使用两步法甲氨蝶呤成功治疗自发性单侧双子宫外孕

IF 0.8 Q4 OBSTETRICS & GYNECOLOGY
Case Reports in Obstetrics and Gynecology Pub Date : 2024-08-19 eCollection Date: 2024-01-01 DOI:10.1155/2024/5543780
Lauren A Forbes, Navya Nuthivana, Renee Morales
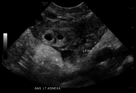
{"title":"使用两步法甲氨蝶呤成功治疗自发性单侧双子宫外孕","authors":"Lauren A Forbes, Navya Nuthivana, Renee Morales","doi":"10.1155/2024/5543780","DOIUrl":null,"url":null,"abstract":"<p><p>The incidence of unilateral tubal twin pregnancy is 1/20,000-1/250,000 with about 100 reported cases. Four of the six cases that were medically managed were successful. A 24-year-old female presented to the emergency department (ED) with vaginal bleeding and abdominal cramping. She was hemodynamically stable without signs of an acute abdomen. Laboratory evaluation revealed she was pregnant with a serum beta-human chorionic gonadotropin (b-hCG) of 798 mIU/mL. Transvaginal ultrasound (TVUS) revealed a single left tubal pregnancy with a yolk sac. The patient elected medical management with body surface area (BSA)-based intramuscular (IM) methotrexate (MTX). On Day 4, the patient returned to the ED; her b-hCG was 727 mIU/mL. TVUS revealed twin left tubal pregnancies with yolk sacs and fetal poles without cardiac activity. The patient elected to continue medical management with a second dose of BSA-based IM MTX. On Day 6, the patient returned to the ED with abdominal and rectal pain. She was hemodynamically stable without signs of an acute abdomen. Her b-hCG was 533 mIU/mL. TVUS showed persistent twin left tubal pregnancies-one at 5 weeks gestational age and the other at 6 weeks gestational age-without evidence of rupture. The patient continued serial b-hCGs. Thirty-one days after the first dose of MTX, her b-hCG was < 1 mIU/mL. TVUS showed resolution of tubal pregnancies. The patient consented to the publication of this case report. This case documents the successful treatment of spontaneous, unilateral tubal twin pregnancies with two-step dosing of IM MTX.</p>","PeriodicalId":9610,"journal":{"name":"Case Reports in Obstetrics and Gynecology","volume":"2024 ","pages":"5543780"},"PeriodicalIF":0.8000,"publicationDate":"2024-08-19","publicationTypes":"Journal Article","fieldsOfStudy":null,"isOpenAccess":false,"openAccessPdf":"https://www.ncbi.nlm.nih.gov/pmc/articles/PMC11347029/pdf/","citationCount":"0","resultStr":"{\"title\":\"Successful Management of Spontaneous Unilateral Twin Ectopic Pregnancy With Two-Step Dose of Methotrexate.\",\"authors\":\"Lauren A Forbes, Navya Nuthivana, Renee Morales\",\"doi\":\"10.1155/2024/5543780\",\"DOIUrl\":null,\"url\":null,\"abstract\":\"<p><p>The incidence of unilateral tubal twin pregnancy is 1/20,000-1/250,000 with about 100 reported cases. Four of the six cases that were medically managed were successful. A 24-year-old female presented to the emergency department (ED) with vaginal bleeding and abdominal cramping. She was hemodynamically stable without signs of an acute abdomen. Laboratory evaluation revealed she was pregnant with a serum beta-human chorionic gonadotropin (b-hCG) of 798 mIU/mL. Transvaginal ultrasound (TVUS) revealed a single left tubal pregnancy with a yolk sac. The patient elected medical management with body surface area (BSA)-based intramuscular (IM) methotrexate (MTX). On Day 4, the patient returned to the ED; her b-hCG was 727 mIU/mL. TVUS revealed twin left tubal pregnancies with yolk sacs and fetal poles without cardiac activity. The patient elected to continue medical management with a second dose of BSA-based IM MTX. On Day 6, the patient returned to the ED with abdominal and rectal pain. She was hemodynamically stable without signs of an acute abdomen. Her b-hCG was 533 mIU/mL. TVUS showed persistent twin left tubal pregnancies-one at 5 weeks gestational age and the other at 6 weeks gestational age-without evidence of rupture. The patient continued serial b-hCGs. Thirty-one days after the first dose of MTX, her b-hCG was < 1 mIU/mL. TVUS showed resolution of tubal pregnancies. The patient consented to the publication of this case report. This case documents the successful treatment of spontaneous, unilateral tubal twin pregnancies with two-step dosing of IM MTX.</p>\",\"PeriodicalId\":9610,\"journal\":{\"name\":\"Case Reports in Obstetrics and Gynecology\",\"volume\":\"2024 \",\"pages\":\"5543780\"},\"PeriodicalIF\":0.8000,\"publicationDate\":\"2024-08-19\",\"publicationTypes\":\"Journal Article\",\"fieldsOfStudy\":null,\"isOpenAccess\":false,\"openAccessPdf\":\"https://www.ncbi.nlm.nih.gov/pmc/articles/PMC11347029/pdf/\",\"citationCount\":\"0\",\"resultStr\":null,\"platform\":\"Semanticscholar\",\"paperid\":null,\"PeriodicalName\":\"Case Reports in Obstetrics and Gynecology\",\"FirstCategoryId\":\"1085\",\"ListUrlMain\":\"https://doi.org/10.1155/2024/5543780\",\"RegionNum\":0,\"RegionCategory\":null,\"ArticlePicture\":[],\"TitleCN\":null,\"AbstractTextCN\":null,\"PMCID\":null,\"EPubDate\":\"2024/1/1 0:00:00\",\"PubModel\":\"eCollection\",\"JCR\":\"Q4\",\"JCRName\":\"OBSTETRICS & GYNECOLOGY\",\"Score\":null,\"Total\":0}","platform":"Semanticscholar","paperid":null,"PeriodicalName":"Case Reports in Obstetrics and Gynecology","FirstCategoryId":"1085","ListUrlMain":"https://doi.org/10.1155/2024/5543780","RegionNum":0,"RegionCategory":null,"ArticlePicture":[],"TitleCN":null,"AbstractTextCN":null,"PMCID":null,"EPubDate":"2024/1/1 0:00:00","PubModel":"eCollection","JCR":"Q4","JCRName":"OBSTETRICS & GYNECOLOGY","Score":null,"Total":0}
引用次数: 0

