6 例 II 型成骨不全胎的病例系列:心脏病理学回顾性研究。

IF 1.3 4区 医学 Q3 PATHOLOGY
Pediatric and Developmental Pathology Pub Date : 2025-01-01 Epub Date: 2024-08-27 DOI:10.1177/10935266241272511
Sara J E Verdonk, Silvia Storoni, Lidiia Zhytnik, Dimitra Micha, Joost G van den Aardweg, Otto Kamp, Elisabeth M W Eekhoff, Marianna Bugiani
{"title":"6 例 II 型成骨不全胎的病例系列:心脏病理学回顾性研究。","authors":"Sara J E Verdonk, Silvia Storoni, Lidiia Zhytnik, Dimitra Micha, Joost G van den Aardweg, Otto Kamp, Elisabeth M W Eekhoff, Marianna Bugiani","doi":"10.1177/10935266241272511","DOIUrl":null,"url":null,"abstract":"<p><strong>Introduction: </strong>Osteogenesis imperfecta (OI) is a rare genetic disorder characterized by bone fragility. While skeletal manifestations are well documented, few studies have explored the effect of OI on the fetal heart. This retrospective case series investigates cardiac pathology in OI type II fetuses, aiming to address this gap.</p><p><strong>Methods: </strong>Medical records and autopsy reports of 6 genetically confirmed OI type II cases were examined. Fetuses had pathogenic variants in <i>COL1A1</i> or <i>PPIB</i>, inducing structural defects in collagen type I. In addition to hematoxylin and eosin and Elastic van Gieson staining, the expression of collagen type I, COL1A1 and COL1A2 chains was examined by immunohistochemistry.</p><p><strong>Results: </strong>Immunohistochemistry confirmed robust expression of collagen type I throughout the heart. Five fetuses had normal heart weight, while 1 had a low heart weight in the context of generalized growth retardation. None displayed structural heart anomalies.</p><p><strong>Conclusion: </strong>This study reveals robust collagen type I expression in the hearts of OI type II fetuses without structural anomalies. We hypothesize that collagen type I abnormalities may not be causative factors for heart anomalies during early embryonic development. Instead, their impact may be conceivably related to an increased susceptibility to degenerative changes later in life.</p>","PeriodicalId":54634,"journal":{"name":"Pediatric and Developmental Pathology","volume":" ","pages":"24-30"},"PeriodicalIF":1.3000,"publicationDate":"2025-01-01","publicationTypes":"Journal Article","fieldsOfStudy":null,"isOpenAccess":false,"openAccessPdf":"https://www.ncbi.nlm.nih.gov/pmc/articles/PMC11762339/pdf/","citationCount":"0","resultStr":"{\"title\":\"Case Series of 6 Fetuses With Osteogenesis Imperfecta Type II: A Retrospective Study of Heart Pathology.\",\"authors\":\"Sara J E Verdonk, Silvia Storoni, Lidiia Zhytnik, Dimitra Micha, Joost G van den Aardweg, Otto Kamp, Elisabeth M W Eekhoff, Marianna Bugiani\",\"doi\":\"10.1177/10935266241272511\",\"DOIUrl\":null,\"url\":null,\"abstract\":\"<p><strong>Introduction: </strong>Osteogenesis imperfecta (OI) is a rare genetic disorder characterized by bone fragility. While skeletal manifestations are well documented, few studies have explored the effect of OI on the fetal heart. This retrospective case series investigates cardiac pathology in OI type II fetuses, aiming to address this gap.</p><p><strong>Methods: </strong>Medical records and autopsy reports of 6 genetically confirmed OI type II cases were examined. Fetuses had pathogenic variants in <i>COL1A1</i> or <i>PPIB</i>, inducing structural defects in collagen type I. In addition to hematoxylin and eosin and Elastic van Gieson staining, the expression of collagen type I, COL1A1 and COL1A2 chains was examined by immunohistochemistry.</p><p><strong>Results: </strong>Immunohistochemistry confirmed robust expression of collagen type I throughout the heart. Five fetuses had normal heart weight, while 1 had a low heart weight in the context of generalized growth retardation. None displayed structural heart anomalies.</p><p><strong>Conclusion: </strong>This study reveals robust collagen type I expression in the hearts of OI type II fetuses without structural anomalies. We hypothesize that collagen type I abnormalities may not be causative factors for heart anomalies during early embryonic development. Instead, their impact may be conceivably related to an increased susceptibility to degenerative changes later in life.</p>\",\"PeriodicalId\":54634,\"journal\":{\"name\":\"Pediatric and Developmental Pathology\",\"volume\":\" \",\"pages\":\"24-30\"},\"PeriodicalIF\":1.3000,\"publicationDate\":\"2025-01-01\",\"publicationTypes\":\"Journal Article\",\"fieldsOfStudy\":null,\"isOpenAccess\":false,\"openAccessPdf\":\"https://www.ncbi.nlm.nih.gov/pmc/articles/PMC11762339/pdf/\",\"citationCount\":\"0\",\"resultStr\":null,\"platform\":\"Semanticscholar\",\"paperid\":null,\"PeriodicalName\":\"Pediatric and Developmental Pathology\",\"FirstCategoryId\":\"3\",\"ListUrlMain\":\"https://doi.org/10.1177/10935266241272511\",\"RegionNum\":4,\"RegionCategory\":\"医学\",\"ArticlePicture\":[],\"TitleCN\":null,\"AbstractTextCN\":null,\"PMCID\":null,\"EPubDate\":\"2024/8/27 0:00:00\",\"PubModel\":\"Epub\",\"JCR\":\"Q3\",\"JCRName\":\"PATHOLOGY\",\"Score\":null,\"Total\":0}","platform":"Semanticscholar","paperid":null,"PeriodicalName":"Pediatric and Developmental Pathology","FirstCategoryId":"3","ListUrlMain":"https://doi.org/10.1177/10935266241272511","RegionNum":4,"RegionCategory":"医学","ArticlePicture":[],"TitleCN":null,"AbstractTextCN":null,"PMCID":null,"EPubDate":"2024/8/27 0:00:00","PubModel":"Epub","JCR":"Q3","JCRName":"PATHOLOGY","Score":null,"Total":0}
引用次数: 0

