确定中国同时感染了Jaagsiekte羊逆转录病毒和maedi-visna病毒。

IF 1.5 3区 农林科学 Q2 VETERINARY SCIENCES
Journal of Veterinary Science Pub Date : 2024-09-01 Epub Date: 2024-08-08 DOI:10.4142/jvs.24158
Xujie Duan, Xiaona Shi, Pei Zhang, Xiaoyue Du, Sixu Chen, Liang Zhang, Huiping Li, Yufei Zhang, Jinling Wang, Yulin Ding, Shuying Liu
{"title":"确定中国同时感染了Jaagsiekte羊逆转录病毒和maedi-visna病毒。","authors":"Xujie Duan, Xiaona Shi, Pei Zhang, Xiaoyue Du, Sixu Chen, Liang Zhang, Huiping Li, Yufei Zhang, Jinling Wang, Yulin Ding, Shuying Liu","doi":"10.4142/jvs.24158","DOIUrl":null,"url":null,"abstract":"<p><strong>Importance: </strong>Ovine pulmonary adenomatosis (OPA) and maedi-visna disease (MVD) are chronic and progressive infectious diseases in sheep caused by Jaagsiekte sheep retrovirus (JSRV) and maedi-visna virus (MVV), respectively.</p><p><strong>Objective: </strong>To investigate the pathological changes and conduct viral gene analysis of OPA and MVD co-occurrence in Inner Mongolia, China.</p><p><strong>Methods: </strong>Using gross pathology, histopathology, immunohistochemistry, ultrastructural pathology, PCR, and sequence analysis, we investigated the concurrent infection of JSRV and MVV in 319 Dorper rams slaughtered in a private slaughterhouse in Inner Mongolia, in 2022.</p><p><strong>Results: </strong>Of the 319 rams included, 3 showed concurrent JSRV and MVV infection. Gross lung pathology showed diffuse enlargement, consolidation, and greyish-white miliary nodules on the lung surface; the trachea was filled with a white foamy fluid; hilar and mediastinal lymph nodes were significantly enlarged. Histopathology results revealed typical OPA and MVD lesions in the lung tissue. Immunohistochemical results were positive for JSRV envelope protein (Env) in the tumor cells and MVV CA in alveolar macrophages. Transmission electron microscopy showed several virions and autophagosomes in the lung tissue, severely damaged mitochondria, and the induced mitophagy. Nucleotide sequences obtained for JSRV <i>env</i> and MVV <i>gag</i> showed the highest homology with the Inner Mongolian strains of JSRV <i>env</i> (JQ837489) and MVV <i>gag</i> (MW248464).</p><p><strong>Conclusions and relevance: </strong>Our study confirmed that OPA and MVD co-occurrence and identified the pathological changes in Inner Mongolia, China, thereby providing references for the identification of concurrent JSRV and MVV infections.</p>","PeriodicalId":17557,"journal":{"name":"Journal of Veterinary Science","volume":" ","pages":"e61"},"PeriodicalIF":1.5000,"publicationDate":"2024-09-01","publicationTypes":"Journal Article","fieldsOfStudy":null,"isOpenAccess":false,"openAccessPdf":"https://www.ncbi.nlm.nih.gov/pmc/articles/PMC11450398/pdf/","citationCount":"0","resultStr":"{\"title\":\"Identification of concurrent infection with Jaagsiekte sheep retrovirus and maedi-visna virus in China.\",\"authors\":\"Xujie Duan, Xiaona Shi, Pei Zhang, Xiaoyue Du, Sixu Chen, Liang Zhang, Huiping Li, Yufei Zhang, Jinling Wang, Yulin Ding, Shuying Liu\",\"doi\":\"10.4142/jvs.24158\",\"DOIUrl\":null,\"url\":null,\"abstract\":\"<p><strong>Importance: </strong>Ovine pulmonary adenomatosis (OPA) and maedi-visna disease (MVD) are chronic and progressive infectious diseases in sheep caused by Jaagsiekte sheep retrovirus (JSRV) and maedi-visna virus (MVV), respectively.</p><p><strong>Objective: </strong>To investigate the pathological changes and conduct viral gene analysis of OPA and MVD co-occurrence in Inner Mongolia, China.</p><p><strong>Methods: </strong>Using gross pathology, histopathology, immunohistochemistry, ultrastructural pathology, PCR, and sequence analysis, we investigated the concurrent infection of JSRV and MVV in 319 Dorper rams slaughtered in a private slaughterhouse in Inner Mongolia, in 2022.</p><p><strong>Results: </strong>Of the 319 rams included, 3 showed concurrent JSRV and MVV infection. Gross lung pathology showed diffuse enlargement, consolidation, and greyish-white miliary nodules on the lung surface; the trachea was filled with a white foamy fluid; hilar and mediastinal lymph nodes were significantly enlarged. Histopathology results revealed typical OPA and MVD lesions in the lung tissue. Immunohistochemical results were positive for JSRV envelope protein (Env) in the tumor cells and MVV CA in alveolar macrophages. Transmission electron microscopy showed several virions and autophagosomes in the lung tissue, severely damaged mitochondria, and the induced mitophagy. Nucleotide sequences obtained for JSRV <i>env</i> and MVV <i>gag</i> showed the highest homology with the Inner Mongolian strains of JSRV <i>env</i> (JQ837489) and MVV <i>gag</i> (MW248464).</p><p><strong>Conclusions and relevance: </strong>Our study confirmed that OPA and MVD co-occurrence and identified the pathological changes in Inner Mongolia, China, thereby providing references for the identification of concurrent JSRV and MVV infections.</p>\",\"PeriodicalId\":17557,\"journal\":{\"name\":\"Journal of Veterinary Science\",\"volume\":\" \",\"pages\":\"e61\"},\"PeriodicalIF\":1.5000,\"publicationDate\":\"2024-09-01\",\"publicationTypes\":\"Journal Article\",\"fieldsOfStudy\":null,\"isOpenAccess\":false,\"openAccessPdf\":\"https://www.ncbi.nlm.nih.gov/pmc/articles/PMC11450398/pdf/\",\"citationCount\":\"0\",\"resultStr\":null,\"platform\":\"Semanticscholar\",\"paperid\":null,\"PeriodicalName\":\"Journal of Veterinary Science\",\"FirstCategoryId\":\"97\",\"ListUrlMain\":\"https://doi.org/10.4142/jvs.24158\",\"RegionNum\":3,\"RegionCategory\":\"农林科学\",\"ArticlePicture\":[],\"TitleCN\":null,\"AbstractTextCN\":null,\"PMCID\":null,\"EPubDate\":\"2024/8/8 0:00:00\",\"PubModel\":\"Epub\",\"JCR\":\"Q2\",\"JCRName\":\"VETERINARY SCIENCES\",\"Score\":null,\"Total\":0}","platform":"Semanticscholar","paperid":null,"PeriodicalName":"Journal of Veterinary Science","FirstCategoryId":"97","ListUrlMain":"https://doi.org/10.4142/jvs.24158","RegionNum":3,"RegionCategory":"农林科学","ArticlePicture":[],"TitleCN":null,"AbstractTextCN":null,"PMCID":null,"EPubDate":"2024/8/8 0:00:00","PubModel":"Epub","JCR":"Q2","JCRName":"VETERINARY SCIENCES","Score":null,"Total":0}
引用次数: 0

