急性外伤性踝关节脱位:一种罕见但重要的临床症状,对 23 例病例进行了 15 年的回顾性放射学分析。

IF 1.3 Q3 RADIOLOGY, NUCLEAR MEDICINE & MEDICAL IMAGING
Journal of Clinical Imaging Science Pub Date : 2024-08-16 eCollection Date: 2024-01-01 DOI:10.25259/JCIS_8_2024
King Shing Yung, Hoi Ming Kwok, Nin Yuan Pan, Bill Archie Lo
{"title":"急性外伤性踝关节脱位:一种罕见但重要的临床症状,对 23 例病例进行了 15 年的回顾性放射学分析。","authors":"King Shing Yung, Hoi Ming Kwok, Nin Yuan Pan, Bill Archie Lo","doi":"10.25259/JCIS_8_2024","DOIUrl":null,"url":null,"abstract":"<p><strong>Objectives: </strong>The objectives of this study were to contribute to the limited existing knowledge about subtalar dislocations, analyze the computed tomography (CT) findings and advantages over radiography, and report the rate and potential risk factors of post-traumatic peri-talar osteoarthritis (OA).</p><p><strong>Material and methods: </strong>A total of 23 cases of traumatic subtalar dislocation during a 15-year period at three regional hospitals were retrospectively reviewed.</p><p><strong>Results: </strong>All 23 cases were closed dislocations. Successful close reduction was performed in 17 patients (73.9%) and 6 patients (26.1%) required open reduction and internal fixation. Twenty patients (87%) had associated foot and ankle fractures. Fractures of calcaneal medial tubercle were the most common (75%), followed by talar head (30%), sinus tarsi (25%), and medial malleolus (25%). The radiograph's sensitivity for identifying fractures was 48.1%. The mean follow-up period is 30 months. Symptomatic OA affected 8 patients (36.4%). No post-trauatic talar avascular necrosis was noted. Fractures were present in all of those patients with post-traumatic OA (100%). Three out of five patients who sustained high-energy mechanism injury developed radiographic OA (66.7%). Three out of six patients (50%) treated with open reduction and internal fixation also developed radiographic OA.</p><p><strong>Conclusion: </strong>Subtalar dislocation remains a rare injury. It is strongly associated with foot and ankle fractures. Fractures of the calcaneal medial tubercle were the most common. The risk of post-traumatic symptomatic peritalar OA is high. CT is useful in detecting occult fractures and injured bony subregions. We postulated potential risk factors of post-traumatic OA (fracture, high-energy mechanism of injury, open reduction, and internal fixation); however, this requires further study.</p>","PeriodicalId":15512,"journal":{"name":"Journal of Clinical Imaging Science","volume":"14 ","pages":"30"},"PeriodicalIF":1.3000,"publicationDate":"2024-08-16","publicationTypes":"Journal Article","fieldsOfStudy":null,"isOpenAccess":false,"openAccessPdf":"https://www.ncbi.nlm.nih.gov/pmc/articles/PMC11301796/pdf/","citationCount":"0","resultStr":"{\"title\":\"Acute traumatic subtalar dislocation: A rare but important clinical entity with 15-year retrospective radiological analysis of 23 cases.\",\"authors\":\"King Shing Yung, Hoi Ming Kwok, Nin Yuan Pan, Bill Archie Lo\",\"doi\":\"10.25259/JCIS_8_2024\",\"DOIUrl\":null,\"url\":null,\"abstract\":\"<p><strong>Objectives: </strong>The objectives of this study were to contribute to the limited existing knowledge about subtalar dislocations, analyze the computed tomography (CT) findings and advantages over radiography, and report the rate and potential risk factors of post-traumatic peri-talar osteoarthritis (OA).</p><p><strong>Material and methods: </strong>A total of 23 cases of traumatic subtalar dislocation during a 15-year period at three regional hospitals were retrospectively reviewed.</p><p><strong>Results: </strong>All 23 cases were closed dislocations. Successful close reduction was performed in 17 patients (73.9%) and 6 patients (26.1%) required open reduction and internal fixation. Twenty patients (87%) had associated foot and ankle fractures. Fractures of calcaneal medial tubercle were the most common (75%), followed by talar head (30%), sinus tarsi (25%), and medial malleolus (25%). The radiograph's sensitivity for identifying fractures was 48.1%. The mean follow-up period is 30 months. Symptomatic OA affected 8 patients (36.4%). No post-trauatic talar avascular necrosis was noted. Fractures were present in all of those patients with post-traumatic OA (100%). Three out of five patients who sustained high-energy mechanism injury developed radiographic OA (66.7%). Three out of six patients (50%) treated with open reduction and internal fixation also developed radiographic OA.</p><p><strong>Conclusion: </strong>Subtalar dislocation remains a rare injury. It is strongly associated with foot and ankle fractures. Fractures of the calcaneal medial tubercle were the most common. The risk of post-traumatic symptomatic peritalar OA is high. CT is useful in detecting occult fractures and injured bony subregions. We postulated potential risk factors of post-traumatic OA (fracture, high-energy mechanism of injury, open reduction, and internal fixation); however, this requires further study.</p>\",\"PeriodicalId\":15512,\"journal\":{\"name\":\"Journal of Clinical Imaging Science\",\"volume\":\"14 \",\"pages\":\"30\"},\"PeriodicalIF\":1.3000,\"publicationDate\":\"2024-08-16\",\"publicationTypes\":\"Journal Article\",\"fieldsOfStudy\":null,\"isOpenAccess\":false,\"openAccessPdf\":\"https://www.ncbi.nlm.nih.gov/pmc/articles/PMC11301796/pdf/\",\"citationCount\":\"0\",\"resultStr\":null,\"platform\":\"Semanticscholar\",\"paperid\":null,\"PeriodicalName\":\"Journal of Clinical Imaging Science\",\"FirstCategoryId\":\"1085\",\"ListUrlMain\":\"https://doi.org/10.25259/JCIS_8_2024\",\"RegionNum\":0,\"RegionCategory\":null,\"ArticlePicture\":[],\"TitleCN\":null,\"AbstractTextCN\":null,\"PMCID\":null,\"EPubDate\":\"2024/1/1 0:00:00\",\"PubModel\":\"eCollection\",\"JCR\":\"Q3\",\"JCRName\":\"RADIOLOGY, NUCLEAR MEDICINE & MEDICAL IMAGING\",\"Score\":null,\"Total\":0}","platform":"Semanticscholar","paperid":null,"PeriodicalName":"Journal of Clinical Imaging Science","FirstCategoryId":"1085","ListUrlMain":"https://doi.org/10.25259/JCIS_8_2024","RegionNum":0,"RegionCategory":null,"ArticlePicture":[],"TitleCN":null,"AbstractTextCN":null,"PMCID":null,"EPubDate":"2024/1/1 0:00:00","PubModel":"eCollection","JCR":"Q3","JCRName":"RADIOLOGY, NUCLEAR MEDICINE & MEDICAL IMAGING","Score":null,"Total":0}
引用次数: 0