摘要

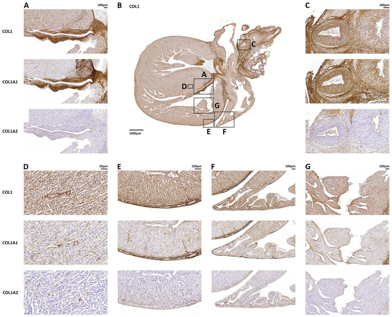
简介成骨不全症(OI)是一种以骨质脆弱为特征的罕见遗传性疾病。虽然骨骼表现已被充分记录,但很少有研究探讨 OI 对胎儿心脏的影响。本回顾性系列病例调查了 OI II 型胎儿的心脏病理学,旨在填补这一空白:方法:研究了6例经基因证实的OI II型胎儿的病历和尸检报告。除了苏木精、伊红和弹性范吉森染色法外,还用免疫组化法检测了 I 型胶原、COL1A1 和 COL1A2 链的表达:结果:免疫组化证实,整个心脏中 I 型胶原蛋白表达旺盛。5个胎儿的心脏重量正常,1个胎儿在普遍生长迟缓的情况下心脏重量偏低。没有一个胎儿出现心脏结构异常:这项研究揭示了在无结构异常的 OI II 型胎儿心脏中胶原 I 型的强表达。我们推测,I 型胶原异常可能不是早期胚胎发育过程中心脏异常的致病因素。相反,其影响可能与日后更易发生退行性变化有关。
本文章由计算机程序翻译,如有差异,请以英文原文为准。

Case Series of 6 Fetuses With Osteogenesis Imperfecta Type II: A Retrospective Study of Heart Pathology.

Case Series of 6 Fetuses With Osteogenesis Imperfecta Type II: A Retrospective Study of Heart Pathology.

Case Series of 6 Fetuses With Osteogenesis Imperfecta Type II: A Retrospective Study of Heart Pathology.

Case Series of 6 Fetuses With Osteogenesis Imperfecta Type II: A Retrospective Study of Heart Pathology.

Introduction: Osteogenesis imperfecta (OI) is a rare genetic disorder characterized by bone fragility. While skeletal manifestations are well documented, few studies have explored the effect of OI on the fetal heart. This retrospective case series investigates cardiac pathology in OI type II fetuses, aiming to address this gap.

Methods: Medical records and autopsy reports of 6 genetically confirmed OI type II cases were examined. Fetuses had pathogenic variants in COL1A1 or PPIB, inducing structural defects in collagen type I. In addition to hematoxylin and eosin and Elastic van Gieson staining, the expression of collagen type I, COL1A1 and COL1A2 chains was examined by immunohistochemistry.

Results: Immunohistochemistry confirmed robust expression of collagen type I throughout the heart. Five fetuses had normal heart weight, while 1 had a low heart weight in the context of generalized growth retardation. None displayed structural heart anomalies.

Conclusion: This study reveals robust collagen type I expression in the hearts of OI type II fetuses without structural anomalies. We hypothesize that collagen type I abnormalities may not be causative factors for heart anomalies during early embryonic development. Instead, their impact may be conceivably related to an increased susceptibility to degenerative changes later in life.

求助全文
通过发布文献求助,成功后即可免费获取论文全文。 去求助
来源期刊
CiteScore
3.70
自引率
5.30%
发文量
59
审稿时长
6-12 weeks
期刊介绍: The Journal covers the spectrum of disorders of early development (including embryology, placentology, and teratology), gestational and perinatal diseases, and all diseases of childhood. Studies may be in any field of experimental, anatomic, or clinical pathology, including molecular pathology. Case reports are published only if they provide new insights into disease mechanisms or new information.
×
引用
GB/T 7714-2015
复制
MLA
复制
APA
复制
导出至
BibTeX EndNote RefMan NoteFirst NoteExpress
×
提示
您的信息不完整,为了账户安全,请先补充。
现在去补充
×
提示
您因"违规操作"
具体请查看互助需知
我知道了
×
提示
确定
请完成安全验证×
copy
已复制链接
快去分享给好友吧!
我知道了
右上角分享
点击右上角分享
0
联系我们:info@booksci.cn Book学术提供免费学术资源搜索服务,方便国内外学者检索中英文文献。致力于提供最便捷和优质的服务体验。 Copyright © 2023 布克学术 All rights reserved.
京ICP备2023020795号-1
ghs 京公网安备 11010802042870号
Book学术文献互助
Book学术文献互助群
群 号:604180095
Book学术官方微信