关于激光表面处理种植体临床效果的八年回顾性研究。

IF 4 3区 医学 Q1 DENTISTRY, ORAL SURGERY & MEDICINE
Richard Leesungbok, Sung Ok Hong, Suk-Won Lee, Phyo Ei Ei Htay, Joseph Junesirk Choi, Jung Jin Park
{"title":"关于激光表面处理种植体临床效果的八年回顾性研究。","authors":"Richard Leesungbok, Sung Ok Hong, Suk-Won Lee, Phyo Ei Ei Htay, Joseph Junesirk Choi, Jung Jin Park","doi":"10.1186/s40729-024-00558-7","DOIUrl":null,"url":null,"abstract":"<p><strong>Purpose: </strong>To retrospectively evaluate peri-implant bone loss and health status associated with the long-term use of laser surface-treated implants.</p><p><strong>Methods: </strong>For control study, total of 23 titanium ASTM F136 grade 23 implants were placed in the edentulous molar area of the mandible. When the Implant Stability Quotient (ISQ) ≥ 70 and insertion torque value (ITV) ≥ 35-50 Ncm at the insertion site, an immediate provisional restoration was connected to the implant within a week after surgery. The definitive restorations were placed 2 months after surgery for all implants. 13 implants were immediately loaded, while 10 implants were conventionally loaded. For comparative study, Radiographs were taken from third years for and then annually for the subsequent eight years to monitor marginal bone loss.</p><p><strong>Results: </strong>After eight year of implant installation, the average change in vertical bone loss was 0.009 mm (P < 0.001), while the average change in horizontal bone loss 8 year after implant placement was 0.026 mm (P < 0.001). The mean marginal bone loss was < 0.2 mm on average.</p><p><strong>Conclusions: </strong>In this retrospective study, laser-treated implants exhibit a low rate of bone absorption around the implants.</p>","PeriodicalId":14076,"journal":{"name":"International Journal of Implant Dentistry","volume":"10 1","pages":"38"},"PeriodicalIF":4.0000,"publicationDate":"2024-08-05","publicationTypes":"Journal Article","fieldsOfStudy":null,"isOpenAccess":false,"openAccessPdf":"https://www.ncbi.nlm.nih.gov/pmc/articles/PMC11300412/pdf/","citationCount":"0","resultStr":"{\"title\":\"An eight-year retrospective study on the clinical outcomes of laser surface-treated implants.\",\"authors\":\"Richard Leesungbok, Sung Ok Hong, Suk-Won Lee, Phyo Ei Ei Htay, Joseph Junesirk Choi, Jung Jin Park\",\"doi\":\"10.1186/s40729-024-00558-7\",\"DOIUrl\":null,\"url\":null,\"abstract\":\"<p><strong>Purpose: </strong>To retrospectively evaluate peri-implant bone loss and health status associated with the long-term use of laser surface-treated implants.</p><p><strong>Methods: </strong>For control study, total of 23 titanium ASTM F136 grade 23 implants were placed in the edentulous molar area of the mandible. When the Implant Stability Quotient (ISQ) ≥ 70 and insertion torque value (ITV) ≥ 35-50 Ncm at the insertion site, an immediate provisional restoration was connected to the implant within a week after surgery. The definitive restorations were placed 2 months after surgery for all implants. 13 implants were immediately loaded, while 10 implants were conventionally loaded. For comparative study, Radiographs were taken from third years for and then annually for the subsequent eight years to monitor marginal bone loss.</p><p><strong>Results: </strong>After eight year of implant installation, the average change in vertical bone loss was 0.009 mm (P < 0.001), while the average change in horizontal bone loss 8 year after implant placement was 0.026 mm (P < 0.001). The mean marginal bone loss was < 0.2 mm on average.</p><p><strong>Conclusions: </strong>In this retrospective study, laser-treated implants exhibit a low rate of bone absorption around the implants.</p>\",\"PeriodicalId\":14076,\"journal\":{\"name\":\"International Journal of Implant Dentistry\",\"volume\":\"10 1\",\"pages\":\"38\"},\"PeriodicalIF\":4.0000,\"publicationDate\":\"2024-08-05\",\"publicationTypes\":\"Journal Article\",\"fieldsOfStudy\":null,\"isOpenAccess\":false,\"openAccessPdf\":\"https://www.ncbi.nlm.nih.gov/pmc/articles/PMC11300412/pdf/\",\"citationCount\":\"0\",\"resultStr\":null,\"platform\":\"Semanticscholar\",\"paperid\":null,\"PeriodicalName\":\"International Journal of Implant Dentistry\",\"FirstCategoryId\":\"3\",\"ListUrlMain\":\"https://doi.org/10.1186/s40729-024-00558-7\",\"RegionNum\":3,\"RegionCategory\":\"医学\",\"ArticlePicture\":[],\"TitleCN\":null,\"AbstractTextCN\":null,\"PMCID\":null,\"EPubDate\":\"\",\"PubModel\":\"\",\"JCR\":\"Q1\",\"JCRName\":\"DENTISTRY, ORAL SURGERY & MEDICINE\",\"Score\":null,\"Total\":0}","platform":"Semanticscholar","paperid":null,"PeriodicalName":"International Journal of Implant Dentistry","FirstCategoryId":"3","ListUrlMain":"https://doi.org/10.1186/s40729-024-00558-7","RegionNum":3,"RegionCategory":"医学","ArticlePicture":[],"TitleCN":null,"AbstractTextCN":null,"PMCID":null,"EPubDate":"","PubModel":"","JCR":"Q1","JCRName":"DENTISTRY, ORAL SURGERY & MEDICINE","Score":null,"Total":0}
引用次数: 0

