手术稳定一只猫的外伤性颈椎脱位。

IF 0.7 Q3 VETERINARY SCIENCES
Journal of Feline Medicine and Surgery Open Reports Pub Date : 2024-08-30 eCollection Date: 2024-07-01 DOI:10.1177/20551169241269292
Lisa Gugliotta, Quentin Cabon
{"title":"手术稳定一只猫的外伤性颈椎脱位。","authors":"Lisa Gugliotta, Quentin Cabon","doi":"10.1177/20551169241269292","DOIUrl":null,"url":null,"abstract":"<p><strong>Case summary: </strong>A 2-year-old spayed female domestic shorthair cat presented with tetraparesis after being involved in a road traffic accident. Survey spine radiographs revealed a C2-C3 cervical subluxation, which was confirmed by a CT scan. Surgical stabilisation was performed using screws and polymethyl methacrylate (PMMA) via a ventral approach. A postoperative CT scan demonstrated correct implant positioning and good reduction of the subluxation. After surgery, the cat rapidly recovered to a neurologically normal status.</p><p><strong>Relevance and novel information: </strong>Trauma-induced cervical subluxation is an uncommon occurrence in cats but should be considered in the differential diagnosis. This report describes the surgical management of a C2-C3 cervical subluxation in a cat using screws and PMMA. This is the first case report of a surgically treated subaxial cervical subluxation in a cat.</p>","PeriodicalId":36588,"journal":{"name":"Journal of Feline Medicine and Surgery Open Reports","volume":"10 2","pages":"20551169241269292"},"PeriodicalIF":0.7000,"publicationDate":"2024-08-30","publicationTypes":"Journal Article","fieldsOfStudy":null,"isOpenAccess":false,"openAccessPdf":"https://www.ncbi.nlm.nih.gov/pmc/articles/PMC11365023/pdf/","citationCount":"0","resultStr":"{\"title\":\"Surgical stabilisation of a traumatic cervical subluxation in a cat.\",\"authors\":\"Lisa Gugliotta, Quentin Cabon\",\"doi\":\"10.1177/20551169241269292\",\"DOIUrl\":null,\"url\":null,\"abstract\":\"<p><strong>Case summary: </strong>A 2-year-old spayed female domestic shorthair cat presented with tetraparesis after being involved in a road traffic accident. Survey spine radiographs revealed a C2-C3 cervical subluxation, which was confirmed by a CT scan. Surgical stabilisation was performed using screws and polymethyl methacrylate (PMMA) via a ventral approach. A postoperative CT scan demonstrated correct implant positioning and good reduction of the subluxation. After surgery, the cat rapidly recovered to a neurologically normal status.</p><p><strong>Relevance and novel information: </strong>Trauma-induced cervical subluxation is an uncommon occurrence in cats but should be considered in the differential diagnosis. This report describes the surgical management of a C2-C3 cervical subluxation in a cat using screws and PMMA. This is the first case report of a surgically treated subaxial cervical subluxation in a cat.</p>\",\"PeriodicalId\":36588,\"journal\":{\"name\":\"Journal of Feline Medicine and Surgery Open Reports\",\"volume\":\"10 2\",\"pages\":\"20551169241269292\"},\"PeriodicalIF\":0.7000,\"publicationDate\":\"2024-08-30\",\"publicationTypes\":\"Journal Article\",\"fieldsOfStudy\":null,\"isOpenAccess\":false,\"openAccessPdf\":\"https://www.ncbi.nlm.nih.gov/pmc/articles/PMC11365023/pdf/\",\"citationCount\":\"0\",\"resultStr\":null,\"platform\":\"Semanticscholar\",\"paperid\":null,\"PeriodicalName\":\"Journal of Feline Medicine and Surgery Open Reports\",\"FirstCategoryId\":\"1085\",\"ListUrlMain\":\"https://doi.org/10.1177/20551169241269292\",\"RegionNum\":0,\"RegionCategory\":null,\"ArticlePicture\":[],\"TitleCN\":null,\"AbstractTextCN\":null,\"PMCID\":null,\"EPubDate\":\"2024/7/1 0:00:00\",\"PubModel\":\"eCollection\",\"JCR\":\"Q3\",\"JCRName\":\"VETERINARY SCIENCES\",\"Score\":null,\"Total\":0}","platform":"Semanticscholar","paperid":null,"PeriodicalName":"Journal of Feline Medicine and Surgery Open Reports","FirstCategoryId":"1085","ListUrlMain":"https://doi.org/10.1177/20551169241269292","RegionNum":0,"RegionCategory":null,"ArticlePicture":[],"TitleCN":null,"AbstractTextCN":null,"PMCID":null,"EPubDate":"2024/7/1 0:00:00","PubModel":"eCollection","JCR":"Q3","JCRName":"VETERINARY SCIENCES","Score":null,"Total":0}
引用次数: 0

