儿童先天性肠系膜缺损伴肠管外疝:病例系列。

Kanjiyil Thamarapilli Sreekanth, Arun Kumar Loganathan, Harshjeet Singh Bal
{"title":"儿童先天性肠系膜缺损伴肠管外疝:病例系列。","authors":"Kanjiyil Thamarapilli Sreekanth, Arun Kumar Loganathan, Harshjeet Singh Bal","doi":"10.4103/ajps.ajps_150_22","DOIUrl":null,"url":null,"abstract":"<p><strong>Abstract: </strong>Transmesentric hernias are a type of internal hernia, in which there is herniation of bowel loops through a defect in the mesentery. They present with a wide variety of symptoms without any specific radiological features, leading to a delay in diagnosis and high mortality rate. Here, we present a case series of four patients with this rare but fatal cause of small bowel obstruction. Three children presented to the emergency department with small bowel obstruction. The other baby was a preterm neonate with an antenatal scan showing small bowel obstruction. All children underwent emergency laparotomy and were found to have a mesenteric defect with herniation and gangrene of the small bowel. Resection anastomosis of the gangrenous segment and closure of the mesenteric defect were done. The differential for small bowel obstruction in children should include transmesentric hernia. Laboratory or imaging investigations are often inconclusive. Timely exploration can save lives in this rare but life-threatening condition.</p>","PeriodicalId":72123,"journal":{"name":"African journal of paediatric surgery : AJPS","volume":"21 3","pages":"188-190"},"PeriodicalIF":0.0000,"publicationDate":"2024-07-01","publicationTypes":"Journal Article","fieldsOfStudy":null,"isOpenAccess":false,"openAccessPdf":"https://www.ncbi.nlm.nih.gov/pmc/articles/PMC11379327/pdf/","citationCount":"0","resultStr":"{\"title\":\"Congenital Mesenteric Defect with Transmesenteric Hernia in Children: A Case Series.\",\"authors\":\"Kanjiyil Thamarapilli Sreekanth, Arun Kumar Loganathan, Harshjeet Singh Bal\",\"doi\":\"10.4103/ajps.ajps_150_22\",\"DOIUrl\":null,\"url\":null,\"abstract\":\"<p><strong>Abstract: </strong>Transmesentric hernias are a type of internal hernia, in which there is herniation of bowel loops through a defect in the mesentery. They present with a wide variety of symptoms without any specific radiological features, leading to a delay in diagnosis and high mortality rate. Here, we present a case series of four patients with this rare but fatal cause of small bowel obstruction. Three children presented to the emergency department with small bowel obstruction. The other baby was a preterm neonate with an antenatal scan showing small bowel obstruction. All children underwent emergency laparotomy and were found to have a mesenteric defect with herniation and gangrene of the small bowel. Resection anastomosis of the gangrenous segment and closure of the mesenteric defect were done. The differential for small bowel obstruction in children should include transmesentric hernia. Laboratory or imaging investigations are often inconclusive. Timely exploration can save lives in this rare but life-threatening condition.</p>\",\"PeriodicalId\":72123,\"journal\":{\"name\":\"African journal of paediatric surgery : AJPS\",\"volume\":\"21 3\",\"pages\":\"188-190\"},\"PeriodicalIF\":0.0000,\"publicationDate\":\"2024-07-01\",\"publicationTypes\":\"Journal Article\",\"fieldsOfStudy\":null,\"isOpenAccess\":false,\"openAccessPdf\":\"https://www.ncbi.nlm.nih.gov/pmc/articles/PMC11379327/pdf/\",\"citationCount\":\"0\",\"resultStr\":null,\"platform\":\"Semanticscholar\",\"paperid\":null,\"PeriodicalName\":\"African journal of paediatric surgery : AJPS\",\"FirstCategoryId\":\"1085\",\"ListUrlMain\":\"https://doi.org/10.4103/ajps.ajps_150_22\",\"RegionNum\":0,\"RegionCategory\":null,\"ArticlePicture\":[],\"TitleCN\":null,\"AbstractTextCN\":null,\"PMCID\":null,\"EPubDate\":\"2023/4/10 0:00:00\",\"PubModel\":\"Epub\",\"JCR\":\"\",\"JCRName\":\"\",\"Score\":null,\"Total\":0}","platform":"Semanticscholar","paperid":null,"PeriodicalName":"African journal of paediatric surgery : AJPS","FirstCategoryId":"1085","ListUrlMain":"https://doi.org/10.4103/ajps.ajps_150_22","RegionNum":0,"RegionCategory":null,"ArticlePicture":[],"TitleCN":null,"AbstractTextCN":null,"PMCID":null,"EPubDate":"2023/4/10 0:00:00","PubModel":"Epub","JCR":"","JCRName":"","Score":null,"Total":0}
引用次数: 0

