闭合复位、经皮穿刺与切开复位、K 线固定治疗 Jakob 2 型外侧髁骨折的放射学、临床和功能效果比较。

IF 1 4区 医学 Q4 ORTHOPEDICS
Orhun Çelik, Cemil Ertürk, Yunus Elmas
{"title":"闭合复位、经皮穿刺与切开复位、K 线固定治疗 Jakob 2 型外侧髁骨折的放射学、临床和功能效果比较。","authors":"Orhun Çelik, Cemil Ertürk, Yunus Elmas","doi":"10.1097/BPB.0000000000001202","DOIUrl":null,"url":null,"abstract":"<p><p>Pediatric humerus lateral condyle fractures (PHLCF) are one of the most common fractures among children. PHLCF is approximately 20% of all pediatric elbow fractures. Among the treatment modalities are: nonoperative treatment with splinting, closed reduction with percutaneous K-wire fixation (CRPP), and open reduction with K-wire fixation (ORIF). We aimed to evaluate radiological, functional, and clinical outcomes of Jakob type 2 PHLCF treated either with CRPP or ORIF. We hypothesized that CRPP may be as safe and effective as ORIF for Jakob type 2 PHLCF. In this retrospective study, we included patients with Jakob type 2 PHLCF operatively treated in a single center. Patients with multiple fractures or open fractures were excluded from the study. 69 patients between ages 2 and 12 were included and they were divided into two groups. Group 1 included the patients treated with CRPP, whereas Group 2 included the patients treated with ORIF. Demographical, radiological, clinical, and functional parameters were evaluated. Average duration of surgery ( P  < 0.001), initial displacement ( P  = 0.014), and duration of admission ( P  < 0.001) were significantly less in group 1. Group 2 had significantly higher percentage of left-sided injury than group 1 ( P  = 0.038). Average varus deformity score was significantly higher in group 1 ( P  = 0.014). CRPP was associated with shorter duration of surgery and hospital stay. Functional, clinical, and radiological outcomes were identified similar between CRPP and ORIF for Jakob type 2 PHLCF. CRPP may be as safe and effective as ORIF for Jakob type 2 PHLCF.</p>","PeriodicalId":50092,"journal":{"name":"Journal of Pediatric Orthopaedics-Part B","volume":" ","pages":"117-123"},"PeriodicalIF":1.0000,"publicationDate":"2025-03-01","publicationTypes":"Journal Article","fieldsOfStudy":null,"isOpenAccess":false,"openAccessPdf":"https://www.ncbi.nlm.nih.gov/pmc/articles/PMC11776874/pdf/","citationCount":"0","resultStr":"{\"title\":\"Comparison of radiological, clinical, and functional results of Jakob type 2 lateral condyle fractures treated with closed reduction and percutaneous pinning versus open reduction and K-wire fixation.\",\"authors\":\"Orhun Çelik, Cemil Ertürk, Yunus Elmas\",\"doi\":\"10.1097/BPB.0000000000001202\",\"DOIUrl\":null,\"url\":null,\"abstract\":\"<p><p>Pediatric humerus lateral condyle fractures (PHLCF) are one of the most common fractures among children. PHLCF is approximately 20% of all pediatric elbow fractures. Among the treatment modalities are: nonoperative treatment with splinting, closed reduction with percutaneous K-wire fixation (CRPP), and open reduction with K-wire fixation (ORIF). We aimed to evaluate radiological, functional, and clinical outcomes of Jakob type 2 PHLCF treated either with CRPP or ORIF. We hypothesized that CRPP may be as safe and effective as ORIF for Jakob type 2 PHLCF. In this retrospective study, we included patients with Jakob type 2 PHLCF operatively treated in a single center. Patients with multiple fractures or open fractures were excluded from the study. 69 patients between ages 2 and 12 were included and they were divided into two groups. Group 1 included the patients treated with CRPP, whereas Group 2 included the patients treated with ORIF. Demographical, radiological, clinical, and functional parameters were evaluated. Average duration of surgery ( P  < 0.001), initial displacement ( P  = 0.014), and duration of admission ( P  < 0.001) were significantly less in group 1. Group 2 had significantly higher percentage of left-sided injury than group 1 ( P  = 0.038). Average varus deformity score was significantly higher in group 1 ( P  = 0.014). CRPP was associated with shorter duration of surgery and hospital stay. Functional, clinical, and radiological outcomes were identified similar between CRPP and ORIF for Jakob type 2 PHLCF. CRPP may be as safe and effective as ORIF for Jakob type 2 PHLCF.</p>\",\"PeriodicalId\":50092,\"journal\":{\"name\":\"Journal of Pediatric Orthopaedics-Part B\",\"volume\":\" \",\"pages\":\"117-123\"},\"PeriodicalIF\":1.0000,\"publicationDate\":\"2025-03-01\",\"publicationTypes\":\"Journal Article\",\"fieldsOfStudy\":null,\"isOpenAccess\":false,\"openAccessPdf\":\"https://www.ncbi.nlm.nih.gov/pmc/articles/PMC11776874/pdf/\",\"citationCount\":\"0\",\"resultStr\":null,\"platform\":\"Semanticscholar\",\"paperid\":null,\"PeriodicalName\":\"Journal of Pediatric Orthopaedics-Part B\",\"FirstCategoryId\":\"3\",\"ListUrlMain\":\"https://doi.org/10.1097/BPB.0000000000001202\",\"RegionNum\":4,\"RegionCategory\":\"医学\",\"ArticlePicture\":[],\"TitleCN\":null,\"AbstractTextCN\":null,\"PMCID\":null,\"EPubDate\":\"2024/8/30 0:00:00\",\"PubModel\":\"Epub\",\"JCR\":\"Q4\",\"JCRName\":\"ORTHOPEDICS\",\"Score\":null,\"Total\":0}","platform":"Semanticscholar","paperid":null,"PeriodicalName":"Journal of Pediatric Orthopaedics-Part B","FirstCategoryId":"3","ListUrlMain":"https://doi.org/10.1097/BPB.0000000000001202","RegionNum":4,"RegionCategory":"医学","ArticlePicture":[],"TitleCN":null,"AbstractTextCN":null,"PMCID":null,"EPubDate":"2024/8/30 0:00:00","PubModel":"Epub","JCR":"Q4","JCRName":"ORTHOPEDICS","Score":null,"Total":0}
引用次数: 0

