头孢克洛和静脉注射可乐定治疗广泛耐药的绿脓杆菌引起的脑室炎

IF 1.7 Q4 CRITICAL CARE MEDICINE
Journal of Critical Care Medicine Pub Date : 2024-04-30 eCollection Date: 2024-04-01 DOI:10.2478/jccm-2024-0020
João Melo E Silva, Diogo Oliveira, João A Louro, Elisabete Monteiro
{"title":"头孢克洛和静脉注射可乐定治疗广泛耐药的绿脓杆菌引起的脑室炎","authors":"João Melo E Silva, Diogo Oliveira, João A Louro, Elisabete Monteiro","doi":"10.2478/jccm-2024-0020","DOIUrl":null,"url":null,"abstract":"<p><p>Rheumatoid arthritis, an inflammatory rheumatic disease predominantly affecting small limb joints, frequently compromises the cervical spine, resulting in spinal instability and the potential surgical necessity. This may result in severe complications, such as ventriculitis, often associated with a high mortality rate and multidrug-resistant organisms. A major challenge lies in achieving therapeutic antimicrobial concentrations in the central nervous system. The authors present a case of a 65-year-old female, with cervical myelopathy due to severe rheumatoid arthritis. Following surgery, the patient developed ventriculitis caused by an extensively drug-resistant <i>Pseudomonas Aeruginosa</i>. Early diagnosis and prompt treatment played a crucial role in facilitating neurological and cognitive recovery.</p>","PeriodicalId":44227,"journal":{"name":"Journal of Critical Care Medicine","volume":"10 2","pages":"183-187"},"PeriodicalIF":1.7000,"publicationDate":"2024-04-30","publicationTypes":"Journal Article","fieldsOfStudy":null,"isOpenAccess":false,"openAccessPdf":"https://www.ncbi.nlm.nih.gov/pmc/articles/PMC11193941/pdf/","citationCount":"0","resultStr":"{\"title\":\"Cefiderocol and Intraventricular Colistin for Ventriculitis due to an Extensively Drug-Resistant <i>Pseudomonas Aeruginosa</i>.\",\"authors\":\"João Melo E Silva, Diogo Oliveira, João A Louro, Elisabete Monteiro\",\"doi\":\"10.2478/jccm-2024-0020\",\"DOIUrl\":null,\"url\":null,\"abstract\":\"<p><p>Rheumatoid arthritis, an inflammatory rheumatic disease predominantly affecting small limb joints, frequently compromises the cervical spine, resulting in spinal instability and the potential surgical necessity. This may result in severe complications, such as ventriculitis, often associated with a high mortality rate and multidrug-resistant organisms. A major challenge lies in achieving therapeutic antimicrobial concentrations in the central nervous system. The authors present a case of a 65-year-old female, with cervical myelopathy due to severe rheumatoid arthritis. Following surgery, the patient developed ventriculitis caused by an extensively drug-resistant <i>Pseudomonas Aeruginosa</i>. Early diagnosis and prompt treatment played a crucial role in facilitating neurological and cognitive recovery.</p>\",\"PeriodicalId\":44227,\"journal\":{\"name\":\"Journal of Critical Care Medicine\",\"volume\":\"10 2\",\"pages\":\"183-187\"},\"PeriodicalIF\":1.7000,\"publicationDate\":\"2024-04-30\",\"publicationTypes\":\"Journal Article\",\"fieldsOfStudy\":null,\"isOpenAccess\":false,\"openAccessPdf\":\"https://www.ncbi.nlm.nih.gov/pmc/articles/PMC11193941/pdf/\",\"citationCount\":\"0\",\"resultStr\":null,\"platform\":\"Semanticscholar\",\"paperid\":null,\"PeriodicalName\":\"Journal of Critical Care Medicine\",\"FirstCategoryId\":\"1085\",\"ListUrlMain\":\"https://doi.org/10.2478/jccm-2024-0020\",\"RegionNum\":0,\"RegionCategory\":null,\"ArticlePicture\":[],\"TitleCN\":null,\"AbstractTextCN\":null,\"PMCID\":null,\"EPubDate\":\"2024/4/1 0:00:00\",\"PubModel\":\"eCollection\",\"JCR\":\"Q4\",\"JCRName\":\"CRITICAL CARE MEDICINE\",\"Score\":null,\"Total\":0}","platform":"Semanticscholar","paperid":null,"PeriodicalName":"Journal of Critical Care Medicine","FirstCategoryId":"1085","ListUrlMain":"https://doi.org/10.2478/jccm-2024-0020","RegionNum":0,"RegionCategory":null,"ArticlePicture":[],"TitleCN":null,"AbstractTextCN":null,"PMCID":null,"EPubDate":"2024/4/1 0:00:00","PubModel":"eCollection","JCR":"Q4","JCRName":"CRITICAL CARE MEDICINE","Score":null,"Total":0}
引用次数: 0

