一例脊髓海绵状血管瘤患者在感染 COVID-19 后神经症状迅速恶化。

IF 1.5
Progress in rehabilitation medicine Pub Date : 2024-08-29 eCollection Date: 2024-01-01 DOI:10.2490/prm.20240027
Nobuyuki Arai, Hiromasa Abe, Takashi Hiraoka, Kozo Hanayama
{"title":"一例脊髓海绵状血管瘤患者在感染 COVID-19 后神经症状迅速恶化。","authors":"Nobuyuki Arai, Hiromasa Abe, Takashi Hiraoka, Kozo Hanayama","doi":"10.2490/prm.20240027","DOIUrl":null,"url":null,"abstract":"<p><strong>Background: </strong>: COVID-19 can cause respiratory symptoms, as well as various complications and sequelae. This report describes a patient with worsening neurological symptoms caused by a spinal cavernous hemangioma after infection with COVID-19. Cavernous hemangioma usually occurs in the upper part of the brain (70%-90%) and rarely occurs in the spinal cord (5%-7%). Approximately 65% of cases of intramedullary spinal cavernous hemangioma present with neurological symptoms, and more than half of these cases show a slow worsening of symptoms. This is a rare case of intramedullary spinal cavernous hemangioma with cysto-rectal involvement in which neurological symptoms rapidly worsened following COVID-19 infection.</p><p><strong>Case: </strong>: A woman in her 30s was admitted to the hospital because of the sudden onset of muscle weakness in both lower limbs and cysto-rectal disturbances after COVID-19 infection. She was diagnosed with a hemorrhage from a spinal cord tumor and underwent emergency resection. The pathological diagnosis was a spinal cavernous hemangioma. At first, she had a spinal cord injury (third thoracic vertebrae; American Spinal Injury Association Impairment Scale, C; Frankel classification, B; with cysto-rectal impairment), but 2 months later, she started walking with knee-ankle-foot orthoses and parallel bars. After 3 months, she could move independently around the ward using a wheelchair. Upon discharge, the patient could walk with ankle-foot orthoses and Lofstrand crutches.</p><p><strong>Discussion: </strong>: COVID-19 is associated with various extrapulmonary manifestations and may increase the risk of hemorrhage in cases of intramedullary spinal cavernous hemangioma.</p>","PeriodicalId":74584,"journal":{"name":"Progress in rehabilitation medicine","volume":"9 ","pages":"20240027"},"PeriodicalIF":1.5000,"publicationDate":"2024-08-29","publicationTypes":"Journal Article","fieldsOfStudy":null,"isOpenAccess":false,"openAccessPdf":"https://www.ncbi.nlm.nih.gov/pmc/articles/PMC11350290/pdf/","citationCount":"0","resultStr":"{\"title\":\"A Case of Spinal Cavernous Hemangioma with Rapidly Worsening Neurological Symptoms after COVID-19 Infection.\",\"authors\":\"Nobuyuki Arai, Hiromasa Abe, Takashi Hiraoka, Kozo Hanayama\",\"doi\":\"10.2490/prm.20240027\",\"DOIUrl\":null,\"url\":null,\"abstract\":\"<p><strong>Background: </strong>: COVID-19 can cause respiratory symptoms, as well as various complications and sequelae. This report describes a patient with worsening neurological symptoms caused by a spinal cavernous hemangioma after infection with COVID-19. Cavernous hemangioma usually occurs in the upper part of the brain (70%-90%) and rarely occurs in the spinal cord (5%-7%). Approximately 65% of cases of intramedullary spinal cavernous hemangioma present with neurological symptoms, and more than half of these cases show a slow worsening of symptoms. This is a rare case of intramedullary spinal cavernous hemangioma with cysto-rectal involvement in which neurological symptoms rapidly worsened following COVID-19 infection.</p><p><strong>Case: </strong>: A woman in her 30s was admitted to the hospital because of the sudden onset of muscle weakness in both lower limbs and cysto-rectal disturbances after COVID-19 infection. She was diagnosed with a hemorrhage from a spinal cord tumor and underwent emergency resection. The pathological diagnosis was a spinal cavernous hemangioma. At first, she had a spinal cord injury (third thoracic vertebrae; American Spinal Injury Association Impairment Scale, C; Frankel classification, B; with cysto-rectal impairment), but 2 months later, she started walking with knee-ankle-foot orthoses and parallel bars. After 3 months, she could move independently around the ward using a wheelchair. Upon discharge, the patient could walk with ankle-foot orthoses and Lofstrand crutches.</p><p><strong>Discussion: </strong>: COVID-19 is associated with various extrapulmonary manifestations and may increase the risk of hemorrhage in cases of intramedullary spinal cavernous hemangioma.</p>\",\"PeriodicalId\":74584,\"journal\":{\"name\":\"Progress in rehabilitation medicine\",\"volume\":\"9 \",\"pages\":\"20240027\"},\"PeriodicalIF\":1.5000,\"publicationDate\":\"2024-08-29\",\"publicationTypes\":\"Journal Article\",\"fieldsOfStudy\":null,\"isOpenAccess\":false,\"openAccessPdf\":\"https://www.ncbi.nlm.nih.gov/pmc/articles/PMC11350290/pdf/\",\"citationCount\":\"0\",\"resultStr\":null,\"platform\":\"Semanticscholar\",\"paperid\":null,\"PeriodicalName\":\"Progress in rehabilitation medicine\",\"FirstCategoryId\":\"1085\",\"ListUrlMain\":\"https://doi.org/10.2490/prm.20240027\",\"RegionNum\":0,\"RegionCategory\":null,\"ArticlePicture\":[],\"TitleCN\":null,\"AbstractTextCN\":null,\"PMCID\":null,\"EPubDate\":\"2024/1/1 0:00:00\",\"PubModel\":\"eCollection\",\"JCR\":\"\",\"JCRName\":\"\",\"Score\":null,\"Total\":0}","platform":"Semanticscholar","paperid":null,"PeriodicalName":"Progress in rehabilitation medicine","FirstCategoryId":"1085","ListUrlMain":"https://doi.org/10.2490/prm.20240027","RegionNum":0,"RegionCategory":null,"ArticlePicture":[],"TitleCN":null,"AbstractTextCN":null,"PMCID":null,"EPubDate":"2024/1/1 0:00:00","PubModel":"eCollection","JCR":"","JCRName":"","Score":null,"Total":0}
引用次数: 0