摘要

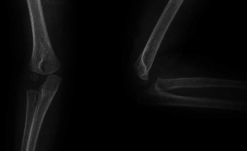
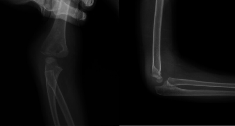
小儿肱骨外侧髁骨折(PHLCF)是儿童中最常见的骨折之一。PHLCF约占所有小儿肘部骨折的20%。治疗方法包括:夹板固定的非手术治疗、经皮K线固定闭合复位术(CRPP)和K线固定开放复位术(ORIF)。我们的目的是评估采用 CRPP 或 ORIF 治疗 Jakob 2 型 PHLCF 的放射学、功能和临床疗效。我们假设 CRPP 与 ORIF 对 Jakob 2 型 PHLCF 的治疗同样安全有效。在这项回顾性研究中,我们纳入了在一个中心接受手术治疗的 Jakob 2 型 PHLCF 患者。研究排除了多发性骨折或开放性骨折患者。研究共纳入 69 名 2 至 12 岁的患者,并将他们分为两组。第一组包括接受 CRPP 治疗的患者,第二组包括接受 ORIF 治疗的患者。研究人员对患者的人口统计学、放射学、临床和功能参数进行了评估。平均手术时间(P
本文章由计算机程序翻译,如有差异,请以英文原文为准。

Comparison of radiological, clinical, and functional results of Jakob type 2 lateral condyle fractures treated with closed reduction and percutaneous pinning versus open reduction and K-wire fixation.

Comparison of radiological, clinical, and functional results of Jakob type 2 lateral condyle fractures treated with closed reduction and percutaneous pinning versus open reduction and K-wire fixation.

Comparison of radiological, clinical, and functional results of Jakob type 2 lateral condyle fractures treated with closed reduction and percutaneous pinning versus open reduction and K-wire fixation.

Comparison of radiological, clinical, and functional results of Jakob type 2 lateral condyle fractures treated with closed reduction and percutaneous pinning versus open reduction and K-wire fixation.

Pediatric humerus lateral condyle fractures (PHLCF) are one of the most common fractures among children. PHLCF is approximately 20% of all pediatric elbow fractures. Among the treatment modalities are: nonoperative treatment with splinting, closed reduction with percutaneous K-wire fixation (CRPP), and open reduction with K-wire fixation (ORIF). We aimed to evaluate radiological, functional, and clinical outcomes of Jakob type 2 PHLCF treated either with CRPP or ORIF. We hypothesized that CRPP may be as safe and effective as ORIF for Jakob type 2 PHLCF. In this retrospective study, we included patients with Jakob type 2 PHLCF operatively treated in a single center. Patients with multiple fractures or open fractures were excluded from the study. 69 patients between ages 2 and 12 were included and they were divided into two groups. Group 1 included the patients treated with CRPP, whereas Group 2 included the patients treated with ORIF. Demographical, radiological, clinical, and functional parameters were evaluated. Average duration of surgery ( P  < 0.001), initial displacement ( P  = 0.014), and duration of admission ( P  < 0.001) were significantly less in group 1. Group 2 had significantly higher percentage of left-sided injury than group 1 ( P  = 0.038). Average varus deformity score was significantly higher in group 1 ( P  = 0.014). CRPP was associated with shorter duration of surgery and hospital stay. Functional, clinical, and radiological outcomes were identified similar between CRPP and ORIF for Jakob type 2 PHLCF. CRPP may be as safe and effective as ORIF for Jakob type 2 PHLCF.

求助全文
通过发布文献求助,成功后即可免费获取论文全文。 去求助
来源期刊
CiteScore
2.20
自引率
9.10%
发文量
170
审稿时长
4-8 weeks
期刊介绍: The journal highlights important recent developments from the world''s leading clinical and research institutions. The journal publishes peer-reviewed papers on the diagnosis and treatment of pediatric orthopedic disorders. It is the official journal of IFPOS (International Federation of Paediatric Orthopaedic Societies). Submitted articles undergo a preliminary review by the editor. Some articles may be returned to authors without further consideration. Those being considered for publication will undergo further assessment and peer-review by the editors and those invited to do so from a reviewer pool. ​
×
引用
GB/T 7714-2015
复制
MLA
复制
APA
复制
导出至
BibTeX EndNote RefMan NoteFirst NoteExpress
×
提示
您的信息不完整,为了账户安全,请先补充。
现在去补充
×
提示
您因"违规操作"
具体请查看互助需知
我知道了
×
提示
确定
请完成安全验证×
copy
已复制链接
快去分享给好友吧!
我知道了
右上角分享
点击右上角分享
0
联系我们:info@booksci.cn Book学术提供免费学术资源搜索服务,方便国内外学者检索中英文文献。致力于提供最便捷和优质的服务体验。 Copyright © 2023 布克学术 All rights reserved.
京ICP备2023020795号-1
ghs 京公网安备 11010802042870号
Book学术文献互助
Book学术文献互助群
群 号:604180095
Book学术官方微信