孕妇癫痫状态和低级别胶质瘤:病例报告与伦理考虑。

IF 0.6 Q4 CLINICAL NEUROLOGY
Case Reports in Neurology Pub Date : 2024-07-17 eCollection Date: 2024-01-01 DOI:10.1159/000539510
Andrew L Waack, Vito M Lucarelli, Amulya Marellapudi, Alisa Gega, Andrew J Zillgitt, Michael D Staudt
{"title":"孕妇癫痫状态和低级别胶质瘤:病例报告与伦理考虑。","authors":"Andrew L Waack, Vito M Lucarelli, Amulya Marellapudi, Alisa Gega, Andrew J Zillgitt, Michael D Staudt","doi":"10.1159/000539510","DOIUrl":null,"url":null,"abstract":"<p><strong>Introduction: </strong>The pregnant state may cause or exacerbate existing neurological disease. Gliomas appear to be influenced by the physiological changes that occur during pregnancy. The pregnant state may also cause seizures, including status epilepticus. There are currently no defined treatment guidelines to direct clinical decision making, and many of the commonly employed therapies are contraindicated during pregnancy.</p><p><strong>Case presentation: </strong>The current article describes the case of a 40-year-old G3P1101 female at 10 weeks' gestation, who sought medical care for recurrent left hemifacial twitching, eventually leading to nonconvulsive status epilepticus. Intubation and sedation were required to achieve seizure cessation. Imaging revealed a lobulated cystic mass in the right parietal lobe, suspicious for low-grade glioma. Despite thorough explanation of the potential risks, the patient adamantly wished to pursue surgical intervention. An uneventful craniotomy was performed for resection of a low-grade glioma. No patient or fetal complications were encountered, and the patient has not had any reported seizures since surgery.</p><p><strong>Discussion: </strong>Managing complex neurosurgical diseases in pregnant patients provides both clinical and ethical quandaries. We describe the successful management of a patient presenting with status epilepticus caused by an underlying glioma during pregnancy. Although challenging, favorable neurosurgical outcomes are possible during pregnancy.</p>","PeriodicalId":9639,"journal":{"name":"Case Reports in Neurology","volume":"16 1","pages":"196-203"},"PeriodicalIF":0.6000,"publicationDate":"2024-07-17","publicationTypes":"Journal Article","fieldsOfStudy":null,"isOpenAccess":false,"openAccessPdf":"https://www.ncbi.nlm.nih.gov/pmc/articles/PMC11324210/pdf/","citationCount":"0","resultStr":"{\"title\":\"Status Epilepticus and Low-Grade Glioma in the Pregnant State: Case Report and Ethical Considerations.\",\"authors\":\"Andrew L Waack, Vito M Lucarelli, Amulya Marellapudi, Alisa Gega, Andrew J Zillgitt, Michael D Staudt\",\"doi\":\"10.1159/000539510\",\"DOIUrl\":null,\"url\":null,\"abstract\":\"<p><strong>Introduction: </strong>The pregnant state may cause or exacerbate existing neurological disease. Gliomas appear to be influenced by the physiological changes that occur during pregnancy. The pregnant state may also cause seizures, including status epilepticus. There are currently no defined treatment guidelines to direct clinical decision making, and many of the commonly employed therapies are contraindicated during pregnancy.</p><p><strong>Case presentation: </strong>The current article describes the case of a 40-year-old G3P1101 female at 10 weeks' gestation, who sought medical care for recurrent left hemifacial twitching, eventually leading to nonconvulsive status epilepticus. Intubation and sedation were required to achieve seizure cessation. Imaging revealed a lobulated cystic mass in the right parietal lobe, suspicious for low-grade glioma. Despite thorough explanation of the potential risks, the patient adamantly wished to pursue surgical intervention. An uneventful craniotomy was performed for resection of a low-grade glioma. No patient or fetal complications were encountered, and the patient has not had any reported seizures since surgery.</p><p><strong>Discussion: </strong>Managing complex neurosurgical diseases in pregnant patients provides both clinical and ethical quandaries. We describe the successful management of a patient presenting with status epilepticus caused by an underlying glioma during pregnancy. Although challenging, favorable neurosurgical outcomes are possible during pregnancy.</p>\",\"PeriodicalId\":9639,\"journal\":{\"name\":\"Case Reports in Neurology\",\"volume\":\"16 1\",\"pages\":\"196-203\"},\"PeriodicalIF\":0.6000,\"publicationDate\":\"2024-07-17\",\"publicationTypes\":\"Journal Article\",\"fieldsOfStudy\":null,\"isOpenAccess\":false,\"openAccessPdf\":\"https://www.ncbi.nlm.nih.gov/pmc/articles/PMC11324210/pdf/\",\"citationCount\":\"0\",\"resultStr\":null,\"platform\":\"Semanticscholar\",\"paperid\":null,\"PeriodicalName\":\"Case Reports in Neurology\",\"FirstCategoryId\":\"1085\",\"ListUrlMain\":\"https://doi.org/10.1159/000539510\",\"RegionNum\":0,\"RegionCategory\":null,\"ArticlePicture\":[],\"TitleCN\":null,\"AbstractTextCN\":null,\"PMCID\":null,\"EPubDate\":\"2024/1/1 0:00:00\",\"PubModel\":\"eCollection\",\"JCR\":\"Q4\",\"JCRName\":\"CLINICAL NEUROLOGY\",\"Score\":null,\"Total\":0}","platform":"Semanticscholar","paperid":null,"PeriodicalName":"Case Reports in Neurology","FirstCategoryId":"1085","ListUrlMain":"https://doi.org/10.1159/000539510","RegionNum":0,"RegionCategory":null,"ArticlePicture":[],"TitleCN":null,"AbstractTextCN":null,"PMCID":null,"EPubDate":"2024/1/1 0:00:00","PubModel":"eCollection","JCR":"Q4","JCRName":"CLINICAL NEUROLOGY","Score":null,"Total":0}
引用次数: 0