摘要

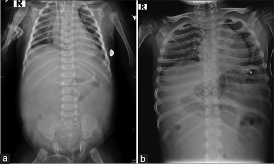
摘要:跨中心疝是内疝的一种,肠环通过肠系膜缺损疝出。这种疝的症状多种多样,但没有任何特殊的放射学特征,导致诊断延误和高死亡率。在这里,我们介绍了四例这种罕见但致命的小肠梗阻患者的系列病例。三名患儿因小肠梗阻就诊于急诊科。另一名患儿是早产新生儿,产前扫描显示为小肠梗阻。所有患儿都接受了急诊开腹手术,结果发现肠系膜缺损,小肠疝出和坏疽。医生对坏疽肠段进行了切除吻合,并缝合了肠系膜缺损。儿童小肠梗阻的鉴别诊断应包括跨中心疝。实验室或影像学检查往往无法得出结论。在这种罕见但危及生命的情况下,及时进行手术可以挽救生命。
本文章由计算机程序翻译,如有差异,请以英文原文为准。

Congenital Mesenteric Defect with Transmesenteric Hernia in Children: A Case Series.

Congenital Mesenteric Defect with Transmesenteric Hernia in Children: A Case Series.

Congenital Mesenteric Defect with Transmesenteric Hernia in Children: A Case Series.

Congenital Mesenteric Defect with Transmesenteric Hernia in Children: A Case Series.

Abstract: Transmesentric hernias are a type of internal hernia, in which there is herniation of bowel loops through a defect in the mesentery. They present with a wide variety of symptoms without any specific radiological features, leading to a delay in diagnosis and high mortality rate. Here, we present a case series of four patients with this rare but fatal cause of small bowel obstruction. Three children presented to the emergency department with small bowel obstruction. The other baby was a preterm neonate with an antenatal scan showing small bowel obstruction. All children underwent emergency laparotomy and were found to have a mesenteric defect with herniation and gangrene of the small bowel. Resection anastomosis of the gangrenous segment and closure of the mesenteric defect were done. The differential for small bowel obstruction in children should include transmesentric hernia. Laboratory or imaging investigations are often inconclusive. Timely exploration can save lives in this rare but life-threatening condition.

求助全文
通过发布文献求助,成功后即可免费获取论文全文。 去求助
来源期刊
自引率
0.00%
发文量
0
×
引用
GB/T 7714-2015
复制
MLA
复制
APA
复制
导出至
BibTeX EndNote RefMan NoteFirst NoteExpress
×
提示
您的信息不完整,为了账户安全,请先补充。
现在去补充
×
提示
您因"违规操作"
具体请查看互助需知
我知道了
×
提示
确定
请完成安全验证×
copy
已复制链接
快去分享给好友吧!
我知道了
右上角分享
点击右上角分享
0
联系我们:info@booksci.cn Book学术提供免费学术资源搜索服务,方便国内外学者检索中英文文献。致力于提供最便捷和优质的服务体验。 Copyright © 2023 布克学术 All rights reserved.
京ICP备2023020795号-1
ghs 京公网安备 11010802042870号
Book学术文献互助
Book学术文献互助群
群 号:604180095
Book学术官方微信