食道结核是吞咽困难的罕见病因:病例报告。

IF 0.6 Q4 GASTROENTEROLOGY & HEPATOLOGY
Case Reports in Gastroenterology Pub Date : 2024-08-01 eCollection Date: 2024-01-01 DOI:10.1159/000540292
Billy Zhao, Hyun Jae Kim, Jessica Farrell, Wei Xiong, Jennifer Telford, Sarvee Moosavi
{"title":"食道结核是吞咽困难的罕见病因:病例报告。","authors":"Billy Zhao, Hyun Jae Kim, Jessica Farrell, Wei Xiong, Jennifer Telford, Sarvee Moosavi","doi":"10.1159/000540292","DOIUrl":null,"url":null,"abstract":"<p><strong>Introduction: </strong>The esophagus and duodenum are rare sites of manifestation for extrapulmonary tuberculosis (TB). Its rarity makes the diagnosis challenging, especially when no other organ is involved, and the endoscopic findings may resemble malignancy.</p><p><strong>Case presentation: </strong>We report a unique case of a 37-year-old woman who presented with dysphagia secondary to esophageal TB with an endoscopic appearance of a submucosal mass resembling malignancy.</p><p><strong>Conclusion: </strong>Esophageal TB is a rare cause of dysphagia, especially in a western setting. It should always be considered as a potential etiology in patients with dysphagia.</p>","PeriodicalId":9614,"journal":{"name":"Case Reports in Gastroenterology","volume":"18 1","pages":"395-401"},"PeriodicalIF":0.6000,"publicationDate":"2024-08-01","publicationTypes":"Journal Article","fieldsOfStudy":null,"isOpenAccess":false,"openAccessPdf":"https://www.ncbi.nlm.nih.gov/pmc/articles/PMC11324283/pdf/","citationCount":"0","resultStr":"{\"title\":\"Esophageal Tuberculosis as a Rare Cause of Dysphagia: Case Report.\",\"authors\":\"Billy Zhao, Hyun Jae Kim, Jessica Farrell, Wei Xiong, Jennifer Telford, Sarvee Moosavi\",\"doi\":\"10.1159/000540292\",\"DOIUrl\":null,\"url\":null,\"abstract\":\"<p><strong>Introduction: </strong>The esophagus and duodenum are rare sites of manifestation for extrapulmonary tuberculosis (TB). Its rarity makes the diagnosis challenging, especially when no other organ is involved, and the endoscopic findings may resemble malignancy.</p><p><strong>Case presentation: </strong>We report a unique case of a 37-year-old woman who presented with dysphagia secondary to esophageal TB with an endoscopic appearance of a submucosal mass resembling malignancy.</p><p><strong>Conclusion: </strong>Esophageal TB is a rare cause of dysphagia, especially in a western setting. It should always be considered as a potential etiology in patients with dysphagia.</p>\",\"PeriodicalId\":9614,\"journal\":{\"name\":\"Case Reports in Gastroenterology\",\"volume\":\"18 1\",\"pages\":\"395-401\"},\"PeriodicalIF\":0.6000,\"publicationDate\":\"2024-08-01\",\"publicationTypes\":\"Journal Article\",\"fieldsOfStudy\":null,\"isOpenAccess\":false,\"openAccessPdf\":\"https://www.ncbi.nlm.nih.gov/pmc/articles/PMC11324283/pdf/\",\"citationCount\":\"0\",\"resultStr\":null,\"platform\":\"Semanticscholar\",\"paperid\":null,\"PeriodicalName\":\"Case Reports in Gastroenterology\",\"FirstCategoryId\":\"1085\",\"ListUrlMain\":\"https://doi.org/10.1159/000540292\",\"RegionNum\":0,\"RegionCategory\":null,\"ArticlePicture\":[],\"TitleCN\":null,\"AbstractTextCN\":null,\"PMCID\":null,\"EPubDate\":\"2024/1/1 0:00:00\",\"PubModel\":\"eCollection\",\"JCR\":\"Q4\",\"JCRName\":\"GASTROENTEROLOGY & HEPATOLOGY\",\"Score\":null,\"Total\":0}","platform":"Semanticscholar","paperid":null,"PeriodicalName":"Case Reports in Gastroenterology","FirstCategoryId":"1085","ListUrlMain":"https://doi.org/10.1159/000540292","RegionNum":0,"RegionCategory":null,"ArticlePicture":[],"TitleCN":null,"AbstractTextCN":null,"PMCID":null,"EPubDate":"2024/1/1 0:00:00","PubModel":"eCollection","JCR":"Q4","JCRName":"GASTROENTEROLOGY & HEPATOLOGY","Score":null,"Total":0}
引用次数: 0