摘要

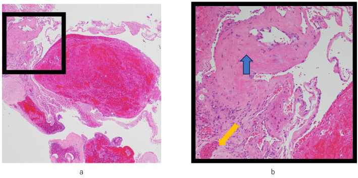
背景: :COVID-19 可引起呼吸道症状以及各种并发症和后遗症。本报告描述了一名感染 COVID-19 后因脊髓海绵状血管瘤导致神经系统症状恶化的患者。海绵状血管瘤通常发生在大脑上部(70%-90%),很少发生在脊髓(5%-7%)。大约 65% 的髓内脊髓海绵状血管瘤病例会出现神经系统症状,其中一半以上的病例症状会缓慢恶化。这是一例罕见的髓内脊髓海绵状血管瘤伴膀胱直肠受累病例,感染COVID-19后神经症状迅速恶化:一名 30 多岁的妇女因感染 COVID-19 后突然出现双下肢肌无力和膀胱直肠障碍而入院。她被诊断为脊髓肿瘤出血,并接受了急诊切除手术。病理诊断为脊髓海绵状血管瘤。起初,她有脊髓损伤(第三胸椎;美国脊髓损伤协会损伤量表,C;弗兰克尔分类,B;伴有膀胱直肠损伤),但 2 个月后,她开始使用膝踝足矫形器和平行杠行走。3 个月后,她可以独立使用轮椅在病房内走动。出院时,患者可以使用踝足矫形器和 Lofstrand 拐杖行走:COVID-19与各种肺外表现有关,可能会增加髓内脊柱海绵状血管瘤患者出血的风险。
本文章由计算机程序翻译,如有差异,请以英文原文为准。

A Case of Spinal Cavernous Hemangioma with Rapidly Worsening Neurological Symptoms after COVID-19 Infection.

A Case of Spinal Cavernous Hemangioma with Rapidly Worsening Neurological Symptoms after COVID-19 Infection.

A Case of Spinal Cavernous Hemangioma with Rapidly Worsening Neurological Symptoms after COVID-19 Infection.

A Case of Spinal Cavernous Hemangioma with Rapidly Worsening Neurological Symptoms after COVID-19 Infection.

Background: : COVID-19 can cause respiratory symptoms, as well as various complications and sequelae. This report describes a patient with worsening neurological symptoms caused by a spinal cavernous hemangioma after infection with COVID-19. Cavernous hemangioma usually occurs in the upper part of the brain (70%-90%) and rarely occurs in the spinal cord (5%-7%). Approximately 65% of cases of intramedullary spinal cavernous hemangioma present with neurological symptoms, and more than half of these cases show a slow worsening of symptoms. This is a rare case of intramedullary spinal cavernous hemangioma with cysto-rectal involvement in which neurological symptoms rapidly worsened following COVID-19 infection.

Case: : A woman in her 30s was admitted to the hospital because of the sudden onset of muscle weakness in both lower limbs and cysto-rectal disturbances after COVID-19 infection. She was diagnosed with a hemorrhage from a spinal cord tumor and underwent emergency resection. The pathological diagnosis was a spinal cavernous hemangioma. At first, she had a spinal cord injury (third thoracic vertebrae; American Spinal Injury Association Impairment Scale, C; Frankel classification, B; with cysto-rectal impairment), but 2 months later, she started walking with knee-ankle-foot orthoses and parallel bars. After 3 months, she could move independently around the ward using a wheelchair. Upon discharge, the patient could walk with ankle-foot orthoses and Lofstrand crutches.

Discussion: : COVID-19 is associated with various extrapulmonary manifestations and may increase the risk of hemorrhage in cases of intramedullary spinal cavernous hemangioma.

求助全文
通过发布文献求助,成功后即可免费获取论文全文。 去求助
来源期刊
自引率
0.00%
发文量
0
×
引用
GB/T 7714-2015
复制
MLA
复制
APA
复制
导出至
BibTeX EndNote RefMan NoteFirst NoteExpress
×
提示
您的信息不完整,为了账户安全,请先补充。
现在去补充
×
提示
您因"违规操作"
具体请查看互助需知
我知道了
×
提示
确定
请完成安全验证×
copy
已复制链接
快去分享给好友吧!
我知道了
右上角分享
点击右上角分享
0
联系我们:info@booksci.cn Book学术提供免费学术资源搜索服务,方便国内外学者检索中英文文献。致力于提供最便捷和优质的服务体验。 Copyright © 2023 布克学术 All rights reserved.
京ICP备2023020795号-1
ghs 京公网安备 11010802042870号
Book学术文献互助
Book学术文献互助群
群 号:604180095
Book学术官方微信