摘要

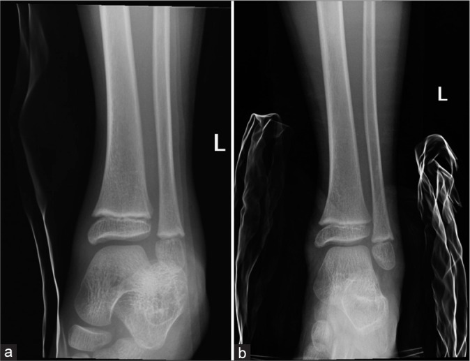
研究目的本研究的目的是为现有有限的关于跖骨下脱位的知识做出贡献,分析计算机断层扫描(CT)的结果和与放射摄影相比的优势,并报告创伤后跖骨周围骨关节炎(OA)的发病率和潜在风险因素:回顾性分析三家地区医院在 15 年间共 23 例创伤性跗骨下脱位病例:结果:所有23例均为闭合性脱位。结果:23 例均为闭合性脱位,其中 17 例(73.9%)成功进行了闭合复位,6 例(26.1%)需要进行开放复位和内固定。20名患者(87%)伴有足踝骨折。最常见的骨折部位是小腿骨内侧结节(75%),其次是距骨头(30%)、跗骨窦(25%)和内侧踝骨(25%)。X光片识别骨折的灵敏度为48.1%。平均随访时间为 30 个月。有症状的 OA 患者有 8 名(36.4%)。未发现创伤后距骨血管性坏死。所有创伤后 OA 患者(100%)均出现骨折。五名遭受高能量机制损伤的患者中有三人(66.7%)出现了放射性 OA。在接受切开复位和内固定治疗的六名患者中,有三名(50%)也出现了影像学上的 OA:结论:距骨脱位仍然是一种罕见的损伤。结论:距骨脱位仍是一种罕见的损伤,与足踝骨折密切相关。小腿内侧结节骨折最为常见。创伤后出现有症状的跗骨周围 OA 的风险很高。CT有助于检测隐性骨折和受伤的骨性亚区。我们推测了创伤后 OA 的潜在风险因素(骨折、高能量损伤机制、切开复位和内固定),但这还需要进一步研究。
本文章由计算机程序翻译,如有差异,请以英文原文为准。

