食道脱模性纤维瘤病导致一名两岁女童出现食道憩室

Divya Murli, Vasundhara Smriti, Subhash Yadav, Bhakti Trivedi, Sajid S Qureshi
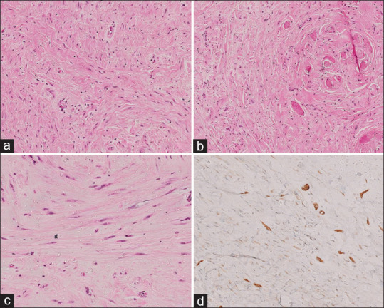
{"title":"食道脱模性纤维瘤病导致一名两岁女童出现食道憩室","authors":"Divya Murli, Vasundhara Smriti, Subhash Yadav, Bhakti Trivedi, Sajid S Qureshi","doi":"10.4103/ajps.ajps_120_22","DOIUrl":null,"url":null,"abstract":"<p><strong>Abstract: </strong>Extra-abdominal desmoid fibromatosis arising from the oesophagus and the contemporaneous traction diverticula due to an oesophageal tumour is extremely rare. We present this complex situation in a 2-year-old girl which posed a surgical challenge requiring simultaneous management of multiple pathologies. Surgery addressed both the entities and the presence of the diverticulum facilitated achieving negative surgical margins.</p>","PeriodicalId":72123,"journal":{"name":"African journal of paediatric surgery : AJPS","volume":"21 3","pages":"210-212"},"PeriodicalIF":0.0000,"publicationDate":"2024-07-01","publicationTypes":"Journal Article","fieldsOfStudy":null,"isOpenAccess":false,"openAccessPdf":"https://www.ncbi.nlm.nih.gov/pmc/articles/PMC11379330/pdf/","citationCount":"0","resultStr":"{\"title\":\"Desmoid Fibromatosis of the Oesophagus Creating an Oesophageal Diverticulum in a 2-year-old Girl.\",\"authors\":\"Divya Murli, Vasundhara Smriti, Subhash Yadav, Bhakti Trivedi, Sajid S Qureshi\",\"doi\":\"10.4103/ajps.ajps_120_22\",\"DOIUrl\":null,\"url\":null,\"abstract\":\"<p><strong>Abstract: </strong>Extra-abdominal desmoid fibromatosis arising from the oesophagus and the contemporaneous traction diverticula due to an oesophageal tumour is extremely rare. We present this complex situation in a 2-year-old girl which posed a surgical challenge requiring simultaneous management of multiple pathologies. Surgery addressed both the entities and the presence of the diverticulum facilitated achieving negative surgical margins.</p>\",\"PeriodicalId\":72123,\"journal\":{\"name\":\"African journal of paediatric surgery : AJPS\",\"volume\":\"21 3\",\"pages\":\"210-212\"},\"PeriodicalIF\":0.0000,\"publicationDate\":\"2024-07-01\",\"publicationTypes\":\"Journal Article\",\"fieldsOfStudy\":null,\"isOpenAccess\":false,\"openAccessPdf\":\"https://www.ncbi.nlm.nih.gov/pmc/articles/PMC11379330/pdf/\",\"citationCount\":\"0\",\"resultStr\":null,\"platform\":\"Semanticscholar\",\"paperid\":null,\"PeriodicalName\":\"African journal of paediatric surgery : AJPS\",\"FirstCategoryId\":\"1085\",\"ListUrlMain\":\"https://doi.org/10.4103/ajps.ajps_120_22\",\"RegionNum\":0,\"RegionCategory\":null,\"ArticlePicture\":[],\"TitleCN\":null,\"AbstractTextCN\":null,\"PMCID\":null,\"EPubDate\":\"2024/8/9 0:00:00\",\"PubModel\":\"Epub\",\"JCR\":\"\",\"JCRName\":\"\",\"Score\":null,\"Total\":0}","platform":"Semanticscholar","paperid":null,"PeriodicalName":"African journal of paediatric surgery : AJPS","FirstCategoryId":"1085","ListUrlMain":"https://doi.org/10.4103/ajps.ajps_120_22","RegionNum":0,"RegionCategory":null,"ArticlePicture":[],"TitleCN":null,"AbstractTextCN":null,"PMCID":null,"EPubDate":"2024/8/9 0:00:00","PubModel":"Epub","JCR":"","JCRName":"","Score":null,"Total":0}
引用次数: 0

摘要

摘要:由食道引起的腹腔外类脂样纤维瘤病以及同时因食道肿瘤引起的牵引性憩室极为罕见。我们介绍了一名两岁女孩的这种复杂情况,这种情况给手术带来了挑战,需要同时处理多种病变。手术同时处理了两种病变,憩室的存在有助于实现阴性手术切缘。
本文章由计算机程序翻译,如有差异,请以英文原文为准。

Desmoid Fibromatosis of the Oesophagus Creating an Oesophageal Diverticulum in a 2-year-old Girl.

Desmoid Fibromatosis of the Oesophagus Creating an Oesophageal Diverticulum in a 2-year-old Girl.

Desmoid Fibromatosis of the Oesophagus Creating an Oesophageal Diverticulum in a 2-year-old Girl.

Desmoid Fibromatosis of the Oesophagus Creating an Oesophageal Diverticulum in a 2-year-old Girl.

Abstract: Extra-abdominal desmoid fibromatosis arising from the oesophagus and the contemporaneous traction diverticula due to an oesophageal tumour is extremely rare. We present this complex situation in a 2-year-old girl which posed a surgical challenge requiring simultaneous management of multiple pathologies. Surgery addressed both the entities and the presence of the diverticulum facilitated achieving negative surgical margins.

求助全文
通过发布文献求助,成功后即可免费获取论文全文。 去求助
来源期刊
自引率
0.00%
发文量
0
×
引用
GB/T 7714-2015
复制
MLA
复制
APA
复制
导出至
BibTeX EndNote RefMan NoteFirst NoteExpress
×
提示
您的信息不完整,为了账户安全,请先补充。
现在去补充
×
提示
您因"违规操作"
具体请查看互助需知
我知道了
×
提示
确定
请完成安全验证×
copy
已复制链接
快去分享给好友吧!
我知道了
右上角分享
点击右上角分享
0
联系我们:info@booksci.cn Book学术提供免费学术资源搜索服务,方便国内外学者检索中英文文献。致力于提供最便捷和优质的服务体验。 Copyright © 2023 布克学术 All rights reserved.
京ICP备2023020795号-1
ghs 京公网安备 11010802042870号
Book学术文献互助
Book学术文献互助群
群 号:604180095
Book学术官方微信