摘要

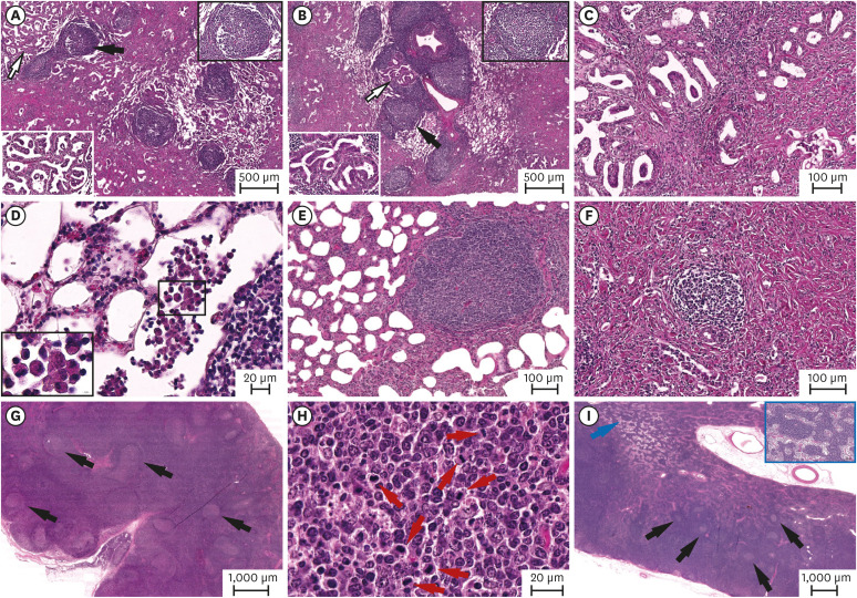
重要性:绵羊肺腺瘤病(OPA)和麦地那病(MVD)是分别由绵羊逆转录病毒(JSRV)和麦地那病毒(MVV)引起的绵羊慢性进行性传染病:研究中国内蒙古羊OPA和羊MVD并发症的病理变化并进行病毒基因分析:方法:采用大体病理学、组织病理学、免疫组化、超微结构病理学、PCR和序列分析等方法,调查了2022年内蒙古一家私人屠宰场屠宰的319只多宝公羊同时感染JSRV和MVV的情况:结果:319 只公羊中有 3 只同时感染了 JSRV 和 MVV。肺部大体病理结果显示:肺部表面弥漫性肿大、合并症和灰白色绒毛状结节;气管内充满白色泡沫状液体;肺门和纵隔淋巴结明显肿大。组织病理学结果显示,肺组织中存在典型的 OPA 和 MVD 病变。免疫组化结果显示,肿瘤细胞中的 JSRV 包膜蛋白(Env)和肺泡巨噬细胞中的 MVV CA 均呈阳性。透射电子显微镜显示肺组织中有多个病毒和自噬体,线粒体严重受损,并诱发有丝分裂。JSRV env和MVV gag的核苷酸序列与内蒙古株系的JSRV env(JQ837489)和MVV gag(MW248464)同源性最高:我们的研究证实了OPA和MVD在中国内蒙古地区同时存在,并确定了病理变化,从而为JSRV和MVV并发感染的鉴定提供了参考。
本文章由计算机程序翻译,如有差异,请以英文原文为准。

