首次描述阿伐替尼对散发性肠系膜蝶形细胞瘤的临床活性

IF 0.6 Q4 ONCOLOGY
Case Reports in Oncological Medicine Pub Date : 2024-08-05 eCollection Date: 2024-01-01 DOI:10.1155/2024/8684418
Rebecca Ganzon, Wei Chen, Gabriel Tinoco
{"title":"首次描述阿伐替尼对散发性肠系膜蝶形细胞瘤的临床活性","authors":"Rebecca Ganzon, Wei Chen, Gabriel Tinoco","doi":"10.1155/2024/8684418","DOIUrl":null,"url":null,"abstract":"<p><p>Desmoid tumors (DTs) are rare and locally aggressive with a high rate of local recurrence even with optimal surgical resection. Systemic treatments are often utilized for desmoid cases with high risk of surgical morbidity or for local and symptomatic control of recurrent disease. However, the systemic treatment options for DTs are limited with limited responses. Avapritinib is a tyrosine kinase inhibitor (TKI) approved in 2020 for adults with unresectable or metastatic gastrointestinal (GI) stromal tumors (GISTs) harboring a platelet-derived growth factor receptor alpha (PDGFRA) Exon 18 mutation, including D842V mutations. In this case report, we describe a 55-year-old man with a history of D842V-mutant gastric GIST who presented several years after complete resection of the GIST with an enlarging soft tissue mass in the small intestine. After a nondiagnostic biopsy, the patient was started on avapritinib due to concerns for recurrent D842V-mutant GIST. The tumor had a partial response to treatment by RECIST 1.1 criteria, and the patient underwent surgical resection. The final pathology report revealed a sporadic DT. To our knowledge, this is the first known description of the activity of avapritinib in the treatment of a sporadic mesenteric DT, which is relevant given the limited treatment options for patients with this diagnosis. This clinical finding may be worth exploring in a dedicated clinical trial.</p>","PeriodicalId":9636,"journal":{"name":"Case Reports in Oncological Medicine","volume":"2024 ","pages":"8684418"},"PeriodicalIF":0.6000,"publicationDate":"2024-08-05","publicationTypes":"Journal Article","fieldsOfStudy":null,"isOpenAccess":false,"openAccessPdf":"https://www.ncbi.nlm.nih.gov/pmc/articles/PMC11319063/pdf/","citationCount":"0","resultStr":"{\"title\":\"First Description of the Clinical Activity of Avapritinib in Sporadic Mesenteric Desmoid Tumor.\",\"authors\":\"Rebecca Ganzon, Wei Chen, Gabriel Tinoco\",\"doi\":\"10.1155/2024/8684418\",\"DOIUrl\":null,\"url\":null,\"abstract\":\"<p><p>Desmoid tumors (DTs) are rare and locally aggressive with a high rate of local recurrence even with optimal surgical resection. Systemic treatments are often utilized for desmoid cases with high risk of surgical morbidity or for local and symptomatic control of recurrent disease. However, the systemic treatment options for DTs are limited with limited responses. Avapritinib is a tyrosine kinase inhibitor (TKI) approved in 2020 for adults with unresectable or metastatic gastrointestinal (GI) stromal tumors (GISTs) harboring a platelet-derived growth factor receptor alpha (PDGFRA) Exon 18 mutation, including D842V mutations. In this case report, we describe a 55-year-old man with a history of D842V-mutant gastric GIST who presented several years after complete resection of the GIST with an enlarging soft tissue mass in the small intestine. After a nondiagnostic biopsy, the patient was started on avapritinib due to concerns for recurrent D842V-mutant GIST. The tumor had a partial response to treatment by RECIST 1.1 criteria, and the patient underwent surgical resection. The final pathology report revealed a sporadic DT. To our knowledge, this is the first known description of the activity of avapritinib in the treatment of a sporadic mesenteric DT, which is relevant given the limited treatment options for patients with this diagnosis. This clinical finding may be worth exploring in a dedicated clinical trial.</p>\",\"PeriodicalId\":9636,\"journal\":{\"name\":\"Case Reports in Oncological Medicine\",\"volume\":\"2024 \",\"pages\":\"8684418\"},\"PeriodicalIF\":0.6000,\"publicationDate\":\"2024-08-05\",\"publicationTypes\":\"Journal Article\",\"fieldsOfStudy\":null,\"isOpenAccess\":false,\"openAccessPdf\":\"https://www.ncbi.nlm.nih.gov/pmc/articles/PMC11319063/pdf/\",\"citationCount\":\"0\",\"resultStr\":null,\"platform\":\"Semanticscholar\",\"paperid\":null,\"PeriodicalName\":\"Case Reports in Oncological Medicine\",\"FirstCategoryId\":\"1085\",\"ListUrlMain\":\"https://doi.org/10.1155/2024/8684418\",\"RegionNum\":0,\"RegionCategory\":null,\"ArticlePicture\":[],\"TitleCN\":null,\"AbstractTextCN\":null,\"PMCID\":null,\"EPubDate\":\"2024/1/1 0:00:00\",\"PubModel\":\"eCollection\",\"JCR\":\"Q4\",\"JCRName\":\"ONCOLOGY\",\"Score\":null,\"Total\":0}","platform":"Semanticscholar","paperid":null,"PeriodicalName":"Case Reports in Oncological Medicine","FirstCategoryId":"1085","ListUrlMain":"https://doi.org/10.1155/2024/8684418","RegionNum":0,"RegionCategory":null,"ArticlePicture":[],"TitleCN":null,"AbstractTextCN":null,"PMCID":null,"EPubDate":"2024/1/1 0:00:00","PubModel":"eCollection","JCR":"Q4","JCRName":"ONCOLOGY","Score":null,"Total":0}
引用次数: 0

