后科罗纳病毒病(COVID-19)时代儿科患者化疗导管卡住难以拔出--处理策略和文献综述。

Chuah Jun Sen, Yoong Chee Cheng
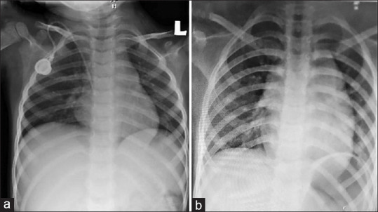
{"title":"后科罗纳病毒病(COVID-19)时代儿科患者化疗导管卡住难以拔出--处理策略和文献综述。","authors":"Chuah Jun Sen, Yoong Chee Cheng","doi":"10.4103/ajps.ajps_159_22","DOIUrl":null,"url":null,"abstract":"<p><strong>Abstract: </strong>A chemoport is widely used in paediatric oncology population. Removal is a relatively easy procedure, but difficulty can be encountered in case the catheter is densely adherent to the vascular wall. It is a rare complication and is associated with long indwelling duration and acute lymphoblastic leukaemia (ALL). Forceful traction can lead to vascular injury and high morbidity. Herein, we report a 7-year-old girl with precursor B ALL who had delayed chemoport removal due to the coronavirus disease (COVID-19) pandemic. The removal process was difficult, as the catheter was adherent to the right innominate vein. Out of panic, the surgeon pulled it out forcefully. Fortunately, the catheter and its fragment were successfully retrieved completely and the child was discharged the next day. The management strategy varies and ranges from minimally invasive to open surgery. Leaving a stuck chemoport catheter in situ can be a bailout method or part of conservative management.</p>","PeriodicalId":72123,"journal":{"name":"African journal of paediatric surgery : AJPS","volume":"21 3","pages":"204-206"},"PeriodicalIF":0.0000,"publicationDate":"2024-07-01","publicationTypes":"Journal Article","fieldsOfStudy":null,"isOpenAccess":false,"openAccessPdf":"https://www.ncbi.nlm.nih.gov/pmc/articles/PMC11379331/pdf/","citationCount":"0","resultStr":"{\"title\":\"Difficult Removal of a Stuck Chemoport Catheter of a Paediatric Patient in Post-Coronavirus Disease (COVID-19) Era - Management Strategies and Literature Review.\",\"authors\":\"Chuah Jun Sen, Yoong Chee Cheng\",\"doi\":\"10.4103/ajps.ajps_159_22\",\"DOIUrl\":null,\"url\":null,\"abstract\":\"<p><strong>Abstract: </strong>A chemoport is widely used in paediatric oncology population. Removal is a relatively easy procedure, but difficulty can be encountered in case the catheter is densely adherent to the vascular wall. It is a rare complication and is associated with long indwelling duration and acute lymphoblastic leukaemia (ALL). Forceful traction can lead to vascular injury and high morbidity. Herein, we report a 7-year-old girl with precursor B ALL who had delayed chemoport removal due to the coronavirus disease (COVID-19) pandemic. The removal process was difficult, as the catheter was adherent to the right innominate vein. Out of panic, the surgeon pulled it out forcefully. Fortunately, the catheter and its fragment were successfully retrieved completely and the child was discharged the next day. The management strategy varies and ranges from minimally invasive to open surgery. Leaving a stuck chemoport catheter in situ can be a bailout method or part of conservative management.</p>\",\"PeriodicalId\":72123,\"journal\":{\"name\":\"African journal of paediatric surgery : AJPS\",\"volume\":\"21 3\",\"pages\":\"204-206\"},\"PeriodicalIF\":0.0000,\"publicationDate\":\"2024-07-01\",\"publicationTypes\":\"Journal Article\",\"fieldsOfStudy\":null,\"isOpenAccess\":false,\"openAccessPdf\":\"https://www.ncbi.nlm.nih.gov/pmc/articles/PMC11379331/pdf/\",\"citationCount\":\"0\",\"resultStr\":null,\"platform\":\"Semanticscholar\",\"paperid\":null,\"PeriodicalName\":\"African journal of paediatric surgery : AJPS\",\"FirstCategoryId\":\"1085\",\"ListUrlMain\":\"https://doi.org/10.4103/ajps.ajps_159_22\",\"RegionNum\":0,\"RegionCategory\":null,\"ArticlePicture\":[],\"TitleCN\":null,\"AbstractTextCN\":null,\"PMCID\":null,\"EPubDate\":\"2023/7/20 0:00:00\",\"PubModel\":\"Epub\",\"JCR\":\"\",\"JCRName\":\"\",\"Score\":null,\"Total\":0}","platform":"Semanticscholar","paperid":null,"PeriodicalName":"African journal of paediatric surgery : AJPS","FirstCategoryId":"1085","ListUrlMain":"https://doi.org/10.4103/ajps.ajps_159_22","RegionNum":0,"RegionCategory":null,"ArticlePicture":[],"TitleCN":null,"AbstractTextCN":null,"PMCID":null,"EPubDate":"2023/7/20 0:00:00","PubModel":"Epub","JCR":"","JCRName":"","Score":null,"Total":0}
引用次数: 0