Identification of concurrent infection with Jaagsiekte sheep retrovirus and maedi-visna virus in China.

Identification of concurrent infection with Jaagsiekte sheep retrovirus and maedi-visna virus in China.

Identification of concurrent infection with Jaagsiekte sheep retrovirus and maedi-visna virus in China.

Identification of concurrent infection with Jaagsiekte sheep retrovirus and maedi-visna virus in China.

Importance: Ovine pulmonary adenomatosis (OPA) and maedi-visna disease (MVD) are chronic and progressive infectious diseases in sheep caused by Jaagsiekte sheep retrovirus (JSRV) and maedi-visna virus (MVV), respectively.

Objective: To investigate the pathological changes and conduct viral gene analysis of OPA and MVD co-occurrence in Inner Mongolia, China.

Methods: Using gross pathology, histopathology, immunohistochemistry, ultrastructural pathology, PCR, and sequence analysis, we investigated the concurrent infection of JSRV and MVV in 319 Dorper rams slaughtered in a private slaughterhouse in Inner Mongolia, in 2022.

Results: Of the 319 rams included, 3 showed concurrent JSRV and MVV infection. Gross lung pathology showed diffuse enlargement, consolidation, and greyish-white miliary nodules on the lung surface; the trachea was filled with a white foamy fluid; hilar and mediastinal lymph nodes were significantly enlarged. Histopathology results revealed typical OPA and MVD lesions in the lung tissue. Immunohistochemical results were positive for JSRV envelope protein (Env) in the tumor cells and MVV CA in alveolar macrophages. Transmission electron microscopy showed several virions and autophagosomes in the lung tissue, severely damaged mitochondria, and the induced mitophagy. Nucleotide sequences obtained for JSRV env and MVV gag showed the highest homology with the Inner Mongolian strains of JSRV env (JQ837489) and MVV gag (MW248464).

Conclusions and relevance: Our study confirmed that OPA and MVD co-occurrence and identified the pathological changes in Inner Mongolia, China, thereby providing references for the identification of concurrent JSRV and MVV infections.

求助全文
通过发布文献求助,成功后即可免费获取论文全文。 去求助
来源期刊
Journal of Veterinary Science
Journal of Veterinary Science 农林科学-兽医学
CiteScore
3.10
自引率
5.60%
发文量
86
审稿时长
1.3 months
期刊介绍: The Journal of Veterinary Science (J Vet Sci) is devoted to the advancement and dissemination of scientific knowledge concerning veterinary sciences and related academic disciplines. It is an international journal indexed in the Thomson Scientific Web of Science, SCI-EXPANDED, Sci Search, BIOSIS Previews, Biological Abstracts, Focus on: Veterinary Science & Medicine, Zoological Record, PubMed /MEDLINE, Index Medicus, Pubmed Central, CAB Abstracts / Index Veterinarius, EBSCO, AGRIS and AGRICOLA. This journal published in English by the Korean Society of Veterinary Science (KSVS) being distributed worldwide.
×
引用
GB/T 7714-2015
复制
MLA
复制
APA
复制
导出至
BibTeX EndNote RefMan NoteFirst NoteExpress
×
提示
您的信息不完整,为了账户安全,请先补充。
现在去补充
×
提示
您因"违规操作"
具体请查看互助需知
我知道了
×
提示
确定
请完成安全验证×
copy
已复制链接
快去分享给好友吧!
我知道了
右上角分享
点击右上角分享
0
联系我们:info@booksci.cn Book学术提供免费学术资源搜索服务,方便国内外学者检索中英文文献。致力于提供最便捷和优质的服务体验。 Copyright © 2023 布克学术 All rights reserved.
京ICP备2023020795号-1
ghs 京公网安备 11010802042870号
Book学术文献互助
Book学术文献互助群
群 号:604180095
Book学术官方微信