女性生殖道腺癌中 GATA3 免疫组化表达的发生率和模式

Q3 Medicine
Iranian Journal of Pathology Pub Date : 2024-01-01 Epub Date: 2024-01-29 DOI:10.30699/IJP.2024.2016228.3217
Elham Mirzaian, Tahereh Doustmohammadi, Mahshid Panahi, Soheila Sarmadi, Fereshteh Ameli, Fatemeh Nili
{"title":"女性生殖道腺癌中 GATA3 免疫组化表达的发生率和模式","authors":"Elham Mirzaian, Tahereh Doustmohammadi, Mahshid Panahi, Soheila Sarmadi, Fereshteh Ameli, Fatemeh Nili","doi":"10.30699/IJP.2024.2016228.3217","DOIUrl":null,"url":null,"abstract":"<p><strong>Background & objective: </strong>GATA3 immunohistochemistry has been described as a highly sensitive marker in determining carcinomas of breast and urothelial origin. In the gynecologic system, it can be used as a marker to diagnose mesonephric or mesonephric-like carcinomas and trophoblastic tumors. The present study was performed to determine the diagnostic value of GATA3 in gynecological adenocarcinomas.</p><p><strong>Methods: </strong>A total of 187 samples from different types of endometrial, endocervical, and ovarian carcinomas were analyzed for intensity and percentage of GATA3 expression in tumor cells. The relationship between GATA3 expression and clinicopathological parameters was investigated.</p><p><strong>Results: </strong>A total of 187 patients including 101 ovarian, 77 endometrial, and 9 endocervical adenocarcinomas were investigated. Weak and focal expression of this marker was observed in 5. 1% (4/77) endometrial, 12.9% (13/101) ovarian, and 11.1% (1/9) endocervical adenocarcinomas. The mean H score in all subtypes was less than 10.6 (2-35). There was no statistically significant correlation between GATA3 expression in tumor cells with clinical stage, and tumor recurrence or metastasis.</p><p><strong>Conclusion: </strong>GATA3 is infrequently, weak, or focally expressed in most of the common gynecological adenocarcinomas.</p>","PeriodicalId":38900,"journal":{"name":"Iranian Journal of Pathology","volume":"19 2","pages":"218-224"},"PeriodicalIF":0.0000,"publicationDate":"2024-01-01","publicationTypes":"Journal Article","fieldsOfStudy":null,"isOpenAccess":false,"openAccessPdf":"https://www.ncbi.nlm.nih.gov/pmc/articles/PMC11304466/pdf/","citationCount":"0","resultStr":"{\"title\":\"Prevalence and Pattern of GATA3 Immunohistochemical Expression in Female Genital Tract Adenocarcinomas.\",\"authors\":\"Elham Mirzaian, Tahereh Doustmohammadi, Mahshid Panahi, Soheila Sarmadi, Fereshteh Ameli, Fatemeh Nili\",\"doi\":\"10.30699/IJP.2024.2016228.3217\",\"DOIUrl\":null,\"url\":null,\"abstract\":\"<p><strong>Background & objective: </strong>GATA3 immunohistochemistry has been described as a highly sensitive marker in determining carcinomas of breast and urothelial origin. In the gynecologic system, it can be used as a marker to diagnose mesonephric or mesonephric-like carcinomas and trophoblastic tumors. The present study was performed to determine the diagnostic value of GATA3 in gynecological adenocarcinomas.</p><p><strong>Methods: </strong>A total of 187 samples from different types of endometrial, endocervical, and ovarian carcinomas were analyzed for intensity and percentage of GATA3 expression in tumor cells. The relationship between GATA3 expression and clinicopathological parameters was investigated.</p><p><strong>Results: </strong>A total of 187 patients including 101 ovarian, 77 endometrial, and 9 endocervical adenocarcinomas were investigated. Weak and focal expression of this marker was observed in 5. 1% (4/77) endometrial, 12.9% (13/101) ovarian, and 11.1% (1/9) endocervical adenocarcinomas. The mean H score in all subtypes was less than 10.6 (2-35). There was no statistically significant correlation between GATA3 expression in tumor cells with clinical stage, and tumor recurrence or metastasis.</p><p><strong>Conclusion: </strong>GATA3 is infrequently, weak, or focally expressed in most of the common gynecological adenocarcinomas.</p>\",\"PeriodicalId\":38900,\"journal\":{\"name\":\"Iranian Journal of Pathology\",\"volume\":\"19 2\",\"pages\":\"218-224\"},\"PeriodicalIF\":0.0000,\"publicationDate\":\"2024-01-01\",\"publicationTypes\":\"Journal Article\",\"fieldsOfStudy\":null,\"isOpenAccess\":false,\"openAccessPdf\":\"https://www.ncbi.nlm.nih.gov/pmc/articles/PMC11304466/pdf/\",\"citationCount\":\"0\",\"resultStr\":null,\"platform\":\"Semanticscholar\",\"paperid\":null,\"PeriodicalName\":\"Iranian Journal of Pathology\",\"FirstCategoryId\":\"1085\",\"ListUrlMain\":\"https://doi.org/10.30699/IJP.2024.2016228.3217\",\"RegionNum\":0,\"RegionCategory\":null,\"ArticlePicture\":[],\"TitleCN\":null,\"AbstractTextCN\":null,\"PMCID\":null,\"EPubDate\":\"2024/1/29 0:00:00\",\"PubModel\":\"Epub\",\"JCR\":\"Q3\",\"JCRName\":\"Medicine\",\"Score\":null,\"Total\":0}","platform":"Semanticscholar","paperid":null,"PeriodicalName":"Iranian Journal of Pathology","FirstCategoryId":"1085","ListUrlMain":"https://doi.org/10.30699/IJP.2024.2016228.3217","RegionNum":0,"RegionCategory":null,"ArticlePicture":[],"TitleCN":null,"AbstractTextCN":null,"PMCID":null,"EPubDate":"2024/1/29 0:00:00","PubModel":"Epub","JCR":"Q3","JCRName":"Medicine","Score":null,"Total":0}
引用次数: 0

