乳腺癌眼眶转移:三例病例及文献简要回顾

Beyoglu Eye Journal Pub Date : 2024-09-01 eCollection Date: 2024-01-01 DOI:10.14744/bej.2024.83193
Mukaddes Damla Ciftci, Gurdeniz Serin, Naim Ceylan, Levent Yeniay, Melis Palamar
{"title":"乳腺癌眼眶转移:三例病例及文献简要回顾","authors":"Mukaddes Damla Ciftci, Gurdeniz Serin, Naim Ceylan, Levent Yeniay, Melis Palamar","doi":"10.14744/bej.2024.83193","DOIUrl":null,"url":null,"abstract":"<p><p>Metastatic disease is a relatively rare cause of orbital tumors. While many different types of primary malignancies have been documented, lung and breast cancers are the most prevalent ones among them. Herein, three cases of orbital metastasis from breast cancer are reported. The first patient had no history of primary malignancy, and the initial presentation was orbital metastasis from advanced breast cancer. The second patient had a history of neo-adjuvant chemotherapy, mastectomy, and adjuvant radiotherapy. The recurrence of the disease was diagnosed via symptomatic metastasis to orbit involving the lateral rectus muscle. The third patient had a history of mastectomy, adjuvant radiotherapy, and hormone therapy. Considering that even patients without a diagnosis of primary malignancy may present with orbital metastasis, ophthalmologists' awareness of this issue is critical.</p>","PeriodicalId":8740,"journal":{"name":"Beyoglu Eye Journal","volume":"9 3","pages":"155-160"},"PeriodicalIF":0.0000,"publicationDate":"2024-09-01","publicationTypes":"Journal Article","fieldsOfStudy":null,"isOpenAccess":false,"openAccessPdf":"https://www.ncbi.nlm.nih.gov/pmc/articles/PMC11372402/pdf/","citationCount":"0","resultStr":"{\"title\":\"Orbital Metastasis from Breast Cancer: Three Cases and Brief Review of the Literature.\",\"authors\":\"Mukaddes Damla Ciftci, Gurdeniz Serin, Naim Ceylan, Levent Yeniay, Melis Palamar\",\"doi\":\"10.14744/bej.2024.83193\",\"DOIUrl\":null,\"url\":null,\"abstract\":\"<p><p>Metastatic disease is a relatively rare cause of orbital tumors. While many different types of primary malignancies have been documented, lung and breast cancers are the most prevalent ones among them. Herein, three cases of orbital metastasis from breast cancer are reported. The first patient had no history of primary malignancy, and the initial presentation was orbital metastasis from advanced breast cancer. The second patient had a history of neo-adjuvant chemotherapy, mastectomy, and adjuvant radiotherapy. The recurrence of the disease was diagnosed via symptomatic metastasis to orbit involving the lateral rectus muscle. The third patient had a history of mastectomy, adjuvant radiotherapy, and hormone therapy. Considering that even patients without a diagnosis of primary malignancy may present with orbital metastasis, ophthalmologists' awareness of this issue is critical.</p>\",\"PeriodicalId\":8740,\"journal\":{\"name\":\"Beyoglu Eye Journal\",\"volume\":\"9 3\",\"pages\":\"155-160\"},\"PeriodicalIF\":0.0000,\"publicationDate\":\"2024-09-01\",\"publicationTypes\":\"Journal Article\",\"fieldsOfStudy\":null,\"isOpenAccess\":false,\"openAccessPdf\":\"https://www.ncbi.nlm.nih.gov/pmc/articles/PMC11372402/pdf/\",\"citationCount\":\"0\",\"resultStr\":null,\"platform\":\"Semanticscholar\",\"paperid\":null,\"PeriodicalName\":\"Beyoglu Eye Journal\",\"FirstCategoryId\":\"1085\",\"ListUrlMain\":\"https://doi.org/10.14744/bej.2024.83193\",\"RegionNum\":0,\"RegionCategory\":null,\"ArticlePicture\":[],\"TitleCN\":null,\"AbstractTextCN\":null,\"PMCID\":null,\"EPubDate\":\"2024/1/1 0:00:00\",\"PubModel\":\"eCollection\",\"JCR\":\"\",\"JCRName\":\"\",\"Score\":null,\"Total\":0}","platform":"Semanticscholar","paperid":null,"PeriodicalName":"Beyoglu Eye Journal","FirstCategoryId":"1085","ListUrlMain":"https://doi.org/10.14744/bej.2024.83193","RegionNum":0,"RegionCategory":null,"ArticlePicture":[],"TitleCN":null,"AbstractTextCN":null,"PMCID":null,"EPubDate":"2024/1/1 0:00:00","PubModel":"eCollection","JCR":"","JCRName":"","Score":null,"Total":0}
引用次数: 0