摘要

单侧输卵管双胎妊娠的发病率为1/20,000-1/250,000,约有100例报道。在接受药物治疗的六例病例中,有四例取得了成功。一名 24 岁女性因阴道出血和腹部绞痛到急诊科就诊。她的血流动力学稳定,没有急腹症迹象。实验室评估显示她怀孕了,血清中的β-人绒毛膜促性腺激素(b-hCG)为798 mIU/mL。经阴道超声检查(TVUS)发现左侧单侧输卵管妊娠,并伴有卵黄囊。患者选择了以体表面积(BSA)为基础的肌肉注射(IM)甲氨蝶呤(MTX)药物治疗。第4天,患者返回急诊室;她的b-hCG为727 mIU/mL。TVUS 显示双胎左侧输卵管妊娠,卵黄囊和胎儿极无心活动。患者选择继续接受药物治疗,并服用了第二剂基于 BSA 的 IM MTX。第 6 天,患者因腹痛和直肠痛返回急诊室。她的血流动力学稳定,没有急腹症迹象。她的 b-hCG 为 533 mIU/mL。TVUS 显示左侧输卵管持续性双胎妊娠,其中一胎孕龄 5 周,另一胎孕龄 6 周,无破裂迹象。患者继续接受连续的 b-hCG 检查。在首次服用 MTX 31 天后,她的 b-hCG 为
本文章由计算机程序翻译,如有差异,请以英文原文为准。

Successful Management of Spontaneous Unilateral Twin Ectopic Pregnancy With Two-Step Dose of Methotrexate.

Successful Management of Spontaneous Unilateral Twin Ectopic Pregnancy With Two-Step Dose of Methotrexate.

Successful Management of Spontaneous Unilateral Twin Ectopic Pregnancy With Two-Step Dose of Methotrexate.

Successful Management of Spontaneous Unilateral Twin Ectopic Pregnancy With Two-Step Dose of Methotrexate.

The incidence of unilateral tubal twin pregnancy is 1/20,000-1/250,000 with about 100 reported cases. Four of the six cases that were medically managed were successful. A 24-year-old female presented to the emergency department (ED) with vaginal bleeding and abdominal cramping. She was hemodynamically stable without signs of an acute abdomen. Laboratory evaluation revealed she was pregnant with a serum beta-human chorionic gonadotropin (b-hCG) of 798 mIU/mL. Transvaginal ultrasound (TVUS) revealed a single left tubal pregnancy with a yolk sac. The patient elected medical management with body surface area (BSA)-based intramuscular (IM) methotrexate (MTX). On Day 4, the patient returned to the ED; her b-hCG was 727 mIU/mL. TVUS revealed twin left tubal pregnancies with yolk sacs and fetal poles without cardiac activity. The patient elected to continue medical management with a second dose of BSA-based IM MTX. On Day 6, the patient returned to the ED with abdominal and rectal pain. She was hemodynamically stable without signs of an acute abdomen. Her b-hCG was 533 mIU/mL. TVUS showed persistent twin left tubal pregnancies-one at 5 weeks gestational age and the other at 6 weeks gestational age-without evidence of rupture. The patient continued serial b-hCGs. Thirty-one days after the first dose of MTX, her b-hCG was < 1 mIU/mL. TVUS showed resolution of tubal pregnancies. The patient consented to the publication of this case report. This case documents the successful treatment of spontaneous, unilateral tubal twin pregnancies with two-step dosing of IM MTX.

求助全文
通过发布文献求助,成功后即可免费获取论文全文。 去求助
来源期刊
Case Reports in Obstetrics and Gynecology
Case Reports in Obstetrics and Gynecology Medicine-Obstetrics and Gynecology
CiteScore
1.30
自引率
0.00%
发文量
64
审稿时长
12 weeks
×
引用
GB/T 7714-2015
复制
MLA
复制
APA
复制
导出至
BibTeX EndNote RefMan NoteFirst NoteExpress
×
提示
您的信息不完整,为了账户安全,请先补充。
现在去补充
×
提示
您因"违规操作"
具体请查看互助需知
我知道了
×
提示
确定
请完成安全验证×
copy
已复制链接
快去分享给好友吧!
我知道了
右上角分享
点击右上角分享
0
联系我们:info@booksci.cn Book学术提供免费学术资源搜索服务,方便国内外学者检索中英文文献。致力于提供最便捷和优质的服务体验。 Copyright © 2023 布克学术 All rights reserved.
京ICP备2023020795号-1
ghs 京公网安备 11010802042870号
Book学术文献互助
Book学术文献互助群
群 号:604180095
Book学术官方微信