摘要

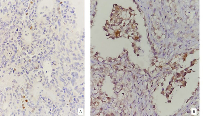
背景与目的:GATA3 免疫组织化学已被描述为确定乳腺癌和尿道癌的高度敏感标记物。在妇科系统中,它可作为诊断肾间质或肾间质样癌和滋养细胞肿瘤的标志物。本研究旨在确定 GATA3 在妇科腺癌中的诊断价值:方法:共分析了 187 份不同类型的子宫内膜癌、宫颈内膜癌和卵巢癌样本,检测肿瘤细胞中 GATA3 的表达强度和百分比。研究了 GATA3 表达与临床病理参数之间的关系:共调查了 187 例患者,包括 101 例卵巢癌、77 例子宫内膜癌和 9 例宫颈内膜腺癌。在 5.1%(4/77)子宫内膜腺癌、12.9%(13/101)卵巢腺癌和 11.1%(1/9)宫颈内膜腺癌中观察到该标记物的弱和局灶性表达。所有亚型的平均 H 评分均低于 10.6(2-35)。GATA3在肿瘤细胞中的表达与临床分期、肿瘤复发或转移之间没有统计学意义上的相关性:结论:GATA3在大多数常见妇科腺癌中很少表达、表达较弱或局部表达。
本文章由计算机程序翻译,如有差异,请以英文原文为准。

Prevalence and Pattern of GATA3 Immunohistochemical Expression in Female Genital Tract Adenocarcinomas.

Prevalence and Pattern of GATA3 Immunohistochemical Expression in Female Genital Tract Adenocarcinomas.

Prevalence and Pattern of GATA3 Immunohistochemical Expression in Female Genital Tract Adenocarcinomas.

Background & objective: GATA3 immunohistochemistry has been described as a highly sensitive marker in determining carcinomas of breast and urothelial origin. In the gynecologic system, it can be used as a marker to diagnose mesonephric or mesonephric-like carcinomas and trophoblastic tumors. The present study was performed to determine the diagnostic value of GATA3 in gynecological adenocarcinomas.

Methods: A total of 187 samples from different types of endometrial, endocervical, and ovarian carcinomas were analyzed for intensity and percentage of GATA3 expression in tumor cells. The relationship between GATA3 expression and clinicopathological parameters was investigated.

Results: A total of 187 patients including 101 ovarian, 77 endometrial, and 9 endocervical adenocarcinomas were investigated. Weak and focal expression of this marker was observed in 5. 1% (4/77) endometrial, 12.9% (13/101) ovarian, and 11.1% (1/9) endocervical adenocarcinomas. The mean H score in all subtypes was less than 10.6 (2-35). There was no statistically significant correlation between GATA3 expression in tumor cells with clinical stage, and tumor recurrence or metastasis.

Conclusion: GATA3 is infrequently, weak, or focally expressed in most of the common gynecological adenocarcinomas.

求助全文
通过发布文献求助,成功后即可免费获取论文全文。 去求助
来源期刊
Iranian Journal of Pathology
Iranian Journal of Pathology Medicine-Pathology and Forensic Medicine
CiteScore
2.00
自引率
0.00%
发文量
99
审稿时长
20 weeks
×
引用
GB/T 7714-2015
复制
MLA
复制
APA
复制
导出至
BibTeX EndNote RefMan NoteFirst NoteExpress
×
提示
您的信息不完整,为了账户安全,请先补充。
现在去补充
×
提示
您因"违规操作"
具体请查看互助需知
我知道了
×
提示
确定
请完成安全验证×
copy
已复制链接
快去分享给好友吧!
我知道了
右上角分享
点击右上角分享
0
联系我们:info@booksci.cn Book学术提供免费学术资源搜索服务,方便国内外学者检索中英文文献。致力于提供最便捷和优质的服务体验。 Copyright © 2023 布克学术 All rights reserved.
京ICP备2023020795号-1
ghs 京公网安备 11010802042870号
Book学术文献互助
Book学术文献互助群
群 号:604180095
Book学术官方微信