摘要

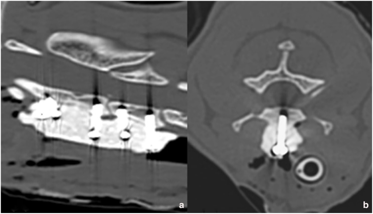
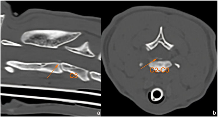
病例摘要:一只两岁大的绝育雌性短毛猫在一次交通事故后出现四肢瘫痪。脊柱放射线检查显示,C2-C3 颈椎脱位,CT 扫描证实了这一点。通过腹侧入路使用螺钉和聚甲基丙烯酸甲酯(PMMA)进行了手术稳定。术后 CT 扫描显示,植入物的位置正确,半脱位得到了很好的缓解。术后,猫咪的神经功能迅速恢复正常:外伤引起的颈椎半脱位在猫科动物中并不常见,但应在鉴别诊断中予以考虑。本报告描述了使用螺钉和 PMMA 对猫的 C2-C3 颈椎脱位进行手术治疗的情况。这是首例通过手术治疗猫颈椎轴下脱位的病例报告。
本文章由计算机程序翻译,如有差异,请以英文原文为准。

Surgical stabilisation of a traumatic cervical subluxation in a cat.

Surgical stabilisation of a traumatic cervical subluxation in a cat.

Surgical stabilisation of a traumatic cervical subluxation in a cat.

Surgical stabilisation of a traumatic cervical subluxation in a cat.

Case summary: A 2-year-old spayed female domestic shorthair cat presented with tetraparesis after being involved in a road traffic accident. Survey spine radiographs revealed a C2-C3 cervical subluxation, which was confirmed by a CT scan. Surgical stabilisation was performed using screws and polymethyl methacrylate (PMMA) via a ventral approach. A postoperative CT scan demonstrated correct implant positioning and good reduction of the subluxation. After surgery, the cat rapidly recovered to a neurologically normal status.

Relevance and novel information: Trauma-induced cervical subluxation is an uncommon occurrence in cats but should be considered in the differential diagnosis. This report describes the surgical management of a C2-C3 cervical subluxation in a cat using screws and PMMA. This is the first case report of a surgically treated subaxial cervical subluxation in a cat.

求助全文
通过发布文献求助,成功后即可免费获取论文全文。 去求助
来源期刊
CiteScore
1.30
自引率
14.30%
发文量
57
审稿时长
15 weeks
×
引用
GB/T 7714-2015
复制
MLA
复制
APA
复制
导出至
BibTeX EndNote RefMan NoteFirst NoteExpress
×
提示
您的信息不完整,为了账户安全,请先补充。
现在去补充
×
提示
您因"违规操作"
具体请查看互助需知
我知道了
×
提示
确定
请完成安全验证×
copy
已复制链接
快去分享给好友吧!
我知道了
右上角分享
点击右上角分享
0
联系我们:info@booksci.cn Book学术提供免费学术资源搜索服务,方便国内外学者检索中英文文献。致力于提供最便捷和优质的服务体验。 Copyright © 2023 布克学术 All rights reserved.
京ICP备2023020795号-1
ghs 京公网安备 11010802042870号
Book学术文献互助
Book学术文献互助群
群 号:604180095
Book学术官方微信