摘要

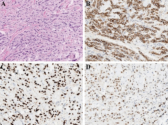
转移性疾病是眼眶肿瘤的一个相对罕见的病因。虽然有许多不同类型的原发性恶性肿瘤被记录在案,但其中以肺癌和乳腺癌最为常见。本文报告了三例乳腺癌眼眶转移病例。第一例患者无原发性恶性肿瘤病史,最初表现为晚期乳腺癌眼眶转移。第二例患者曾接受新辅助化疗、乳房切除术和辅助放疗。经诊断,该病的复发是通过有症状的眼眶转移累及外侧直肌。第三例患者曾接受乳房切除术、辅助放疗和激素治疗。考虑到即使没有诊断出原发性恶性肿瘤的患者也可能出现眼眶转移,眼科医生对此问题的认识至关重要。
本文章由计算机程序翻译,如有差异,请以英文原文为准。

Orbital Metastasis from Breast Cancer: Three Cases and Brief Review of the Literature.

Orbital Metastasis from Breast Cancer: Three Cases and Brief Review of the Literature.

Orbital Metastasis from Breast Cancer: Three Cases and Brief Review of the Literature.

Orbital Metastasis from Breast Cancer: Three Cases and Brief Review of the Literature.

Metastatic disease is a relatively rare cause of orbital tumors. While many different types of primary malignancies have been documented, lung and breast cancers are the most prevalent ones among them. Herein, three cases of orbital metastasis from breast cancer are reported. The first patient had no history of primary malignancy, and the initial presentation was orbital metastasis from advanced breast cancer. The second patient had a history of neo-adjuvant chemotherapy, mastectomy, and adjuvant radiotherapy. The recurrence of the disease was diagnosed via symptomatic metastasis to orbit involving the lateral rectus muscle. The third patient had a history of mastectomy, adjuvant radiotherapy, and hormone therapy. Considering that even patients without a diagnosis of primary malignancy may present with orbital metastasis, ophthalmologists' awareness of this issue is critical.

求助全文
通过发布文献求助,成功后即可免费获取论文全文。 去求助
来源期刊
自引率
0.00%
发文量
42
审稿时长
16 weeks
×
引用
GB/T 7714-2015
复制
MLA
复制
APA
复制
导出至
BibTeX EndNote RefMan NoteFirst NoteExpress
×
提示
您的信息不完整,为了账户安全,请先补充。
现在去补充
×
提示
您因"违规操作"
具体请查看互助需知
我知道了
×
提示
确定
请完成安全验证×
copy
已复制链接
快去分享给好友吧!
我知道了
右上角分享
点击右上角分享
0
联系我们:info@booksci.cn Book学术提供免费学术资源搜索服务,方便国内外学者检索中英文文献。致力于提供最便捷和优质的服务体验。 Copyright © 2023 布克学术 All rights reserved.
京ICP备2023020795号-1
ghs 京公网安备 11010802042870号
Book学术文献互助
Book学术文献互助群
群 号:604180095
Book学术官方微信