摘要

摘要:化学导管广泛用于儿科肿瘤患者。移除导管相对容易,但如果导管与血管壁紧密粘连,则会遇到困难。这是一种罕见的并发症,与留置时间长和急性淋巴细胞白血病(ALL)有关。强行牵引会导致血管损伤和高发病率。在此,我们报告了一名患有前体B型白血病的7岁女孩,由于冠状病毒病(COVID-19)大流行,她的化学导管被延迟拔除。移除过程十分困难,因为导管粘连在右侧腹股沟静脉上。出于恐慌,外科医生强行拔出了导管。幸运的是,导管及其碎片被成功完全取出,患儿第二天就出院了。处理策略各有不同,从微创手术到开放手术,不一而足。将卡住的化疗导管留在原位可以是一种救助方法,也可以是保守治疗的一部分。
本文章由计算机程序翻译,如有差异,请以英文原文为准。

Difficult Removal of a Stuck Chemoport Catheter of a Paediatric Patient in Post-Coronavirus Disease (COVID-19) Era - Management Strategies and Literature Review.

Difficult Removal of a Stuck Chemoport Catheter of a Paediatric Patient in Post-Coronavirus Disease (COVID-19) Era - Management Strategies and Literature Review.

Difficult Removal of a Stuck Chemoport Catheter of a Paediatric Patient in Post-Coronavirus Disease (COVID-19) Era - Management Strategies and Literature Review.

Abstract: A chemoport is widely used in paediatric oncology population. Removal is a relatively easy procedure, but difficulty can be encountered in case the catheter is densely adherent to the vascular wall. It is a rare complication and is associated with long indwelling duration and acute lymphoblastic leukaemia (ALL). Forceful traction can lead to vascular injury and high morbidity. Herein, we report a 7-year-old girl with precursor B ALL who had delayed chemoport removal due to the coronavirus disease (COVID-19) pandemic. The removal process was difficult, as the catheter was adherent to the right innominate vein. Out of panic, the surgeon pulled it out forcefully. Fortunately, the catheter and its fragment were successfully retrieved completely and the child was discharged the next day. The management strategy varies and ranges from minimally invasive to open surgery. Leaving a stuck chemoport catheter in situ can be a bailout method or part of conservative management.

求助全文
通过发布文献求助,成功后即可免费获取论文全文。 去求助
来源期刊
自引率
0.00%
发文量
0
×
引用
GB/T 7714-2015
复制
MLA
复制
APA
复制
导出至
BibTeX EndNote RefMan NoteFirst NoteExpress
×
提示
您的信息不完整,为了账户安全,请先补充。
现在去补充
×
提示
您因"违规操作"
具体请查看互助需知
我知道了
×
提示
确定
请完成安全验证×
copy
已复制链接
快去分享给好友吧!
我知道了
右上角分享
点击右上角分享
0
联系我们:info@booksci.cn Book学术提供免费学术资源搜索服务,方便国内外学者检索中英文文献。致力于提供最便捷和优质的服务体验。 Copyright © 2023 布克学术 All rights reserved.
京ICP备2023020795号-1
ghs 京公网安备 11010802042870号
Book学术文献互助
Book学术文献互助群
群 号:604180095
Book学术官方微信