\"TitleCN\":null,\"AbstractTextCN\":null,\"PMCID\":null,\"EPubDate\":\"2024/1/1 0:00:00\",\"PubModel\":\"eCollection\",\"JCR\":\"Q1\",\"JCRName\":\"OBSTETRICS & GYNECOLOGY\",\"Score\":null,\"Total\":0}","platform":"Semanticscholar","paperid":null,"PeriodicalName":"Journal of Pregnancy","FirstCategoryId":"1085","ListUrlMain":"https://doi.org/10.1155/2024/9968509","RegionNum":0,"RegionCategory":null,"ArticlePicture":[],"TitleCN":null,"AbstractTextCN":null,"PMCID":null,"EPubDate":"2024/1/1 0:00:00","PubModel":"eCollection","JCR":"Q1","JCRName":"OBSTETRICS & GYNECOLOGY","Score":null,"Total":0}
引用次数: 0

摘要

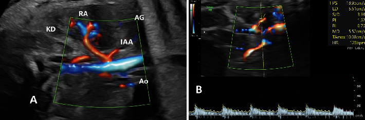
背景:生长受限(FGR)胎儿的子宫胎盘功能不全导致长期缺氧和应激,主要影响肾上腺。然而,其影响机制仍不清楚。研究目的本研究旨在比较 FGR 胎儿和发育正常胎儿的肾上腺动脉多普勒指数和肾上腺大小。材料和方法:于 2023 年 2 月至 12 月进行了一项多中心横断面研究。我们比较了 34 例 FGR 和 34 例发育正常婴儿的肾上腺下动脉(IAA)多普勒指数和肾上腺体积。结果显示FGR组的IAA峰值收缩速度(PSV)为14.9 ± 2.9 cm/s,而正常组为13.5 ± 2.0 cm/s,平均相差1.4 cm/s(95%置信区间[CI]:0.27-2.65;P值=0.017)。各组间的 IAA 脉动指数 (PI)、阻力指数 (RI) 或收缩/舒张 (S/D) 均无明显差异,P 值分别为 0.438、0.441 和 0.658。FGR组校正后的整个肾上腺体积和校正后的新皮质体积明显更大,P值分别为0.031和0.020。结论FGR胎儿的IAA PSV增加,校正后的整个肾上腺和新皮质体积增大,表明肾上腺对宫内慢性应激有明显的适应性。
本文章由计算机程序翻译,如有差异,请以英文原文为准。

The Impact of Fetal Growth Restriction on Prenatal 2D Ultrasound and Doppler Study of the Fetal Adrenal Gland.

The Impact of Fetal Growth Restriction on Prenatal 2D Ultrasound and Doppler Study of the Fetal Adrenal Gland.

The Impact of Fetal Growth Restriction on Prenatal 2D Ultrasound and Doppler Study of the Fetal Adrenal Gland.

The Impact of Fetal Growth Restriction on Prenatal 2D Ultrasound and Doppler Study of the Fetal Adrenal Gland.

Background: Uteroplacental insufficiency in fetuses with growth restriction (FGR) leads to chronic hypoxia and stress, predominantly affecting the adrenal glands. However, the mechanisms of impact remain unclear. Objectives: This study is aimed at comparing the Doppler indices of the adrenal artery and the adrenal gland sizes between FGR and those with normal growth. Materials and Methods: A multicenter, cross-sectional study was conducted from February to December 2023. We compared 34 FGR to 34 with normal growth in terms of inferior adrenal artery (IAA) Doppler indices and adrenal gland volumes. Results: The IAA peak systolic velocity (PSV) in the FGR group was 14.9 ± 2.9 cm/s compared to 13.5 ± 2.0 cm/s in the normal group, with a mean difference of 1.4 cm/s (95% confidence interval [CI]: 0.27-2.65; p value = 0.017). There were no significant differences between groups in terms of IAA pulsatility index (PI), resistance index (RI), or systolic/diastolic (S/D), with p values of 0.438, 0.441, and 0.658, respectively. The volumes of the corrected whole adrenal gland and the corrected neocortex were significantly larger in the FGR group, with p values of 0.031 and 0.020, respectively. Conclusion: Both increased IAA PSV and enlarged volumes of the corrected whole adrenal gland and neocortex were found in fetuses with FGR, suggesting significant adrenal gland adaptation in response to chronic intrauterine stress.

求助全文
通过发布文献求助,成功后即可免费获取论文全文。 去求助
来源期刊
Journal of Pregnancy
Journal of Pregnancy OBSTETRICS & GYNECOLOGY-
CiteScore
6.10
自引率
0.00%
发文量
15
审稿时长
14 weeks
期刊介绍: Journal of Pregnancy is a peer-reviewed, Open Access journal that publishes original research articles, review articles, and clinical studies related to all aspects of pregnancy and childbirth. The journal welcomes submissions on breastfeeding, labor, maternal health and the biomedical aspects of pregnancy.
×
引用
GB/T 7714-2015
复制
MLA
复制
APA
复制
导出至
BibTeX EndNote RefMan NoteFirst NoteExpress
×
提示
您的信息不完整,为了账户安全,请先补充。
现在去补充
×
提示
您因"违规操作"
具体请查看互助需知
我知道了
×
提示
确定
请完成安全验证×
copy
已复制链接
快去分享给好友吧!
我知道了
右上角分享
点击右上角分享
0
联系我们:info@booksci.cn Book学术提供免费学术资源搜索服务,方便国内外学者检索中英文文献。致力于提供最便捷和优质的服务体验。 Copyright © 2023 布克学术 All rights reserved.
京ICP备2023020795号-1
ghs 京公网安备 11010802042870号
Book学术文献互助
Book学术文献互助群
群 号:604180095
Book学术官方微信