摘要

导言:妊娠状态可能会导致或加重现有的神经系统疾病。神经胶质瘤似乎会受到孕期生理变化的影响。妊娠状态也可能导致癫痫发作,包括癫痫状态。目前还没有明确的治疗指南来指导临床决策,而且许多常用疗法在妊娠期间都是禁忌的:本文描述的病例是一名 40 岁的 G3P1101 女性,妊娠 10 周时因反复左侧面部抽搐就医,最终导致非惊厥性癫痫状态。需要插管和使用镇静剂才能停止发作。影像学检查发现患者右顶叶有一个分叶状囊性肿块,怀疑是低级别胶质瘤。尽管向患者详细解释了手术的潜在风险,但患者仍坚决要求进行手术治疗。手术顺利进行,切除了低级别胶质瘤。患者和胎儿均未出现并发症,术后也未报告有癫痫发作:讨论:对妊娠患者进行复杂的神经外科疾病治疗既是临床难题,也是伦理难题。我们描述了对一名妊娠期因潜在胶质瘤导致癫痫状态的患者的成功治疗。尽管具有挑战性,但妊娠期神经外科手术仍有可能取得良好的效果。
本文章由计算机程序翻译,如有差异,请以英文原文为准。

Status Epilepticus and Low-Grade Glioma in the Pregnant State: Case Report and Ethical Considerations.

Status Epilepticus and Low-Grade Glioma in the Pregnant State: Case Report and Ethical Considerations.

Status Epilepticus and Low-Grade Glioma in the Pregnant State: Case Report and Ethical Considerations.

Introduction: The pregnant state may cause or exacerbate existing neurological disease. Gliomas appear to be influenced by the physiological changes that occur during pregnancy. The pregnant state may also cause seizures, including status epilepticus. There are currently no defined treatment guidelines to direct clinical decision making, and many of the commonly employed therapies are contraindicated during pregnancy.