摘要

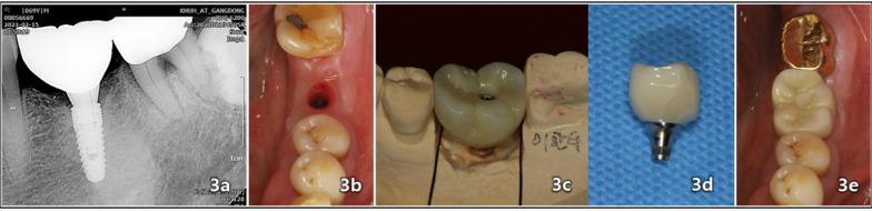
目的:回顾性评估与长期使用激光表面处理种植体相关的种植体周围骨质流失和健康状况:方法:在对照研究中,在下颌无牙臼齿区植入 23 个 ASTM F136 等级 23 的钛种植体。当种植体稳定性商数(ISQ)≥70,插入部位的插入扭矩值(ITV)≥35-50 Ncm时,在术后一周内将临时修复体连接到种植体上。所有种植体均在术后 2 个月植入最终修复体。13 个种植体采用即刻负重法,10 个种植体采用传统负重法。为了进行比较研究,我们从种植体植入后的第三年开始拍摄X光片,之后的八年每年拍摄一次,以监测边缘骨质流失情况:结果:种植体安装八年后,垂直骨质流失的平均变化量为 0.009 毫米(P 结论:种植体安装八年后,垂直骨质流失的平均变化量为 0.009 毫米(P):在这项回顾性研究中,经过激光处理的种植体周围骨吸收率较低。
本文章由计算机程序翻译,如有差异,请以英文原文为准。

An eight-year retrospective study on the clinical outcomes of laser surface-treated implants.

An eight-year retrospective study on the clinical outcomes of laser surface-treated implants.

An eight-year retrospective study on the clinical outcomes of laser surface-treated implants.

An eight-year retrospective study on the clinical outcomes of laser surface-treated implants.

Purpose: To retrospectively evaluate peri-implant bone loss and health status associated with the long-term use of laser surface-treated implants.

Methods: For control study, total of 23 titanium ASTM F136 grade 23 implants were placed in the edentulous molar area of the mandible. When the Implant Stability Quotient (ISQ) ≥ 70 and insertion torque value (ITV) ≥ 35-50 Ncm at the insertion site, an immediate provisional restoration was connected to the implant within a week after surgery. The definitive restorations were placed 2 months after surgery for all implants. 13 implants were immediately loaded, while 10 implants were conventionally loaded. For comparative study, Radiographs were taken from third years for and then annually for the subsequent eight years to monitor marginal bone loss.

Results: After eight year of implant installation, the average change in vertical bone loss was 0.009 mm (P < 0.001), while the average change in horizontal bone loss 8 year after implant placement was 0.026 mm (P < 0.001). The mean marginal bone loss was < 0.2 mm on average.

Conclusions: In this retrospective study, laser-treated implants exhibit a low rate of bone absorption around the implants.

求助全文
通过发布文献求助,成功后即可免费获取论文全文。 去求助
来源期刊
International Journal of Implant Dentistry
International Journal of Implant Dentistry DENTISTRY, ORAL SURGERY & MEDICINE-
CiteScore
1.70
自引率
7.40%
发文量
53
审稿时长
13 weeks
期刊介绍: The International Journal of Implant Dentistry is a peer-reviewed open access journal published under the SpringerOpen brand. The journal is dedicated to promoting the exchange and discussion of all research areas relevant to implant dentistry in the form of systematic literature or invited reviews, prospective and retrospective clinical studies, clinical case reports, basic laboratory and animal research, and articles on material research and engineering.
×
引用
GB/T 7714-2015
复制
MLA
复制
APA
复制
导出至
BibTeX EndNote RefMan NoteFirst NoteExpress
×
提示
您的信息不完整,为了账户安全,请先补充。
现在去补充
×
提示
您因"违规操作"
具体请查看互助需知
我知道了
×
提示
确定
请完成安全验证×
copy
已复制链接
快去分享给好友吧!
我知道了
右上角分享
点击右上角分享
0
联系我们:info@booksci.cn Book学术提供免费学术资源搜索服务,方便国内外学者检索中英文文献。致力于提供最便捷和优质的服务体验。 Copyright © 2023 布克学术 All rights reserved.
京ICP备2023020795号-1
ghs 京公网安备 11010802042870号
Book学术文献互助
Book学术文献互助群
群 号:604180095
Book学术官方微信