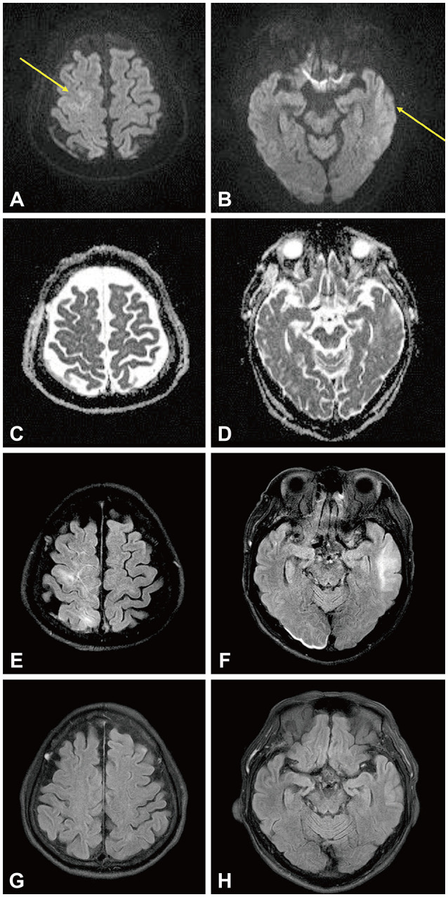
与透析失衡综合征相关的难治性癫痫状态。

IF 3.1 3区 医学 Q2 CLINICAL NEUROLOGY
Jaehyeong An, Ji Yun Kang, Hyun Kyung Kim
{"title":"与透析失衡综合征相关的难治性癫痫状态。","authors":"Jaehyeong An, Ji Yun Kang, Hyun Kyung Kim","doi":"10.3988/jcn.2024.0059","DOIUrl":null,"url":null,"abstract":"","PeriodicalId":15432,"journal":{"name":"Journal of Clinical Neurology","volume":"20 5","pages":"542-544"},"PeriodicalIF":3.1000,"publicationDate":"2024-09-01","publicationTypes":"Journal Article","fieldsOfStudy":null,"isOpenAccess":false,"openAccessPdf":"https://www.ncbi.nlm.nih.gov/pmc/articles/PMC11372203/pdf/","citationCount":"0","resultStr":"{\"title\":\"Refractory Status Epilepticus Associated With Dialysis Disequilibrium Syndrome.\",\"authors\":\"Jaehyeong An, Ji Yun Kang, Hyun Kyung Kim\",\"doi\":\"10.3988/jcn.2024.0059\",\"DOIUrl\":null,\"url\":null,\"abstract\":\"\",\"PeriodicalId\":15432,\"journal\":{\"name\":\"Journal of Clinical Neurology\",\"volume\":\"20 5\",\"pages\":\"542-544\"},\"PeriodicalIF\":3.1000,\"publicationDate\":\"2024-09-01\",\"publicationTypes\":\"Journal Article\",\"fieldsOfStudy\":null,\"isOpenAccess\":false,\"openAccessPdf\":\"https://www.ncbi.nlm.nih.gov/pmc/articles/PMC11372203/pdf/\",\"citationCount\":\"0\",\"resultStr\":null,\"platform\":\"Semanticscholar\",\"paperid\":null,\"PeriodicalName\":\"Journal of Clinical Neurology\",\"FirstCategoryId\":\"3\",\"ListUrlMain\":\"https://doi.org/10.3988/jcn.2024.0059\",\"RegionNum\":3,\"RegionCategory\":\"医学\",\"ArticlePicture\":[],\"TitleCN\":null,\"AbstractTextCN\":null,\"PMCID\":null,\"EPubDate\":\"\",\"PubModel\":\"\",\"JCR\":\"Q2\",\"JCRName\":\"CLINICAL NEUROLOGY\",\"Score\":null,\"Total\":0}","platform":"Semanticscholar","paperid":null,"PeriodicalName":"Journal of Clinical Neurology","FirstCategoryId":"3","ListUrlMain":"https://doi.org/10.3988/jcn.2024.0059","RegionNum":3,"RegionCategory":"医学","ArticlePicture":[],"TitleCN":null,"AbstractTextCN":null,"PMCID":null,"EPubDate":"","PubModel":"","JCR":"Q2","JCRName":"CLINICAL NEUROLOGY","Score":null,"Total":0}
引用次数: 0

摘要

本文章由计算机程序翻译,如有差异,请以英文原文为准。

Refractory Status Epilepticus Associated With Dialysis Disequilibrium Syndrome.

Refractory Status Epilepticus Associated With Dialysis Disequilibrium Syndrome.
求助全文
通过发布文献求助,成功后即可免费获取论文全文。 去求助
来源期刊
Journal of Clinical Neurology
Journal of Clinical Neurology 医学-临床神经学
CiteScore
4.50
自引率
6.50%
发文量
0
审稿时长
>12 weeks
期刊介绍: The JCN aims to publish the cutting-edge research from around the world. The JCN covers clinical and translational research for physicians and researchers in the field of neurology. Encompassing the entire neurological diseases, our main focus is on the common disorders including stroke, epilepsy, Parkinson''s disease, dementia, multiple sclerosis, headache, and peripheral neuropathy. Any authors affiliated with an accredited biomedical institution may submit manuscripts of original articles, review articles, and letters to the editor. The JCN will allow clinical neurologists to enrich their knowledge of patient management, education, and clinical or experimental research, and hence their professionalism.
×
引用
GB/T 7714-2015
复制
MLA
复制
APA
复制
导出至
BibTeX EndNote RefMan NoteFirst NoteExpress
×
提示
您的信息不完整,为了账户安全,请先补充。
现在去补充
×
提示
您因"违规操作"
具体请查看互助需知
我知道了
×
提示
确定
请完成安全验证×
copy
已复制链接
快去分享给好友吧!
我知道了
右上角分享
点击右上角分享
0
联系我们:info@booksci.cn Book学术提供免费学术资源搜索服务,方便国内外学者检索中英文文献。致力于提供最便捷和优质的服务体验。 Copyright © 2023 布克学术 All rights reserved.
京ICP备2023020795号-1
ghs 京公网安备 11010802042870号
Book学术文献互助
Book学术文献互助群
群 号:604180095
Book学术官方微信