Acute traumatic subtalar dislocation: A rare but important clinical entity with 15-year retrospective radiological analysis of 23 cases.

Acute traumatic subtalar dislocation: A rare but important clinical entity with 15-year retrospective radiological analysis of 23 cases.

Acute traumatic subtalar dislocation: A rare but important clinical entity with 15-year retrospective radiological analysis of 23 cases.

Acute traumatic subtalar dislocation: A rare but important clinical entity with 15-year retrospective radiological analysis of 23 cases.

Objectives: The objectives of this study were to contribute to the limited existing knowledge about subtalar dislocations, analyze the computed tomography (CT) findings and advantages over radiography, and report the rate and potential risk factors of post-traumatic peri-talar osteoarthritis (OA).

Material and methods: A total of 23 cases of traumatic subtalar dislocation during a 15-year period at three regional hospitals were retrospectively reviewed.

Results: All 23 cases were closed dislocations. Successful close reduction was performed in 17 patients (73.9%) and 6 patients (26.1%) required open reduction and internal fixation. Twenty patients (87%) had associated foot and ankle fractures. Fractures of calcaneal medial tubercle were the most common (75%), followed by talar head (30%), sinus tarsi (25%), and medial malleolus (25%). The radiograph's sensitivity for identifying fractures was 48.1%. The mean follow-up period is 30 months. Symptomatic OA affected 8 patients (36.4%). No post-trauatic talar avascular necrosis was noted. Fractures were present in all of those patients with post-traumatic OA (100%). Three out of five patients who sustained high-energy mechanism injury developed radiographic OA (66.7%). Three out of six patients (50%) treated with open reduction and internal fixation also developed radiographic OA.

Conclusion: Subtalar dislocation remains a rare injury. It is strongly associated with foot and ankle fractures. Fractures of the calcaneal medial tubercle were the most common. The risk of post-traumatic symptomatic peritalar OA is high. CT is useful in detecting occult fractures and injured bony subregions. We postulated potential risk factors of post-traumatic OA (fracture, high-energy mechanism of injury, open reduction, and internal fixation); however, this requires further study.

求助全文
通过发布文献求助,成功后即可免费获取论文全文。 去求助
来源期刊
Journal of Clinical Imaging Science
Journal of Clinical Imaging Science RADIOLOGY, NUCLEAR MEDICINE & MEDICAL IMAGING-
CiteScore
2.00
自引率
0.00%
发文量
65
期刊介绍: The Journal of Clinical Imaging Science (JCIS) is an open access peer-reviewed journal committed to publishing high-quality articles in the field of Imaging Science. The journal aims to present Imaging Science and relevant clinical information in an understandable and useful format. The journal is owned and published by the Scientific Scholar. Audience Our audience includes Radiologists, Researchers, Clinicians, medical professionals and students. Review process JCIS has a highly rigorous peer-review process that makes sure that manuscripts are scientifically accurate, relevant, novel and important. Authors disclose all conflicts, affiliations and financial associations such that the published content is not biased.
×
引用
GB/T 7714-2015
复制
MLA
复制
APA
复制
导出至
BibTeX EndNote RefMan NoteFirst NoteExpress
×
提示
您的信息不完整,为了账户安全,请先补充。
现在去补充
×
提示
您因"违规操作"
具体请查看互助需知
我知道了
×
提示
确定
请完成安全验证×
copy
已复制链接
快去分享给好友吧!
我知道了
右上角分享
点击右上角分享
0
联系我们:info@booksci.cn Book学术提供免费学术资源搜索服务,方便国内外学者检索中英文文献。致力于提供最便捷和优质的服务体验。 Copyright © 2023 布克学术 All rights reserved.
京ICP备2023020795号-1
ghs 京公网安备 11010802042870号
Book学术文献互助
Book学术文献互助群
群 号:604180095
Book学术官方微信