摘要

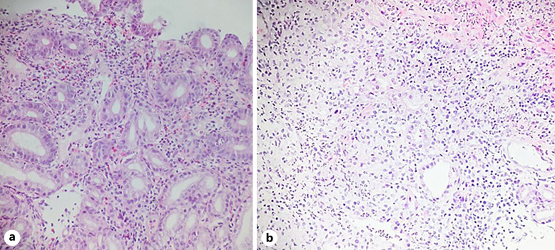
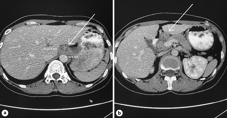
导言:食管和十二指肠是肺外结核(TB)的罕见表现部位。其罕见性使诊断具有挑战性,尤其是当没有其他器官受累时,内镜检查结果可能与恶性肿瘤相似:我们报告了一例独特的病例,一名 37 岁的女性因食管结核继发吞咽困难,内镜下出现类似恶性肿瘤的粘膜下肿块:结论:食管结核是吞咽困难的罕见病因,尤其是在西方国家。结论:食管结核是导致吞咽困难的罕见病因,尤其是在西方环境中,应始终将其视为吞咽困难患者的潜在病因。
本文章由计算机程序翻译,如有差异,请以英文原文为准。

Esophageal Tuberculosis as a Rare Cause of Dysphagia: Case Report.

Esophageal Tuberculosis as a Rare Cause of Dysphagia: Case Report.

Esophageal Tuberculosis as a Rare Cause of Dysphagia: Case Report.

Esophageal Tuberculosis as a Rare Cause of Dysphagia: Case Report.

Introduction: The esophagus and duodenum are rare sites of manifestation for extrapulmonary tuberculosis (TB). Its rarity makes the diagnosis challenging, especially when no other organ is involved, and the endoscopic findings may resemble malignancy.

Case presentation: We report a unique case of a 37-year-old woman who presented with dysphagia secondary to esophageal TB with an endoscopic appearance of a submucosal mass resembling malignancy.

Conclusion: Esophageal TB is a rare cause of dysphagia, especially in a western setting. It should always be considered as a potential etiology in patients with dysphagia.

求助全文
通过发布文献求助,成功后即可免费获取论文全文。 去求助
来源期刊
Case Reports in Gastroenterology
Case Reports in Gastroenterology Medicine-Gastroenterology
CiteScore
1.10
自引率
0.00%
发文量
99
审稿时长
7 weeks
期刊介绍:
×
引用
GB/T 7714-2015
复制
MLA
复制
APA
复制
导出至
BibTeX EndNote RefMan NoteFirst NoteExpress
×
提示
您的信息不完整,为了账户安全,请先补充。
现在去补充
×
提示
您因"违规操作"
具体请查看互助需知
我知道了
×
提示
确定
请完成安全验证×
copy
已复制链接
快去分享给好友吧!
我知道了
右上角分享
点击右上角分享
0
联系我们:info@booksci.cn Book学术提供免费学术资源搜索服务,方便国内外学者检索中英文文献。致力于提供最便捷和优质的服务体验。 Copyright © 2023 布克学术 All rights reserved.
京ICP备2023020795号-1
ghs 京公网安备 11010802042870号
Book学术文献互助
Book学术文献互助群
群 号:604180095
Book学术官方微信