单侧乳头水肿伴双侧视神经鞘扩张:病例报告

Q3 Medicine
Raghda Shawky El-Gendy, Ahmad Shehata Abd El-Hamid, Ayman El-Sayed Ali Galhom, Nihal Adel Hassan, Ehab Mahmoud Ghoneim
{"title":"单侧乳头水肿伴双侧视神经鞘扩张:病例报告","authors":"Raghda Shawky El-Gendy, Ahmad Shehata Abd El-Hamid, Ayman El-Sayed Ali Galhom, Nihal Adel Hassan, Ehab Mahmoud Ghoneim","doi":"10.4274/tjo.galenos.2024.87243","DOIUrl":null,"url":null,"abstract":"<p><p>Bilateral edematous optic disc swelling from papilledema is caused by elevated intracranial pressure (ICP). Idiopathic intracranial hypertension (IIH), a clinical syndrome with elevated ICP of unclear etiology, is a frequent cause of this condition. IIH typically affects obese middle-aged females. Papilledema usually has a fairly symmetrical bilateral pattern. Unilateral papilledema is a rare disorder that must be detected early to avoid optic nerve damage. However, the etiology of unilateral papilledema remains unclear. Based on bilateral optic nerve sheath diameter measurements, we aimed to find an explanation for the unilaterality in this rare case.</p>","PeriodicalId":23373,"journal":{"name":"Turkish Journal of Ophthalmology","volume":"54 4","pages":"240-245"},"PeriodicalIF":0.0000,"publicationDate":"2024-08-28","publicationTypes":"Journal Article","fieldsOfStudy":null,"isOpenAccess":false,"openAccessPdf":"https://www.ncbi.nlm.nih.gov/pmc/articles/PMC11590702/pdf/","citationCount":"0","resultStr":"{\"title\":\"Unilateral Papilledema with Bilateral Optic Nerve Sheath Distension: A Case Report.\",\"authors\":\"Raghda Shawky El-Gendy, Ahmad Shehata Abd El-Hamid, Ayman El-Sayed Ali Galhom, Nihal Adel Hassan, Ehab Mahmoud Ghoneim\",\"doi\":\"10.4274/tjo.galenos.2024.87243\",\"DOIUrl\":null,\"url\":null,\"abstract\":\"<p><p>Bilateral edematous optic disc swelling from papilledema is caused by elevated intracranial pressure (ICP). Idiopathic intracranial hypertension (IIH), a clinical syndrome with elevated ICP of unclear etiology, is a frequent cause of this condition. IIH typically affects obese middle-aged females. Papilledema usually has a fairly symmetrical bilateral pattern. Unilateral papilledema is a rare disorder that must be detected early to avoid optic nerve damage. However, the etiology of unilateral papilledema remains unclear. Based on bilateral optic nerve sheath diameter measurements, we aimed to find an explanation for the unilaterality in this rare case.</p>\",\"PeriodicalId\":23373,\"journal\":{\"name\":\"Turkish Journal of Ophthalmology\",\"volume\":\"54 4\",\"pages\":\"240-245\"},\"PeriodicalIF\":0.0000,\"publicationDate\":\"2024-08-28\",\"publicationTypes\":\"Journal Article\",\"fieldsOfStudy\":null,\"isOpenAccess\":false,\"openAccessPdf\":\"https://www.ncbi.nlm.nih.gov/pmc/articles/PMC11590702/pdf/\",\"citationCount\":\"0\",\"resultStr\":null,\"platform\":\"Semanticscholar\",\"paperid\":null,\"PeriodicalName\":\"Turkish Journal of Ophthalmology\",\"FirstCategoryId\":\"1085\",\"ListUrlMain\":\"https://doi.org/10.4274/tjo.galenos.2024.87243\",\"RegionNum\":0,\"RegionCategory\":null,\"ArticlePicture\":[],\"TitleCN\":null,\"AbstractTextCN\":null,\"PMCID\":null,\"EPubDate\":\"\",\"PubModel\":\"\",\"JCR\":\"Q3\",\"JCRName\":\"Medicine\",\"Score\":null,\"Total\":0}","platform":"Semanticscholar","paperid":null,"PeriodicalName":"Turkish Journal of Ophthalmology","FirstCategoryId":"1085","ListUrlMain":"https://doi.org/10.4274/tjo.galenos.2024.87243","RegionNum":0,"RegionCategory":null,"ArticlePicture":[],"TitleCN":null,"AbstractTextCN":null,"PMCID":null,"EPubDate":"","PubModel":"","JCR":"Q3","JCRName":"Medicine","Score":null,"Total":0}
引用次数: 0