摘要

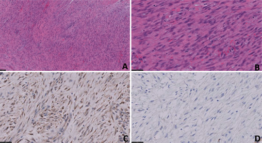
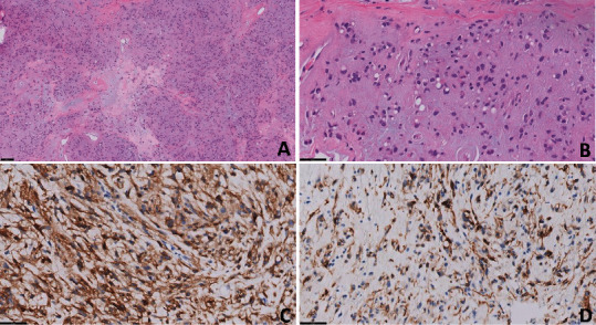
蝶形细胞瘤(DTs)是一种罕见的局部侵袭性肿瘤,即使进行了最佳的手术切除,局部复发率也很高。对于手术发病风险较高的类脂样瘤病例,或者为了控制复发疾病的局部症状,通常会采用全身治疗。然而,DTs 的全身治疗方案有限,且疗效不佳。阿伐替尼是一种酪氨酸激酶抑制剂(TKI),于2020年获批用于治疗携带血小板衍生生长因子受体α(PDGFRA)外显子18突变(包括D842V突变)的不可切除或转移性胃肠道间质瘤(GIST)成人患者。在本病例报告中,我们描述了一名 55 岁的男性,他曾患有 D842V 突变的胃 GIST,在胃 GIST 完全切除术后数年出现小肠软组织肿块增大。在进行无诊断性活检后,由于担心 D842V 突变 GIST 复发,患者开始接受阿伐替尼治疗。根据 RECIST 1.1 标准,肿瘤对治疗有部分反应,患者接受了手术切除。最终的病理报告显示患者为散发性 DT。据我们所知,这是首次描述阿伐替尼在治疗散发性肠系膜 DT 中的活性。这一临床发现值得在专门的临床试验中进行探索。
本文章由计算机程序翻译,如有差异,请以英文原文为准。

First Description of the Clinical Activity of Avapritinib in Sporadic Mesenteric Desmoid Tumor.

First Description of the Clinical Activity of Avapritinib in Sporadic Mesenteric Desmoid Tumor.

First Description of the Clinical Activity of Avapritinib in Sporadic Mesenteric Desmoid Tumor.

First Description of the Clinical Activity of Avapritinib in Sporadic Mesenteric Desmoid Tumor.

Desmoid tumors (DTs) are rare and locally aggressive with a high rate of local recurrence even with optimal surgical resection. Systemic treatments are often utilized for desmoid cases with high risk of surgical morbidity or for local and symptomatic control of recurrent disease. However, the systemic treatment options for DTs are limited with limited responses. Avapritinib is a tyrosine kinase inhibitor (TKI) approved in 2020 for adults with unresectable or metastatic gastrointestinal (GI) stromal tumors (GISTs) harboring a platelet-derived growth factor receptor alpha (PDGFRA) Exon 18 mutation, including D842V mutations. In this case report, we describe a 55-year-old man with a history of D842V-mutant gastric GIST who presented several years after complete resection of the GIST with an enlarging soft tissue mass in the small intestine. After a nondiagnostic biopsy, the patient was started on avapritinib due to concerns for recurrent D842V-mutant GIST. The tumor had a partial response to treatment by RECIST 1.1 criteria, and the patient underwent surgical resection. The final pathology report revealed a sporadic DT. To our knowledge, this is the first known description of the activity of avapritinib in the treatment of a sporadic mesenteric DT, which is relevant given the limited treatment options for patients with this diagnosis. This clinical finding may be worth exploring in a dedicated clinical trial.

求助全文
通过发布文献求助,成功后即可免费获取论文全文。 去求助
来源期刊
自引率
0.00%
发文量
11
审稿时长
16 weeks
期刊介绍: Case Reports in Oncological Medicine is a peer-reviewed, Open Access journal that publishes case reports and case series related to breast cancer, lung cancer, gastrointestinal cancer, skin cancer, head and neck cancer, paediatric oncology, neurooncology as well as genitourinary cancer.
×
引用
GB/T 7714-2015
复制
MLA
复制
APA
复制
导出至
BibTeX EndNote RefMan NoteFirst NoteExpress
×
提示
您的信息不完整,为了账户安全,请先补充。
现在去补充
×
提示
您因"违规操作"
具体请查看互助需知
我知道了
×
提示
确定
请完成安全验证×
copy
已复制链接
快去分享给好友吧!
我知道了
右上角分享
点击右上角分享
0
联系我们:info@booksci.cn Book学术提供免费学术资源搜索服务,方便国内外学者检索中英文文献。致力于提供最便捷和优质的服务体验。 Copyright © 2023 布克学术 All rights reserved.
京ICP备2023020795号-1
ghs 京公网安备 11010802042870号
Book学术文献互助
Book学术文献互助群
群 号:604180095
Book学术官方微信