感染性心房血栓

IF 3.6 2区 医学 Q1 PEDIATRICS
Barah Hassan, Stefan Zalewski, Antony Hermuzi
{"title":"感染性心房血栓","authors":"Barah Hassan, Stefan Zalewski, Antony Hermuzi","doi":"10.1136/archdischild-2024-327552","DOIUrl":null,"url":null,"abstract":"","PeriodicalId":8177,"journal":{"name":"Archives of Disease in Childhood - Fetal and Neonatal Edition","volume":" ","pages":"428"},"PeriodicalIF":3.6000,"publicationDate":"2025-06-19","publicationTypes":"Journal Article","fieldsOfStudy":null,"isOpenAccess":false,"openAccessPdf":"https://www.ncbi.nlm.nih.gov/pmc/articles/PMC12229067/pdf/","citationCount":"0","resultStr":"{\"title\":\"Infective atrial thrombus.\",\"authors\":\"Barah Hassan, Stefan Zalewski, Antony Hermuzi\",\"doi\":\"10.1136/archdischild-2024-327552\",\"DOIUrl\":null,\"url\":null,\"abstract\":\"\",\"PeriodicalId\":8177,\"journal\":{\"name\":\"Archives of Disease in Childhood - Fetal and Neonatal Edition\",\"volume\":\" \",\"pages\":\"428\"},\"PeriodicalIF\":3.6000,\"publicationDate\":\"2025-06-19\",\"publicationTypes\":\"Journal Article\",\"fieldsOfStudy\":null,\"isOpenAccess\":false,\"openAccessPdf\":\"https://www.ncbi.nlm.nih.gov/pmc/articles/PMC12229067/pdf/\",\"citationCount\":\"0\",\"resultStr\":null,\"platform\":\"Semanticscholar\",\"paperid\":null,\"PeriodicalName\":\"Archives of Disease in Childhood - Fetal and Neonatal Edition\",\"FirstCategoryId\":\"3\",\"ListUrlMain\":\"https://doi.org/10.1136/archdischild-2024-327552\",\"RegionNum\":2,\"RegionCategory\":\"医学\",\"ArticlePicture\":[],\"TitleCN\":null,\"AbstractTextCN\":null,\"PMCID\":null,\"EPubDate\":\"\",\"PubModel\":\"\",\"JCR\":\"Q1\",\"JCRName\":\"PEDIATRICS\",\"Score\":null,\"Total\":0}","platform":"Semanticscholar","paperid":null,"PeriodicalName":"Archives of Disease in Childhood - Fetal and Neonatal Edition","FirstCategoryId":"3","ListUrlMain":"https://doi.org/10.1136/archdischild-2024-327552","RegionNum":2,"RegionCategory":"医学","ArticlePicture":[],"TitleCN":null,"AbstractTextCN":null,"PMCID":null,"EPubDate":"","PubModel":"","JCR":"Q1","JCRName":"PEDIATRICS","Score":null,"Total":0}
引用次数: 0

摘要

本文章由计算机程序翻译,如有差异,请以英文原文为准。

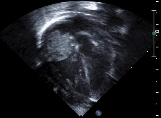
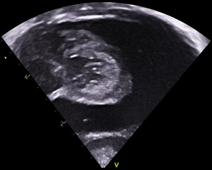
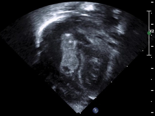
Infective atrial thrombus.

Infective atrial thrombus.

Infective atrial thrombus.

Infective atrial thrombus.
求助全文
通过发布文献求助,成功后即可免费获取论文全文。 去求助
来源期刊
CiteScore
9.00
自引率
4.50%
发文量
90
审稿时长
6-12 weeks
期刊介绍: Archives of Disease in Childhood is an international peer review journal that aims to keep paediatricians and others up to date with advances in the diagnosis and treatment of childhood diseases as well as advocacy issues such as child protection. It focuses on all aspects of child health and disease from the perinatal period (in the Fetal and Neonatal edition) through to adolescence. ADC includes original research reports, commentaries, reviews of clinical and policy issues, and evidence reports. Areas covered include: community child health, public health, epidemiology, acute paediatrics, advocacy, and ethics.
×
引用
GB/T 7714-2015
复制
MLA
复制
APA
复制
导出至
BibTeX EndNote RefMan NoteFirst NoteExpress
×
提示
您的信息不完整,为了账户安全,请先补充。
现在去补充
×
提示
您因"违规操作"
具体请查看互助需知
我知道了
×
提示
确定
请完成安全验证×
copy
已复制链接
快去分享给好友吧!
我知道了
右上角分享
点击右上角分享
0
联系我们:info@booksci.cn Book学术提供免费学术资源搜索服务,方便国内外学者检索中英文文献。致力于提供最便捷和优质的服务体验。 Copyright © 2023 布克学术 All rights reserved.
京ICP备2023020795号-1
ghs 京公网安备 11010802042870号
Book学术文献互助
Book学术文献互助群
群 号:604180095
Book学术官方微信