摘要

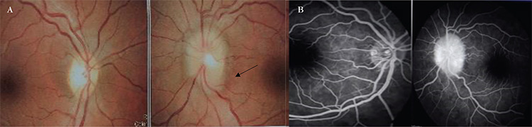
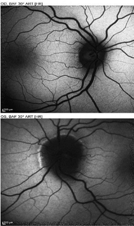
乳头水肿引起的双侧水肿性视盘肿胀是由颅内压(ICP)升高引起的。特发性颅内高压(IIH)是一种病因不明的ICP升高临床综合征,也是导致这种病症的常见原因。特发性颅内高压通常发生在肥胖的中年女性身上。乳头水肿通常呈相当对称的双侧模式。单侧乳头水肿是一种罕见的疾病,必须及早发现以避免视神经损伤。然而,单侧乳头水肿的病因仍不清楚。根据双侧视神经鞘直径的测量结果,我们旨在为这一罕见病例的单侧乳头水肿找到解释。
本文章由计算机程序翻译,如有差异,请以英文原文为准。

Unilateral Papilledema with Bilateral Optic Nerve Sheath Distension: A Case Report.

Unilateral Papilledema with Bilateral Optic Nerve Sheath Distension: A Case Report.

Unilateral Papilledema with Bilateral Optic Nerve Sheath Distension: A Case Report.

Unilateral Papilledema with Bilateral Optic Nerve Sheath Distension: A Case Report.

Bilateral edematous optic disc swelling from papilledema is caused by elevated intracranial pressure (ICP). Idiopathic intracranial hypertension (IIH), a clinical syndrome with elevated ICP of unclear etiology, is a frequent cause of this condition. IIH typically affects obese middle-aged females. Papilledema usually has a fairly symmetrical bilateral pattern. Unilateral papilledema is a rare disorder that must be detected early to avoid optic nerve damage. However, the etiology of unilateral papilledema remains unclear. Based on bilateral optic nerve sheath diameter measurements, we aimed to find an explanation for the unilaterality in this rare case.

求助全文
通过发布文献求助,成功后即可免费获取论文全文。 去求助
来源期刊
Turkish Journal of Ophthalmology
Turkish Journal of Ophthalmology Medicine-Ophthalmology
CiteScore
2.20
自引率
0.00%
发文量
0
期刊介绍: The Turkish Journal of Ophthalmology (TJO) is the only scientific periodical publication of the Turkish Ophthalmological Association and has been published since January 1929. In its early years, the journal was published in Turkish and French. Although there were temporary interruptions in the publication of the journal due to various challenges, the Turkish Journal of Ophthalmology has been published continually from 1971 to the present. The target audience includes specialists and physicians in training in ophthalmology in all relevant disciplines.
×
引用
GB/T 7714-2015
复制
MLA
复制
APA
复制
导出至
BibTeX EndNote RefMan NoteFirst NoteExpress
×
提示
您的信息不完整,为了账户安全,请先补充。
现在去补充
×
提示
您因"违规操作"
具体请查看互助需知
我知道了
×
提示
确定
请完成安全验证×
copy
已复制链接
快去分享给好友吧!
我知道了
右上角分享
点击右上角分享
0
联系我们:info@booksci.cn Book学术提供免费学术资源搜索服务,方便国内外学者检索中英文文献。致力于提供最便捷和优质的服务体验。 Copyright © 2023 布克学术 All rights reserved.
京ICP备2023020795号-1
ghs 京公网安备 11010802042870号
Book学术文献互助
Book学术文献互助群
群 号:604180095
Book学术官方微信