摘要

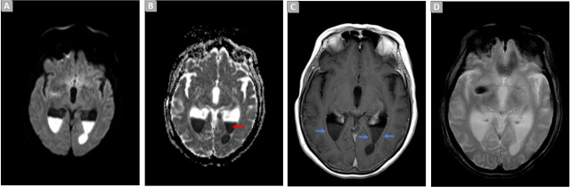
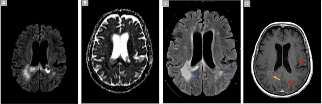
类风湿性关节炎是一种主要影响四肢小关节的炎症性风湿病,经常损害颈椎,导致脊柱不稳,可能需要进行手术治疗。这可能会导致严重的并发症,如脑室炎,通常与高死亡率和耐多药生物有关。如何在中枢神经系统中达到治疗性抗菌浓度是一大挑战。作者介绍了一例 65 岁女性因严重类风湿性关节炎导致颈椎脊髓病变的病例。手术后,患者出现了由广泛耐药的绿脓杆菌引起的脑室炎。早期诊断和及时治疗在促进神经和认知康复方面发挥了至关重要的作用。
本文章由计算机程序翻译,如有差异,请以英文原文为准。

Cefiderocol and Intraventricular Colistin for Ventriculitis due to an Extensively Drug-Resistant <i>Pseudomonas Aeruginosa</i>.

Cefiderocol and Intraventricular Colistin for Ventriculitis due to an Extensively Drug-Resistant <i>Pseudomonas Aeruginosa</i>.

Cefiderocol and Intraventricular Colistin for Ventriculitis due to an Extensively Drug-Resistant <i>Pseudomonas Aeruginosa</i>.

Cefiderocol and Intraventricular Colistin for Ventriculitis due to an Extensively Drug-Resistant Pseudomonas Aeruginosa.

Rheumatoid arthritis, an inflammatory rheumatic disease predominantly affecting small limb joints, frequently compromises the cervical spine, resulting in spinal instability and the potential surgical necessity. This may result in severe complications, such as ventriculitis, often associated with a high mortality rate and multidrug-resistant organisms. A major challenge lies in achieving therapeutic antimicrobial concentrations in the central nervous system. The authors present a case of a 65-year-old female, with cervical myelopathy due to severe rheumatoid arthritis. Following surgery, the patient developed ventriculitis caused by an extensively drug-resistant Pseudomonas Aeruginosa. Early diagnosis and prompt treatment played a crucial role in facilitating neurological and cognitive recovery.

求助全文
通过发布文献求助,成功后即可免费获取论文全文。 去求助
来源期刊
Journal of Critical Care Medicine
Journal of Critical Care Medicine CRITICAL CARE MEDICINE-
CiteScore
2.00
自引率
9.10%
发文量
21
审稿时长
11 weeks
×
引用
GB/T 7714-2015
复制
MLA
复制
APA
复制
导出至
BibTeX EndNote RefMan NoteFirst NoteExpress
×
提示
您的信息不完整,为了账户安全,请先补充。
现在去补充
×
提示
您因"违规操作"
具体请查看互助需知
我知道了
×
提示
确定
请完成安全验证×
copy
已复制链接
快去分享给好友吧!
我知道了
右上角分享
点击右上角分享
0
联系我们:info@booksci.cn Book学术提供免费学术资源搜索服务,方便国内外学者检索中英文文献。致力于提供最便捷和优质的服务体验。 Copyright © 2023 布克学术 All rights reserved.
京ICP备2023020795号-1
ghs 京公网安备 11010802042870号
Book学术文献互助
Book学术文献互助群
群 号:604180095
Book学术官方微信