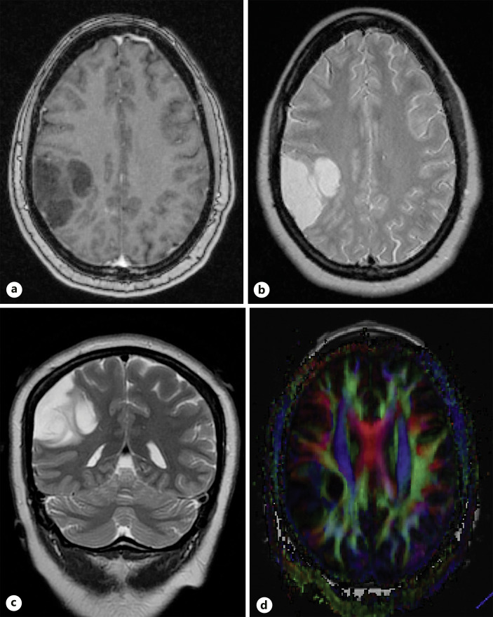
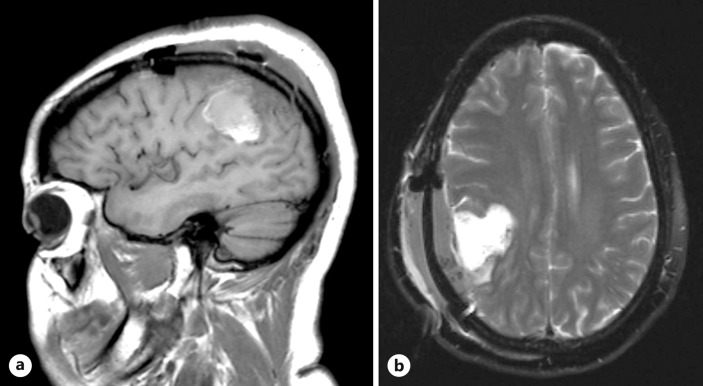
Case presentation: The current article describes the case of a 40-year-old G3P1101 female at 10 weeks' gestation, who sought medical care for recurrent left hemifacial twitching, eventually leading to nonconvulsive status epilepticus. Intubation and sedation were required to achieve seizure cessation. Imaging revealed a lobulated cystic mass in the right parietal lobe, suspicious for low-grade glioma. Despite thorough explanation of the potential risks, the patient adamantly wished to pursue surgical intervention. An uneventful craniotomy was performed for resection of a low-grade glioma. No patient or fetal complications were encountered, and the patient has not had any reported seizures since surgery.

Discussion: Managing complex neurosurgical diseases in pregnant patients provides both clinical and ethical quandaries. We describe the successful management of a patient presenting with status epilepticus caused by an underlying glioma during pregnancy. Although challenging, favorable neurosurgical outcomes are possible during pregnancy.

求助全文
通过发布文献求助,成功后即可免费获取论文全文。 去求助
来源期刊
Case Reports in Neurology
Case Reports in Neurology Medicine-Neurology (clinical)
CiteScore
1.50
自引率
0.00%
发文量
67
审稿时长
14 weeks
期刊介绍: This new peer-reviewed online-only journal publishes original case reports covering the entire spectrum of neurology. Clinicians and researchers are given a tool to disseminate their personal experience to a wider public as well as to review interesting cases encountered by colleagues all over the world. To complement the contributions supplementary material is welcomed. The reports are searchable according to the key words supplied by the authors; it will thus be possible to search across the entire growing collection of case reports with universally used terms, further facilitating the retrieval of specific information. Following the open access principle, the entire contents can be retrieved at no charge, guaranteeing easy access to this valuable source of anecdotal information at all times.
×
引用
GB/T 7714-2015
复制
MLA
复制
APA
复制
导出至
BibTeX EndNote RefMan NoteFirst NoteExpress
×
提示
您的信息不完整,为了账户安全,请先补充。
现在去补充
×
提示
您因"违规操作"
具体请查看互助需知
我知道了
×
提示
确定
请完成安全验证×
copy
已复制链接
快去分享给好友吧!
我知道了
右上角分享
点击右上角分享
0
联系我们:info@booksci.cn Book学术提供免费学术资源搜索服务,方便国内外学者检索中英文文献。致力于提供最便捷和优质的服务体验。 Copyright © 2023 布克学术 All rights reserved.
京ICP备2023020795号-1
ghs 京公网安备 11010802042870号
Book学术文献互助
Book学术文献互助群
群 号:604180095
Book学术官方微信